La caries dental es una de las enfermedades bucales más comunes a nivel mundial, afectando a personas de todas las edades. Se produce cuando los ácidos liberados por las bacterias presentes en la boca disuelven gradualmente el esmalte y la dentina de los dientes.

¿Qué es la Caries Dental?
Una caries es una lesión que comienza en la superficie de un diente a causa de la acción de los ácidos producidos por las bacterias presentes en la boca. Estas bacterias se alimentan de azúcares y liberan ácidos que disuelven las estructuras dentales, generando destrucciones importantes en los dientes.
La caries dental es causada por la actividad de ciertas especies de bacterias que viven en la placa dental. La placa es una película incolora y pegajosa que cubre las superficies de los dientes. La placa dental está formada por bacterias, partículas de alimentos y saliva.
La caries en los dientes aparece cuando los azúcares de los alimentos y bebidas reaccionan con las bacterias de la placa, formando ácidos. Cada vez que comes o bebes algo que contiene azúcares, estos ácidos atacan los dientes y empiezan a ablandar y disolver el esmalte.
No sólo los azúcares son perjudiciales: otros tipos de alimentos y bebidas ricas en carbohidratos reaccionan con la placa y forman ácido. (Estos son los hidratos de carbono fermentables: por ejemplo, azúcares ocultos, azúcares naturales como los de las frutas y almidones cocidos.) Comprueba siempre los ingredientes.
Etapas de la Caries Dental
La caries dental pasa por 5 etapas diferentes, desde manchas blancas calcáreas iniciales hasta culminar en un absceso dental que es extremadamente doloroso. Durante las etapas iniciales de la caries, la progresión de la enfermedad se puede detener o incluso revertir.
- Manchas Blancas: El esmalte comienza a perder minerales debido a la exposición prolongada a los ácidos.
- Decoloración: La mancha blanca se oscurece a un color marrón y se formará una lesión dentro del diente.
- Lesión del Esmalte: Las lesiones avanzan hacia una cavidad o un orificio en el diente y no son dolorosas ya que no hay nervios en el esmalte dental.
- Afectación de la Dentina: La caries avanza a un ritmo rápido. La dentina tiene muchos túbulos dentinarios microscópicos que proporcionan acceso al núcleo interno del diente que alberga los nervios y los vasos sanguíneos, la pulpa. Por lo tanto, cuando la caries llega a esta etapa, puede comenzar a experimentar sensibilidad, especialmente al ingerir alimentos o bebidas frías, calientes o dulces.
- Afectación de la Pulpa y Absceso: Una vez que la caries alcanza la pulpa, habrá un dolor significativo. La infección progresa a lo largo de la pulpa y llega a la punta de la raíz, dando lugar a una bolsa de pus en la punta de la raíz, llamada absceso.

Tipos de Caries Dental
La caries no afecta a todos los dientes de la misma manera ni se manifiesta en la misma fase.
- Caries de Corona: Es uno de los tipos más comunes, sobre todo en niños, y aparece en la superficie masticatoria.
- Caries de Fisura: Suelen presentarse en las piezas dentales posteriores o molares, donde la caries produce una fisura o grieta que penetra en los tejidos y los daña.
- Caries Radicular: Es un tipo de caries que afecta a la raíz del diente.
- Caries Interproximal: Estas caries aparecen entre los dientes, donde es más difícil llegar con el cepillo. Esta caries se produce en el espacio entre dos dientes, donde existe una mayor facilidad para que se acumule placa y sarro dental.
- Caries del Biberón: La caries del biberón es un problema típico en los bebés. Se produce porque algunos padres ponen el biberón con la leche (a veces con azúcar o miel en la tetina) para que el niño se duerma o se tranquilice.
Diagnóstico de Caries Dental
En las primeras etapas no hay síntomas, pero tu dentista puede ser capaz de detectar una cavidad en sus primeras etapas o durante un examen de rayos X a los dientes. Los sistemas de diagnóstico de caries por laser de fluorescencia Diagnodent® y los sistemas de radiovisiografía digital nos permiten detectar lesiones incipientes y escondidas.
Si tienes dolor o sensibilidad dental, podría ser un signo de caries dental, una afección común.
Tratamiento de la Caries Dental
El tratamiento de la caries como enfermedad infecciosa constará de dos partes fundamentales. La primera será la eliminación del agente infeccioso y tejidos dentales afectados por la infección. La segunda parte será la restauración o rehabilitación del diente, si es posible.
El arreglo de una caries inicial puede llevarse a cabo en pocos minutos, sin necesidad de anestesia, sin molestia alguna y, sobretodo, dejando mucho diente sano. Existen muchas formas de reconstruir un diente afectado con diferentes técnicas, combinación de materiales y procedimientos.
Antes de decidir el tratamiento a aplicar a una caries se deben valorar dos aspectos: el grado de afectación que presenta el diente afectado y sí el diente es temporal o permanente.
Tipos de Tratamientos
- Remineralización: En el caso de caries incipientes (aquellas que no han perforado el esmalte), es posible remineralizar el diente mediante la aplicación de flúor o agentes remineralizantes. En las primeras etapas de caries, tu equipo dental puede aplicar un barniz de flúor en la zona. Esto puede ayudar a detener la caries a la vez que ayuda a remineralizar el diente.
- Empastes (Obturación): Si la caries ya ha avanzado un poco más y ha causado una cavidad en el esmalte, el tratamiento consiste en eliminar el tejido afectado y rellenarlo con un material de obturación. Una vez eliminada la dentina enferma se realizará la restauración del diente mediante resinas compuestas o composites.
- Coronas Dentales: Cuando la caries ha destruido gran parte del diente, puede ser necesario colocar una corona.
- Endodoncia: En casos donde la caries ha alcanzado el nervio, la opción es realizar una endodoncia, también conocida como “matar el nervio”. El tratamiento endodóntico es la eliminación del tejido vasculo-nervioso de la pulpa dental que se encuentra en la cámara pulpar (en el interior del diente) y en los conductos de radiculares de las raíces de los dientes. Una vez eliminado este tejido, se sustituye por un material bacteriostático que previene la recidiva de la infección dentaria.
- Extracción Dental: En los casos más graves, donde el diente está completamente destruido, la única opción puede ser la extracción. En caso de imposibilidad de restauración, la exodoncia o extracción del diente será el tratamiento a realizar. Si el diente extraído es un diente permanente se reemplazará por un implante, un puente (prótesis fija) u otro tipo de prótesis.
CARIES DENTAL - Causas, prevención y TRATAMIENTO de los dientes picados ©

Otros Tratamientos de Caries en Dientes Temporales
En dientes temporales, el tratamiento de la pulpitis será más conservador utilizándose técnicas como el recubrimiento directo e indirecto, la pulpotomia y la pulpectomia.
- Recubrimiento Directo: Es el cubrimiento o sellado mediante hidróxido de calcio de la pulpa vital cuando esta ha estado expuesta mínimamente por un traumatismo o por iatrogenia al retirar tejido cariado.
- Recubrimiento Indirecto: Se efectúa en pacientes asintomáticos. Se deja dentina afectada por la caries para evitar la exposición de la pulpa y se cubre con hidróxido de calcio.
- Pulpotomía: Es la eliminación de la pulpa contenida en la cámara pulpar y el sellado de los conductos radiculares, no afectados con un material que, generalmente, es hidróxido de calcio.
- Pulpectomía: Es la eliminación total de la pulpa de la cámara coronaria así como la pulpa radicular para luego rellenar los conductos con óxido de zinc eugenol.
- Apicoformación: Esta técnica se utiliza en dientes permanentes con raíces inmaduras con afectación clínica de la pulpa cameral y de la pulpa de los conductos. Ambas se eliminan con la limpieza de los conductos radiculares y de la cámara pulpar y se introduce en su lugar hidróxido de calcio.
Prevención de la Caries Dental
La mejor manera de prevenir la caries dental es cepillándose los dientes a fondo a última hora de la noche y al menos en otro momento durante el día, con una pasta dental con fluoruro. Asegúrate de cepillarte las superficies interiores, exteriores y de masticación de los dientes.
Para poder prevenir la aparición de caries, conviene saber cómo podemos identificar estas lesiones en sus primeros estadios. Dado que los primeros pasos de estas lesiones consisten en destruir la capa más externa de la pieza dental (esmalte), pueden observarse unas manchas blancas en la corona.
Además del flúor, es conveniente utilizar una pasta bi-fluorada como Fluocaril bi-fluoré 250 mg.
El sellador es un recubrimiento de plástico que llena todas las pequeñas grietas en la superficie del diente, creando una superficie plana que es más fácil de limpiar. Los adultos también pueden someterse a este procedimiento, aunque los dientes estén libres de caries. Tu dentista te informará de si esto es adecuado para ti.
Consejos Adicionales para la Prevención
- Cepillando los dientes cuidadosamente después de cada comida para evitar la acumulación de alimentos y reducir la cantidad de bacterias que podrían agravar la caries.
- Bebiendo agua.
- Evitando el excesivo consumo de azúcar refinada, ya que las caries se desarrollan por la acción de las bacterias.
- Masticando chicle sin azúcar con xilitol.
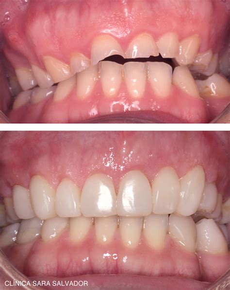
Rehabilitación Oral: Más Allá del Tratamiento de Caries
La rehabilitación oral es necesaria en aquellos casos que demandan una atención integral y multidisciplinar. En este caso, no se trata solo de solucionar el daño o la molestia. Por ejemplo, una persona acude al dentista por una fractura en un diente. El diente roto es una consecuencia.
Esta especialidad odontológica se encarga de determinar los problemas dentales del paciente e indica el o los tratamientos a seguir. Su objetivo es devolver la estética y la funcionalidad. En el proceso intervienen varias disciplinas de la odontología apoyadas en la tecnología de punta disponible.
Tratamientos Comunes en la Rehabilitación Dental
- Coronas y Puentes Dentales: Las coronas dentales son cubiertas que protegen y ofrecen una estética similar a los dientes naturales. Los puentes permiten reemplazar dientes perdidos.
- Implantes Dentales: Este procedimiento implica la colocación de una raíz artificial en la encía, que servirá de soporte para el diente postizo.
- Prótesis Removibles: Son aquellas que pueden retirarse para ajustarlas y para limpiarlas.
- Carillas y Restauraciones Estéticas: Las carillas dentales son láminas delgadas que se adhieren a la parte frontal de los dientes con el objetivo de mejorar su apariencia.

¿Es Doloroso el Tratamiento de las Caries?
El tratamiento de las caries varía según la gravedad de la caries y el procedimiento utilizado. Los avances en las técnicas de anestesia, (ahora casi imperceptibles, anestesia electrónica, anestesia tópica, etc.) hacen que el proceso sea mucho más cómodo.
Tabla Resumen de Tratamientos de Caries
| Tratamiento | Descripción | Indicación |
|---|---|---|
| Remineralización con Flúor | Aplicación de flúor para fortalecer el esmalte. | Caries incipientes en el esmalte. |
| Empaste Dental | Eliminación de la caries y relleno con resina compuesta. | Caries que han afectado el esmalte y la dentina. |
| Corona Dental | Cubierta que protege un diente dañado. | Caries extensas que debilitan la estructura del diente. |
| Endodoncia | Eliminación del nervio dental y sellado del conducto. | Caries que han llegado a la pulpa dental. |
| Extracción Dental | Remoción del diente afectado. | Dientes irreparablemente dañados. |
tags: #rehabilitacion #de #caries #dental