¿Sabías que hay alimentos que pueden afectar la coloración de tus dientes? La respuesta es sí. Algunos alimentos pueden manchar nuestros dientes haciendo que nuestra sonrisa no luzca tan blanca y reluciente como nos gustaría.
El chocolate, el té o el café están en la lista de esos alimentos que manchan los dientes. En algunos casos, será complicado caer en la tentación, pero si quieres mantener unos dientes sanos y blancos es recomendable controlar su consumo ya que pueden acabar afectando al color de tus dientes.
Hay que decir que unos dientes manchados o amarillentos no dependen solo de lo que comamos, sino también de la salud bucodental. De este modo, los dientes se manchan porque las sustancias de dichos alimentos hacen que la decoloración sea más acelerada.
Por ello, resaltamos la dificultad de evitar dichos alimentos y promovemos las técnicas de cuidado dental. Nuestra alimentación es uno de los principales factores que pueden provocar que nuestros dientes tengan un aspecto amarillento o con manchas.
A continuación, exploraremos los alimentos y bebidas más comunes que pueden causar manchas en los dientes y cómo mitigar su impacto.
Principales alimentos y bebidas que manchan los dientes
¿Sabes cuáles son esos alimentos que manchan los dientes? ¿No tienes claro si el té mancha los dientes? ¿O el chocolate? La presencia de colorantes naturales o artificiales en muchos alimentos pueden acabar manchando el esmalte de nuestros dientes debido a que se van depositando en él aprovechando su porosidad. Por supuesto, hay personas más propensas que otras a sufrir estas manchas. Y la razón es la propia genética.
Estos son algunos de los principales causantes de manchas en los dientes:
- Café: El café es, quizás, el principal de los alimentos que dañan los dientes. El café, como todos sabemos, es una de las bebidas que más daño hace a la coloración de nuestros dientes por la concentración de cromógenos. Su consumo diario, incluso en pequeñas cantidades, puede teñir los dientes de un tono amarillento. Esto se debe a que contiene una alta concentración de sustancias cromógenas.
- Té: Sí, el té mancha los dientes. Especialmente el té negro y el té rojo, que consiguen dejar un tono amarillento. ¿Por qué? Porque los tés cuentan en su composición con taninos, una de las sustancias que más tiñen los dientes. El té contiene taninos, lo que oscurece los dientes rápidamente. Esta bebida contiene taninos que tiñen los dientes de forma rápida. Por ello, podemos concluir que el té amarillea los dientes, siendo el té negro el que más afecta a nuestros dientes blancos.
- Vino tinto: El vino también. El vino tinto también contiene taninos y otros elementos como ácido y cromógeno, que también tiñen los dientes. Al igual que sucede con el té, el vino tinto está compuesto por taninos. Su color púrpura ayuda a teñir nuestros dientes con su consumo diario. Pero, no olvides que el vino blanco también mancha nuestros dientes.
- Salsas y vinagres: ¡Pero ojo! El color intenso de la salsa de soja puede teñir los dientes. La salsa de soja, además de contener azúcar, adquiere un color intenso capaz de manchar los dientes y amarillearlos. Al igual que la salsa de soja, los vinagres hechos a partir de distintas sustancias cítricas también destruyen nuestro esmalte dental y son muy azucarados. Así pues, entre los alimentos que tiñen los dientes también se cuelan los vinagres de todo tipo. Destacamos la salsa de soja y el vinagre de Módena como dos condimentos que llevan a una mayor pérdida de color en los dientes, por lo que deben tomarse con precaución.
- Bebidas energéticas: En el punto de mira por su alto contenido en azúcar, también son perjudiciales para el color blanquecino de los dientes. Este tipo de alimento, ampliamente consumido por deportistas y jóvenes, adquieren un alto contenido en ácido. Además, el azúcar se convierte en alimento estrella de su composición. Si no quieres aumentar el riesgo de contraer caries, reduce su consumo. En este grupo destacamos las gaseosas, refrescos y otras bebidas azucaradas.
- Zumos de frutas: Aunque son bebidas saludables, no debemos abusar de ellas porque pueden teñir nuestros dientes. Los zumos de frutas o cítricos adquieren altos niveles de acidez, que provocan un mayor daño a nuestra estética dental. Cuando ingieras un zumo de naranja o limón recuerda esperar una media hora antes de cepillarte los dientes.
- Frutas y verduras de color intenso: Algunos de ellos son las frutas y verduras de color intenso como los arándanos, las moras, las cerezas o la remolacha debido al potente pigmento que contienen y que se adhiere a la pieza dental pudiendo mancharla, según explica el Colegio de Odontólogos y Estomatólogos de Valencia. Hablamos de verduras como la remolacha y frutos rojos como los arándanos, las moras, las cerezas y las frambuesas… Sus pigmentos de colores se adhieren con fuerza en nuestros dientes, afectando así a su blancura. Los frutos rojos, la remolacha, las cerezas y este tipo de alimentos pueden dañar el esmalte. Pero, al ser buenos para nuestra salud, es mejor consumirlos con yogures o como batidos naturales.
- Chocolate: ¿El chocolate mancha los dientes? Sí y no. El cacao (y, por tanto, el chocolate) mancha los dientes, sobre todo cuanto menos puro es. El chocolate mancha los dientes si es mezclado con leche y con azúcar. El chocolate con leche contiene pigmentos que contribuyen a la aparición de manchas en los dientes. El cacao mancha los dientes, eso es así. En pequeñas cantidades y de una alta concentración (más del 70%), nos ayuda a mantener un buen esmalte dental.
- Cítricos: El consumo excesivo de ciertos alimentos puede provocar manchas en los dientes. El ácido cítrico de este tipo de alimentos, como la naranja o el limón, disuelve las sales de calcio que componen la superficie de los dientes. Por eso, en Clínica Dental Míriam Cantero te recomendamos que, cuando tomes alimentos cítricos o zumos, esperes al menos media hora para cepillarte los dientes. De todas las frutas es la campeona. Su textura favorece la limpieza de los dientes y favorece la secreción de la saliva, lo que ayuda a neutralizar los ácidos que atacan el esmalte.
- Tabaco: Aunque no hablamos de un alimento en sí, su consumo lo realizamos a través de nuestra boca. La nicotina del tabaco oscurece nuestro esmalte dental, haciendo que nuestros dientes se vuelvan amarillentos con el paso del tiempo. La nicotina de un cigarrillo ayuda a oscurecer nuestro esmalte e incluso amarillearlo con el paso del tiempo. La nicotina oscurece el esmalte y mancha los dientes, provocando enfermedades en las encías y pudiendo ocasionar la pérdida de los dientes a largo plazo. Además, estimula la pérdida en la permeabilidad de las mucosas, disminuye la oxigenación y da lugar al envejecimiento prematuro tanto de los dientes como de los tejidos que los rodean.

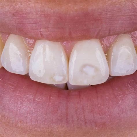
Es importante saber que no todas las caries son oscuras, las hay de color blanco y de color pardo. Y otras veces, las manchas negras pueden aparecer debido a la muerte del nervio en el interior del diente o pulpa, que puede darse por un traumatismo, caries, reabsorción dental etc.
Si las manchas negras se detectan a tiempo, y la integridad del diente no está afectada y el esmalte debajo de la mancha está en perfecto estado, una limpieza dental suele ser suficiente para eliminarlas.

Alimentos que ayudan a mantener una sonrisa blanca
Si hay alimentos más propensos a manchar los dientes, también hay alimentos que nos serán de gran ayuda para conseguir una sonrisa blanca, además de una dieta equilibrada. Por el contrario, existen ciertos aliados para conseguir una sonrisa blanca. Alimentos y bebidas que nos ayudan a realizar una dieta equilibrada y sana.
- Manzanas, zanahorias y espinacas: La textura y fibra que adquieren las manzanas, las zanahorias y las espinacas nos ayudan a mantener una boca limpia, sana y blanca.
- Lácteos: Además, los lácteos como la leche, el yogur y el queso contribuyen a aumentar la producción de saliva y equilibran el pH de la boca. El ácido láctico que poseen el queso y el yogur natural sin azúcar ayuda a equilibrar el pH de la boca evitando que se desarrollen las bacterias causantes del deterioro del esmalte dental.
- Chocolate negro: Al contrario de lo que pueda parecer, el chocolate negro no es un alimento que manche los dientes. Más bien, todo lo contrario. Además, ayuda a fortalecer el esmalte. No lo uses como excusa para darte carta blanca, pero el chocolate sin leche, con una alta concentración de cacao (del 70% en adelante) es bueno para el esmalte dental. Contiene una sustancia llamada teobromina que no solo lo fortalece, sino que impide que las bacterias produzcan el ácido que ataca el esmalte.

Consejos para prevenir las manchas dentales
La prevención, por tanto, es fundamental para evitar la aparición de manchas oscuras o negras en los dientes. Limitando el consumo de alimentos y bebidas pigmentantes y manteniendo una buena higiene bucal.
Finalmente, no olvides que para prevenir estas manchas dentales hay que tener una correcta higiene dental, incluyendo el cepillado diario tres veces al día junto con la aplicación de un colutorio. También recomendamos el uso del hilo dental y si lo crees conveniente, un blanqueamiento dental en Coinsol.
Lo ideal para que el café, el té o el vino tinto tiñan menos nuestros dientes es enjuagarnos la boca y cepillar los dientes después de la ingesta. Por supuesto, el cepillado dental debes hacerlo después de cada comida o, al menos, dos o tres veces al día.
Los alimentos que más podrán ayudarte a blanquear los dientes de manera natural son las frutas y las hortalizas crudas que no tengan un color intenso. Este tipo de alimentos, si se ingieren crudos, requieren mucha masticación, lo que estimula la producción de saliva.
Además de tratar las manchas, es fundamental prevenir que aparezcan nuevas. Limita el consumo de alimentos y bebidas pigmentantes. Lo primero que te recomendamos es restringir el consumo de los alimentos que manchan los dientes y que no son saludables (refrescos, chocolate con leche, salsas industriales…). En cambio, te aconsejamos que continúes comiendo todos esos alimentos que, aunque manchan tus dientes, son muy saludables (espinaca, frutos rojos, remolacha…).
Aquí hay algunos consejos adicionales:
- Buena higiene oral: Cepíllate los dientes después de cada comida o, al menos, dos veces al día.
- Usa hilo dental: Utiliza hilo dental diariamente para eliminar la placa y los residuos de alimentos entre los dientes.
- Enjuague bucal: Utiliza un enjuague bucal fluorado para fortalecer el esmalte y prevenir las caries.
- Visitas regulares al dentista: Programa revisiones y limpiezas dentales profesionales periódicamente.
Si notas tu sonrisa más apagada o con manchas que no desaparecen, consulta con tu dentista para explorar opciones de blanqueamiento dental profesional.
Tabla resumen de alimentos y su efecto en la coloración dental:
| Alimento/Bebida | Efecto en la coloración dental | Recomendaciones |
|---|---|---|
| Café | Manchas amarillentas | Enjuagar la boca después de consumir |
| Té (negro y rojo) | Manchas amarillentas | Optar por té verde |
| Vino tinto | Manchas púrpuras | Consumir con moderación |
| Salsa de soja | Manchas oscuras | Usar con precaución |
| Frutos rojos | Manchas rojizas | Consumir con yogur o batidos |
| Chocolate con leche | Manchas marrones | Consumir chocolate negro con moderación |
| Cítricos | Erosión del esmalte | Esperar 30 minutos para cepillarse |