Actualmente, el bruxismo es un síntoma muy frecuente en la población, tanto es así que el número de consultas por este motivo se incrementa de manera exponencial. Mucho se sabe acerca de los síntomas del bruxismo y sus causas, y la evolución científica en este campo ha ido en aumento, por lo que debemos estar actualizando conceptos continuamente frente a los nuevos conocimientos que se van difundiendo.
Causas, síntomas y tratamientos del Bruxismo
1. Definición del Bruxismo
El bruxismo debe llamarse actividad muscular masticatoria rítmica (AMMR), según proponen últimamente ciertos autores internacionales. Lo cierto es que debemos plantearnos este cambio de nombre por el significado connotativo que ha adquirido últimamente.
El bruxismo como tal NO constituye una patología, es más bien una respuesta fisiológica que se suele producir durante el sueño, ante los cambios de fase. También se producen episodios de actividad muscular diurna, pero no suelen presentar ritmicidad y deberían encuadrarse más en situaciones de pérdida del control motor que otra cosa.
2. Síntomas del Bruxismo
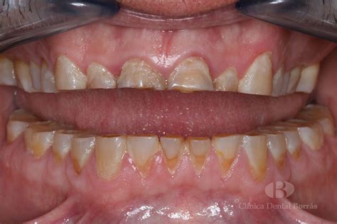
Los síntomas del bruxismo pueden ser diversos, pero todos ellos se encuadran dentro de eso que llamamos disfunción cervico-craneo-facial, y tiene unas consecuencias que actualmente son el punto donde centramos nuestros esfuerzos de tratamiento. El dolor orofacial de origen miofascial, los posibles problemas articulares de la ATM, el desgaste dental (roturas en muchos de los casos) y en otro orden de cosas el sueño (calidad y cantidad) han de ser el objetivo primordial. El rechinar de dientes, como comúnmente se conoce, puede provocar el desgaste dental que genera visitas al dentista y un gasto económico elevado.

El bruxismo puede causar diversos síntomas, incluyendo dolor orofacial y desgaste dental.
3. Origen del Bruxismo
El origen y la regulación del bruxismo es de tipo CENTRAL, es decir, las interferencias oclusales, o la maloclusión no provoca, ni empeora, ni perpetúa, el bruxismo y por tanto, su tratamiento, ya sea mediante ortodoncia, cirugía o derivado no mejora los episodios de bruxismo.
Otra parte importante del bruxismo, en sí mismo es el concepto, me gusta más actividad parafuncional de la musculatura masticatoria, puesto que deja de lado el concepto de bruxismo como patología, y no hace mención al mismo.
El dolor musculoesquelético causado por bruxismo puede ser por la aparición de puntos gatillo en la musculatura masticatoria en la gran mayoría de los casos. Los casos que desarrollan patología articular, como por ejemplo la luxación discal por falta de congruencia de las estructuras articulares son un porcentaje de casos nada despreciable y que requieren tratamiento antes de que los tejidos sufran más tensión y la situación sea de peor pronóstico.
La investigación reciente concluyó que ni interferencias oclusales ni factores relacionados con el esqueleto facial oral tienen un papel en la etiología del bruxismo.
Estudios recientes sugieren que el bruxismo del sueño es secundario a despertares durante el sueño (definidos por un aumento de la actividad cardiaca y respiratoria autónomo, que tiende a repetirse 8-14 veces por hora de sueño). La actividad muscular rítmica que se produce en el sueño picos de bruxismo en los minutos antes de sueño REM. Esto sugiere que existe algún mecanismo relacionado con las transiciones de etapa del sueño que influyen en las neuronas motoras de bruxismo.
Secuencia de acontecimientos antes de que se produzca un episodio de bruxismo durante la noche

4. Trastornos del Sueño Asociados al Bruxismo
Se sabe que los AMMR rara vez ocurre solo. La investigación ha encontrado consistentemente que el bruxismo es más frecuente en las personas que tienen un trastorno del sueño existentes, como el ronquido, pausas respiratorias durante el sueño y la apnea obstructiva del sueño (OSA).
Otras parasomnias como hablar del sueño, conductas violentas o perjudiciales durante el sueño, la parálisis del sueño, alucinaciones hipnagógicas / hipnopómpicas (semi-conciencia entre el sueño y la vigilia) también se encontraron en relación con mayor frecuencia por bruxistas e individuos con desgaste dentario.
De éstos, OSA parece ser el factor de riesgo más alto, ya que se asocia con una respuesta excitación. La terminación del evento de apnea suele ir acompañada de una variedad de fenómenos en la boca como los ronquidos, jadeos, murmurar y rechinar los dientes.
5. Factores de Estilo de Vida
Los factores demográficos y de estilo de vida tales como la edad joven, nivel más alto de educación, el tabaquismo, el consumo de cafeína y el consumo excesivo de alcohol se asocian co-factores de bruxismo.
El uso de sustancias psicoactivas (tabaco, alcohol, cafeína o medicamentos para el sueño, la depresión y la ansiedad) aumenta la excitación y conduce a problemas para dormirse, quedarse dormido y la somnolencia diurna. El bruxismo es significativamente mayor en los individuos cuyo estilo de vida incluye el uso de estas sustancias psicoactivas.
6. El Estrés, la Ansiedad y Otros Componentes Psicológicos
Los trastornos mentales, la ansiedad, el estrés y los factores psicosociales adversos están relacionados significativamente con el rechinamiento de los dientes (bruxismo) durante el sueño y se ha encontrado que casi el 70% del bruxismo se produce como resultado del estrés o la ansiedad.
Está bien documentado que el estrés relacionado con el trabajo es perjudicial para el buen dormir y como consecuencia puede ser responsable de la somnolencia diurna. Pero, también es el factor más significativo asociado con el bruxismo. Un estudio encontró que los trabajadores por turnos que sufrieron el estrés debido a la insatisfacción con su horario de trabajo por turnos son más susceptibles a bruxismo que los que estaban satisfechos y no estresados.
Curiosamente, los hombres en este estudio demostraron altos niveles de estrés en el trabajo, los síntomas depresivos y el bruxismo, mientras que ninguno de estos síntomas fueron significativos para las mujeres. Estos síntomas adversos fueron particularmente evidentes en los trabajadores varones que sufrieron ciertas formas de acoso de los supervisores o compañeros de trabajo.
7. Qué Provoca la Aparición del Bruxismo
Muchas dolencias físicas tienen componentes psicológicos que pueden influir en la vulnerabilidad de una persona a la enfermedad, así como su capacidad de recuperación. Los niveles de estrés y características de la personalidad a menudo se consideran como el inicio, factores predisponentes y la perpetuación de varias enfermedades.
El lugar de trabajo ofrece un entorno único en el que el estrés y la personalidad juegan un papel importante en el rendimiento. Variables de personalidad incluyen el estilo de afrontamiento del individuo tanto en la percepción y técnicas de afrontamiento. Algunas personas son menos resistentes al estrés y, por tanto, sufren más las consecuencias físicas y psicológicas.
Resultados de las investigaciones anteriores apuntan a la posibilidad de un vínculo entre el bruxismo y el ambiente de trabajo, en especial las estrategias de afrontamiento de las demandas relacionadas con el trabajo estresantes. Algunas personas, por supuesto, pueden estar expuestos a altos niveles de estrés no relacionado con su trabajo, pero siguen afectando el bruxismo.
Lo más importante en la actualidad es tener muy presente que las causas del bruxismo son fundamentalmente dentales. El dolor muscular asociado a bruxismo, aparece con mayor frecuencia por lo que sucede durante el día con nuestra musculatura y no tanto con lo que sucede durante la noche. Con esto se quiere decir que la perdida de control motor diurna, durante la vigilia es la que provoca el dolor muscular en mayor medida, la mayoría de los pacientes son conscientes de que durante el día no controlan la actividad muscular de su mandíbula, y es justamente eso lo que genera en muchas ocasiones dolor.
8. Tratamiento para el Bruxismo
8.a. Fisioterapia
Entre los posibles tratamientos para el bruxismo esta el ejercicio terapéutico, la reeducación de la musculatura masticatoria para conseguir que el paciente durante el día deje de activar su musculatura masticatoria y disminuya por tanto su actividad.
En la actualidad la numerosa evidencia científica existente se establece que el papel de la fisioterapia en el tratamiento de las patologías de cabeza-cuello y vinculadas al dolor. El dolor que en ocasiones se puede desencadenar de origen muscular es claramente sensible al tratamiento de fisioterapia.
Como abordaje principal sobre los puntos gatillo, principales desencadenantes de dolor de origen muscular, tenemos la terapia manual, la punción seca y el ejercicio terapéutico. El ejercicio trata de restablecer el control motor de musculatura que permitirá al paciente «acumular» menos tensión en la musculatura masticatoria durante el día, ayudando considerablemente en el control del dolor.
8.b. Férulas de Descarga
En otro orden de cosas, las férulas de descarga, realizadas por odontólogos especializados en la materia, es fundamental para prevenir el desgaste de los dientes, que genera la actividad bruxista nocturna. A nivel del dolor, es difícil que la férula pueda eliminarlo, por varios factores.
El primero es que una vez se ha comenzado a sentir dolor en la musculatura masticatoria, deberemos realizar un tratamiento adecuado para la eliminación de estos síntomas y la propia «placa para bruxismo» como se denomina en ocasiones no será suficiente. En segundo lugar porque la férula de descarga no evita la actividad muscular que se produce y que genera el dolor, si bien es cierto que existe una inhibición trigeminal inicial a la implantación de una férula, el no tratar eso zona mediante fisioterapia hará que a medio plazo comience a aparecer nuevamente un dolor asociado a la actividad muscular.
Es importante tener en cuenta que la forma de la férula es importantísimo para que los síntomas no se vean agravados por un mal ajuste de la misma. Las características de la férula han de ser cuidadosamente ajustadas por un profesional con los conocimientos necesarios y la experiencia necesaria. En los casos en que la férula no esta bien ajustada, las fuerzas musculares que actúan sobre la articulación pueden provocar un agravamiento de los síntomas o aparición de síntomas nuevos.

Las férulas de descarga son esenciales para prevenir el desgaste dental causado por el bruxismo.