Los quistes dentales son una consulta frecuente en las clínicas odontológicas. Muchos pacientes acuden a la clínica preocupados por la aparición de un bulto en la encía, el cual puede presentar diferentes formas y síntomas, ya que existen distintos tipos producidos por causas de variados orígenes. Por lo general, suele ser un quiste en la boca.
Un quiste es una alteración del tejido normal de la boca, normalmente producida por una infección que afecta al diente, la encía, la mucosa oral o el hueso. Se forma una cavidad recubierta por una membrana, la cual contiene un líquido o aire, según sea el proceso que lo genera. Cuando se trata de un quiste en la mucosa (mucocele), su tasa de prevalencia es de 2,4 casos por cada 1.000 personas. Aunque en general no presentan riesgos importantes para la salud, es necesario evaluar cualquier síntoma para descartar que sea una afección grave.
Quiste radicular, diagnóstico y tratamiento
¿Qué es un quiste radicular?
También llamado quiste radicular, es sin duda el quiste más común en los dientes. Un quiste radicular es una cavidad cerrada, recubierta por una membrana epitelial y rellena de líquido o material semisólido que se forma en el hueso maxilar alrededor del ápice de la raíz de un diente. Se localiza con mayor frecuencia en la zona anterior de la mandíbula y, en la mayoría de los casos, es completamente asintomático.
Los quistes periapicales están causados por la necrosis de la pulpa dental. Significa que el tejido blando situado debajo de la capa más dura y resistente del diente pierde su vitalidad, reduciendo el suministro de sangre, oxígeno y nutrientes. Este tipo de quiste tiene un crecimiento lento y, en sus primeras fases, puede pasar desapercibido para el paciente ya que no siempre produce dolor ni molestias evidentes.
El quiste radicular se define como una lesión osteolítica de los maxilares que se origina a partir de un foco inflamatorio procedente del foramen apical como consecuencia de la necrosis pulpar. Tanto el quiste radicular inflamatorio como el granuloma periapical se originan por la invasión bacteriana al sistema de canales radiculares. Es el más común de los quistes de los maxilares, reportándose frecuencias de entre el 7 al 54% de las lesiones radiolúcidas periapicales, y hasta del 80% de todos los quistes odontogénicos.

Causas de los quistes radiculares
- Infección bacteriana: La infección bacteriana en la raíz del diente es la causa principal de los quistes radiculares. La causa más frecuente del quiste dental es un proceso infeccioso. Suele tener un origen dental, apareciendo habitualmente por el desarrollo de una caries en el diente. Esta caries avanza llegando hasta la pulpa y raíz del diente, originando una infección en el diente y en el hueso que lo rodea.
- Caries no tratadas: Si hay una caries que no ha sido tratada adecuadamente (o no ha sido tratada en absoluto). La caries ataca primero el esmalte del diente, luego la dentina, y poco a poco se extiende por el interior del diente, hasta la raíz. Es entonces cuando se forma el quiste.
- Desarrollo de un diente: El quiste puede darse cuando erupciona una nueva pieza dental y no dispone del espacio suficiente, como sucede a menudo con las muelas del juicio.
- Después de una endodoncia: Si se produce un quiste después de una endodoncia, suele significar que el tratamiento radicular asociado no se ha realizado perfectamente.
- Traumatismos dentales: Como resultado de un impacto en el diente, la raíz puede irse necrosando poco a poco sin que el paciente se dé cuenta, ya que el proceso suele ser indoloro y sin ningún otro síntoma. Una lesión (golpe, mordedura, piercing, etc.) también puede producir un quiste bucal.
- Quistes odontogénicos: Los quistes odontogénicos, están causados por residuos de dientes que no se han formado o correctamente. Los quistes radiculares son los quistes más frecuentes dentro de los quistes odontogenicos inflamatorios. Se trata de lesiones periapicales que se producen por la degeneración pulpar. Puede ser una consecuencia de procesos cariosos o a traumatismos dentales.
Síntomas de un quiste radicular
Los quistes radiculares dentales a menudo son asintomáticos y pueden descubrirse durante exámenes dentales de rutina o radiografías dentales. Suelen ser asintomáticos, aunque anteriormente hayan generado un gran proceso doloroso, ya que la infección ha podido producir daños en el diente, produciendo a su vez un absceso dental. Por ello, cuando se forma el quiste dental, al ser una infección con un proceso crónico y no agudo, el dolor desaparece, quedando, a veces, inflamación y pequeñas molestias.
Los quistes en la boca suelen ser asintomáticos y se detectan por la presencia del propio bulto. Antes de la aparición del quiste, la acumulación de pus (absceso) puede ocasionar dolor. Si el quiste radicular aún no es extenso, se puede tratar la pieza con una endodoncia. Muy a menudo, el quiste radicular se presenta de forma casi totalmente asintomática y solo un examen radiográfico podrá diagnosticarlo correctamente.
Cuando se gesta un quiste radicular suele ser asintomático. De hecho, acostumbra ser habitual que el paciente no perciba molestias ni síntomas durante mucho tiempo. En otros casos, es el paciente el que refiere una serie de síntomas que el odontólogo relaciona con la presencia de un quiste radicular, que, posteriormente, se confirmará - o no - mediante las pruebas diagnósticas pertinentes (radiografías o TC).
Hemos mencionado que uno de los síntomas de un quiste periapical es la inflamación de las encías. Uno de los grandes problemas del quiste radicular es que puede crecer sin dar síntomas durante meses o incluso años.
Diagnóstico
El diagnóstico de un quiste periapical es inicialmente difícil porque no presenta síntomas. Para detectarlo, de hecho, el médico necesitará una radiografía panorámica y/o periapical. El diagnóstico de un quiste radicular se basa en una combinación de exploración clínica y pruebas radiográficas. Durante la revisión, el odontólogo puede detectar signos indirectos como la presencia de una fístula o la inflamación de la zona periapical.
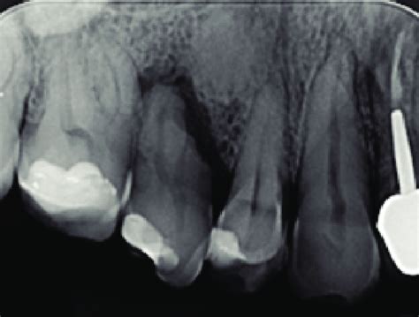
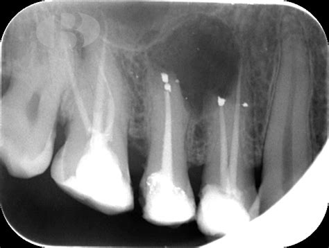
El quiste radicular se diagnostica mediante radiografías periapicales, en la radiografía los quistes se observan como una lesión radiolúcida (negras) con los bordes bien delimitados por una delgada línea blanquecina, de forma redondeada u ovalada. Sin embargo, la confirmación de la presencia de un quiste radicular se obtiene mediante imágenes radiográficas como las radiografías periapicales, las ortopantomografías (visión panorámica de ambos maxilares) o las tomografías computarizada de haz cónico (CBCT).

Tratamiento del Quiste Radicular
El tratamiento del quiste radicular dental varía según la gravedad del caso y puede implicar diferentes enfoques. Este tipo de quistes se observan acudiendo al dentista, una vez se ha diagnosticado el quiste radicular y se ha determinado si es debido de un proceso infeccioso o no, se procederá a realizar el tratamiento. El tratamiento consiste, en la mayoría de los casos, en la extirpación del quiste con anestesia local.
El tratamiento del quiste radicular dependerá de si se trata de un quiste derivado de un proceso infeccioso o no. En el caso de que se deba a un proceso infeccioso, debe realizarse una endodoncia del diente y, tras ésta, realizar un seguimiento para asegurar que no vuelve a aparecer. En el caso de que no tenga un origen infeccioso, simplemente habrá que realizar la escisión del quiste para que deje de molestar al paciente.
Con quistes radiculares pequeños o asintomáticos, el facultativo puede optar por un tratamiento conservador. El tratamiento depende del estado del diente y del tamaño del quiste.
- Si no es posible eliminar la infección solo por vía endodóntica, se realiza una cirugía menor para acceder al ápice de la raíz, cortar la punta y extirpar el quiste.
- Si el diente está fracturado, con movilidad o muy deteriorado, puede ser necesario extraerlo junto con el quiste.
Tras eliminar el quiste radicular, el hueso comienza a regenerarse de forma progresiva.
Endodoncia
Durante la endodoncia, se elimina el tejido infectado de la pulpa del diente y se limpian y desinfectan los conductos radiculares. Si el origen del quiste es un proceso infeccioso, deberá realizarse la endodoncia del diente en cuestión, es decir se llevará a cabo el tratamiento de los conductos radiculares. Una vez hecha la endodoncia se tendrá que controlar. Si un paciente acude a la consulta con un tratamiento de endodoncia ya realizado, pero presenta una lesion radicular, el tratamiento que se llevará a cabo será la reendodoncia del diente afectado. Se repetirá el tratamiento de conductos siguiendo el correcto protocolo para que el tratamiento tenga éxito. Este tratamiento se realiza cuando el diente aún es viable y puede salvarse.
Cirugía apical
En casos en los que la endodoncia no es posible o no es efectiva, se puede realizar una cirugía apical. La cirugía para eliminar los quistes radiculares es bastante rápida (unos 30 minutos) y se realiza con anestesia local. El procedimiento no es doloroso y primero se realiza un drenaje para eliminar el líquido seroso del quiste y luego se elimina el epitelio para evitar que el quiste vuelva a formarse.
Cuando el origen es una muela del juicio, la solución habitual es la extracción de la pieza y la eliminación del quiste. La quistectomía es una cirugía menor, habitualmente ambulatoria, que puede realizarse bajo anestesia local. El postoperatorio de una quistectomía no suele presentar complicaciones, y, si siguen las indicaciones del cirujano, los pacientes no sufren excesivas molestias tras la intervención. El pronóstico es muy favorable en la mayoría de los casos.
Si el diente ya estaba endodonciado o tras hacer alguno de los anteriores tratamientos reaparece el quiste, se procede a hacer una apicectomía más sellado retrógrado del ápice del diente junto con la quistectomía (extirpación del quiste), para impedir que vuelva a aparecer el quiste. Lo cierto es que no es infrecuente que haya que llegar a este punto.
El postoperatorio tras un tratamiento de quiste radicular dependerá del tipo de intervención que se haya realizado. Por supuesto, es la cirugía la que requiere de mayor periodo postoperatorio, mientras que los procesos de recuperación de las otras dos intervenciones son relativamente más sencillas.

Prevención
Para evitarlo, siempre tienes que mantener una correcta higiene bucodental, lo que permitirá evitar todo tipo de infecciones. Por lo tanto, es recomendable el cepillado después de cada comida y el uso de hilo dental. Es importante llevar a cabo una rutina de higiene diaria, acompañada de revisiones anuales a tu dentista de confianza para detectar cualquier problema a tiempo.
Si presentas alguna caries dental, problemas de encías o enfermedades gingivales, lo ideal es que lo trates cuanto antes. El mejor remedio para evitar la formación de quistes periapicales es, como siempre, la prevención. Es importante que sepas que la prevención y el diagnóstico rápido de un quiste en la boca es fundamental para evitar problemas mayores.
¿Has notado que tienes un bulto en la encía o en alguna zona de la boca? ¿Sientes dolor o molestias en algún punto? ¿Has detectado una caries? De manera general, es recomendable realizar una revisión anual de tu boca. Y si percibes una inflamación persistente o molestias en la zona de un diente previamente tratado o dañado, acude a tu odontólogo.
Recuerda: Una boca sana es el inicio de un cuerpo saludable. Únete a una comunidad dedicada a mejorar tu bienestar bucodental.
Tabla Resumen de Tratamientos
| Tratamiento | Descripción | Indicación |
|---|---|---|
| Endodoncia | Eliminación del tejido infectado de la pulpa y desinfección de los conductos radiculares. | Quiste radicular no extenso y diente viable. |
| Reendodoncia | Repetición del tratamiento de conductos. | Lesión radicular después de una endodoncia previa. |
| Cirugía Apical | Extirpación quirúrgica del quiste y, si es necesario, resección de la punta de la raíz. | Endodoncia no efectiva o imposible. |
| Extracción Dental | Remoción del diente y el quiste. | Diente fracturado, con movilidad o muy deteriorado. |