Seguro que te has preguntado alguna vez cómo recuperar la salud y la estética de un diente dañado o perdido. La respuesta puede estar en las coronas dentales. Pero, ¿qué son las coronas dentales? En esencia, una corona dental es un «nuevo diente». Se trata de una prótesis que cubre completamente la corona natural del diente, restaurando su forma, función y estética.

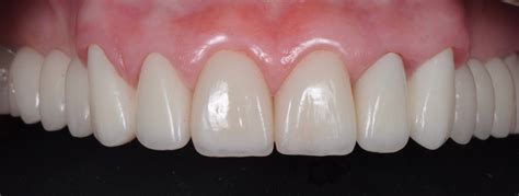
Ejemplo de una corona dental.
Las fundas dentales son prótesis que se colocan sobre un diente natural para cubrirlo completamente. Este tratamiento se utiliza con fines estéticos y funcionales, ya que corrige la forma, el color o el tamaño del diente y lo refuerza para prevenir futuros daños. Las coronas dentales son piezas que recubren el diente, lo protegen, mejoran su funcionalidad y estética. Se colocan cuando el daño de la pieza no se puede corregir con otro método menos invasivo.
En Odontología se utilizan muy a menudo las coronas artificiales, no solo para mejorar el aspecto de la dentadura, sino también para corregir posibles afecciones en los dientes. Una corona dental es una prótesis fija que se coloca sobre un diente, aunque también pueden ir sobre implantes. Esta funda cubre toda la superficie del diente y se comporta como uno natural, cumpliendo todas las funciones de estética y masticación que el paciente necesita.
Las fundas dentales aparecen como un tratamiento clave en el ámbito de la odontología moderna, combinando funcionalidad y estética en un solo procedimiento. Es fundamental entender la distinción entre fundas y carillas, ya que ambas opciones ofrecen soluciones para mejorar la salud y estética dental, pero cada una tiene características específicas. Las fundas son prótesis que cubren completamente el diente, mientras que las carillas se adhieren solo a la parte frontal.
¿Cuándo es Necesario Reforzar un Diente con una Corona?
Por motivos de salud dental, siempre es recomendable reforzar un diente cuya parte visible se encuentra claramente deteriorada. Hay que reforzar un diente si ha sufrido un fuerte traumatismo (con rotura de la pieza dental), si ha perdido mucha superficie debido a una obturación o si se ha sometido a una endodoncia. En cualquiera de los casos planteados, y para asegurar la correcta fortaleza de la pieza dental, el profesional realiza un tallado.
Es necesario reducir el diente natural para evitar que, una vez se haya colocado la funda, la pieza dental quede excesivamente gruesa. Cuando una persona va a llevar un puente dental es importante que los dientes adyacentes (pilares) ofrezcan la sujeción necesaria. En caso de que una de estas piezas falte, el dentista puede recomendar la colocación de una corona.
La falta de un diente puede causar estragos en la salud bucodental y no es únicamente un problema a nivel estético. Cuando un paciente ha perdido una pieza dental, es recomendable que se someta a una cirugía para que se le coloque un implante. Sobre este, se ubicará la corona dental que quedará bien fijada mediante un tornillo.
Es posible que la persona quiera modificar algún aspecto meramente estético de sus piezas dentales. Sobre todo, sucede con los dientes frontales, ya que son los más visibles cuando sonreímos. Si la forma, el color o la posición de los dientes no es la que más gusta, una funda dental puede cambiar de forma muy evidente el diseño de la sonrisa.
Las coronas no solo tienen un cometido estético, sino también funcional. Por ello, pueden usarse en cualquier diente, siendo su uso más habitual en molares y premolares. Además, al estar ubicados en la parte posterior de la boca, tienden a acumular un mayor número de caries, ya que son dientes menos accesibles durante el cepillado.

Tipos de fundas dentales según el material.
Tipos de Fundas Dentales
Existen diversas inquietudes que las personas suelen tener acerca de las fundas dentales. Las fundas dentales pueden clasificarse en varias categorías según los materiales utilizados y sus características específicas. Los diferentes tipos fundas para los dientes según los materiales de los que son elaborados son los siguientes:
- Fundas de porcelana pura: Estas fundas están hechas exclusivamente de porcelana, lo que las hace una opción muy estética. No contienen metal, lo que les da un aspecto natural, y son ideales para los dientes frontales. Las fundas de porcelana pura son la opción preferida para aquellos que buscan un acabado estético excepcional. Entre sus características destacan su alta biocompatibilidad y su resistencia contra las manchas. Son especialmente recomendadas para los dientes frontales, donde la apariencia estética es crucial.
- Fundas de cerámica: Similares a las de porcelana, estas fundas también son estéticamente agradables y se usan principalmente en los dientes delanteros. Las fundas de cerámica ofrecen una alternativa similar a las de porcelana pura, pero suelen ser algo menos duraderas.
- Fundas de circonio: Son la opción más resistente y duradera, además de ofrecer un gran acabado estético. Este tipo de fundas se destaca por su resistencia y durabilidad.
- Fundas de metal-porcelana: Estas combinan una estructura de metal cubierta por porcelana, lo que las hace fuertes y estéticamente aceptables. Las fundas de metal-porcelana combinan la robustez de la estructura metálica con la estética de la capa de porcelana.
- Fundas de composite: Son las más económicas, pero también las menos duraderas. Las fundas de composite son ideales para situaciones temporales o para pacientes con un presupuesto más limitado.
- Coronas metálicas: Son fundas muy resistentes, pero que se usan poco debido a que su aporte estético es poco y no se asemejan al diente natural. Cuando se colocan, por lo general se usan para cubrir las muelas ya que son menos visibles.
- Fundas de acero inoxidable: Son utilizadas como una protección temporal del diente y los nervios. Son prefabricados, solo se colocan mientras se fabrica la funda nueva, no son muy estéticas y por eso son de poco uso.
- Fundas de resina: Este tipo de fundas no son muy resistentes y su acabado no es tan natural como el de las fundas de porcelana o el circonio. Por lo general, se utilizan las coronas de resina como provisionales, mientras se fabrican las definitivas.
Las coronas hechas de zirconio y las de porcelana suelen usarse para los dientes anteriores, pues ofrecen soluciones más estéticas. Por otra parte, las fundas compuestas por metal y porcelana se usan en las muelas debido a la resistencia que ofrecen. Sobre la pieza dental remanente se coloca un capuchón hecho de metal que será posteriormente recubierto con porcelana para dar el aspecto de diente real.
Como hemos explicado, existen tres opciones para que el paciente pueda elegir entre un material u otro. Sin embargo, lo más habitual es que la persona solo tenga que elegir entre las coronas de zirconio o las de porcelana. Aunque tanto las de porcelana como las coronas de zirconio ofrecen un óptimo resultado estético, las segundas ofrecen mayores ventajas debido a su composición.

¿CORONAS o CARILLAS DENTALES? - Cuál es MEJOR y en qué se DIFERENCIAN - #shorts
Proceso de Colocación de Fundas Dentales
El proceso de colocación de fundas dentales es un procedimiento meticuloso que se lleva a cabo en varias etapas. Las fundas dentales no son un procedimiento complicado, en muchos casos con tan solo dos visitas al dentista ya el paciente podrá tenerlas listas. Sin embargo, antes de comenzar es importante entender cómo será el proceso.
La primera etapa implica la preparación del diente que recibirá la funda. Este procedimiento es crucial, ya que el odontólogo debe tallar el diente, reduciendo su tamaño para que la funda pueda encajar correctamente. Contar con un odontólogo experimentado es esencial en esta etapa. Un profesional capacitado no solo se asegura de que la preparación sea adecuada, sino que también evalúa la salud del diente y de las encías.
Una vez preparado el diente, se procede a la toma de moldes. Esta etapa es clave para crear una funda personalizada que se ajuste perfectamente al diente. Se utilizan materiales especiales para obtener impresiones precisas que reflejen la forma y el contorno del diente preparado. Durante el tiempo que toma fabricar la funda definitiva, se coloca una funda provisional. Esta opción temporal protege el diente mientras se realiza el trabajo final.
El primer paso es la evaluación del paciente, en la que el dentista comprobará la salud general del paciente y también tomará imágenes dentales para asegurarse de que es un candidato para las fundas de porcelana. El segundo paso es preparar los dientes, y para ello el odontólogo eliminará el esmalte y tomará las impresiones de los dientes.
Lo siguiente es elegir el color adecuado de las fundas, y quizás coloque algunas de forma temporal, a modo de prueba. Las coronas permanentes pueden tardar dos semanas en ser fabricadas. Luego de eso estarán listas para ser colocadas, en caso de ser necesario, se utilizará anestesia local.
Se requiere que la superficie del diente esté un poco áspera para, con un pegamento especial, colocar cada funda y asegurarse que se fije la funda a cada diente. Para ello, se requiere aplicar un tipo de luz especial en cada pieza dental.
Técnicas de Colocación
- Técnica Tradicional: Esta técnica implica varias citas. En la primera, se toman los moldes y se prepara el diente.
- Técnica CAD/CAM: Este método utiliza tecnología avanzada para escanear el diente en 3D, lo que permite fabricar la funda en una sola cita.
Ventajas y Desventajas de las Coronas Dentales
Las coronas dentales son una solución eficaz para restaurar y mejorar dientes dañados, pero, como cualquier tratamiento dental, presentan ventajas y desventajas. En la Clínica Dental Dr. Montané, creemos en la importancia de brindar a nuestros pacientes toda la información necesaria para tomar decisiones informadas.
Pros de las coronas dentales:
- Mejoran la estética dental.
- Protegen y refuerzan los dientes debilitados.
- Restauran la funcionalidad de la boca.
- Son una solución duradera y efectiva.
Contras de las coronas dentales:
- Requieren la reducción del tamaño del diente natural.
- Pueden generar sensibilidad dental temporal.
- Pueden requerir un periodo de adaptación.
- Algunos materiales pueden decolorarse con el tiempo.
Cuidado y Mantenimiento de las Fundas Dentales
El cuidado y mantenimiento adecuado de las fundas dentales es esencial para prolongar su vida útil y mantener una buena salud bucal. Para prolongar la duración de las fundas dentales es importante darles el cuidado adecuado. Es decir, debes tener una rutina de limpieza diaria para eliminar bacterias y prevenir la aparición de sarro. Además, debes acudir al dentista con regularidad y, en caso de que notes algún problema con la funda debes consultarlo con el especialista.
Una buena higiene oral es fundamental para preservar no solo las fundas dentales, sino también los dientes naturales y las encías. Es recomendable ser cauteloso con ciertos tipos de alimentos que pueden dañar las fundas dentales. Las visitas al dentista son imprescindibles para revisar el estado de las fundas dentales.
Con las fundas dentales debes tener los mismos cuidados que con los dientes naturales. Esto ayudará a prevenir problemas de salud dental, como caries o enfermedades de las encías, y a que duren más tiempo. La rutina de limpieza debe incluir:
- Cepillarse los dientes de manera correcta al menos tres veces al día con una pasta que posea flúor. Asegúrate de limpiar toda la superficie de las fundas.
- Utiliza siempre el enjuague bucal y la seda dental para remover residuos de alimentos.
Como parte del cuidado diario, evita masticar alimentos duros, muy crujientes o pegajosos, como caramelos o goma de mascar. También se debe evitar morder objetos duros, como lápices, hielo o comerse las uñas. Las fundas de porcelana y de resina tienden a mancharse, por lo que es recomendable evitar alimentos y bebidas de color oscuro.
Duración de las Fundas Dentales
La duración de las fundas dentales puede variar dependiendo del material utilizado y el cuidado que se les dé. Generalmente, las fundas de cerámica o porcelana pueden tener una vida útil de entre 5 a 15 años, mientras que las de circonio y metal-porcelana pueden durar incluso más, llegando a los 20 años o más en algunos casos. Sin embargo, es importante tener en cuenta que la durabilidad también depende de factores como la higiene oral, las visitas regulares al dentista y los hábitos alimenticios.
Las coronas pueden conservarse en buen estado durante más de 30 años, aunque su duración media en condiciones óptimas se fija entre 15 y 20 años. En este aspecto, la profilaxis tiene un papel fundamental, pues no hay que olvidar que la funda está colocada sobre el diente natural. De este modo, la prótesis puede romperse debido a un fuerte traumatismo o si comemos alimentos muy duros. Aunque el zirconio es un material muy resistente, siempre es aconsejable ser cuidadosos.
Coste de las Fundas Dentales
El coste de las fundas dentales puede variar dependiendo de varios factores, incluyendo el tipo de material utilizado y el tratamiento necesario. Diversos aspectos impactan el precio final del tratamiento de fundas dentales. El precio de las fundas de porcelana depende, en gran medida, del material y la cantidad de dientes a restaurar.
El nivel de especialización y la reputación del profesional influyen en el precio. Las fundas dentales están disponibles en diversos materiales, cada uno con características y precios específicos.
| Tipo de Funda | Precio Aproximado |
|---|---|
| Fundas de Porcelana sobre Metal | Aproximadamente 350€ |
| Fundas de Circonio | En torno a 500€ |
| Fundas de Composite | Alrededor de 250€ |
El precio de las fundas dentales de porcelana depende de muchos factores. En BordonClinic trabajamos con materiales biocompatibles, de excelente calidad. Antes de ofrecerte un presupuesto, nuestros doctores realizarán un completo estudio bucodental, con el objetivo de valorar tus necesidades es propias. Sin embargo, el precio de las fundas de zirconio es algo superior. Esto se debe a que el zirconio es un material muy estético, que nos permite rehabilitar el diente con la misma resistencia que el metal, pero con la estética de la porcelana. Por lo tanto, el resultado será mucho más parecido al de los dientes naturales.