Si quieres mantener tus dientes alineados después de una ortodoncia, es clave el uso de retenedores dentales. El retenedor dental es una parte fundamental del tratamiento de ortodoncia. Este dispositivo te ayudará a asegurar un mejor resultado tras el tratamiento.
En la búsqueda de una sonrisa perfecta y saludable, a menudo se pasa por alto un elemento esencial: el retenedor dental. Estos retenedores de ortodoncia juegan un papel fundamental en mantener tus dientes alineados y tu sonrisa radiante. Antes de usarlos, es crucial que comprendas todos los aspectos relevantes. En esta guía completa, te contaremos todo lo que necesitas saber.
Cómo limpiar tus retenedores - Odontología Láser
¿Qué es un Retenedor Dental?
Un retenedor es un dispositivo personalizado, diseñado para mantener los dientes en su nueva posición alineada tras un tratamiento ortodóntico. Un retenedor dental es un dispositivo que tiene como objetivo mantener la posición correcta de los dientes después de un tratamiento de ortodoncia. Su función principal es evitar que los dientes vuelvan a su posición original, algo que puede ocurrir debido a la memoria de los tejidos dentales y a la tendencia natural de los dientes a volver a sus posiciones originales.
Después de un tratamiento de ortodoncia, tus dientes estarán en la posición correcta, pero no están completamente firmes en esta, ya que las encías, huesos y músculos deben acostumbrarse al cambio. La ortodoncia, bien sea brackets o invisible, mantiene tus dientes perfectos en la posición deseada con su uso. Pero una vez que te los quitan, nada impide que se muevan a su posición anterior al tratamiento.

Tipos de Retenedores Dentales
Existen diferentes tipos de retenedores dentales, diseñados para adaptarse a las necesidades concretas de cada paciente. A continuación, te explicamos los dos tipos de retenedores dentales que existen: fijos y removibles. Existen varios tipos de retenedores de ortodoncia, cada uno con sus propias ventajas y consideraciones:
Retenedor Fijo Dental
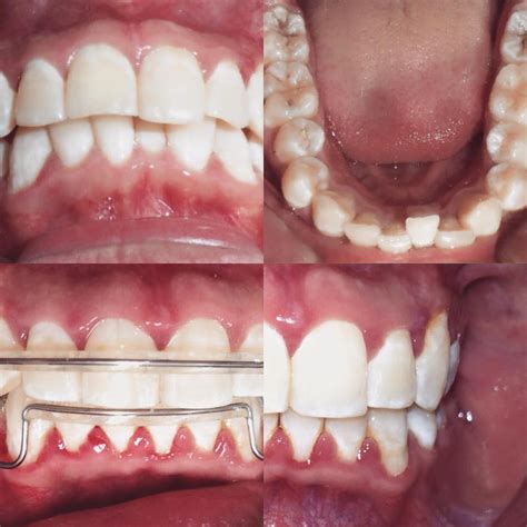
También llamados retenedores permanentes, son aquellos que se adhieren a tus dientes con un pegamento. Los retenedores fijos ortodoncia, también conocidos como retenedor fijo dental, están adheridos a la parte posterior de los dientes. El retenedor fijo consiste en unas finas barras de alambre que se colocan de colmillo a colmillo, tanto en la arcada superior como en la inferior.
Se colocan en un segmento del arco determinado, de colmillo a colmillo. Se colocan en la cara lingual del arco inferior, la parte interna de los dientes. Se encementan con composite en los incisivos inferiores. Aunque en el arco superior también se pueden colocar, no siempre es posible en todos los casos. Estos retenedores se implantan acto seguido tras retirar la ortodoncia.
- Ventajas: Garantizan mayor estabilidad. Al ir colocado de manera fija, no es necesario que el paciente recuerde ponérselo.
- Desventajas: Requieren una higiene bucal más exhaustiva. Al principio, pueden molestar en la lengua.
Retenedor Dental Removible
El removible se puede quitar y volver a poner. Son más cómodos para comer y limpiar, pero requieren disciplina para su uso regular. El retenedor removible se basa en unas férulas transparentes, muy similares a las de la ortodoncia invisible.
- Placa de Hawley: Es una placa de acrílico con soportes metálicos. Es el principal retenedor en cuanto a removibles se refiere. Este tipo de retenedor está hecho de metal y acrílico.
- Retenedores Essix: Está formado por una estructura muy fina de plástico transparente que se adapta a la posición de los dientes para evitar el movimiento tras el tratamiento de ortodoncia. Son férulas finas de plástico transparente. El retenedor removible (tipo Essix) está hecho de plástico transparente y, a simple vista, es como un alineador transparente.

Los retenedores removibles son aquellos que están pensados para que el paciente los lleve solamente unas determinadas horas al día, generalmente, mientras duerme. Tanto la placa Hawley como los retenedores tipo Essix se pueden retirar para la limpieza diaria.
- Ventajas: Permiten una higiene más sencilla. Son ideales cuando se busca comodidad, ya que permiten quitarlos para comer o cepillarse los dientes.
- Desventajas: Requieren disciplina para su uso regular.
Retenedor Dental para Niños
Cuando un niño termina un tratamiento de odontopediatra, también necesita llevar retenedor dental, también llamado placa de Hawley. Se trata de un retenedor removible que se coloca en los últimos molares y que está hecho con un material acrílico y que se utiliza para garantizar el resultado de la primera fase de la ortodoncia.
¿Por Qué es Importante Llevar un Retenedor?
El uso de retenedores de ortodoncia es esencial para mantener los resultados de tu tratamiento. Los retenedores son indispensables para conservar los resultados mantenidos por cualquier tipo de ortodoncia. Al usar los retenedores dentales, indicados por el ortodoncista, tras un tratamiento de ortodoncia, tus dientes se mantendrán perfectamente alineados.
Después de llevar brackets o alineadores, los dientes tienden a moverse gradualmente. Los retenedores ortodoncia evitan que esto suceda, asegurando que tu nueva sonrisa permanezca intacta. Además de ayudarte a mantener tus dientes alineados, los retenedores dan soporte a los huesos alrededor de los dientes mientras se adaptan a su nueva posición. El movimiento de los dientes es normal, por lo que si no utilizas el retenedor se moverán y buscarán volver a su posición inicial.
Retenedores Después de la Ortodoncia: ¿Cuánto Tiempo Hay Que Llevarlos?
Será tu dentista u ortodoncista quien indicará específicamente cuánto tiempo debes usar los retenedores. Lo normal es usar retenedores después de la ortodoncia durante 3 o 4 meses. Tras el tratamiento de ortodoncia es habitual usar retenedores de forma continuada durante tres o cuatro meses.
En el caso de tener retenedores removibles, puedes quitártelos para comer, beber, cepillarte los dientes, etc. Después de estos 3-4 meses, lo más probable es que solo tengas que usar retenedores después de ortodoncia por las noches, para dormir. Como hemos dicho antes, esta es la mejor manera de tener tu sonrisa bien alineada para el mayor tiempo posible.
Si dejas de usarlos puede que tus dientes comiencen a moverse, en ese caso si intentas usarlos de nuevo puede que ayuden a devolverlos a su posición. Pero no debes esperar mucho tiempo, porque será más difícil lograr volver a la alineación y puede que tengas que utilizar ortodoncia nuevamente.
Lo que sí podemos decirte es que hay una gran cantidad de ortodoncistas que consideran que la retención debe llevarse de por vida. Quizá la expresión “de por vida” te haya parecido demasiado. Por un lado, la barra de alambre del retenedor fijo es tan fina que la persona que la lleva ni siquiera la nota. Por otro lado, los retenedores de “quita y pon” solo suelen ser utilizados por las noches, para dormir.

¿Cómo Limpiar un Retenedor Dental?
Limpiar el retenedor es importante para mantenerlo higienizado y evitar la acumulación de bacterias y malos olores. Si usa un retenedor, es posible que se pregunte cómo cuidarlo. Su retenedor se sienta dentro de su boca y contra sus dientes, por lo que rápidamente acumula bacterias, placa y sarro. Al igual que te cepillas los dientes todos los días, es importante limpiar tu retenedor todos los días. La limpieza varía según el tipo.
Cómo Limpiar un Retenedor Dental Fijo Paso a Paso
Si tienes un retenedor dental fijo, es muy fácil limpiarlo, ya que al llevarlo siempre puesto, puedes limpiarlo cuando te laves los dientes. Si quieres saber cómo hacerlo correctamente, aquí te contamos cómo hay que lavarse los dientes. Tan solo tendrás que cuidar tu higiene dental y evitar que se acumule sarro entre los dientes:
- Cuidado al morder ciertos alimentos: Ten cuidado al morder ciertos alimentos y evita tirar mucho cuando comas alimentos duros, como el típico bocadillo, ya que puedes sacar el retenedor sin querer.
- No te muerdas las uñas: Ya que provocas que los dientes se muevan y que se despegue el retenedor.
Existen dos maneras de limpiar los retenedores fijos. Por un lado, los retenedores fijos son limpiados con cada cepillado dental. Para ello, el paciente tiene que incidir especialmente en la zona donde está colocado el alambre. Esto se debe a que la barra dificulta la acción del cepillado, por lo que es habitual que tiendan a acumularse la placa bacteriana y el sarro. Adicionalmente, se deberá usar seda dental una vez al día. Por otro lado, los retenedores fijos también son limpiados en las higienes bucodentales profesionales que se hace el paciente en la clínica dental.
Cómo Limpiar un Retenedor Dental Removible Paso a Paso
Limpiar un retenedor dental removible es algo más complicado. Lo ideal es limpiarlos cada vez que te los quites, ya que se exponen a la saliva y al sarro. Sigue estos pasos para limpiar tu retenedor dental removible:
- Limpia la superficie: Limpia la parte superficial del retenedor con un cepillo, agua fría y jabón neutro.
- No utilices pasta de dientes: Un error muy común es lavar el retenedor dental removible con pasta de dientes. No lo hagas, ya que pueden perder transparencia y pueden volverse blanco, quedando mal estéticamente.
- Utiliza pastillas limpiadoras semanalmente: Podrás encontrar este tipo de pastillas en cualquier farmacia. Llenando un vaso con agua, echa la pastilla y añade el retenedor dental durante 15 minutos; al sacarlo, lo aclaramos muy bien, lo secamos y lo guardamos en la caja del retenedor. Hazlo una vez a la semana.
En lo que respecta a los retenedores removibles, su limpieza es igualmente sencilla. Cada mañana, después de haberlos usado durante la noche, el paciente deberá lavarlos con agua tibia y jabón neutro. Además, una vez a la semana, se recomienda sumergir los retenedores en un vaso con agua y una pastilla efervescente para limpiar prótesis dentales.
Consejos Adicionales para el Cuidado y Mantenimiento de Tu Retenedor Dental
- Limpieza diaria: Los retenedores removibles deben limpiarse diariamente con un cepillo suave, agua fría y jabón.
- Evita alimentos duros: Evita morder alimentos duros con retenedores fijos para evitar daños.
- Disciplina y hábito: Sigue las recomendaciones de tu ortodoncista sobre cuánto tiempo debes usar tu retenedor al día.
- Consulta a un profesional: Antes de ponerte un retenedor dental, es importante consultar a un dentista. Te ayudarán a ver lo que necesitas específicamente y te dirán qué tipo de retenedor es mejor para ti.
- Quítate los retenedores con cuidado: Trata de alternar el lado por el que te quitas los retenedores removibles. Si los retiras siempre del mismo lado, pueden desgastarse en exceso y romperse.
- No comas con los retenedores removibles: Además de ser poco higiénico y muy incómodo, comer con los retenedores removibles contribuye a que estos se rompan y pierdan su transparencia. El agua es lo único que se puede ingerir con los retenedores removibles puestos.
- Si se rompen, cámbialos: Reemplaza tus retenedores removibles por unos nuevos cuando notes un excesivo desgaste. Así evitarás que pierdan su eficacia o, peor aún, que se rompan de repente y tengas que estar unos días sin ellos (hasta que acudes a la clínica y te confeccionan unos nuevos). Estar unos días sin ellos puede hacer que tus dientes se muevan.
- Acude al ortodoncista periódicamente: Aunque te hayan retirado la ortodoncia, es necesario que sigas acudiendo a revisiones.
Problemas Más Comunes con los Retenedores de Ortodoncia
Mi Retenedor Dental Fijo Se Ha Despegado
Si de repente tienes tu retenedor dental fijo despegado acude a tu clínica de confianza para pegarlo o, si es necesario, para reemplazarlo.
Mi Retenedor Dental Transparente Se Ha Roto
Es posible que tengas tu retenedor dental transparente roto por varias razones. Lo importante es que actúes cuanto antes. Puede ser que esté un poco roto o desgastado, pero si está estable no hace falta cambiarlo. Si está roto completamente y no puedes utilizarlo, lo mejor es lo que acudas a la clínica para realizar uno nuevo.
Preguntas Frecuentes Sobre los Retenedores de Ortodoncia
¿Duele Llevar Retenedores de Ortodoncia?
Los retenedores ortodoncia no deberían de doler en absoluto, aunque puede que al principio te encuentres un poco incómodo, lo cual es completamente normal. Una vez te acostumbres a él no debería dolerte para nada. Si ese es tu caso, lo mejor es que pases por la clínica donde te hayan colocado el retenedor.
¿Cada Cuánto Tengo Que Cambiar Mi Retenedor Dental?
Esto es muy variable y depende totalmente de ti y de cómo avance el tratamiento post ortodoncia. Normalmente hay que cambiar los retenedores cuando el retenedor esté desgastado. El cambio depende al 100% de tu caso en concreto. Un retenedor removible puede durar entre 1 y 5 años, dependiendo del uso y cuidado. Los retenedores fijos no se “cambian” como tal, pero es importante revisarlos en consulta regularmente.
¿Cómo Quitar el Retenedor Dental?
Si tienes un retenedor dental fijo, no puedes quitarlo, debes de ir a consulta a quitártelo. Recuerda que en ningún caso te debería de doler ni molestarte, así que si eses tu caso y quieres saber cómo quitar el retenedor dental, consulta con tu dentista.
Por otro lado, saber cómo quitar el retenedor dental removible es muy importante, ya que se suelen ajustar muy bien a la boca y hay que andar quitándolos y poniéndolos todo el rato. Intenta aflojar el retenedor por ambos lados para que salga fácilmente. Intenta evitar siempre sacarlo por el mismo lado para que no se deforme ni se rompa.