El cuidado de las encías es una parte fundamental de la salud bucal que a menudo se pasa por alto. Entre los diversos procedimientos diseñados para mantener las encías en óptimas condiciones, el raspado de encías ocupa un lugar crucial. Bienvenido a nuestro artículo sobre el raspado de encías! Si está interesado en conocer más sobre este importante procedimiento dental, está en el lugar indicado. Aquí, exploraremos en detalle todo lo que necesita saber sobre el raspado de encías: desde qué es y por qué es necesario, hasta los beneficios que ofrece para su salud bucal.
Nuestro objetivo es brindarle la información clara y útil que le ayudará a tomar decisiones informadas para mantener sus encías y dientes en las mejores condiciones posibles. ¡Comencemos! Este procedimiento, también conocido como raspado y alisado radicular, es esencial para eliminar la placa y el sarro acumulados debajo de la línea de las encías, que no pueden ser removidos con una limpieza dental regular.

El raspado de encías es especialmente importante para prevenir y tratar la enfermedad periodontal, una afección que, si no se controla a tiempo, puede llevar a la pérdida de dientes y otros problemas de salud graves. A lo largo de este artículo, exploraremos en detalle en qué consiste este procedimiento, por qué es necesario y cómo puede contribuir significativamente a la salud periodontal y al bienestar general de su boca.
¿Qué es el Raspado de Encías?
Definición y Propósito del Raspado de Encías
El raspado de encías es un procedimiento dental especializado diseñado para tratar la acumulación de placa y sarro que se encuentra por debajo de la línea de las encías, en las superficies radiculares de los dientes. Este tratamiento es fundamental en el manejo de la enfermedad periodontal, ya que elimina las bacterias y las toxinas que contribuyen a la inflamación y al daño de los tejidos de soporte de los dientes.
El propósito principal del raspado de encías es limpiar a fondo estas áreas difíciles de alcanzar, donde una limpieza dental regular no es suficiente para remover el sarro adherido. Al eliminar estas acumulaciones, se reduce la inflamación de las encías, se previene la progresión de la enfermedad periodontal y se promueve la sanación de los tejidos afectados. Este procedimiento es, por tanto, esencial para mantener no solo la salud de las encías, sino también la estabilidad de los dientes a largo plazo.
Diferencia entre Raspado de Encías y Limpieza Dental Regular
Es importante distinguir entre el raspado de encías y una limpieza dental regular, ya que aunque ambos procedimientos están enfocados en la higiene bucal, tienen propósitos y alcances diferentes.
La limpieza dental regular (profilaxis) se realiza principalmente en la superficie visible de los dientes y a lo largo de la línea de las encías. Durante este procedimiento, el dentista o higienista dental elimina la placa y el sarro que se encuentran en estas áreas, ayudando a prevenir la caries y la gingivitis. Sin embargo, esta limpieza no aborda la acumulación que puede estar presente por debajo de la línea de las encías, en las raíces de los dientes.
Por otro lado, el raspado de encías es un tratamiento más profundo y específico, que se enfoca en las áreas subgingivales (debajo de las encías). Este procedimiento es necesario cuando hay una acumulación significativa de sarro debajo de la línea de las encías, algo común en pacientes con periodontitis. Mientras que una limpieza regular es parte del mantenimiento preventivo, el raspado de encías es un tratamiento terapéutico esencial para aquellos que ya muestran signos de enfermedad periodontal.
¿Por Qué es Necesario el Raspado de Encías?
Causas Comunes de la Acumulación de Sarro y Placa Debajo de las Encías
El raspado de encías es necesario principalmente para eliminar la acumulación de sarro y placa que se forma debajo de la línea de las encías, en las raíces de los dientes. Esta acumulación no es simplemente un problema estético; representa una amenaza significativa para la salud periodontal.
La principal causa de esta acumulación es la mala higiene oral, donde la placa, una película pegajosa de bacterias, se endurece y se convierte en sarro (cálculo) si no se elimina con el cepillado y el uso del hilo dental regular. Una vez que el sarro se forma debajo de las encías, no puede ser removido por métodos de limpieza en casa y requiere la intervención profesional.
Además, ciertos factores contribuyen al rápido desarrollo de sarro subgingival, como el consumo de alimentos y bebidas azucaradas, el tabaquismo, y condiciones de salud como la diabetes, que pueden predisponer a una mayor acumulación de placa. Sin un tratamiento adecuado, el sarro debajo de las encías puede causar inflamación y enfermedad periodontal.
Síntomas que Indican la Necesidad de un Raspado de Encías
Reconocer los síntomas que sugieren la necesidad de un raspado de encías es crucial para prevenir la progresión de la enfermedad periodontal. Entre los síntomas más comunes se encuentran:
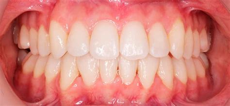
- Sangrado de encías: Especialmente al cepillarse los dientes o usar hilo dental, es un signo temprano de inflamación causada por la acumulación de placa debajo de las encías.
- Encías inflamadas y enrojecidas: La inflamación y el enrojecimiento de las encías pueden indicar que la placa y el sarro han comenzado a causar irritación debajo de la línea de las encías.
- Mal aliento persistente: El sarro y las bacterias atrapadas debajo de las encías pueden producir un olor desagradable que no se resuelve con la limpieza regular.
- Recesión de las encías: Cuando las encías comienzan a retroceder, dejando más área del diente expuesta, es una señal de que la enfermedad periodontal puede estar avanzando.
- Movilidad dental: En etapas avanzadas, la enfermedad periodontal no tratada puede causar que los dientes se aflojen debido a la pérdida de soporte óseo.
El Proceso del Raspado
Explicación Paso a Paso del Procedimiento
El raspado de encías es un procedimiento dental que se realiza para eliminar la acumulación de sarro y placa debajo de la línea de las encías, que no se puede eliminar con una limpieza dental regular. A continuación, se detalla el procedimiento paso a paso:
- Preparación y anestesia: El proceso generalmente comienza con la aplicación de anestesia local para adormecer la zona y asegurar que usted no sienta dolor durante el procedimiento. Esto es especialmente importante si se realiza un raspado profundo.
- Raspado de encías: Una vez que el área está anestesiada, el dentista o higienista dental procederá a raspar la superficie de los dientes debajo de la línea de las encías para eliminar el sarro y la placa acumulados. Este proceso se realiza cuidadosamente para asegurar que se elimine todo el material dañino.
- Alisado radicular: Después del raspado, se lleva a cabo el alisado radicular, que consiste en alisar las raíces de los dientes. Este paso es crucial porque ayuda a eliminar las toxinas y bacterias que se adhieren a la superficie de las raíces, y además, suaviza las superficies rugosas para prevenir una futura acumulación de placa.
- Evaluación y limpieza adicional: Tras completar el raspado y alisado, el dentista evaluará el área tratada para asegurarse de que todas las superficies estén limpias y lisas. Si es necesario, se puede realizar una limpieza adicional para garantizar que no queden residuos.
- Cuidado posterior: Finalmente, el dentista le proporcionará instrucciones sobre el cuidado posterior, que puede incluir enjuagues bucales antibacterianos, recomendaciones para la higiene oral en casa, y citas de seguimiento para evaluar la recuperación de las encías.
Herramientas y Técnicas Utilizadas por el Dentista
Durante el raspado de encías, el dentista utiliza varias herramientas y técnicas especializadas:
- Curetas dentales: Estas herramientas manuales se utilizan para raspar y limpiar la superficie de los dientes y las raíces. Hay curetas de diferentes formas y tamaños para adaptarse a distintas áreas de la boca.
- Ultrasonidos dentales: En algunos casos, se utilizan dispositivos ultrasónicos que vibran a alta frecuencia para romper y eliminar el sarro con mayor facilidad. Estas herramientas suelen tener puntas especiales que permiten llegar a las áreas más difíciles debajo de las encías.
- Pulido dental: Después del raspado y alisado, se puede realizar un pulido dental para suavizar las superficies de los dientes, lo que ayuda a prevenir la futura adherencia de placa.
- Técnicas de irrigación: Para ayudar a eliminar bacterias y residuos, se puede usar irrigación con soluciones antibacterianas durante o después del raspado.
Beneficios del Raspado de Encías
Prevención de la Enfermedad Periodontal
El raspado de encías es un tratamiento fundamental para prevenir la progresión de la enfermedad periodontal, una afección grave que puede llevar a la pérdida de dientes si no se trata a tiempo. Al eliminar el sarro y la placa acumulados debajo de las encías, este procedimiento reduce significativamente la inflamación y el daño a los tejidos de soporte de los dientes. El raspado de encías no solo detiene el avance de la enfermedad, sino que también puede revertir algunos de los efectos de la periodontitis en sus primeras etapas, ayudando a mantener sus encías saludables y fuertes.
Mejora de la Salud Bucal y General
Un beneficio clave del raspado de encías es la mejora integral de la salud bucal. Al reducir la carga bacteriana en la boca, se disminuye el riesgo de infecciones no solo en las encías, sino también en otras partes del cuerpo. Estudios han demostrado que la salud bucal está estrechamente relacionada con la salud general, ya que las infecciones orales pueden influir en condiciones sistémicas como enfermedades cardiovasculares y diabetes. Por lo tanto, mantener las encías limpias y libres de sarro a través del raspado contribuye a un bienestar general más amplio.
Reducción del Mal Aliento y Sangrado de Encías
El mal aliento crónico (halitosis) y el sangrado de encías son síntomas comunes de la acumulación de placa y sarro debajo de las encías. Estos síntomas no solo son molestos, sino que también son indicativos de una salud periodontal comprometida. El raspado de encías aborda directamente la causa subyacente de estos problemas al eliminar las bacterias que producen el mal aliento y la irritación que causa el sangrado de las encías. Después del tratamiento, muchos pacientes experimentan una notable mejora en el frescor de su aliento y una reducción significativa del sangrado al cepillarse o usar hilo dental.
En que consiste un curetaje dental y en que casos está indicado - Dr. Manuel Ruiz de Gopegui
Posibles Efectos Secundarios y Cuidados Posteriores
Efectos Secundarios Comunes del Raspado de Encías
Como cualquier procedimiento dental, el raspado de encías puede presentar algunos efectos secundarios, aunque suelen ser leves y temporales. Los efectos secundarios más comunes incluyen:
- Sensibilidad dental: Después del raspado, es normal experimentar sensibilidad en los dientes, especialmente al consumir alimentos o bebidas frías o calientes. Esta sensibilidad se debe a la exposición de las raíces dentales que antes estaban cubiertas por sarro.
- Inflamación y sangrado de encías: Las encías pueden estar inflamadas y sangrar ligeramente durante los primeros días después del procedimiento. Esto es parte del proceso de curación y debería disminuir a medida que las encías se recuperan.
- Dolor o molestia: Algunas personas pueden sentir un dolor o molestia leve en las áreas tratadas, que generalmente desaparece en unos pocos días. Si el dolor es intenso o persiste, es importante comunicarse con su dentista.
- Cambios en la posición de los dientes: En algunos casos, el raspado puede hacer que los dientes se sientan ligeramente más sueltos o que haya un cambio en la manera en que los dientes superiores e inferiores encajan al morder. Esto es debido a la eliminación de sarro que estaba causando presión sobre los dientes.
Instrucciones de Cuidado Posterior para una Recuperación Óptima
Para asegurar una recuperación rápida y efectiva después del raspado de encías, es importante seguir algunas instrucciones de cuidado posterior:
- Mantener una buena higiene oral: Continúe cepillándose los dientes dos veces al día y usando hilo dental, pero hágalo con suavidad para evitar irritar las áreas tratadas. Su dentista puede recomendarle un cepillo de dientes de cerdas suaves o un enjuague bucal especial para ayudar en la curación.
- Enjuagues con agua salada: Enjuagar la boca con agua tibia y sal puede ayudar a reducir la inflamación y promover la curación de las encías. Realice este enjuague varias veces al día durante los primeros días después del procedimiento.
- Evitar alimentos duros o pegajosos: Durante la recuperación, evite comer alimentos que puedan irritar las encías o pegarse a los dientes. Opte por alimentos blandos y fáciles de masticar hasta que las encías se hayan recuperado completamente.
- Tomar analgésicos si es necesario: Si experimenta dolor o molestias, puede tomar analgésicos de venta libre como ibuprofeno o paracetamol. Sin embargo, siempre siga las indicaciones de su dentista en cuanto a la medicación.
- Asistir a las citas de seguimiento: Su dentista probablemente programará una cita de seguimiento para revisar su progreso y asegurarse de que las encías estén sanando correctamente. Es importante asistir a esta cita para evaluar la necesidad de cualquier tratamiento adicional.
¿Con Qué Frecuencia Debería Realizarse el Raspado de Encías?
Factores que Determinan la Frecuencia del Tratamiento
La frecuencia con la que se debería realizar el raspado de encías depende de varios factores individuales que pueden influir en la salud periodontal de cada persona. Algunos de los principales factores a considerar incluyen:
- Estado de salud periodontal: Si ya padece de enfermedad periodontal, es probable que necesite realizarse raspados de encías con mayor frecuencia para controlar la progresión de la enfermedad y mantener sus encías sanas.
- Higiene oral diaria: Aquellas personas que mantienen una rutina de higiene oral rigurosa, incluyendo el uso regular de hilo dental y cepillado, pueden necesitar el tratamiento con menor frecuencia, ya que la acumulación de placa y sarro será menos pronunciada.
- Hábitos de vida: Fumar, el consumo excesivo de alcohol y una dieta rica en azúcares y carbohidratos simples pueden aumentar el riesgo de desarrollar problemas periodontales, lo que podría requerir un raspado de encías más frecuente.
- Factores genéticos: Algunas personas son más susceptibles a la acumulación de placa y al desarrollo de enfermedades periodontales debido a su genética, lo que podría hacer necesario realizar el procedimiento más a menudo.
- Condiciones de salud general: Enfermedades crónicas como la diabetes pueden afectar la salud de las encías y aumentar la necesidad de intervenciones periódicas como el raspado de encías.
Recomendaciones Generales para el Mantenimiento de la Salud Periodontal
En general, se recomienda que las personas con salud periodontal estable realicen un raspado de encías aproximadamente una vez al año como parte de un programa preventivo integral.
Complicaciones tras el tratamiento de raspado y alisado radicular (RAR)
El tratamiento periodontal es fundamental para mantener la salud bucal a largo plazo. Sin embargo, como en cualquier procedimiento médico, pueden surgir complicaciones. Es importante estar informado sobre estas posibles eventualidades para poder abordarlas adecuadamente y garantizar una recuperación óptima. El RAR es un procedimiento utilizado para tratar la enfermedad periodontal al eliminar la placa bacteriana y el sarro de las superficies de las raíces de los dientes. Una de las complicaciones más frecuentes es la sensibilidad dental posterior al tratamiento. Esto puede ocurrir debido a la exposición de las superficies radiculares sensibles durante el proceso de limpieza. Otra complicación menos común pero importante es la posibilidad de que se produzca una infección después del tratamiento de RAR. Esto puede ocurrir si no se mantiene una buena higiene bucal después del procedimiento o si hay una predisposición del paciente a las infecciones.
La sensibilidad dental es una preocupación común después de cualquier tratamiento dental, incluido el tratamiento periodontal. Esta sensibilidad puede manifestarse como dolor leve o agudo en los dientes, especialmente al consumir alimentos o bebidas frías, calientes o dulces. Para ayudar a controlar la sensibilidad después del tratamiento periodontal, existen varias medidas que se pueden tomar. El uso de pastas de dientes diseñadas para dientes sensibles, así como enjuagues bucales con flúor, puede ayudar a reducir los síntomas.
Otra complicación que puede surgir después de un tratamiento periodontal es el herpes intraoral recidivante. El herpes intraoral es una infección viral que puede causar llagas dolorosas en la boca y los labios. Para prevenir brotes de herpes intraoral recidivante, es importante mantener un estilo de vida saludable que incluya manejo del estrés, descanso adecuado y una dieta equilibrada.
La cirugía periodontal es a menudo necesaria para tratar casos avanzados de enfermedad periodontal o para corregir problemas estructurales en las encías y los tejidos de soporte. Una complicación común es la inflamación excesiva en el área tratada. Esto puede causar malestar y dificultar la capacidad del paciente para cepillarse y usar hilo dental correctamente. Otra complicación que puede surgir después de la cirugía periodontal es la retracción gingival excesiva. Esto ocurre cuando el tejido gingival se retira demasiado, dejando expuestas las raíces de los dientes. La retracción gingival puede provocar sensibilidad dental y aumentar el riesgo de caries y enfermedad periodontal.
El tratamiento periodontal es fundamental para mantener una sonrisa saludable y prevenir complicaciones graves a largo plazo. Si experimentas alguna complicación después de un tratamiento periodontal, no dudes en comunicarte con tu dentista. Recuerda, la salud periodontal es parte integral de tu bienestar general. No ignores las señales de advertencia y programa una cita para una revisión o tratamiento periodontal.
| Complicación | Descripción | Solución |
|---|---|---|
| Sensibilidad dental | Dolor leve o agudo al consumir alimentos fríos, calientes o dulces. | Usar pastas de dientes para dientes sensibles y enjuagues bucales con flúor. |
| Herpes intraoral recidivante | Infección viral que causa llagas dolorosas en la boca y los labios. | Mantener un estilo de vida saludable, manejo del estrés y descanso adecuado. |
| Inflamación excesiva | Inflamación en el área tratada que causa malestar. | Seguir las indicaciones del dentista y mantener una buena higiene bucal. |
| Retracción gingival excesiva | El tejido gingival se retira demasiado, dejando expuestas las raíces de los dientes. | Consultar al dentista para evaluar opciones de tratamiento. |
tags: #raspado #de #encias #efectos #secundarios