Los quistes bucales son una de las enfermedades bucales más comunes que pueden presentarse en la boca, afectando a personas de todas las edades. Un quiste dental es un problema común en salud bucodental. En este artículo, te explicamos todo lo que necesitas saber para cuidar tu salud bucodental.
Los quistes bucales son pequeñas cavidades o sacos cerrados que se forman en la boca o en los huesos maxilares. Estas bolsas pueden contener líquido, aire o material semisólido. Si bien es cierto que en muchos casos son benignas, pueden llegar a causar molestias o complicaciones si no son tratadas de manera adecuada.
Normalmente, aparecen en dientes dañados. Como decimos, un quiste maxilar es bastante común y, por tanto, su tratamiento es habitual. Sin embargo, hay quistes dentales que son peligrosos, ya que dichas células son malignas. Por otro lado, aunque encontramos una serie de síntomas en los quistes dentales; en algunos casos, los pacientes son asintomáticos.
Muchos pacientes acuden a la clínica preocupados por la aparición de un bulto en la encía, el cual puede presentar diferentes formas y síntomas, ya que existen distintos tipos producidos por causas de variados orígenes. Por lo general, suele ser un quiste en la boca.

Tipos de Quistes Dentales
Podemos encontrar distintos tipos de quistes en la boca, lo cual depende del origen y localización de estos. El quiste bucal puede dividirse en 5 tipologías diferentes, en función de la naturaleza de esta dolencia. Veamos en qué consiste cada uno de los tipos de quistes odontogénicos:
- Quiste Mucoide: Este tipo de quiste se forma cuando una glándula salival se bloquea, provocando la acumulación de moco en el interior de un saco cerrado.
- Quiste Radicular: Este es el tipo de quiste más frecuente que podemos encontrar en la boca y se forma como resultado de una infección en la raíz de un diente que se ha muerto o con caries avanzada. Su nombre ya nos indica en qué lugar se encuentra este tipo de quiste dental. En efecto, justo en la raíz del diente. Ya sea por infección por una caries no tratada o por una lesión en la propia pieza, este quiste suele crecer lentamente y ser asintomático. De hecho, se detectan por su tamaño visible. En este caso, la endodoncia suele ser el tratamiento más adecuado. De este modo, se limpia y sella el conducto radicular o, incluso, se realiza una extracción de la pieza.
- Quiste Periodontal Lateral: Este quiste es el quiste más raro y se forma en el hueso, concretamente entre las raíces de los dientes, y suele detectarse en las radiografías que realizamos periódicamente. Por su parte, este quiste dental se produce en el lateral del diente. Normalmente, es indoloro, pero si se lleva a cabo una pérdida del hueso.
- Quiste Dentígero: También denominado como quiste folicular, este quiste dental aparece en torno a la corona dental. Se produce cuando un diente no ha erupcionado al completo, como una muela del juicio. Alrededor de la corona se acumula fluido, que desarrolla el quiste; provocando la pérdida ósea en la zona. El tratamiento consiste en la extracción quirúrgica de la pieza afectada así como del quiste dental o, en otras palabras, sacar la muela con el quiste. Este quiste se desarrolla alrededor de la corona de los dientes que aún no han erupcionado, como un diente del juicio o un canino retenido, por ejemplo.
- Quiste dental de erupción: Se trata de un quiste en la encía, propio de los más jóvenes de la casa. Sí, es un quiste dental propio de niños. Y es que se produce cuando un diente permanente, a la hora de nacer, ejerce presión al no poder hacerse hueco en la encía. Normalmente, no requieren tratamiento, puesto que desaparecen solos. No obstante, en casos más graves, será necesario extraer el quiste así como la pieza dental obstruida.
Los quistes dentales se dividen en dos categorías principales: inflamatorios y de desarrollo. Dentro de cada categoría, existen varios tipos.

Causas de los Quistes Bucales
Los quistes bucales pueden tener varias causas, éstas pueden depender del tipo específico de quiste. Existen varios motivos por los que aparece esta lesión bucodental:
- Caries
- Infecciones dentales crónicas
- Traumatismos
- Desarrollo anormal de los tejidos
- Tejido epitelial en el desarrollo dental
Un quiste es una alteración del tejido normal de la boca, normalmente producida por una infección que afecta al diente, la encía, la mucosa oral o el hueso. Se forma una cavidad recubierta por una membrana, la cual contiene un líquido o aire, según sea el proceso que lo genera.
En la mayoría de los casos, el quiste dental aparece por un proceso infeccioso, ya sea por la extensión de una infección en algún diente o en la parte mucosa (la encía o el hueso). Suele tener un origen dental, apareciendo habitualmente por el desarrollo de una caries en el diente. Esta caries avanza llegando hasta la pulpa y raíz del diente, originando una infección en el diente y en el hueso que lo rodea.
La causa más frecuente del quiste dental es un proceso infeccioso. El quiste puede darse cuando erupciona una nueva pieza dental y no dispone del espacio suficiente, como sucede a menudo con las muelas del juicio. Una lesión (golpe, mordedura, piercing, etc.) también puede producir un quiste bucal.
Las causas que provocan la aparición de quistes dentales varían dependiendo de su tipo. Aquí te explicamos algunos de los más comunes:
- Quistes inflamatorios:
- Quistes periapicales: son los más frecuentes y se forman en la raíz de un diente no vital. Aparecen debido a una infección dental originada por una caries o un traumatismo, que inflama y daña el tejido circundante.
- Quistes residuales: se desarrollan cuando un quiste periapical no se elimina por completo después de una extracción dental.
- Quistes paradentales: aparecen cuando existe inflamación en la encía de un diente que está saliendo o que ya ha salido.
- Quistes de desarrollo:
- Quistes dentígeros: se forman alrededor de un diente que aún no ha erupcionado, debido a la acumulación de líquido entre la corona del diente y la capa externa del esmalte.
- Quistes de erupción: Similares a los anteriores, aparecen en dientes que están en proceso de erupción.
Quistes dentales o de los maxilares, guía para pacientes 2023
Síntomas de los Quistes Bucales
En muchos casos, los quistes bucales pueden desarrollarse sin síntomas evidentes, por lo que es normal que muchas personas no sean conscientes de su presencia hasta que “aparecen” en una de las revisiones periódicas que realizamos a nuestros pacientes en nuestras clínicas dentales. En cuanto a la sintomatología del quiste dental, cabe señalar que es muy amplia. Y es que algunos pacientes son asintomáticos, no se percatan del quiste hasta que este no es visible en la boca.
Los quistes en la boca suelen ser asintomáticos y se detectan por la presencia del propio bulto. Antes de la aparición del quiste, la acumulación de pus (absceso) puede ocasionar dolor. Por ello, cuando se forma el quiste dental, al ser una infección con un proceso crónico y no agudo, el dolor desaparece, quedando, a veces, inflamación y pequeñas molestias.
Sin embargo, en aquellos casos donde sí hay síntomas, podemos destacar los siguientes:
- Inflamación en la encía
- Dolor o molestia
- Sensibilidad dental
- Alteración en la sensibilidad labial
- Presión en la mandíbula (dificultad para masticar o hablar)
- Llagas
- Absceso dental
- La encía comienza a presentar dolor e inflamación localizada y pueden aparecer llagas en la zona.
- Se produce una reabsorción de las raíces próximas al quiste dental.
- Puede aparecer una protuberancia semiblanda en la encía cuyo interior está formado por pus.
- Es común, también, sufrir de sensibilidad en los labios.
- En los casos más avanzados el crecimiento del quiste puede provocar desplazamiento de una o más piezas dentales.
Diagnóstico de los Quistes Bucales
El diagnóstico de los quistes bucales es un paso muy importante para poder asegurar la realización de un tratamiento eficaz y, de esta manera, evitar complicaciones posteriores. Como hemos explicado anteriormente, muchos de los quistes bucales pueden desarrollarse sin mostrar síntomas evidentes, lo que demuestra que las visitas periódicas al dentista son clave para la detección a tiempo.
El primer paso para un diagnóstico adecuado de un quiste bucal es la revisión y exploración clínica que realizan nuestros dentistas. Durante esta revisión periódica, se examina minuciosamente la boca, las encías y los dientes en busca de cualquier anormalidad, como bultos, hinchazones o cambios en el color de los tejidos.
Si durante esta exploración clínica existe la sospecha de la presencia de un quiste bucal, es muy probable que el dentista realice pruebas complementarias para confirmar el diagnóstico y evaluar la extensión del quiste:
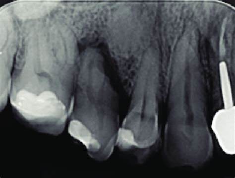
- Radiografías: Las radiografías dentales son una herramienta esencial para detectar quistes bucales que no son visibles a simple vista. Generalmente los quistes dentales se observan a través de una radiografía panorámica o una radiografía 3D que es mucho más precisa y exacta.Estos estudios determinarán el tamaño del quiste, su origen, la posición, el estado del diente y de la encía y cómo afecta a los dientes cercanos a él.
- Biopsia: Si el dentista tiene dudas sobre la naturaleza del quiste, puede recomendar una biopsia.
- Tomografías computarizadas (CT o CBCT): En algunos casos, puede ser necesario realizar una tomografía computarizada para obtener imágenes en 3D de alta resolución.
Tratamiento de los Quistes Bucales
Realizar un diagnóstico a tiempo de un quiste bucal es clave para evitar complicaciones posteriores. Si no se trata a tiempo, un quiste puede crecer y causar daño a los dientes adyacentes, el hueso maxilar o los tejidos blandos circundantes.
El tratamiento de los quistes bucales depende de varios factores, como el tipo de quiste, su tamaño, su ubicación y si está causando síntomas. En algunos casos, los quistes bucales pueden ser tratados sin necesidad de cirugía.
El tratamiento para la eliminación del quiste se determinará en función del estado del diente, de la endodoncia, del tamaño del quiste, de su origen, de la afectación de dientes vecinos, etc. Nuestro especialista valorará todos estos factores teniendo en cuenta los resultados de las pruebas previas que solicitemos.
Aquí te mostramos algunas opciones de tratamiento:
- Medicamentos: Si el quiste está relacionado con una infección dental, el tratamiento inicial puede incluir el uso de antibióticos para combatir la infección. Esto puede ayudar a reducir la inflamación y aliviar los síntomas.
- Control del crecimiento: Si el quiste es pequeño y no está causando problemas inmediatos, el dentista puede optar por monitorear regularmente para asegurarse de que no crezca o cause complicaciones.
- Cirugía de extirpación del quiste: Este es el tratamiento más común para los quistes bucales. El procedimiento consiste en extirpar el quiste por completo para evitar que vuelva a aparecer.El tratamiento suele comenzar con una endodoncia o tratamiento de conducto puesto que es el nervio dental el que está dañado. Posteriormente se procede a extirpar el quiste. Todo método de cirugía debe realizarse por verdaderos especialistas.
- Extracción dental: Si un quiste está asociado con un diente gravemente afectado o muerto, puede ser necesario extraer el diente junto con el quiste.
- Quistes periapicales: se tratan con una endodoncia para limpiar y sellar el interior del diente. Si el problema persiste algunos meses después, puede ser necesario extraer el diente junto con el quiste.
- Quistes residuales: requieren una extracción completa (exéresis) para evitar que el problema persista.
- Quistes paradentales: el tratamiento depende de la ubicación y el diente afectado. En muchos casos, se extrae el quiste y se deja que la zona sane por sí sola.
- Quistes dentígeros: se procede a la extracción del diente afectado y un legrado de su encía para eliminar el quiste.
- Quistes de erupción: La buena noticia es que generalmente no requieren tratamiento, ya que suelen desaparecer por sí solos cuando el diente erupciona.
- Apiceptomía: Obturación retrógrada para obtener un sellado del diente y evitar la recidiva del quiste.
- Reconstrucción de encía y partes blandas: Para obtener una buena salud periodontal y una buena estética.
Después de cualquier procedimiento quirúrgico, es importante seguir las indicaciones del dentista para asegurar una recuperación rápida y sin complicaciones:
- Higiene bucal: Como siempre, mantener una buena higiene bucal es crucial para prevenir infecciones postoperatorias.
- Revisiones periódicas: Tras la cirugía, es fundamental realizar revisiones periódicas para asegurarse de que el quiste no reaparezca y que el área está sanando adecuadamente.
¿Cómo Saber si un Quiste Dental es Maligno?
Si bien es cierto que, por norma general, una vez extraídos no dan más problema. Sin embargo, existe la posibilidad de que el quiste sea maligno. Acudiendo al odontólogo cuanto antes. Y es que este profesional de la salud dispone de los medios exactos, como el escáner dental 3D, para poder llevar a cabo un diagnóstico riguroso.
Aunque la mayoría de los quistes dentales son benignos, en raras ocasiones, pueden volverse malignos. Por eso, es vital realizar visitas regulares al dentista, incluso si no tienes síntomas, para detectar cualquier quiste mediante un estudio radiológico y determinar su naturaleza a través de una biopsia y estudio microscópico si es necesario.

Consejos para Prevenir los Quistes Dentales
Como ya sabes, la causa más común de desarrollar un quiste en la muela o en cualquier otra pieza es una infección. De ahí que el mejor consejo que te podamos dar desde un punto de vista profesional es que cuides tu higiene bucodental. Sí, lavarse los dientes y emplear hilo dental. Parece mentira, pero es fundamental. Y es que mantener una boca sana es sinónimo de menor presencia de bacterias y, por ende, de una menor probabilidad de aparición de infecciones bucales.
Para evitarlo, siempre tienes que mantener una correcta higiene bucodental, lo que permitirá evitar todo tipo de infecciones. Por lo tanto, es recomendable el cepillado después de cada comida y el uso de hilo dental. Es importante llevar a cabo una rutina de higiene diaria, acompañada de revisiones anuales a tu dentista de confianza para detectar cualquier problema a tiempo. Si presentas alguna caries dental, problemas de encías o enfermedades gingivales, lo ideal es que lo trates cuanto antes.
Además, y al igual que en la prevención de cualquier enfermedad bucodental, es imprescindible mantener unos buenos hábitos de higiene diaria mediante el cepillado regular de los dientes (como mínimo, dos veces al día), usar hilo dental, y enjuagues bucales antisépticos.
Asimismo, una detección temprana es fundamental. ¡Hay que actuar a tiempo! Ante cualquier síntoma, acude a tu dentista. Del mismo modo, es imprescindible que visites con periodicidad a este profesional. La salud es lo primero.
En resumen, para prevenir la aparición de quistes dentales:
- Mantén una buena higiene bucal.
- Visita regularmente a tu dentista para exámenes de rutina.
- Trata cualquier problema dental (caries, infecciones) de manera oportuna.