En estética dental, las carillas dentales representan uno de los tratamientos más utilizados, ya que brindan soluciones a distintos problemas que influyen en la apariencia y la autoestima, permitiendo sonreír con placer. Las carillas dentales ya es el tratamiento de estética dental por excelencia y el que más eligen los pacientes en los últimos años, siempre bajo la recomendación de los especialistas.
Su capacidad para corregir defectos visibles de forma rápida, segura y con un aspecto completamente natural las convierte en la opción favorita de quienes desean mejorar su sonrisa. Es un proceso indoloro que sirve para mejorar la estética dental de forma rápida. En este artículo, exploraremos en detalle el antes y el después del uso de las carillas dentales, mostrando casos de éxito y los distintos tipos de carillas disponibles.
¿Cuánto tiempo duran las carillas dentales?
¿Qué son las carillas dentales?
Las carillas son láminas muy finas fabricadas en porcelana o composite que se colocan sobre la parte visible de los dientes para mejorar su apariencia. Están diseñadas a medida, lo que garantiza un resultado natural y adaptado a cada persona. Este tratamiento es ideal para quienes presentan:
- Dientes manchados que no responden bien al blanqueamiento.
- Pequeños desgastes o fracturas.
- Espacios interdentales (diastemas).
- Desalineaciones leves que no requieren ortodoncia.
- Formas o tamaños irregulares en los dientes.
El resultado es una sonrisa uniforme, luminosa y armónica, con un procedimiento mínimamente invasivo y que ofrece una duración prolongada.
Existen dos tipos de tratamiento y se clasifican según el material que se utiliza y además cuentan con unas subclasificaciones.
Tipos de Carillas Dentales
Las carillas se clasifican principalmente según el material utilizado en su fabricación:
- Carillas de Composite: Están hechas de un tipo de resina, el composite, que se moldea para conseguir la forma deseada y luego de lograda, se vuelven rígidas.
- Carillas de Porcelana: Pueden ser de Zirconio o Ultrafinas.
- Zirconio: Es un material que se emplea generalmente para la fabricación de coronas y articulaciones artificiales, y su uso es recomendado cuando el paciente cuenta con una pieza dental con un perno metálico que no puede ser removido.
- Ultrafinas: Son las de mayor durabilidad y calidad. La fabricación de estas carillas es muy compleja y eso se refleja en su precio.

Historias de Transformación: Casos Reales
Cada paciente que recibimos en la clínica dental llega con una motivación personal distinta. Algunos buscan un cambio estético inmediato, otros quieren mejorar la salud de sus dientes, y muchos persiguen recuperar la confianza al sonreír.
Caso 1: "Volví a sonreír en las fotos"
Esta chica de 34 años siempre había evitado las fotografías por las manchas que presentaba en sus dientes a causa de tratamientos antibióticos en su infancia. Tras varias consultas, se decidió por unas carillas de porcelana. El proceso fue rápido: diagnóstico, diseño digital de la sonrisa y colocación.
El cambio fue evidente desde el principio: de tener unos dientes con un tono oscuro e irregular pasaron a un blanco natural y equilibrado. Hoy, nos asegura que ha recuperado la seguridad para sonreír sin complejos.
Caso 2: "Mejorar mi sonrisa fue mejorar mi confianza en el trabajo"
Este chico de 41 años acudió a OROA porque sus dientes estaban desgastados y con pequeñas fracturas debido al bruxismo. Esto le daba un aspecto envejecido y descuidado. La opción más adecuada para su caso eran carillas ultrafinas reforzadas. Además, le propusimos el uso de una férula de descarga durante la noche para incrementar la protección.
El resultado fue sorprendente: una sonrisa rejuvenecida, con dientes alineados y de apariencia sana. Nos comenta que ahora se siente más seguro en reuniones y presentaciones laborales y que el cambio ha tenido un impacto positivo incluso en su vida profesional.
Caso 3: "Las carillas cambiaron mi autoestima"
A sus 27 años ella tenía un diastema pronunciado (espacio entre los dientes delanteros) desde que era adolescente, lo que le generaba inseguridad. Aunque no fuera un problema de salud, sí mermaba su confianza. En su caso, las carillas de composite fueron la mejor solución, ya que permitieron cerrar el espacio de manera rápida y estética.
Hoy nos asegura que este tratamiento fue un punto de inflexión en su autoestima, ya que dejó de ocultar su sonrisa y se siente más cómoda en entornos sociales.
El Impacto Emocional de una Nueva Sonrisa
Las carillas dentales no solo transforman dientes, también transforman vidas. Recuperar la confianza, proyectar seguridad y sentirse a gusto con la propia imagen son beneficios que acompañan al cambio estético. Muchos pacientes coinciden en que el tratamiento no solo mejora su apariencia, sino que también influye en su vida personal y profesional.

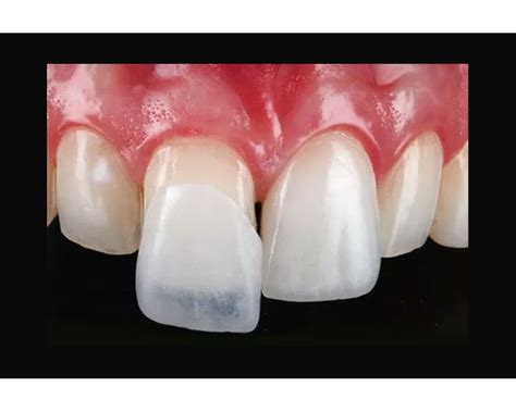
En la imagen inicial, se puede observar una sonrisa con problemas estéticos y funcionales. Durante el tratamiento, aplicamos carillas de composite para cerrar los espacios entre los dientes, corregir la alineación y lograr una apariencia uniforme y natural.
¿Qué esperar de un tratamiento con carillas?
Aunque cada caso es distinto, en general, el proceso incluye:
- Estudio inicial y diseño digital de la sonrisa, para prever los resultados antes de comenzar.
- Prueba de carillas provisionales, que permite al paciente adaptarse al cambio.
- Colocación de las carillas definitivas, de porcelana o composite, en una o dos sesiones.
Con unos cuidados básicos de higiene dental y revisiones periódicas, las carillas pueden durar entre 10 y 15 años en el caso de la porcelana, y varios años en el caso del composite.
Consideraciones Adicionales
La durabilidad de las carillas dentales depende de la calidad de las mismas y de los cuidados posteriores a su implementación. Es importante que sepas que en algunos casos las carillas son un tratamiento definitivo e irreversible, ya que algunas veces es necesario intervenir la pieza dental, limando un poco el esmalte.
Un hecho que puede ser tanto una ventaja como una desventaja es el hecho de que al usarlas, no puedes recurrir luego a realizarte un blanqueamiento dental. Lo cierto es que antes de realizar un cambio significativo en nuestra imagen a todos nos gustaría conocer el resultado final. Antes de colocar las carillas se efectúa un estudio y diagnóstico personalizado.