Estar sufriendo un quiste dental es un problema de salud odontológica mucho más común de lo que podemos pensar. Un quiste es un saco biológico que se forma en nuestro organismo y que puede contener líquido, aire o cualquier otro tipo de materia orgánica.

Los quistes en los dientes reciben el nombre profesional de quistes odontogénicos. Se trata de unas cavidades que como hemos mencionado suelen ser una extensión de una infección que se ha producido en los dientes o huesos adyacentes. En su interior, están formados por pus, que es un material que puede estar en estado semisólido o también en estado líquido.
La gran mayoría de los quistes dentales son benignos, lo que significa que no están relacionados con ninguna enfermedad y que, una vez extirpados, no tienen por qué dar mayor problema. El quiste dental maligno no suele darse, pero sí es necesario solucionar cuanto antes este problema de salud para que no termine desembocando, por ejemplo, en la pérdida de una pieza dental. De todos modos, como ya sabemos, a pesar de no ser maligno un quiste dental puede terminar provocando la extracción de una o varias piezas dentales, así como su desplazamiento e incluso deformaciones en el rostro.
Causas de los Quistes Dentales
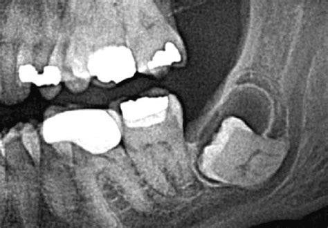
El quiste dental puede deberse a distintos motivos, pero todos ellos tienen algo en común: implican infección en el diente o en los tejidos próximos a este. Generalmente los quistes dentales se observan a través de una radiografía panorámica o una radiografía 3D que es mucho más precisa y exacta.
La causa más frecuente del quiste dental es un proceso infeccioso. La principal causa de la aparición de un quiste dental en la punta de la raíz del diente son las caries. Estas zonas dañadas del diente, con un característico color negro, dañan el esmalte y, si no se tratan, pueden afectar al nervio dental.
Aquí hay un resumen de las causas más comunes:
- Caries no tratadas: Si hay una caries que no ha sido tratada adecuadamente (o no ha sido tratada en absoluto). La caries ataca primero el esmalte del diente, luego la dentina, y poco a poco se extiende por el interior del diente, hasta la raíz. Es entonces cuando se forma el quiste.
- Después de una endodoncia: Si se produce un quiste después de una endodoncia, suele significar que el tratamiento radicular asociado no se ha realizado perfectamente.
- Traumatismos dentales: Como resultado de un impacto en el diente, la raíz puede irse necrosando poco a poco sin que el paciente se dé cuenta, ya que el proceso suele ser indoloro y sin ningún otro síntoma. La otra causa principal de un quiste dental suele ser haber recibido un golpe en la zona.
- Desarrollo de un diente: el quiste puede darse cuando erupciona una nueva pieza dental y no dispone del espacio suficiente, como sucede a menudo con las muelas del juicio.
- Infección: la causa más frecuente del quiste dental es un proceso infeccioso.

Tipos de Quistes Dentales
Al hablar de un quiste eruptivo dental conviene tener en cuenta que existen varios tipos diferentes. Podemos clasificar los quistes dentales en tres tipos:
- Quistes periapicales o radiculares: También llamado quiste radicular es sin duda el quiste más común en los dientes. Se trata del quiste dental que se forma en la punta de la raíz del diente. Es el segundo tipo de quiste dental más común tras el radicular, y suele darse en los molares, concretamente en el tercer molar de la mandíbula inferior. Los quistes periapicales están causados por la necrosis de la pulpa dental. Significa que el tejido blando situado debajo de la capa más dura y resistente del diente pierde su vitalidad, reduciendo el suministro de sangre, oxígeno y nutrientes. Los quistes periapicales suelen desarrollarse como resultado de una serie de enfermedades infecciosas que afectan a los tejidos internos del diente.
- Quistes dentales laterales: Los quistes dentales laterales se forman en los costados de las piezas dentales y derivan de una enfermedad periodontal. Se localiza con mayor frecuencia en la zona anterior de la mandíbula y, en la mayoría de los casos, es completamente asintomático.
- Quistes dentales residuales: Hablamos de quistes dentales residuales cuando se forman a causa de una extracción dental que no se ha realizado como es debido. Estos quistes tienden a aparecer tras la extracción de un diente. Cuando realizamos una extracción dental, el tejido infectado debe retirarse también, ya que si no se retiran adecuadamente existe la posibilidad de la formación de un quiste residual que deberá ser extirpado en otro acto quirúrgico.
Síntomas de los Quistes Dentales
Muy a menudo, el quiste radicular se presenta de forma casi totalmente asintomática y solo un examen radiográfico podrá diagnosticarlo correctamente. Este se caracteriza además por ser semiblando y escamoso al tacto. Los quistes dentales son consecuencia de una infección que se ha producido en el diente o en un hueso adyacente.

Si de repente detectas que tu encía se inflama en determinada zona, y que comienza a formarse una pequeña fístula por encima del diente, podemos estar hablando de un quiste dental o odontogénico. Una caries o un golpe en el diente puede originarla, y si bien es un tipo de patología benigna y común, fácil de tratar, es normal alarmarse un poco ante su aparición.
Síntomas de los quistes dentales:
- La encía comienza a presentar dolor e inflamación localizada y pueden aparecer llagas en la zona. Hemos mencionado que uno de los síntomas de un quiste periapical es la inflamación de las encías.
- Se produce una reabsorción de las raíces próximas al quiste dental.
- Puede aparecer una protuberancia semiblanda en la encía cuyo interior está formado por pus.
- Es común, también, sufrir de sensibilidad en los labios.
- En los casos más avanzados el crecimiento del quiste puede provocar desplazamiento de una o más piezas dentales.
Diagnóstico de Quistes Dentales
Ante la presencia de los síntomas antes descritos, se debe recurrir a un profesional de la salud dental para que determine cuál es el diagnóstico correcto. Para detectarlo, de hecho, el médico necesitará una radiografía panorámica y/o periapical.
Estos estudios determinarán el tamaño del quiste, su origen, la posición, el estado del diente y de la encía y cómo afecta a los dientes cercanos a él. En base a esto se puede establecer la manera de extirpar el quiste que será diferente en cada caso.
Tratamiento de los Quistes Dentales
El tratamiento de un quiste dental pasa por quirófano, ya que resulta esencial extirparlo para que no afecte negativamente al resto de la boca. La extracción de un quiste dental es un proceso quirúrgico cuya dificultad varía en función de cómo esté afectando a la salud bucodental, de cuál sea su tipo o del momento en el que se aborde dicha extracción.
El tratamiento suele comenzar con una endodoncia o tratamiento de conducto puesto que es el nervio dental el que está dañado. Posteriormente se procede a extirpar el quiste.
Aquí hay un resumen de los tratamientos más comunes:
- Si el quiste radicular aún no es extenso, se puede tratar la pieza con una endodoncia.
- La cirugía para eliminar los quistes radiculares es bastante rápida (unos 30 minutos) y se realiza con anestesia local. El procedimiento no es doloroso y primero se realiza un drenaje para eliminar el líquido seroso del quiste y luego se elimina el epitelio para evitar que el quiste vuelva a formarse.
- Endodoncia o reendodoncia de los dientes afectos.
- Exodoncia de dientes afectos que no tengan viabilidad.
- Apiceptomía: Obturación retrógrada para obtener un sellado del diente y evitar la recidiva del quiste.
- Reconstrucción de encía y partes blandas para obtener una buena salud periodontal y una buena estética.
Por su parte, lo normal en el postoperatorio de un quiste dental es que se desarrolle con ciertas molestias en la zona durante algunas semanas que suelen ir acompañadas de un edema.
La quistectomía es una cirugía menor, habitualmente ambulatoria, que puede realizarse bajo anestesia local. El postoperatorio de una quistectomía no suele presentar complicaciones, y, si siguen las indicaciones del cirujano, los pacientes no sufren excesivas molestias tras la intervención. El pronóstico es muy favorable en la mayoría de los casos.
Obtenido el diagnóstico y determinada la causa de los quistes por lesiones provocadas por el fracaso de diferentes endodoncias previas, el Dr.
| Tipo de Quiste | Causa Común | Tratamiento |
|---|---|---|
| Periapical | Caries, necrosis pulpar | Endodoncia, exodoncia |
| Lateral | Enfermedad periodontal | Extirpación quirúrgica |
| Residual | Extracción dental incompleta | Extirpación quirúrgica |
Prevención de los Quistes Dentales
Lo importante es diagnosticarlo y tratarlo a en el momento para evitar problemas bucodentales mayores que pueden comprometer la salud del hueso o de los dientes más cercanos.
La causa más frecuente por la que aparecen los quistes dentales son los procesos infecciosos. Por lo tanto, la mejor prevención es mantener una buena higiene dental y realizar visitas periódicas a nuestra clínica dental. Llevaremos a cabo tratamientos de control y prevención.
El mejor remedio para evitar la formación de quistes periapicales es, como siempre, la prevención. Para evitarlo, siempre tienes que mantener una correcta higiene bucodental, lo que permitirá evitar todo tipo de infecciones. Por lo tanto, es recomendable el cepillado después de cada comida y el uso de hilo dental. Es importante llevar a cabo una rutina de higiene diaria, acompañada de revisiones anuales a tu dentista de confianza para detectar cualquier problema a tiempo.
Si presentas alguna caries dental, problemas de encías o enfermedades gingivales, lo ideal es que lo trates cuanto antes. Y si percibes una inflamación persistente o molestias en la zona de un diente previamente tratado o dañado, acude a tu odontólogo.
Aquí hay algunos consejos para prevenir los quistes dentales:
- Mantén una higiene bucal rigurosa: Un boca limpia es menos propensa a infecciones. Cepíllate los dientes después de cada comida, usa hilo dental diariamente y complementa con colutorios (enjuagues) antibacterianos.
- Acude a revisiones odontológicas periódicas: Visita a tu dentista al menos una vez al año para un chequeo completo. Muchas lesiones quísticas se detectan en etapas tempranas mediante radiografías de control, antes de que causen molestias.
- Trata los problemas dentales a tiempo: No dejes que una caries avance ni que una infección de encía empeore. Acudir al dentista ante las primeras señales (dolor, inflamación, “granitos” de pus) previene que se formen quistes más adelante.
- Evita lesiones por hábitos orales: Si tienes la costumbre de morderte los labios o las mejillas, trata de controlarla porque ese traumatismo repetitivo favorece los quistes mucosos.
- Extracción de piezas retenidas cuando sea necesario: Como medida preventiva, tu dentista podría sugerir extraer las muelas del juicio que vienen mal posicionadas o incluidas en el hueso. Esto no solo reduce la posibilidad de quistes dentígeros, sino que previene otros problemas (infecciones recurrentes, daño a dientes adyacentes, etc.).