La ortodoncia invisible se ha convertido en uno de los tratamientos más demandados para corregir la alineación de los dientes, especialmente entre los pacientes adultos, que suelen valorar los métodos cómodos y discretos. Hoy exploraremos la ortodoncia invisible antes y después del tratamiento para mostrar los impactantes cambios que esta técnica ha logrado en la vida de muchas personas. Desde la comodidad hasta la confianza en sí mismos, la ortodoncia invisible ha demostrado ser una opción efectiva y eficiente para aquellos que desean mejorar su sonrisa sin comprometer su estilo de vida.

Cómo la Ortodoncia Invisible Puede Cambiar Tu Sonrisa
La ortodoncia invisible, también conocida como alineadores transparentes, es un tratamiento ortodóntico diseñado para alinear los dientes sin utilizar los tradicionales brackets metálicos. El tratamiento consiste en una serie de alineadores que se cambian cada pocas semanas. Cada alineador mueve los dientes progresivamente hasta alcanzar la posición deseada.
La ortodoncia invisible es un tratamiento de ortodoncia que utiliza alineadores personalizados para corregir algunos casos de maloclusión. A diferencia de los brackets tradicionales, los alineadores son prácticamente invisibles cuando se los usa, lo que los hace ideales para aquellos que buscan un tratamiento discreto. El proceso de la ortodoncia invisible comienza con una evaluación dental y una toma de impresiones de los dientes. A partir de esta información, se crean los alineadores personalizados que se deben usar por un período determinado de tiempo, generalmente de seis a 6-12 meses.
A medida que los dientes se van moviendo gradualmente hacia su posición correcta, la sonrisa comienza a mejorar. Al final del tratamiento, los dientes estarán más rectos y alineados, lo que no solo mejorará la apariencia de la sonrisa, sino también la salud dental en general.
Además, la ortodoncia invisible es más cómoda que los brackets tradicionales, ya que no hay brackets ni alambres que puedan irritar la boca. También es una opción más práctica, ya que los alineadores se pueden retirar para comer y cepillarse los dientes, lo que los hace ideales para personas con estilos de vida activos.
Ventajas de la Ortodoncia Invisible
Las principales ventajas de los tratamientos de ortodoncia invisible son:
- Discreción: los alineadores transparentes son prácticamente invisibles, lo que los hace ideales para aquellos que buscan un tratamiento de ortodoncia discreto.
- Comodidad: los alineadores son más cómodos que los brackets y los alambres tradicionales, ya que no hay partes metálicas que puedan irritar la boca.
- Limpieza: La limpieza de los alineadores, es muy sencilla.

El Proceso de Tratamiento con Ortodoncia Invisible
Antes de iniciar el tratamiento, es necesario realizar una evaluación exhaustiva en una clínica dental especializada. Cada dos semanas, cambiarás a un nuevo juego de alineadores que ajustará tus dientes gradualmente. Tras completar el tratamiento activo, se pasa a la fase de retención. Esto implica el uso de retenedores para mantener los dientes en su nueva posición.
El tratamiento no es doloroso, pero puedes sentir cierta presión durante los primeros días al cambiar a un nuevo alineador. Se recomienda retirarlos para comer y beber cualquier cosa que no sea agua. Aunque es efectivo para la mayoría de los casos, algunos problemas severos de maloclusión pueden requerir tratamientos tradicionales. El precio puede ser ligeramente superior, pero la discreción y comodidad suelen justificar la inversión.
ALINEADORES INVISIBLES 🦷| ¿Valen la Pena?👎👍
Casos Reales: Antes y Después de la Ortodoncia Invisible
A continuación, te mostraremos los resultados de algunos de los pacientes que hemos tratado. La transformación que experimentan los pacientes suele ser impresionante. Los dientes pueden estar apiñados, con espacios entre ellos o desalineados.
Caso 1: Apiñamiento Leve

Antes: Nuestro primer paciente presentaba un apiñamiento leve. El apiñamiento no solo perjudica la estética de la sonrisa, sino que también puede dificultar la higiene dental, ya que impide pasar el cepillo por todas las superficies de los dientes. Esto aumenta el riesgo de sufrir caries y enfermedades periodontales (gingivitis y periodontitis). Asimismo, la falta de alineación provoca sobrecargas y desgastes excesivos en determinados dientes, ya que las piezas dentales no contactan entre ellas de la manera adecuada.
Después: Tras el tratamiento con ortodoncia invisible, los dientes se encuentran correctamente alineados y la mordida es más uniforme. Esto ha mejorado la estética de la sonrisa y su salud, ya que el paciente puede practicar una mejor higiene con el cepillo y el hilo dental.
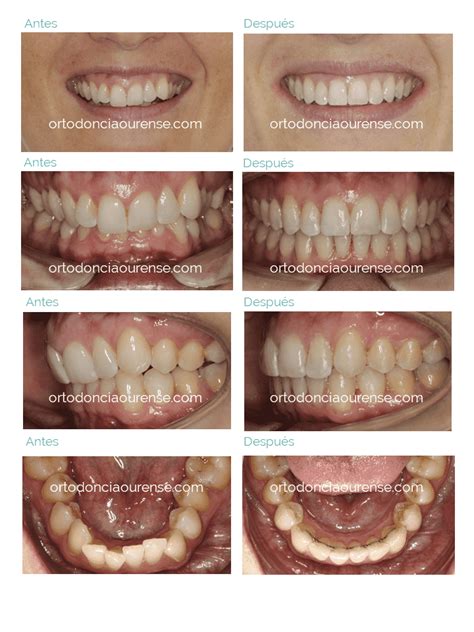
Caso 2: Mordida Cruzada y Apiñamiento Dental

Antes: Nuestro segundo paciente presentaba mordida cruzada y apiñamiento dental. La mordida cruzada es un tipo de maloclusión en la que los dientes superiores muerden por dentro de los dientes inferiores. Esto, entre otras cosas, afecta a la funcionalidad a la hora de masticar. Además, el hecho de que los dientes estuvieran desalineados y apiñados perjudicaba la estética, la higiene dental y la salud de la boca.
Caso 3: Mordida Abierta Anterior

Antes: Nuestro tercer paciente presentaba mordida abierta, una maloclusión que se caracteriza por la imposibilidad de cerrar la boca completamente, lo que provoca una falta de contacto entre los dientes superiores e inferiores. Aunque la mordida abierta puede producirse en cualquier zona de la boca, nuestro paciente presentaba mordida abierta anterior (visible en la parte delantera de la boca).
Otros Casos de Maloclusiones y su Corrección con Ortodoncia
No hay duda de que los tratamientos ortodónticos, tales como los alineadores invisibles o los brackets, pueden transformar la apariencia de tu sonrisa y la funcionalidad de tus dientes. Con estos tratamientos devolvemos a nuestros pacientes la confianza que necesitan para mostrar su dentadura con orgullo.
En este artículo profundizaremos en diferentes malposiciones y maloclusiones dentales y veremos cómo se solucionan con ortodoncia (con brackets o alineadores invisibles).
Diastema
Se le llama diastema al espacio o hueco que hay entre dos dientes (normalmente los incisivos centrales superiores, también conocidos como “paletas”). Si los diastemas no se tratan, pueden conllevar caries, desalineamiento de la mandíbula, problemas de encías, etcétera. Los dientes separados antes y después del uso de ortodoncia invisible o brackets cambian muchísimo, ya que se consiguen juntar sin problema. Es por eso que, aplicar una ligera presión en los dientes con ortodoncia en dientes separados, es una buena opción.

Apiñamiento Dental
El apiñamiento dental es una malposición en la que los dientes se han solapado por falta de espacio. Afortunadamente, la ortodoncia antes y después del apiñamiento dental se nota muchísimo. Gracias a los brackets o a los alineadores invisibles, se puede corregir fácilmente este problema que puede derivar en gingivitis, periodontitis, pérdida del hueso dental o dificultad para hablar, entre otros.

Mordida Abierta
Una mordida abierta es un tipo de maloclusión o una desalineación en los dientes que hace que el arco dental superior y el inferior no hagan contacto al cerrar la boca. En los casos más complejos de mordida abierta se requiere cirugía. Sin embargo, en la mayoría de casos, la diferencia entre los brackets antes y después de la mordida abierta, es más que notable.

Sobremordida
La sobremordida es una malposición en la que el arco dental superior cubre el arco inferior en exceso o casi por completo. Si la sobremordida (o sobremordida profunda) se origina en los huesos, tendremos que llevar a cabo una operación para poder ver los cambios del antes y después. Si, por el contrario, el problema solo está en los dientes y necesitan ser reposicionados, con un tratamiento ortodóntico ya se puede solucionar. Es decir, que en este caso, el solo uso de brackets o de alineadores podría solucionarla.

Prognatismo
El prognatismo es una maloclusión dental, igual que la sobremordida, pero a la inversa. Es decir, que la mandíbula inferior sobresale de la superior cubriendo parcialmente los dientes superiores. En la infancia, antes de que los dientes estén totalmente desarrollados, es posible tratar el prognatismo con dispositivos de ortodoncia tradicionales como brackets o con ortodoncia invisible (alineadores transparentes). En adultos (después de que los dientes ya estén totalmente desarrollados), será mucho más probable tener que recurrir a una cirugía. Sin embargo, siempre dependerá de la gravedad del caso.
Overjet
Decimos que una dentadura tiene overjet cuando los incisivos superiores tienen una ligera protuberancia respecto a los dientes de abajo y, además, crean un ángulo hacia fuera. Como en el caso de la sobremordida o del prognatismo, las principales consecuencias son problemas al masticar y el cambio en la forma de la cara. Depende de la gravedad del caso, se usará cirugía u ortodoncia para remediar este tipo de maloclusión.
Agenesia Dental
Uno de los problemas dentales más desconocidos es la agenesia o ausencia dental. Este tipo de anomalía se refiere a, como el nombre indica, la falta de alguna pieza dental. El motivo de la agenesia dental es que el diente no se forma y, por lo tanto, hay un hueco entre las piezas dentales contiguas. En algunos casos, la agenesia dental puede requerir solamente un tratamiento de ortodoncia invisible o brackets para solucionarlo.
Invisalign: Casos de Éxito
Invisalign ha revolucionado la ortodoncia moderna con su sistema de alineadores transparentes. Los resultados logrados con Invisalign son excepcionales, tanto en adultos como en adolescentes.
En el caso de los adultos, Invisalign ha demostrado ser una solución efectiva para corregir diversas alteraciones dentales. Los pacientes adultos han reportado una significativa mejora estética, así como una mayor confianza en su sonrisa.
Invisalign Teen se adapta a las necesidades de los adolescentes, permitiéndoles corregir problemas dentales sin afectar su vida diaria ni su apariencia. Los testimonios muestran resultados notables en menos de un año, ofreciendo así una solución estética y efectiva.
A lo largo de los años, se han documentado numerosos casos exitosos con fotografías de antes y después del tratamiento con Invisalign.
¿Cuándo se Ven Resultados con Invisalign?
¿Cuándo se ven resultados Invisalign? o ¿en cuánto tiempo se ven resultados con Invisalign? son dos de las preguntas que más recibimos por parte de pacientes e interesados en nuestros tratamientos de ortodoncia invisible Invisalign.
El alineamiento dental en general y la forma de la arcada más redonda es lo primero que empezamos a notar. También en algunos tratamientos enseguida notamos como empiezan a aparecer pequeños espacios donde antes no había.
Cuando empieces el tratamiento Invisalign puedes documentarlo con fotos para que veas cómo ha cambiado mes a mes tu Invisalign, actualmente hay aplicaciones ya para ello que te animan en el proceso como My Invisalign App. Además, cuando acudas a la clínica a las visitas de supervisión y cuando el tratamiento te sea explicado, podrás visualmente ir constatando los cambios, algo que te animará y te motivará a continuar colaborando como se te han indicado para notar los resultados más rápido.
No hay duda por parte de los Ortodoncistas que supervisan miles y casos, en que la colaboración del paciente es esencial y uno de los factores que más determina la duración del tratamiento.
Si hay que aplicar tratamientos con apiñamientos o espaciamientos leves a moderados, con falta o sobra de espacio mayor a 2-3 mm, con pocos o ningún problema de mordida en los dientes de atrás, la obtención del resultado final oscilará entre 12 y 18 meses, aunque mes a mes con Invisalign irás notando pequeños cambios.
Igualmente, los cambios suelen acontecer desde los primeros alineadores, sobre todo los de los dientes delanteros, que son los que más notamos como pacientes. Si los primeros cambios tienen lugar en los dientes de atrás, es más típico que no lo notemos tanto hasta que no tengan lugar los cambios en los dientes delanteros.
Al ser dispositivos hechos a tu medida, los primeros resultados de cualquier tratamiento Invisalign se notan desde la colocación de los primeros alineadores. Es también importante que el tratamiento esté bien planificado teniendo muy claro cuáles son los primeros movimientos que tienen que ocurrir, y cuales después, porque una buena secuencia y estrategia de tratamiento conseguirá resultados más predecibles en menos tiempo.
Si bien desde los primeros alineadores hay acción de las férulas y respuesta de los dientes, podríamos decir que a partir del 4 o 5 alineador, la suma de los cambios ocurridos hace que ya sea evidente para el paciente y su entorno.
Beneficios Adicionales de la Ortodoncia Invisible
La ortodoncia invisible no solo mejora la estética de tu sonrisa, sino que también aporta beneficios funcionales y de salud. Disfrutarás de una óptima estética dental que rejuvenece el aspecto de la sonrisa e influye y puede mejorar la estética facial.
Esto es lo que la Ortodoncia puede ofrecerte como beneficios a tu salud y calidad de vida si confías en un tratamiento de ortodoncia invisible Invisalign bien planificado y ejecutado.
Consideraciones Finales
Como has podido comprobar a través de los ejemplos que te hemos mostrado, este tratamiento permite corregir numerosas alteraciones que afectan a la salud, la estética y la funcionalidad de la boca. Incluso, puede solucionar inconvenientes que afectan a la rutina diaria y perjudican la calidad de vida.
Si estás pensando en mejorar tu sonrisa, un equipo de odontólogos especializados en Ortodoncia te valorará, estudiará tu maloclusión dental y diseñará un plan de tratamiento adaptado a tus necesidades.
tags: #resultados #ortodoncia #invisible