El uso de retenedores es crucial para mantener la alineación de tus dientes y asegurar resultados duraderos tras un tratamiento de ortodoncia. Los retenedores dentales son una parte importante del proceso de ortodoncia, sin embargo, no todo el mundo está informado de qué son y de por qué son necesarios. Después de usar aparatos ortopédicos dentales, como alineadores, brackets, bandas y alambres, es común que los ortodoncistas recomienden el uso de retenedores dentales.
Un retenedor dental es un dispositivo que tiene como objetivo mantener la posición correcta de los dientes después de un tratamiento de ortodoncia. Su función principal es evitar que los dientes vuelvan a su posición original, algo que puede ocurrir debido a la memoria de los tejidos dentales y a la tendencia natural de los dientes a volver a sus posiciones originales. Los retenedores son indispensables para conservar los resultados mantenidos por cualquier tipo de ortodoncia.
Los retenedores son dispositivos pasivos. Es decir, su función principal no es mover los dientes, sino evitar que estos se desplacen hacia direcciones no deseadas. La importancia de los retenedores radica en la necesidad de dar tiempo a los tejidos gingivales para que se adapten a la nueva posición de los dientes después de un tratamiento de ortodoncia. Debes recordar que el retenedor es una continuación del tratamiento de ortodoncia y su objetivo es garantizar que los resultados obtenidos no se pierdan con el tiempo.
Existen diferentes tipos de retenedores dentales, diseñados para adaptarse a las necesidades concretas de cada paciente. Los más comunes son los retenedores fijos (finos alambres que se fijan a los dientes) y los retenedores removibles tipo Essix, que son unas férulas transparentes que deben usarse un número mínimo de horas al día.
Tipos de Retenedores Dentales
Existen diferentes tipos de retenedores, cada uno con indicaciones particulares y efectos distintos. Entre los más comunes se encuentran los retenedores fijos, los removibles de resina y los removibles transparentes. Los retenedores dentales se dividen entre fijos y removibles.
Los retenedores removibles ofrecen una versatilidad que se adapta a las necesidades específicas de cada paciente. Los retenedores removibles llamados placas de Hawley son cada vez menos frecuentes, pero todavía se utilizan en niños que han recibido tratamiento con brackets. Este tipo de retenedor está compuesto por ganchos que se colocan en los dientes y un alambre dispuesto en la zona exterior de los dientes. Los retenedores removibles transparentes van ganando popularidad debido a su discreción y comodidad. Los retenedores removibles de resina cubren el paladar y están provistos de pequeños alambres de retención para su mejor ajuste. Por el contrario, los retenedores removibles transparentes son similares a los alineadores de ortodoncia.
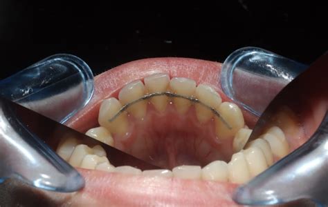
Los retenedores fijos son unos dispositivos formados por delicados alambres que se cementan en la cara interior de los dientes, sin que sean visibles externamente. Los retenedores fijos, también conocidos como permanentes, son barras de alambre que se colocan detrás de los dientes anteriores, especialmente en la arcada inferior, aunque también pueden colocarse en la arcada superior. Es un alambre metálico que se adhiere detrás de los dientes, normalmente los incisivos inferiores.

Diferentes tipos de retenedores dentales: fijos y removibles.
Ventajas de los Retenedores de Ortodoncia
Las ventajas de los retenedores ortodoncia son:
- Adaptación de los dientes: Los retenedores de ortodoncia ayudan a que los dientes se adapten a su nueva posición de manera gradual y natural, permitiendo que los tejidos orales se ajusten de manera adecuada y evitando el estrés innecesario en los dientes y las encías.
- Retención permanente: Los retenedores de ortodoncia pueden utilizarse durante un período prolongado de tiempo para garantizar que los dientes permanezcan en su nueva posición a largo plazo. Esto reduce el riesgo de recidiva dental y evita la necesidad de someterse a un tratamiento de ortodoncia adicional en el futuro.
- No interfiere en el habla: A diferencia de los brackets y otros dispositivos utilizados durante el tratamiento de ortodoncia, los retenedores no interrumpen el habla del paciente. Los retenedores removibles son discretos y cómodos de usar, lo que facilita su uso diario.
😱Ventajas y Desventajas de los 3 tipos de Retenedores | TODO lo que debes saber👆
¿Qué Retenedor es Mejor Después de la Ortodoncia?
Te preguntas que retenedor es mejor despues de la ortodoncia. Tienes que tener en cuenta que la elección del tipo de retenedor que se utiliza después del tratamiento de ortodoncia depende de varios factores, como el caso individual del paciente, la severidad de la maloclusión y la preferencia del ortodoncista. Ambos tipos de retenedores tienen sus ventajas y desventajas, y es importante evaluar cuidadosamente cada opción antes de tomar una decisión.
Retenedor Fijo
El retenedor fijo ortodoncia se coloca en la parte posterior de los dientes, pegado con una resina dental. Estos retenedores son convenientes porque no requieren la extracción y colocación diaria, y su uso es continuo. Sin embargo, pueden ser más difíciles de limpiar y mantener que los retenedores removibles. Además, su presencia puede dificultar la limpieza dental y el acceso a las áreas interdentales.
Retenedor Removible
El retenedor ortodoncia removible es un dispositivo que se puede extraer de la boca para la limpieza y la comodidad del paciente. Son fáciles de limpiar y mantener, y no interfieren con la higiene dental diaria. Sin embargo, su uso puede ser menos consistente que los retenedores fijos, lo que aumenta el riesgo de recidiva dental.
Tipos de retenedor de ortodoncia removible:
- Lingual: El retenedor lingual ortodoncia es un dispositivo de alambre que se coloca en la parte posterior de los dientes anteriores. Es similar a un retenedor fijo, pero se puede quitar para la limpieza y la comodidad del paciente. El retenedor lingual es discreto y efectivo para mantener la alineación de los dientes anteriores.
- Ferulizaciones: La ferulización es un tipo de retenedor removible que consiste en una serie de alambres que se sujetan a los dientes con bandas elásticas. Es más grande y más visible que un retenedor lingual, pero es efectivo para mantener la alineación de los dientes posteriores y anteriores.

Ejemplos de retenedores fijos y removibles.
¿Por Qué se Utiliza el Alambre Retenedor del Aparato?
El alambre retenedor ortodoncia se utiliza por los siguientes motivos:
- Seguridad ante olvidos: El alambre retenedor es una solución de retención a largo plazo que evita que los dientes vuelvan a moverse a su posición original. A diferencia de los retenedores removibles, que pueden ser olvidados o perdidos, el alambre retenedor se coloca permanentemente en la boca del paciente, lo que minimiza el riesgo de que los dientes se muevan nuevamente.
- Mayor efecto de retención: El alambre retenedor tiene una capacidad de retención superior a la de los retenedores removibles. Al estar fijado permanentemente en la boca del paciente, el alambre retenedor aplica una fuerza constante sobre los dientes, lo que ayuda a mantenerlos en su posición adecuada.
- Cuidado en casos de apiñamiento: En los casos de apiñamiento dental, el alambre retenedor es especialmente útil para mantener los dientes en su nueva posición, ya que estos tienden a moverse con mayor facilidad. En este sentido, el alambre retenedor ayuda a mantener los dientes alineados y previene la recurrencia del apiñamiento.
¿Cómo se Pone el Retenedor Fijo de la Ortodoncia?
El retenedor fijo ortodoncia se pone de siguiendo los pasos que te mencionamos a continuación:
- Medición del alambre: El ortodoncista o el dentista medirá la longitud del alambre necesario para colocar el retenedor fijo en la parte posterior de los dientes inferiores o superiores. Se cortará el alambre a la longitud adecuada para la boca del paciente.
- Colocación en la parte interna: El alambre del retenedor fijo se coloca en la parte interna de los dientes inferiores o superiores, justo detrás de los dientes frontales. Es importante que el alambre esté bien ajustado y en contacto con los dientes.
- Fijación con pegamento dental: Una vez que el alambre del retenedor fijo está en su lugar, el ortodoncista o el dentista aplicará un pegamento dental especial en la superficie posterior de los dientes para fijar el alambre.
Consideraciones Adicionales
Tras retirar los brackets o el alineador invisible, los dientes tienden a moverse de nuevo hacia su posición original si no se toman medidas. Cuando termina el tratamiento, los dientes han sido recolocados, pero las encías, el hueso y los ligamentos aún necesitan estabilizarse. Sin un retenedor, existe el riesgo de que los dientes vuelvan a su posición anterior (efecto rebote).
Además, ciertos hábitos como empujar con la lengua o respirar por la boca pueden favorecer esa recaída. Por lo tanto, es importante que a la hora de cepillarse se haga hincapié en esta zona para poder eliminar la totalidad de la placa que pueda acumularse alrededor del alambre. Por el contrario, la desventaja es que hay que acordarse de ponérselos.
La retención removible, en los primeros meses, suele llevarse todo el día. Los dientes pueden desalinearse con el tiempo.
Preguntas Frecuentes
- ¿Qué es un retenedor dental y para qué sirve? Un retenedor dental es un dispositivo que se utiliza para mantener la posición correcta de los dientes después de un tratamiento de ortodoncia.
- ¿Cuánto tiempo hay que usar el retenedor después de la ortodoncia? El tiempo de uso varía según el tipo de retenedor y las indicaciones del ortodoncista. Inicialmente, los retenedores removibles suelen usarse todo el día (excepto para comer y cepillarse) durante varios meses. Luego, se pasa a un uso nocturno. Los retenedores fijos se llevan de forma permanente o durante muchos años.
- ¿Qué tipos de retenedores existen? Existen retenedores fijos (pegados por detrás de los dientes) y removibles (como férulas transparentes).
- ¿Es obligatorio usar retenedor tras la ortodoncia? Sí, es imprescindible para evitar que los dientes se desplacen de nuevo.
- ¿Qué precio tiene un retenedor dental? El precio varía según el tipo: los fijos suelen costar entre 150-300€ por arcada; los removibles Hawley entre 150-350€; los transparentes Essix entre 150-400€; y los Vivera® de Invisalign desde 300-600€ por juego.
Siguiendo las indicaciones de tu ortodoncista al pie de la letra, podrás asegurar el mayor beneficio para tu salud dental y disfrutar de una sonrisa perfectamente alineada y duradera.
tags: #retenedor #dental #permanente