Entender la anatomía dental es esencial para cualquier persona interesada en cuidar adecuadamente la salud bucal. La anatomía dental es más que solo la estructura física de nuestros dientes; refleja directamente la salud bucal y general.
La mandíbula, también conocida como hueso mandibular, es el único hueso móvil del cráneo humano y cumple un papel fundamental en la masticación, el habla y la estructura facial. Es el hueso más grande y fuerte de la cara y aloja los dientes inferiores. La mandíbula forma la parte inferior del cráneo y consta de dos partes: una parte horizontal llamada cuerpo, y dos partes verticales llamadas ramas que ascienden casi verticalmente desde la parte posterior del cuerpo mandibular.

Funciones Clave de los Dientes
Los dientes sirven para la masticación, la digestión de alimentos, la articulación clara del habla y la estética facial. Su salud impacta directamente en nuestra calidad de vida general, haciendo que el cuidado dental sea una parte crucial de la higiene diaria. Cada tipo de diente tiene un papel específico que es crucial para una masticación eficaz, una digestión adecuada, una expresión facial óptima, y el habla clara. Cuidar bien de cada tipo de diente contribuye a una mejor salud oral y mejora la calidad de vida en general.
ANATOMÍA - MANDÍBULA o MAXILAR INFERIOR (Caras, Bordes, Inserciones Musculares)
Tipos de Dientes y sus Funciones
Los dientes humanos se clasifican en cuatro tipos principales, cada uno adaptado a funciones específicas en el proceso de alimentación:
Incisivos
Los dientes incisivos son los ocho dientes frontales localizados en el centro de la boca, cuatro en la parte superior y cuatro en la inferior. Estos dientes tienen la función primordial de cortar los alimentos gracias a sus bordes afilados, siendo los primeros en entrar en contacto con la comida. Son cruciales para una primera impresión estética, ya que son los más visibles al sonreír o hablar.
Caninos
Los dientes caninos, también conocidos como colmillos, se ubican junto a los incisivos, dos en la mandíbula superior y dos en la inferior. Estos dientes son notablemente más puntiagudos y robustos, diseñados específicamente para desgarrar alimentos, lo que es una función crítica especialmente en dietas que incluyen carne.
Premolares
Justo detrás de los caninos se encuentran los dientes premolares, o bicúspides, con cuatro en la arcada superior y cuatro en la inferior. Estos dientes son más grandes que los incisivos y caninos y poseen dos puntas prominentes. Los dientes premolares son esenciales para triturar y moler los alimentos, haciendo la transición entre cortar y moler mucho más eficiente.
Molares
Los molares o muelas se encuentran en la parte posterior de la boca, siendo los dientes más grandes y robustos con doce en total, incluyendo las muelas del juicio. Estos dientes tienen una superficie amplia que es ideal para moler los alimentos, preparándolos para una digestión eficiente.

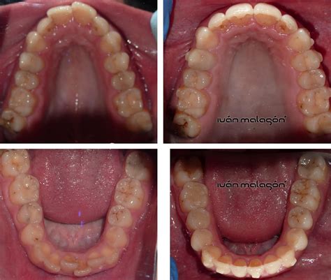
Arcada Dental: Estructura y Variaciones
Cuando hablamos de la arcada dental, nos referimos al conjunto de dientes que están alineados en la mandíbula superior o inferior formando un arco. Si te fijas en un esquema anatómico de la boca, verás que los dientes se disponen en dos «arcos»: el superior y el inferior, cada uno con características particulares. La arcada dental humana está formada por 32 dientes permanentes en los adultos, distribuidos de manera simétrica en la parte izquierda y derecha de la boca.
Arcada Dental Superior
Se refiere a la fila de dientes que están sujetos al hueso maxilar, o la parte superior de la mandíbula. Esta arcada tiende a tener una forma más amplia y ovalada en comparación con la inferior. Al ser más grande, es la encargada de cubrir ligeramente la arcada inferior al morder, asegurando una oclusión adecuada.
Arcada Dental Inferior
En este caso, los dientes están alojados en la mandíbula inferior, un hueso móvil que participa activamente en la masticación y el habla. La arcada dental inferior suele tener una forma más estrecha y curva que la superior. Al ser móvil, es la que interactúa con la arcada superior durante la masticación, facilitando que los dientes trabajen en conjunto para triturar los alimentos.
La arcada dental tiene varias funciones importantes:
- Masticar los alimentos: Los dientes de ambas arcadas trabajan juntos para triturar los alimentos de manera eficaz.
- Hablar correctamente: Los dientes juegan un papel crucial en la pronunciación de ciertas palabras.
- Estabilidad y soporte: Las arcadas dentales mantienen la estructura facial.
Aunque todos tenemos una arcada dental, la forma exacta de esta puede variar entre las personas:
- Arcada ovalada: Es la forma más común y se caracteriza por un arco suave y equilibrado.
- Arcada cuadrada: Esta forma es más angulosa, y los dientes delanteros tienden a estar alineados en línea recta.
- Arcada triangular: En este tipo de arcada, la parte delantera es más estrecha y los dientes tienden a converger hacia adelante.

Oclusión Dental
La oclusión se refiere a la forma en que los dientes de la arcada dental superior e inferior se encajan entre sí al morder. Una buena oclusión implica que los dientes superiores cubren ligeramente a los inferiores cuando se cierra la boca, y que no haya un contacto excesivo o inadecuado entre ellos.
Sin embargo, no todas las personas tienen una oclusión perfecta:
- Sobremordida: Ocurre cuando la arcada dental superior cubre en exceso a la inferior.
- Mordida abierta: Se produce cuando los dientes anteriores no llegan a tocarse al morder.
- Apiñamiento dental: Cuando la arcada dental no tiene suficiente espacio para acomodar todos los dientes, se produce el apiñamiento.
Músculos de la Mandíbula
La mandíbula está controlada por varios músculos que permiten la masticación y el movimiento. Los principales músculos incluyen:
- Masetero: Este músculo masticador cuadrangular se une desde el lado de la rama de la mandíbula a cada lado de la mandíbula al cráneo por encima. El masetero eleva y protruye la mandíbula, cerrando así la mandíbula.
- Temporal: Este extenso y potente músculo masticador en forma de abanico se origina en el hueso temporal del cráneo y se une a la rama de la mandíbula y a su apófisis coronoides. El músculo temporal eleva la mandíbula, cerrando los maxilares.
- Pterigoideo lateral: Este músculo tiene un aspecto cónico que se origina en la parte inferior del hueso temporal y los huesos esfenoides del cráneo y se une al cuello de la mandíbula, así como a la cápsula y el disco articular de la articulación temporomandibular. Actuando solos, los músculos pterigoideos laterales producen movimientos laterales de la mandíbula.
- Pterigoideo medial: Este músculo cuadrilátero comienza en el cráneo y se inserta en la superficie interna de la rama de la mandíbula. Los músculos pterigoideos mediales ayudan a elevar la mandíbula, cerrando los maxilares. Actuando juntos, ayudan a protruir la mandíbula.

Importancia del Conocimiento Anatómico
El conocimiento detallado de los nombres y las funciones de cada tipo de diente es necesaria para identificar problemas bucales específicos relacionados con cada uno, como la caries dental, problemas de encías y otros trastornos que pueden afectar a áreas específicas de la boca. Este entendimiento también es vital para mantener prácticas de higiene bucal adecuadas. Saber qué diente requiere atención especial durante el cepillado, el uso de hilo dental y otros cuidados preventivos puede hacer una gran diferencia en la prevención de enfermedades orales y en la prolongación de la vida útil de tus dientes.