Una sonrisa sana es una de las primeras impresiones que uno da a los demás. A todos nos gusta tener una buena apariencia por lo que la forma, posición y color de nuestros dientes forman parte de nuestra identidad física. Las carillas dentales se colocan en la superficie frontal de los dientes con la finalidad de mejorar su aspecto.
Las carillas dentales son uno de los tratamientos dentales estéticos más demandados en la actualidad. Son uno de los procedimientos dentales más populares. En este artículo, te explicaremos las principales ventajas y desventajas de este tipo de carillas.

¿Qué son las carillas dentales?
Las carillas dentales son unas láminas muy finas -generalmente inferiores a un milímetro de espesor- que se fijan sobre la parte visible de uno o varios dientes. Su objetivo es corregir problemas estéticos (fracturas leves, cambios de color…) o patológicos (originados por caries). Su principal objetivo es mejorar el aspecto de los dientes, ya sea para modificar su tamaño, color, forma o posición. Por tanto, tienen una finalidad puramente estética.
Las carillas dentales son una fina capa hecha de materiales del color del diente (porcelana, resina compuesta o una combinación de ambos) que se adhiere a la superficie de sus dientes.Para corregir dientes fracturados, manchados, desalineados, desgastados o con una separación anormal, normalmente recurrimos a las carillas dentales estéticas. Este tratamiento estético consiste en adherir unas finas láminas a la parte frontal de los dientes y que se confeccionan a medida de cada paciente.
Tipos de carillas dentales
Pueden estar hechas de diferentes materiales, pero suelen ser de porcelana o composite. Existen 2 tipos principales de carillas.
Carillas de composite
Las carillas de composite están fabricadas en base a una mezcla de resina y cerámica. Este último compuesto las hace más duras y resistentes. Las carillas se colocan en el diente, se les da forma para darle el tamaño perfecto y se endurecen mediante luces ultravioleta.
- Ventajas: Las carillas de composite pueden reconstruirse fácilmente en la clínica dental. El tratamiento es más rápido ya que se puede realizar en una única visita al odontólogo. Su coste es menor que las carillas de porcelana ya que no se tienen que enviar al laboratorio para su elaboración. Se reparan fácilmente. Este tipo de carillas se pueden corregir o moldear de nuevo y restaurar en caso de fractura. No son agresivas ni invasivas. Se conserva el esmalte del diente y tienen un gran resultado estético.
- Desventajas: Las carillas de composite son menos duraderas que las de cerámica. Resisten menos la tinción. Este tipo de carillas con el paso del tiempo pierden brillo o pueden oscurecer, sobre todo en personas fumadoras o si se toma bastante café o vino. No se recomiendan para tratamientos grandes o en caso de bruxismo, o hábitos como morderse las uñas u objetos.
Carillas de porcelana
Por otro lado, también existen las carillas de porcelana. Éstas están hechas de porcelana (como su nombre bien indica), que es una cerámica de vidrio muy resistente y que ofrece una tonalidad de color muy parecida a la de los dientes naturales. Este tipo de carillas se crean en un laboratorio externo una vez se han tomado las medidas del paciente.

- Ventajas: Estética dental muy elevada y resistencia a la tinción. El resultado estético de las carillas de porcelana es mayor que las de composite. La cerámica tiene un color natural y a largo plazo, ya que las carillas de cerámica no se tiñen con el paso del tiempo. Aptas para múltiples defectos. En este caso las carillas de porcelana se pueden utilizar para mejorar el alineamiento de los dientes, mejorar el color, para igualar el tamaño de los dientes, mejorar dientes desgastados o fracturados. Ayuda a fortalecer los dientes. Las carillas de cerámica ayudan a fortalecer dientes fracturados y restaurar su función normal. Además se pueden utilizar para restaurar dentición desgastada por el bruxismo. Tratamiento rápido y poco tiempo de recuperación. Las carillas de porcelana se fijan a los dientes y su tiempo de recuperación es casi inmediato. Mayor duración que las carillas de composite. Otra ventaja de este tipo de carillas es que tienen una duración o vida útil mayor que las de composite. Resistencia a la tinción. La porcelana resiste las manchas clásicas del café, el té, el tabaco y las bebidas no alcohólicas. La superficie glaseada no permite la incrustación de tinciones, al no presentar microporosidad. Este glaseado permite el mantenimiento del brillo superficial durante todo el tiempo de vida de las carillas. Biocompatibilidad local y general. De todos los materiales de recubrimiento dental que poseemos, la cerámica es junto con el oro, el que menos reacciones biológicas desencadena. Resistencia al ataque químico. Diferentes sustancias químicas, como ácidos (cítrico y otros), disolventes (alcohol), medicaciones (antibióticos) y cosméticos (colutorios) pueden producir alteraciones tanto en el esmalte dentario como en las carillas de composite.
- Desventajas: El coste elevado. Mayor número de sesiones. Debido a que las carillas de porcelana se fabrican en el laboratorio dental, el número de visitas al odontólogo es mayor que con las carillas de composite. No permite retoques posteriores. Al contrario que las carillas de composite, las carillas de porcelana no pueden modificarse de color o forma una vez puestas. Posible sensibilidad dental. El número de sesiones. El número de sesiones es mayor porque las carillas se fabrican en laboratorio dental. Además, antes de colocar las carillas definitivas es necesario colocar las carillas provisionales. Tratamiento irreversible. El color o la forma no se pueden alterar una vez que han sido cementado en su lugar.
Las carillas feldespáticas son, por lo general, las que mejor resultado estético ofrecen, ya que destacan por su alta translucidez y naturalidad. Por un lado, las carillas feldespáticas son ligeramente más vulnerables que otras ante golpes o fracturas. Esto hace que sea especialmente importante seguir unos buenos hábitos de cuidado.
¿Quién puede llevar carillas dentales y cuándo se recomiendan?
Si tienes los dientes descoloridos o deformados, las carillas dentales pueden hacer que tengan un aspecto más uniforme y atractivo. Si tiene un diente agrietado o astillado, puede arreglarlo con una carilla dental para evitar que empeore. El procedimiento de colocación depende del tipo de carillas que vaya a llevar el paciente (porcelana, composite, disilicato de litio…).
A la hora de elegir un tipo de carillas u otro es necesario acudir a la clínica dental y que sea el odontólogo quien aconseje el tipo de carilla más conveniente, en función de las necesidades de cada paciente.
Aquellos con dientes sanos pero que presentan problemas estéticos como manchas, desgaste leve o desalineación moderada son los candidatos ideales. Sin embargo, las personas con enfermedades periodontales graves o con un desgaste dental excesivo pueden no ser aptas para este tratamiento. Si existe enfermedad de las encías (periodontitis) es necesario controlarla antes de ponerse carillas ya que podría poner en riesgo la correcta adhesión de las carillas e incluso podría agravar la inflamación en las encías. Cuando el esmalte está muy dañado debido a caries, fracturas o erosión, las carillas pueden no tener una buena superficie de adhesión y ser más propensas a romperse o desprenderse.
Proceso de colocación de carillas de porcelana
El proceso de colocación de las carillas de porcelana consta de varias fases, las cuales pueden variar según las necesidades de cada paciente. Asimismo, el odontólogo trata con el paciente sus expectativas respecto al tratamiento (defectos que pretende corregir, resultados que desea conseguir…). En la siguiente visita, el dentista prepara los dientes para la posterior colocación de las carillas de porcelana. Normalmente, el laboratorio dental tarda entre una y dos semanas en confeccionar las carillas. Una vez que las carillas de porcelana han sido fabricadas, el paciente acude de nuevo a la consulta para que el odontólogo proceda a su colocación. En general, el proceso completo de colocación de las carillas de porcelana dura varias semanas y requiere entre tres y cuatro visitas al dentista.

Ventajas de las carillas dentales
Las carillas dentales son un tratamiento eficaz a la hora de corregir y/o disimular pequeños defectos que afectan negativamente al aspecto de los dientes. Aunque existen desventajas de las carillas dentales, este tratamiento ofrece muchas ventajas que las convierten en una de las soluciones estéticas más populares.
- Resultados rápidos y efectivos: A diferencia de otros tratamientos como la ortodoncia invisible o los blanqueamientos, las carillas ofrecen resultados inmediatos. En solo dos o tres visitas al dentista, puedes conseguir una sonrisa completamente renovada. Esto las convierte en una buena opción para quienes buscan un resultado rápido y visible. Esto significa que no solo blanquean, sino que también mejoran la forma y el tamaño de los dientes. Es importante aclarar que el resultado final no da la sensación de que los dientes hayan sido limados. Las carillas se adaptan al diente sin necesidad de desgastar excesivamente el esmalte y son capaces de simular un diente natural sin signos de intervención.
- Mejora de la autoestima: Una mala salud bucal puede tener un efecto negativo en su autoestima. Una sonrisa sana es una de las primeras impresiones que se da a los demás, por lo que es mejor evitarla si es posible.
- Resistencia y durabilidad: En comparación con otros tratamientos, las carillas son mucho más duraderas. Mientras que un blanqueamiento debe repetirse cada pocos meses para mantener los resultados, las carillas pueden durar entre 10 y 15 años, o incluso más, con el cuidado adecuado. Esto las hace una opción más estable a largo plazo, sobre todo cuando se comparan con tratamientos más temporales. Al ser más resistentes al desgaste y a las manchas, las carillas son una solución duradera que puede mantenerse durante años.
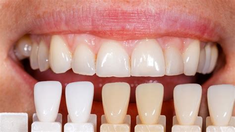
- Personalización del color y la forma de los dientes: Una de las grandes ventajas de las carillas es que pueden ser personalizadas para que se adapten perfectamente a la forma, el color y el tamaño de tus dientes naturales. Esto te permite diseñar la sonrisa que quieras con la ayuda de tu dentista. Gracias a que se pueden personalizar, se pueden conseguir los resultados más naturales posibles. Esto significa que, independientemente del color de tus dientes o la forma de tu sonrisa, las carillas pueden adaptarse a lo que necesites con resultados indetectables.
- Poco mantenimiento y fácil cuidado: A diferencia de otros tratamientos estéticos, las carillas no requieren cuidados especiales. Con una buena higiene oral y visitas regulares al dentista, pueden mantenerse en perfecto estado durante muchos años. Además, no se manchan tan fácilmente como los dientes naturales, lo que ayuda a mantener una sonrisa brillante y uniforme sin mucho esfuerzo. Sin embargo, aunque no necesitan cuidados complicados, siempre es importante mantener una buena rutina de higiene dental.
- Cuidado preventivo: Una carilla dental puede ayudar a prevenir futuros problemas dentales.
- Mejor salud bucal: Una vez que hayas arreglado tus dientes, puedes ser más diligente con tu salud bucal y la prevención.
- Fortalece los dientes y devuelve funcionalidad: Ayudan a fortalecer los dientes fracturados y restaurar la función normal. Se usan para corregir deficiencias oclusales o para restablecer una guía correcta durante movimientos masticatorios.
- Aumento de la autoestima: Una bonita sonrisa es muy importante en el día a día de cualquier persona. Poco tiempo de recuperación.
Desventajas de las carillas dentales
En este artículo no sólo hablaremos de los beneficios y ventajas de realizarse este tratamiento de estética dental, sino que también exploramos con detalle las desventajas e inconvenientes de las carillas dentales, con el objetivo de ayudarte a valorar si es la opción más adecuada para ti.
- El costo: El costo de las carillas dentales puede ser relativamente elevado para ciertos pacientes, especialmente si se opta por las de porcelana. El precio de las carillas varía según el material elegido.
- Proceso irreversible: Para colocar las carillas adecuadamente hay que preparar el diente a través de un contorneado estético que facilite su adhesión. Para colocar carillas, normalmente es necesario preparar el diente y esto puede incidir ligeramente el esmalte dental. Esto es irreversible y puede debilitar el diente si no se realiza adecuadamente. En algunos casos, resulta necesario tallar el diente antes de colocar una carilla de porcelana. Las carillas no son reversibles si se ha tratado el esmalte dental. Quitar una carilla sin reemplazarla dejaría el diente expuesto y estéticamente comprometido.
- Posibles complicaciones: Como con cualquier procedimiento dental, existen posibles complicaciones, como la sensibilidad dental o el riesgo de que las carillas se desprendan o se dañen si no se cuidan adecuadamente. Tras un tratamiento de colocación de carillas se puede experimentar sensibilidad dental, particularmente al comer o beber alimentos con cambios de temperatura.
- Limitaciones: No todas las personas son candidatas ideales para las carillas.
- Existe posibilidad de tinción.
- No se pueden reparar: Las carillas de porcelana suelen durar muchos años. Sin embargo, también pueden experimentar alguna fractura, especialmente si el paciente no sigue los cuidados de alimentación recomendados (evitar los alimentos muy duros, no comer bocadillos o manzanas a mordiscos…). Ante una rotura, es necesario retirar la carilla y que el laboratorio fabrique una nueva. Si una carilla se rompe o se despega, debes acudir al dentista cuanto antes. Dependiendo del daño, se puede volver a cementar o habrá que fabricar una nueva.
Duración de las carillas dentales
La duración de las carillas dentales está determinada por diversos factores, como los cuidados que siga el paciente en cuanto a higiene oral, alimentación, tabaco, hábitos, revisiones con el dentista, etc. Adicionalmente, la durabilidad del tratamiento también depende del material con el que están fabricadas las carillas y de la técnica de colocación (directa o indirecta). Por ello, no resulta posible determinar de antemano cuánto tiempo duran las carillas dentales. Lo que sí podemos decirte es que, con unos cuidados y unos mantenimientos adecuados, son un tratamiento pensado para durar a largo plazo.
La durabilidad de las carillas de porcelana depende, fundamentalmente, de los cuidados que siga el paciente. Este tipo de carillas pueden durar entre uno y diez años.

Las carillas de porcelana, si se cuidan adecuadamente, pueden durar entre 15 y 20 años.
Las carillas de porcelana suelen tener una duración de entre 10 y 15 años, mientras que las de composite entre 5 y 7 años.
Cuidados de las carillas dentales
A pesar de su resistencia, es esencial que el paciente tome una serie de medidas para prevenir la fractura de las carillas. Por un lado, las personas bruxistas deben llevar una férula de descarga por las noches. Para evitar los inconvenientes de las carillas, siempre recomendamos que las realice un profesional. Un dentista experimentado podrá evaluar tu situación y recomendarte el tipo de carillas que mejor se adapten a lo que quieras y necesites. Además, seguir las recomendaciones de cuidado es lo más importante para hacer que duren el mayor tiempo posible. Así, evitas problemas como la sensibilidad o el desgaste excesivo del esmalte.
Riesgos de las carillas dentales
Aunque existen riesgos asociados con este tratamiento, se pueden evitar siempre y cuando consultes con un especialista cualificado. En algunos casos, cuando no se realiza bajo la supervisión de un odontólogo especializado en estética dental, sí. Muchos de estos tratamientos se hacen en apenas unas horas, siendo imposible dedicar el tiempo suficiente a realizar un diagnóstico completo o una planificación personalizada para cada paciente. “Todo tratamiento conlleva unos riesgos, y si no se evalúa correctamente el estado bucodental de cada persona, pueden surgir inconvenientes a corto y largo plazo, como sensibilidad dental, problemas en las encías e, incluso, la pérdida dental.
Preguntas frecuentes
- ¿Duele el procedimiento de colocación de carillas? No es doloroso. Se puede usar anestesia local durante la preparación del diente para mayor comodidad.
- ¿Causan sensibilidad dental? Es posible. Como se trabaja directamente sobre el esmalte, puede haber sensibilidad al frío o al calor, especialmente los primeros días.
- ¿Puedo comer normalmente con carillas?
- ¿Las carillas se manchan con el tiempo? No. A diferencia de otros materiales, como el composite, la porcelana es altamente resistente a las manchas (alimentos, bebidas, tabaco…).
- ¿Cambian de color con los tratamientos de blanqueamiento dental? No. La porcelana no cambia de color con los tratamientos de blanqueamiento dental.
- ¿Es posible reparar una carilla rota? En algunos casos, sí. Sin embargo, puede ser necesario reemplazar la carilla si el daño es severo.
- ¿Qué sucede si no me gustan mis carillas después de colocarlas? Es importante que en la primera cita discutamos todas tus expectativas antes de iniciar del procedimiento. Realizamos pruebas estéticas para que todo quede acorde a tus gustos. Una vez colocadas, las carillas son permanentes y no pueden retirarse sin reemplazo.
- ¿El bruxismo afecta las carillas? Sí, en la mayoría de los casos. El bruxismo puede dañar o fracturar las carillas.
- ¿Causan problemas en las encías? Si están bien colocadas, no. Pero si están mal adaptadas, pueden causar inflamación, sangrado o recesión gingival.
En Dental Care Barcelona somos especialistas en estética dental y aconsejamos siempre a nuestros pacientes con el tipo de carillas que mejor les convenga. En nuestras clínicas atendemos a muchas familias para mantener una estética dental apropiada para cada uno de nuestros pacientes.