Los retenedores dentales son una parte esencial de cualquier tratamiento de ortodoncia, ya sea con brackets o con alineadores transparentes. La razón de ello es que los dientes tienden a apiñarse y a moverse con el tiempo. Por lo tanto, usar un retenedor adecuado después de tu tratamiento de ortodoncia es de vital importancia.
La retención es la fase del tratamiento de ortodoncia que mantiene tus dientes en sus posiciones corregidas. Los dientes tienden naturalmente a volver a sus posiciones originales, un fenómeno conocido como recaída ortodóntica. "Casi todas las personas que se someten a un tratamiento de ortodoncia necesitarán algún tipo de retención para cada arcada."
Tras retirar los brackets o el alineador invisible, los dientes tienden a moverse de nuevo hacia su posición original si no se toman medidas. Cuando termina el tratamiento, los dientes han sido recolocados, pero las encías, el hueso y los ligamentos aún necesitan estabilizarse. Sin un retenedor, existe el riesgo de que los dientes vuelvan a su posición anterior (efecto rebote). Además, ciertos hábitos como empujar con la lengua o respirar por la boca pueden favorecer esa recaída.
⭐😬 TODO LO QUE DEBES SABER SOBRE RETENEDORES !!!! 😬⭐
¿Qué son los retenedores dentales?
Los retenedores son aparatos de contención para los dientes que se ocupan de mantenerlos alineados y en la posición adecuada tras finalizar un tratamiento de ortodoncia. Su principal función es evitar que los dientes vuelvan a su posición inicial.
Los retenedores dentales también pueden corregir problemas de maloclusión y prevenir la pérdida dental. "Es recomendable utilizar retenedores tras finalizar cualquier tratamiento ortodóntico para evitar la necesidad de repetir un tratamiento en el futuro."
Los retenedores también permiten que el hueso dental y los tejidos circundantes se solidifiquen y fortalezcan. Después de la ortodoncia, estas estructuras suelen estar más débiles y requieren estabilización para evitar que los dientes se desplacen nuevamente.
Tipos de retenedores dentales
Existen dos opciones principales de retenedores tras la ortodoncia: fijos y removibles. Tu ortodoncista puede aconsejarte, pero al final eres tú quien tendrá que elegir el aparato que más se adapte a ti.
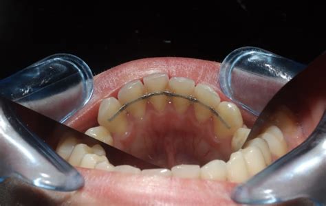
- Retenedores fijos: Los retenedores fijos de ortodoncia están compuestos de un alambre de metal que se coloca detrás de los dientes de la arcada superior e inferior y va de canino a canino. El dispositivo no se ve desde el exterior y son retenedores de por vida.
- Retenedores removibles: Los retenedores removibles, como su propio nombre indica, tienen la ventaja de ser extraíbles, por lo que se sacan para comer y cepillarse los dientes. Por lo tanto, te permiten llevar una higiene dental sin limitaciones y la adaptación es mucho más rápida, sobre todo si previamente has usado ortodoncia removible.

Retenedores removibles más comunes
- Retenedor Hawley: Este tipo de retenedor removible está compuesto por unos ganchos que se colocan en los dientes y un alambre dispuesto en la zona exterior de los dientes. Cubre todo el paladar, previniendo la alteración de la mordida y los movimientos dentales no deseados.
- Retenedores transparentes removibles (Essix): Férulas similares a las que se utilizan en los tratamientos de ortodoncia invisible.
Uno de los retenedores más utilizados hoy en día por los ortodoncistas son los Essix. Un retenedor Essix es una férula que se fabrica a medida de los dientes del paciente y sirve para mantener la posición alcanzada por los dientes tras un tratamiento de ortodoncia. Este tipo de retenedor se caracteriza por ser removible (de quita y pon) y se confecciona con un material plástico transparente de alta calidad.
Con el desarrollo de materiales termoplásticos transparentes y delgados, los retenedores formados al vacio se han tornado muy populares entre muchos ortodoncistas en los últimos años. Presentan muchas ventajas sobre el alambre y el acrílico.
Fase de retención
La fase de retención empieza cuando terminas tu tratamiento de ortodoncia. Si optas por los fijos, se colocan el mismo día que se retiran los aparatos. Los removibles, en cambio, se usan todo el día el tiempo que considere el ortodoncista y después de este período, solo tendrás que llevarlos por la noche. Recomendamos que se cambien regularmente, aproximadamente cada 6 o 9 meses.
Uso de los retenedores Essix
- Fabricación personalizada: el día que se retiran los brackets o los alineadores transparentes, el ortodoncista toma impresiones (medidas) de la boca del paciente.
- Uso diario: unos días después, el ortodoncista entrega y prueba los retenedores al paciente. Además, ofrecerá unas instrucciones de uso y le indicará cuánto tiempo debe usarlos. Durante el primer mes, puede ser necesario llevarlos todo el día. Esto se debe a que, nada más retirar la ortodoncia, los ligamentos todavía están asentándose en su nueva posición. Por tanto, los dientes son más susceptibles a moverse.
- Presión leve: cuando están puestos, los retenedores ejercen una presión muy suave sobre los dientes. Dado que el único objetivo es mantenerlos en su posición, pero no moverlos, la fuerza realizada es mínima.
¿Cuánto tiempo se usan los retenedores dentales?
No hay una respuesta única a la pregunta cuánto tiempo hay que usar retenedores dentales, ya que depende del tipo de retenedor que elijas:
- Los retenedores fijos obviamente no se retiran.
- En cuanto a los retenedores removibles, se deben llevar día y noche durante el tiempo que tu ortodoncista indique. Pasado el periodo de adaptación, se llevarán únicamente por la noche.
Cuidados y limpieza de los retenedores removibles
Es importante cuidar y limpiar los retenedores dentales de forma correcta para prolongar su vida útil y para asegurar una buena higiene dental. Estos son algunos de nuestros consejos para conseguirlo:
- Limpieza diaria: La limpieza diaria de los retenedores es importante para eliminar la acumulación de placa bacteriana. Para ello, es aconsejable cepillar la superficie del retenedor con un cepillo de dientes suaves y agua tibia. Evita usar pasta dental, ya que algunos ingredientes pueden dañar el material del retenedor. En su lugar, puedes utilizar jabón suave neutro o una solución de limpieza recomendada por tu ortodoncista.
- Remojo regular: Además de la limpieza diaria, es beneficioso remojar los aparatos de retención en una solución de limpieza adecuada. Esto ayuda a eliminar las bacterias y mantener los retenedores frescos y libres de olores desagradables. Simplemente, sigue las instrucciones del fabricante o de tu ortodoncista para utilizar el producto correctamente.
- Evita el calor: Evita exponer los retenedores a temperaturas altas, como el agua caliente o la luz solar directa. El calor puede deformar los materiales de los retenedores y comprometer su ajuste y efectividad. Además, no es recomendable que los coloques en el lavavajillas, ya que se podrían dañar o deformar.
Además, ten en cuenta lo siguiente:
- Buena higiene oral: asegúrate de haber cepillado los dientes antes de colocar los retenedores.
- Manipulación cuidadosa: ten ciertas precauciones al quitar y poner los retenedores.
- Exposición a altas temperaturas: no dejes tus retenedores expuestos a altas temperaturas (interior de un coche en verano, cerca de una ventana con luz solar directa…).
- Uso del estuche: cada vez que te quites los Essix, guárdalos en su estuche para evitar que se pierdan y se estropeen.
¿Cuánto cuesta un retenedor dental?
El precio de los retenedores dentales puede variar en función de si este es fijo o removible. Además, hay otros factores que pueden influir en el precio de los retenedores, como los materiales de los que esté hecho, la clínica, etc. A continuación mostramos una estimación:
| Tipo de Retenedor | Precio Estimado |
|---|---|
| Retenedores fijos | 75 € - 320 € (por arcada) |
| Retenedores removibles (transparentes) | 250 € - 450 € |
Por lo general, el precio de un retenedor Essix se sitúa entre los 150 y los 200 euros.
Riesgos de no usar retenedores
Si no usas retenedores dentales después de llevar brackets u otro tipo de ortodoncia, es muy probable que tengas que volver a realizar otro tratamiento ortodóntico en el futuro, porque tus dientes se habrán movido de nuevo.
tags: #retenedor #removible #transparente