La creciente complejidad de las técnicas dentales ha conllevado un aumento paralelo en la demanda de precisión diagnóstica. El desarrollo de la implantología dental ha hecho de la tomografía computerizada (TC) una herramienta de primer orden en la planificación del tratamiento. Nuestro objetivo es exponer las capacidades y características de la imagen de TC a la hora de tomar decisiones informadas e integrar así esta técnica en sus prácticas. Los profesionales dentales deben conocer las posibilidades de la TC al hacer sus solicitudes.
Sinergia entre la tomografía 3D cone beam y la práctica dental moderna
Introducción
La necesidad creciente de mayor precisión en los diagnósticos y tratamientos dentales ha provocado un aumento en la demanda de técnicas de imagen cada vez más precisas. Esta situación ha puesto de manifiesto las limitaciones que las radiografías dentales y las tomografías convencionales presentan respecto a su capacidad para proporcionar información cualitativa y tridimensional precisa, identificándose entre sus defectos la distorsión, la borrosidad y la falta de referencia a estructuras adyacentes.
El desarrollo de programas informáticos específicos ha propiciado la creciente utilización de la TC en el campo de la Odontología. Nuestro objetivo es familiarizar a los profesionales dentales con las capacidades de imagen de la TC para mejorar su toma de decisiones, permitiéndole integrar este procedimiento dentro de su proceso diagnóstico.
Indicaciones de la TC
Entre las distintas técnicas de diagnóstico mediante imagen empleadas en odontología, la TC es el único método que permite valorar adecuadamente el hueso y no provoca distorsiones geométricas. Sin embargo, y aunque hay autores que la señalan como el método ideal para la planificación preimplantológica e incluso en el resto de patologías cuando la ortopantomografía no sea concluyente, aún hay ciertas discrepancias respecto a su uso rutinario en la implantología dental por el efecto adverso que supone la radiación recibida por el paciente.
No hay que olvidar que la TC, al igual que la radiografía convencional, se basa en el empleo de una radiación ionizante. Una vez se toma la decisión de solicitar una TC, el paciente debe ser informado, teniendo en consideración sus actividades diarias y el consiguiente riesgo de radiación; todos estamos expuestos de forma constante a radiación ambiental, entre las que se incluyen las fuentes artificiales que se estiman constituyen un 15% del total de esa radiación.
Sin embargo, con los adecuados ajustes técnicos (fundamentalmente reduciendo la corriente del tubo emisor) es posible reducir la radiación recibida en un 76% sin merma de la calidad. La imagen obtenida tan solo tendría un mayor granulado de las partes blandas pero la afectación tejido óseo sería mínima. Otra forma de reducir la dosis de radiación recibida por el paciente sería limitar el área a explorar. Una manera de conseguirlo es excluir las coronas de los dientes.
Además de ser la zona clínicamente más accesible, la calidad de la exploración se beneficiaría de la eliminación de los artefactos que provocan los numerosos elementos metálicos que pueden aparecer en esta zona (obturaciones y prótesis fijas metálicas). Por último, una posible explicación a la reticencia de ciertos autores a su uso sería la limitación de su utilidad según la experiencia del médico solicitante, tal como se deduce de la recomendación de la Academia Americana de Radiología Oral y Maxilofacial.
Este organismo señala que «la obtención de imágenes y la interpretación de las mismas no sea realizada sin el adecuado entrenamiento y que antes de la reparación o implante, el clínico busque el citado entrenamiento u obtenga la necesaria información radiográfica del radiólogo». Tal vez, el mejor aval de la fiabilidad diagnóstica de la TC le venga del ámbito legal, al considerarla como la prueba más adecuada para la valoración y el seguimiento implantológico puesto que es el método de imagen que con mayor precisión muestra la anatomía dental y la calidad del hueso subyacente.

Tecnología de la TC
El fundamento básico de la tecnología de TC es que utiliza rayos X, pero no impresionan la película directamente. Sin embargo, hay dos diferencias fundamentales con la radiografía: (a) la imagen latente no es captada por una película impregnada con sales de plata, la película radiográfica, sino por unos sensores conectados a un ordenador (similares a los empleados actualmente en la radiografía digital) y (b) el tubo emisor de la radiación no permanece estático como en la radiografía (lo que produce una imagen plana «instantánea», como si fuera una fotografía) sino que se mueve alrededor del área de interés.
Estas dos circunstancias determinan las características fundamentales de la imagen de la TC:
- Es una imagen tridimensional. El área explorada se convierte en un volumen constituido por una matriz de volúmenes más pequeños denominados vóxeles -volume elements-
- Mayor sensibilidad y poder de discriminación de la atenuación sufrida por el rayo X. Frente al rango tradicional con que se describen las diferentes densidades en la radiografía tradicional -aire, grasa, hueso, metal-, el procesado mediante ordenador permite discriminar muchos más grados de atenuación.
Estos valores de atenuación son medidos en una escala denominada de unidades Hounsfield (UH) que, dependiendo del equipo de TC, se sitúan entre -1000 UH de la densidad aire a +1000 UH de la densidad hueso cortical. El gradiente completo de valores de atenuación se representaría por una escala de grises donde la densidad aire tendría un color negro absoluto mientras la densidad hueso cortical estaría representada por el blanco absoluto.
Sin embargo, no todos los equipos de TC son iguales. En las primeras TC, denominadas convencionales, al igual que en la técnica radiográfica de tomografía, el paciente está siempre en la misma posición (normalmente tumbado y quieto) mientras el tubo emisor y los sensores giran a su alrededor. Una vez obtenida una sección (tomos, de ahí el nombre de esta técnica) se desplaza al paciente para conseguir el siguiente corte y así hasta completar de forma secuencial la zona a explorar.
Dependiendo de la capacidad de resolución del aparato, el grosor de la sección explorada es mayor (poca resolución) o menor (mayor resolución), aplicándose la calificación de TC de alta resolución cuando el grosor de la zona explorada es de 1,5 mm o menor. Posteriormente aparecieron los TC helicoidales o espirales. En este tipo de TC, el movimiento rotatorio del tubo y los sensores se produce al mismo tiempo que el paciente se desplaza linealmente. El resultado es una serie de hélices o espiras (de ahí el término helicoidal) a través del volumen de interés.
Dependiendo de la velocidad de rotación del tubo de rayos X y del desplazamiento de la mesa -nombre de la superficie donde se coloca al paciente- las hélices serán más abiertas o más cerradas, afectando directamente al detalle que obtenga la exploración. El radiólogo puede controlar estos dos movimientos, debiendo optar entre un mayor volumen de zona a explorar con menor detalle o bien aumentar el detalle disminuyendo la zona explorada. Para obtener imágenes de alta resolución con un detalle óptimo es necesario un paso de mesa de 1 mm y en el caso de la planificación preimplantológica se requiere que la rotación del tubo de rayos X sea de al menos un segundo.
Consideraciones geométricas
Una vez se ha concluido el barrido de la zona de interés, el ordenador guarda la información de todo el volumen explorado (sería la imagen latente que contiene la película radiográfica antes del revelado). El proceso informático mediante el que esta información se transforma en una imagen se denomina reconstrucción o reformado. La gran ventaja de la TC sobre la radiografía convencional e incluso respecto a la tomografía no computadorizada es que gracias a ese proceso de reconstrucción se pueden producir imágenes en una orientación distinta a la que se obtuvieron originariamente.
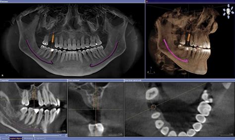
Seleccionando la información, podremos obtener diferentes imágenes de la zona explorada sin alterar los vóxeles. Un ejemplo sencillo de este proceso de reconstrucción o reformado sería el corte según criterios geométricos del volumen (también llamado secuencia) de imágenes de TC de un cráneo completo. De esta manera obtendríamos imágenes planas en los planos axial, sagital y coronal.
Con el «corte» en la dirección X conseguimos una imagen axial a través del eje derecha-izquierda). El «corte» en dirección Y daría una imagen coronal del cráneo (sería parecida a una radiografía convencional en proyección semi-frontal, similar a la proyección de Waters para la exploración de los senos maxilares). Mediante el «corte» en la dirección Z obtendríamos imagen sagital de cráneo (igual a la telerradiografía de cráneo obtenida mediante una proyección lateral).
La ventaja de estas imágenes planas obtenidas mediante TC sobre las radiografías convencionales de proyección geométrica similar es la ausencia de superposición de las estructuras situadas por delante o detrás del «corte» además de poder desplazar la posición del corte a lo largo de la dirección seleccionada. Dada la forma semicircular de las arcadas dentales, un plano sagital a la cresta alveolar sería perpendicular a esta estructura.
Los cortes en este plano sagital mostrarían tan solo una parte de la anatomía dental pero son útiles para valorar el recorrido del conducto óseo del nervio alvéolo-dentario inferior o parte de los senos paranasales. Otra ventaja de la TC radica en que con una única exploración podemos realizar todas las reconstrucciones que queramos. De esta manera, podríamos reconstruir la mandíbula por una línea curva que siguiera su forma semicircular, obteniendo una imagen análoga a la ortopantomografía convencional.

Modos de reconstrucción de imagen
Una vez el equipo de TC ha terminado el barrido de la zona de interés (pongamos por ejemplo en nuestro caso, el tercio inferior facial) el ordenador contiene una serie de datos en bruto que constituyen el volumen a analizar (utilizando como analogía una preparación histológica, el ordenador tendría un bloque de aire donde estaría incluida la muestra a analizar, en nuestro ejemplo el tercio inferior facial). Dependiendo de cómo le pidamos al ordenador que seleccione esos datos, la imagen tendrá unas características u otras. Y por lo tanto, obtendremos una información u otra.
Las diferentes maneras que tenemos para seleccionar los datos es lo que se denominan técnicas de reconstrucción de imagen. La misión del odontólogo es transmitir al radiólogo qué información necesita para que éste decida que forma de reconstrucción de imagen es la más adecuada para conseguirla (siguiendo el ejemplo de la preparación histológica, dependiendo del tejido que queramos ver, el anatomopatólogo escogerá la técnica de tinción que ponga en evidencia el tejido de interés. Sin embargo, a diferencia de la tinción histológica que solo puede hacerse una única vez en cada muestra, el ordenador nos permite seleccionar los datos de un mismo volumen de cuantas maneras queramos hasta conseguir la información que necesitamos).
Las técnicas de reconstrucción de imagen de que disponemos son:
- Representación en superficie
- Representación volumétrica
- Proyección de máxima intensidad (MIP)
- Reconstrucción multiplanar (MPR)
Para comprender mejor las diferencias de información que obtenemos, iremos mostrando las imágenes que se pueden obtener de una mandíbula totalmente desdentada según la forma de reconstrucción.
Representación en superficie
Es la primera técnica de representación tridimensional que se suele utilizar y consigue superficies aparentes en el interior del volumen.
tags: #radiologia #dental #tomos