Después de un tratamiento de ortodoncia, el uso de retenedores es crucial para mantener los resultados obtenidos. Los retenedores, ya sean fijos o removibles, juegan un papel fundamental en la estabilización de los dientes en su nueva posición.

En DENTAL PONENT TARREGA, entendemos la importancia de cuidar tu sonrisa. Por eso, te ofrecemos información valiosa sobre los retenedores, especialmente los retenedores fijos en la arcada inferior, y te brindamos consejos para su correcto mantenimiento.
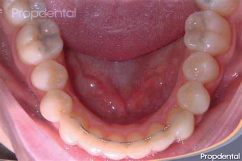
¿Qué son los Retenedores Fijos?
Los retenedores fijos son una excelente opción para evitar movimientos indeseados de los dientes después de la ortodoncia. Se trata de una barra delgada que se adhiere a la cara interna de los dientes, es decir, la parte lingual. Generalmente, se colocan detrás de los cuatro dientes frontales superiores y detrás de los seis dientes frontales inferiores.
Estos retenedores se implantan inmediatamente después de retirar la ortodoncia y se fijan con composite en los incisivos inferiores. Aunque también se pueden colocar en el arco superior, no siempre es posible en todos los casos.
Una de sus principales ventajas es su estética, ya que son prácticamente invisibles al hablar o sonreír.
Tipos de Retenedores de Ortodoncia
La ortodoncia está en constante evolución para ofrecer a los pacientes opciones cómodas y efectivas. Según tus necesidades y preferencias estéticas, tu ortodoncista te recomendará uno de los siguientes tipos de retenedores:
- Fijos: Adheridos a la parte posterior de los dientes anteriores para evitar movimientos.
- Removibles (Essix): Férulas transparentes que se adaptan a la forma de los dientes.
- Vivera: Retenedores removibles de alta tecnología de Invisalign, que ofrecen una adaptación precisa y evitan el uso de retenedores fijos.
Ventajas de los Retenedores Fijos
- Estética: Son discretos y no se notan al hablar o sonreír.
- Eficacia: Evitan eficazmente el movimiento de los dientes.
- Comodidad: Una vez que te acostumbras, son cómodos de llevar.
Cuidados Esenciales del Retenedor Fijo Inferior
Para asegurar la durabilidad y eficacia de tu retenedor fijo, es fundamental seguir estas indicaciones:

- Higiene Oral: Cepíllate los dientes al menos tres veces al día, prestando especial atención a la zona donde está el retenedor para evitar la acumulación de placa.
- Evita Morder Objetos Duros: No muerdas directamente objetos duros con los dientes delanteros.
- Cuidado con los Alimentos: Evita morder alimentos duros como zanahorias o manzanas directamente. Tampoco consumas caramelos pegajosos.
- Revisiones Regulares: Asiste a tus citas de control para que el ortodoncista revise el estado del retenedor.
- Atención al Despegue: Si notas que el retenedor se ha despegado, solicita una cita con tu ortodoncista lo antes posible.
Además, es importante mantener una buena higiene oral general para prevenir el mal aliento. Los retenedores pueden acumular placa bacteriana, por lo que es esencial limpiarlos regularmente siguiendo las recomendaciones de tu ortodoncista.
¿Cómo Limpiar los Retenedores Fijos?
Para mantener la higiene de los retenedores fijos, sigue estos consejos:
- Cepilla tus dientes como de costumbre, prestando especial atención a la zona alrededor del retenedor.
- Utiliza hilo dental o cepillos interdentales para limpiar entre los dientes y alrededor del alambre del retenedor.
- Considera el uso de un enjuague bucal antibacteriano para ayudar a controlar la placa y el mal aliento.
Retenedores Removibles: Una Alternativa Complementaria
Los retenedores removibles, como las placas Essix, son otra opción popular. Están hechos de una estructura fina de plástico transparente que se adapta a la posición de los dientes. Se usan principalmente durante los primeros meses después de finalizar el tratamiento de ortodoncia.
Estos retenedores son de quitar y poner, lo que facilita su limpieza. Sin embargo, es fundamental mantener una higiene adecuada para evitar la acumulación de bacterias.
Cuidados de los Retenedores Removibles
- Limpieza Diaria: Lávalos con agua y un cepillo de dientes suave sin crema dental, utilizando jabón neutro.
- Almacenamiento: Guárdalos en su caja cuando no los estés usando para evitar que se dañen.
- Evita el Calor: No los laves con agua caliente.
- Retirar al Comer: Quítatelos antes de comer para evitar que se acumulen restos de comida.
¿Cómo limpiar tus retenedores? 🤔 Actualizado 2020 - Odontología Láser.
Es importante llevar los retenedores removibles al dentista para que los ajuste si es necesario. También, debes ser cuidadoso al manipularlos para evitar deformaciones.
¿Por Qué Usar Retenedores Después de la Ortodoncia?
El uso de retenedores es una parte esencial del tratamiento de ortodoncia. Al retirar los brackets, los dientes tienden a volver a su posición original, ya que los huesos, músculos y encías se están adaptando a su nueva ubicación. Los retenedores evitan que esto ocurra, asegurando que el trabajo realizado con la ortodoncia se mantenga a largo plazo.
Muchos pacientes que no siguen las indicaciones de uso de los retenedores terminan necesitando un nuevo tratamiento de ortodoncia. Por lo tanto, es fundamental cumplir con las recomendaciones de tu ortodoncista para mantener tu sonrisa perfecta.

En Clinica Alba & Hernanz, han incorporado el uso de los retenedores Vivera en todos sus pacientes, obteniendo resultados muy satisfactorios. Estos retenedores ofrecen una adaptación precisa y evitan la necesidad de usar retenedores fijos.
| Tipo de Retenedor | Ventajas | Desventajas | Cuidados |
|---|---|---|---|
| Fijo | Estético, eficaz, cómodo | Requiere higiene minuciosa, puede despegarse | Cepillado dental, hilo dental, revisiones periódicas |
| Removible (Essix) | Fácil de limpiar, removible | Menos estético, requiere disciplina para usarlo | Limpieza diaria, guardar en su caja, evitar calor |
| Vivera | Adaptación precisa, evita retenedores fijos | Costo elevado | Igual que los retenedores Essix |
La Comodidad de los Retenedores Dentales
La comodidad de los retenedores dentales puede variar según la persona y el tipo de retenedor utilizado. Al principio, es normal sentir cierta incomodidad o irritación. Sin embargo, la mayoría de las personas se adaptan gradualmente a la presencia del retenedor en la boca.
Si experimentas molestias persistentes, es importante comunicarte con tu ortodoncista o dentista para que realice los ajustes necesarios.
tags: #retenedor #fijo #ortodoncia #inferior