El manejo del tiempo posterior a la finalización de un caso de ortodoncia es de extremada importancia, tanto como el propio tratamiento en sí. Son muchas y variadas las formas de ejercer la contención del mismo, existiendo diferentes corrientes acerca de estos métodos. El diccionario de la Real Academia Española define retener como “impedir o dificultar el curso normal de algo”. A lo largo de la historia muchos autores han debatido sobre esta cuestión, expresando distintas opiniones, argumentos y teorías.
Muchos profesionales han preconizado la necesidad de retener un caso ortodóncicamente tratado, durante un cierto tiempo al menos. Otros autores, como Englert, defienden la idea de que no es necesaria la retención para conseguir unos resultados estables. Actualmente, la retención sigue siendo un problema, y el paciente quiere saber desde el primer momento si necesitará algún retenedor, cuánto tiempo deberá llevarlo, y demás cuestiones controvertidas.
¿Por Qué son Necesarios los Retenedores Después de la Ortodoncia?
Los retenedores dentales son unos aparatos que se colocan tras haber llevado ortodoncia y que sirven para mantener la posición alcanzada por los dientes. Si no se usan los retenedores tras la ortodoncia, los dientes tratarán de volver a la posición que tenían antes de comenzar el tratamiento. Los dientes tienen una tendencia natural a moverse, por lo tanto, los retenedores de ortodoncia están pensados para evitar que las piezas dentales tomen posiciones erróneas, por lo que deberán mantenerse de forma permanente.
Para corregir los distintos problemas de oclusión, los tratamientos de ortodoncia realizan micromovimientos de manera paulatina de los dientes y los huesos maxilares hasta que alcanzan la posición adecuada. En caso de no respetar la fase de retención de manera adecuada, las piezas dentales tenderán a volver a la posición que ocupaban al inicio del procedimiento ortodóntico. Son numerosos los estudios que explican el comportamiento biológico de los dientes tras una ortodoncia, siendo necesarios al menos 232 días para que el ligamento periodontal se asiente tras realizar los movimientos ortodóncicos.
Los retenedores son aparatos que se colocan una vez ha terminado la fase activa del procedimiento ortodóntico con el fin de evitar que las piezas dentales se desplacen a su posición inicial. De acuerdo con investigaciones publicadas en revistas científicas, el principal motivo por el que esto sucede es no haber respetado la fase de retención. En ocasiones no se le da la importancia que merece a la fase de retención, por varios motivos. Uno de ellos es que, actualmente, las ortodoncias que se realizan a distancia no incluyen en su plan de tratamiento los retenedores, por lo que el paciente desconoce que es una fase más de su ortodoncia.

Tipos de Retenedores Dentales
A continuación, te explicamos los dos tipos de retenedores dentales que existen: fijos y removibles.
Retenedores Removibles
Los retenedores removibles son aquellos que están pensados para que el paciente los lleve solamente unas determinadas horas al día, generalmente, mientras duerme. Los retenedores Essix son los más comunes hoy en día. La placa Hawley es un aparato que cuenta con una estructura combinada de metal y acrílico.
Probablemente sea el aparato más común de los retenedores removibles, y puede ser utilizado tanto para la arcada superior como para la inferior. La placa clásica de Hawley se compone de retenedor de Adams para los molares de 0,025 o 0,030 pulgadas, un arco vestibular de 0,028 o 0,035 pulgadas, que contacta con la superficie vestibular de los caninos y de los cuatro incisivos, y el cuerpo de acrílico que se adapta a los tejidos blandos y a la superficie lingual de los dientes, además de servir como método de unión.
Un diseño alternativo es el retenedor circunferencial o de arco contínuo, también conocido como retenedor de Begg, el cual sólo incorpora un arco labial, sin utilización de retenedores interoclusales, facilitando así que se produzca un mayor número de contactos interoclusales durante la retención por movimientos verticales de las piezas de los sectores posteriores, ya que el arco labial estándar y los retenedores de Adams de la placa de Hawley se extienden interoclusalmente, entre ambas arcadas, lo que limita estos movimientos verticales de los dientes posteriores.
Otra modificación de la placa de Hawley es la incorporación de acrílico en el arco vestibular para mejorar el control de rotación de los dientes anteriores o incluso sustituir la sección anterior del arco por un segmento de alambre translúcido, mejorando la estética. Las placas tipo Hawley, gracias a la capacidad de permitir cierta movilidad cuando por su diseño presentan las caras oclusales libres, permiten un mejor engranaje con su arcada antagonista, aumentando el número de puntos de contactos oclusales. Para permitir esto, es necesario escoger con sumo cuidado el emplazamiento de los retenedores, ya que los alambres que atraviesan la cara oclusal pueden alterar las relaciones dentales establecidas durante el tratamiento, más que conservarlas.
En 1971, Ponitz describió una alternativa al tradicional retenedor removible: el retenedor termoplástico. Entre sus ventajas, caben destacar la fácil fabricación, el bajo coste, la estética y aceptación de los pacientes. Debido a su flexibilidad, este tipo de retenedores no deben usarse en aquellos casos en los que se han expandido las arcadas dentarias durante el tratamiento de ortodoncia, puesto que no permiten un completo asentamiento de la oclusión.
En 1993, Sheridan introdujo el retenedor Essix®. Otra variante es el retenedor Osamu, el cual consta de dos capas, la capa interior fabricada de copolímero de etileno-acetato de vinilo-bioplast®- con 1,5 mm de grosor, se adapta a las áreas interproximales y cubre la cara lingual y vestibular de los dientes, excepto los dos o tres milímetros incisales. La capa externa, de plástico duro de policarbonato de 0,75 mm de grosor -imprelon s®-, cubre las caras oclusales, vestibulares y palatinas de los dientes, permitiendo una buena oclusión con la arcada antagonista.
Los retenedores termoplásticos tienen la gran ventaja de que pueden utilizarse para alinear incisivos irregulares, si se ha producido un ligero apiñamiento tras el tratamiento, aunque normalmente es necesario realizar un previo stripping interproximal y set-up en el laboratorio. En estos casos, el retenedor debe emplearse las 24 horas, excepto para las comidas, durante unos 5-7 días. Otra variante en retenedores termoplásticos desarrollada por el Dr. Damon es la Guarda Damon, consistente en 2 retenedores removibles, unidos en una posición de avance mandibular, originando distracción y avance condilar.

Ejemplos de retenedores removibles
Shawesh demostró que no existen diferencias significativas en el empleo de una placa de Hawley modificada con acrílico en el arco vestibular a tiempo completo -24 horas, excepto comidas- o a tiempo parcial -solo para dormir- inmediatamente después de la retirada de la aparatología ortodóncica. Thickett y Power también encontraron una respuesta similar con el uso de placas termoplásticas, pues la recidiva en el resalte, la anchura molar y canina, el índice de irregularidad y la longitud de arcada fueron similares usando los retenedores termoplásticos a tiempo completo o parcial.
A partir de 1999, el alineador final está siendo usado también como retenedor. En el año 2007, Kuncio comparó la efectividad en la retención de Invisalign con respecto a una placa Essix® tras un tratamiento con brackets convencionales mediante el uso del Objective Grading System de la American Board of Orthodontics, con un periodo de retención de tres años.
El posicionador pueden ser útiles para detallar o afinar los objetivos oclusales siguiendo los principios gnatológicos y así hacer coincidir la máxima intercuspidación con la relación céntrica una vez retirada la aparatología multibracket. Así pues, están indicados para mejorar las relaciones oclusales interarcadas y asentar la oclusión en relación céntrica, ante la retirada temprana de la aparatología -por falta de cooperación por parte del paciente: ante uso de elásticos, mala higiene,… - y para facilitar el desarrollo de la competencia labial y el tono muscular facial.
Roth recomendaba no usar estos aparatos si el decalaje céntrico era mayor de 3’5 mm. El posicionador se fabricará sobre los modelos articulados, envolviendo ambas arcadas, a los que se les realizará un pequeño set-up superior e inferior, con el fin de corregir la relación oclusal durante el periodo de retención, actuando éste de forma activa. Al fabricar un posicionador, hay que separar las arcadas de 2 a 4 mm. Ello significa que, aunque no es imprescindible en todos los casos, sí es conveniente utilizar un articulador que registre el eje de bisagra real del paciente, sobre todo en pacientes con sintomatología articular y/o con patrón vertical.
Una vez entregado al paciente el posicionador, se le instruirá a que lo use 24 horas diarias -excepto comidas- durante 2 ó 3 días, a partir de los cuales se mandarán ejercicios de apretamiento de 20 segundos, y en un periodo de unas 6 semanas, se deben conseguir los movimientos dentarios deseados. Entre las desventajas de su uso se encuentran que no mantienen bien las correcciones de rotación, tienden a aumentar la sobremordida y suelen tener poca aceptación a tiempo completo por parte del paciente.
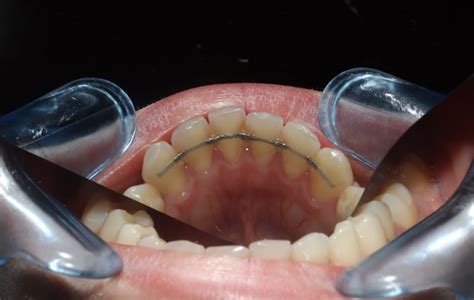
Retenedores Fijos
Por un lado, contará con la acción permanente del retenedor fijo. Al ir colocado de manera fija, no es necesario que el paciente recuerde ponérselo. Normalmente, los retenedores fijos se colocan nada más retirar el tratamiento de ortodoncia.
Los retenedores fijos consisten en unas finas barras de alambre que se colocan de colmillo a colmillo, tanto en la arcada superior como en la inferior. Estas barras se adhieren a la cara lingual -interna- de los dientes con composite y no causan ninguna molestia.
Desde su introducción en 1977, estos retenedores han ido modificando su diseño inicial, así como el material en que se han fabricado, usándose blue-elgiloy, acero inoxidable, oro en distintos grosores, con o sin bucles en caninos. Inicialmente eran redondos o rectangulares. Posteriormente se comenzó a usar el alambre multifilar o trenzado, compuesto por varias hebras o hilos de alambre. La ventaja del retenedor trenzado es que su superficie irregular permite una mayor retención mecánica para el composite, sin la necesidad de realizar bucles retentivos en sus extremos.
Básicamente existen dos tipos de cementado para estos retenedores: con adhesión sólo a caninos o adheridos a cada uno de los dientes del segmento anterior. En función del tipo de cementado empleado, se utilizará una sección de alambre específica. En aquellos casos en los que los retenedores sólo se fijen a los caninos, el alambre debe de tener una sección de 0,032 pulgadas, siendo éste un diámetro relativamente rígido.
Normalmente, el retenedor cementado solo en los caninos es efectivo en el mantenimiento de la anchura intercanina, pero deficiente en la prevención de rotaciones individuales de los incisivos. En la arcada superior, resulta más complejo de utilizar, sobre todo en los casos de una sobremordida correcta, pues existen interferencias con los incisivos inferiores. Normalmente el retenedor se suele extender sólo hasta los incisivos laterales.
Una alternativa a los retenedores de alambre son los retenedores de fibra de vidrio, los cuales se recubren de composite. La ventaja es que su tamaño se reduce, pero la desventaja es que se convierte en un retenedor demasiado rígido, que no permite los movimientos dentarios fisiológicos y contribuye a un mayor número de descementados.
Mencionados por primera vez en 1953 por Behrman y Egan, no fueron usados para mover dientes hasta 1978. Inicialmente, Blechman y Smiley auspiciaron su uso incluso para movimientos de inclinación, radiculares y de torque. Más tarde, en 1985, se realizó el primer estudio in vivo usando imanes intermaxilares, concluyendo que no causaban disconfort durante el movimiento dentario y que era posible un único vector de fuerzas. También se han utilizado para retener un caso de ortodoncia, generalmente para retener un cierre de espacios.
Una variedad interesante en los retenedores fijos es usar un alambre de níquel-titanio en vez de los retenedores clásicos. Liou propone usar un retenedor inferior de níquel-titanio, de .018” de diámetro, de canino a canino, cementado en los 6 dientes anteroinferiores como retenedor permanente. Incluso lo usa para solucionar pequeñas recidivas del apiñamiento anterior sin necesidad de volver a colocar brackets. Para ello se pasa una ligadura de alambre de .010” ó .012” pulgadas por debajo de cada punto de contacto de canino a canino, se coloca el seccional de níquel- titanio y se vuelve a pasar el extremo lingual de cada ligadura por debajo de los puntos de contacto, hacia labial. Ahora se atan fuertemente entre sí los 4 extremos de las ligaduras (2 extremos por cada cara interproximal de un diente), quedando el nudo en la cara vestibular del diente recidivado.

Ejemplos de retenedores fijos
Higiene y Mantenimiento de los Retenedores
Es fundamental mantener unas condiciones de higiene y prevención correctas a la hora de usar retenedores de ortodoncia. Asimismo, es bueno que guardes los retenedores en un estuche que debes limpiar con frecuencia. En un tratamiento de ortodoncia, tan importante es la fase activa del movimiento de los dientes como la fase de estabilización y retención por lo que la higiene, paciencia y constancia deberán estar siempre presentes.
Higiene de Retenedores Fijos
En cuanto a la salud gingival a corto y a largo plazo con uso de retenedores fijos inferiores, se ha demostrado que no existen diferencias significativas en el índice de placa, índice gingival y nivel de hueso, pero sí en el índice de cálculo, profundidad de bolsa y recesiones, que aumentan a largo plazo. La literatura afirma que no existen grandes diferencias en el acúmulo de placa entre los retenedores multifilares y los retenedores redondos, aunque sí es un poco mayor en las superficies distales y mesiales de los dientes anteroinferiores con el retenedor multifilar. Además ambos retenedores no producen descalcificaciones en las superficies linguales de los dientes. La principal diferencia hallada entre ambos es el índice de irregularidad de Little, que es considerablemente mayor con el uso de retenedores redondos.
Existen dos maneras de limpiar los retenedores fijos. Por un lado, los retenedores fijos son limpiados con cada cepillado dental. Para ello, el paciente tiene que incidir especialmente en la zona donde está colocado el alambre. Esto se debe a que la barra dificulta la acción del cepillado, por lo que es habitual que tiendan a acumularse la placa bacteriana y el sarro. Adicionalmente, se deberá usar seda dental una vez al día. Por otro lado, los retenedores fijos también son limpiados en las higienes bucodentales profesionales que se hace el paciente en la clínica dental.
Higiene de Retenedores Removibles
En lo que respecta a los retenedores removibles, su limpieza es igualmente sencilla. Cada mañana, después de haberlos usado durante la noche, el paciente deberá lavarlos con agua tibia y jabón neutro. Además, una vez a la semana, se recomienda sumergir los retenedores en un vaso con agua y una pastilla efervescente para limpiar prótesis dentales. Se llaman pastillas limpiadoras efervescentes para prótesis dentales o aparatos de ortodoncia. Hay varias marcas disponibles en farmacias.
En lo que respecta a los retenedores removibles, hay que tener en cuenta que, al ser llevados todas las noches, sufren cierto desgaste. Esto es especialmente patente en personas bruxistas o que tienden a apretar los dientes.
Consejos Adicionales para el Cuidado de tus Retenedores
- Quítate los retenedores con cuidado: Trata de alternar el lado por el que te quitas los retenedores removibles. Si los retiras siempre del mismo lado, pueden desgastarse en exceso y romperse.
- Ten precaución al morder ciertos alimentos: Los alimentos muy duros y los movimientos de palanca (aquellos que se realizan para comer manzanas o bocadillos a mordiscos, por ejemplo) pueden hacer que el retenedor fijo se despegue.
- No comas con los retenedores removibles: Además de ser poco higiénico y muy incómodo, comer con los retenedores removibles contribuye a que estos se rompan y pierdan su transparencia. El agua es lo único que se puede ingerir con los retenedores removibles puestos.
- Si se rompen, cámbialos: Reemplaza tus retenedores removibles por unos nuevos cuando notes un excesivo desgaste. Por ejemplo, cuando veas unos pequeños agujeros en la zona de los molares. Así evitarás que pierdan su eficacia o, peor aún, que se rompan de repente y tengas que estar unos días sin ellos (hasta que acudes a la clínica y te confeccionan unos nuevos). Estar unos días sin ellos puede hacer que tus dientes se muevan.
- Acude al ortodoncista periódicamente: Aunque te hayan retirado la ortodoncia, es necesario que sigas acudiendo a revisiones.
- Usa los retenedores removibles el número de horas al día recomendado por tu ortodoncista. Cuando no los lleves puestos, guárdalos en la caja que te hayan facilitado para ello.
¡ Cuidado de retenedores ! ✨
Duración del Uso de los Retenedores
Actualmente, no existe ningún protocolo sobre qué periodo de retención es el óptimo para cada caso. En el caso de usar retenedores removibles, un protocolo bastante generalizado es colocar retenedores tipo Hawley a tiempo completo durante 3 ó 6 meses, seguido de año o año y medio a tiempo parcial -sólo durante las noches-. Ante los múltiples sistemas mecánicos para retener un tratamiento ortodóncico que ofrece la literatura, cada ortodoncista debe valorar cada caso independientemente y planificar la retención más adecuada desde el comienzo del tratamiento.
El tiempo de uso varía. Inicialmente, los retenedores removibles suelen usarse todo el día (excepto para comer y cepillarse) durante varios meses. Luego, se pasa a un uso nocturno. Los retenedores fijos se llevan de forma permanente o durante muchos años. El protocolo varía, pero generalmente los retenedores transparentes (Essix, Vivera) se usan todo el día (excepto para comer/cepillar) durante los primeros meses, y luego se pasa a un uso nocturno indefinido. Los retenedores de alambre fijos se llevan de forma continua durante años o indefinidamente.
¿Duelen los Retenedores?
Los retenedores dentales no duelen ni causan molestias. Al principio, es posible sentir una ligera presión o incomodidad mientras te acostumbras, especialmente con los retenedores removibles. En primer lugar, el retenedor fijo consiste en un alambre muy fino. En segundo lugar, hay que tener en cuenta que los retenedores removibles no aplican fuerza en los dientes, sino que solo realizan un efecto de contención.
¿Cuál es el Precio de los Retenedores?
El precio varía según el tipo: los fijos suelen costar entre 150-300€ por arcada; los removibles Hawley entre 150-350€; los transparentes Essix entre 150-400€; y los Vivera® de Invisalign desde 300-600€ por juego.
¿Qué Tipo de Retenedor es el Mejor?
No hay un “mejor” retenedor universal, ya que la elección depende de factores individuales como el caso dental, las preferencias del paciente y las recomendaciones del ortodoncista. Los retenedores fijos ofrecen retención continua pero requieren más cuidado higiénico. Los removibles transparentes son estéticos pero dependen de la colaboración, y los Hawley son robustos.
En principio, los retenedores fijos parecen ser más adecuados que los removibles para mantener los resultados oclusales obtenidos, son más estéticos y no requieren la colaboración del paciente. A pesar de sus inconvenientes, están indicados siempre que el paciente tenga una higiene adecuada. Los retenedores removibles tipo Hawley están indicados fundamentalmente para la arcada superior ante compromiso transversal, en aquellos casos en que se ha realizado expansión de la arcada.
Tabla Comparativa de Retenedores
| Tipo de Retenedor | Ventajas | Desventajas | Duración | Higiene |
|---|---|---|---|---|
| Fijos | Retención continua, estéticos, no requieren colaboración | Requieren mayor cuidado higiénico, pueden acumular sarro | Años o indefinidamente | Cepillado meticuloso, uso de seda dental |
| Removibles (Essix) | Estéticos, cómodos, fáciles de limpiar | Dependen de la colaboración del paciente, pueden desgastarse | 1-3 años (reemplazo) | Cepillado con jabón neutro, pastillas limpiadoras |
| Removibles (Hawley) | Robustos, duraderos | Menos estéticos, pueden interferir con el habla | Muchos años | Cepillado con jabón neutro |
tags: #retenedores #fijos #higienicos