Después de tantos meses de tratamiento de ortodoncia, llega el gran momento de lucir tu nueva sonrisa. Sin embargo, el tratamiento de alineación dental es un gran paso para lograr una sonrisa perfecta y no es el final del viaje. Los retenedores son elementos fundamentales en el tratamiento de ortodoncia, que juegan un papel crucial una vez que se ha finalizado la fase activa del tratamiento.
Muchas veces, los pacientes se enfocan en los brackets, los alineadores o el proceso de corrección dental, pero olvidan que la fase post-tratamiento es igualmente importante. Los retenedores desempeñan un papel crucial en la fase final del tratamiento, ayudando a mantener los dientes en su nueva posición y asegurando que los resultados obtenidos sean duraderos.
Si acabas de terminar un tratamiento de ortodoncia o estás pensando en ello, es importante que sepas qué son los retenedores dentales y por qué son fundamentales para mantener tu sonrisa alineada. Descubre en este artículo todo lo que necesitas saber sobre ellos: tipos, usos y consejos para cuidarlos.
¿Qué son los Retenedores Dentales?
Un retenedor dental es un dispositivo que se coloca después de finalizar un tratamiento de ortodoncia para evitar que los dientes se desplacen nuevamente. Un retenedor dental es un dispositivo que tiene como objetivo mantener la posición correcta de los dientes después de un tratamiento de ortodoncia. Su función principal es evitar que los dientes vuelvan a su posición original, algo que puede ocurrir debido a la memoria de los tejidos dentales y a la tendencia natural de los dientes a volver a sus posiciones originales.
Los retenedores son dispositivos que se utilizan para mantener los dientes en su posición después de un tratamiento de ortodoncia. Después de que se retiran los brackets o alineadores, los dientes tienden a querer volver a su posición original debido a la memoria de los tejidos que rodean los dientes y las encías.
Por lo tanto, usar un retenedor adecuado después de tu tratamiento de ortodoncia es de vital importancia. El uso de un retenedor dental es una parte esencial del tratamiento ortodóntico, asegurando que los resultados obtenidos se mantengan a lo largo del tiempo.
Los retenedores son indispensables para:
- Mantener los dientes en su nueva posición.
- Prevenir la recidiva, es decir, la vuelta de los dientes hacia su posición anterior.
Tipos de Retenedores Dentales
Existen diferentes tipos de retenedores dentales, diseñados para adaptarse a las necesidades concretas de cada paciente. En el mercado actual existen principalmente tres tipos de retenedores: los fijos, los removibles y los de tipo «Invisalign». Cada uno de ellos tiene sus ventajas y desventajas, y la elección dependerá de las necesidades y preferencias del paciente.
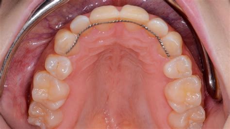
Retenedores Fijos
Los retenedores fijos, también conocidos como retenedores linguales o permanentes, son pequeños alambres que se colocan en la parte posterior de los dientes para mantenerlos en su lugar. Están compuestos de un alambre de metal que se coloca detrás de los dientes de la arcada superior e inferior y va de canino a canino. Este tipo de retenedor se ajusta a los dientes de forma permanente, lo que significa que no se puede retirar.
Normalmente el ortodoncista coloca este tipo de retenedores dentales el mismo día que se retiran los aparatos de ortodoncia, asegurando así mantener el posicionamiento dental. Se trata de un sistema de retención muy estético ya que, al estar colocado en la cara lingual de los dientes, es totalmente invisible externamente.

Ventajas de los Retenedores Fijos
- Invisibilidad: Una de las mayores ventajas de los retenedores fijos linguales es su invisibilidad. Dado que se colocan en la parte posterior de los dientes, no son visibles cuando hablas o sonríes.
- Comodidad: Aunque puede haber un período de adaptación, muchos pacientes encuentran que los retenedores fijos linguales son cómodos y no interfieren significativamente con el habla o la alimentación una vez que se han acostumbrado a ellos.
- Eficacia continua: Los retenedores fijos linguales eliminan la preocupación de olvidarse de usarlos o perderlos, como puede ocurrir con los retenedores removibles. Al estar permanentemente adheridos a los dientes, aseguran que los dientes se mantengan en su posición correcta sin interrupciones.
- Durabilidad: Los retenedores fijos linguales están hechos de materiales resistentes, como el acero inoxidable o una aleación de níquel y titanio, que pueden durar muchos años con el cuidado adecuado.
- Sin intervención diaria: A diferencia de los retenedores removibles, que dependen de la disciplina del paciente para ser efectivos, los retenedores fijos linguales no requieren la intervención diaria del usuario.
Desventajas de los Retenedores Fijos
- Dificultad en la higiene bucal: Una de las principales desventajas de los retenedores fijos linguales es la dificultad para mantener una higiene bucal adecuada. La limpieza alrededor de los retenedores puede ser más compleja, requiriendo el uso de hilo dental especial, cepillos interdentales y enjuagues bucales.
- Costo: La colocación de retenedores fijos linguales puede ser más costosa que los retenedores removibles debido a la complejidad del procedimiento y los materiales utilizados.
- Posible irritación: Algunos pacientes pueden experimentar sensibilidad o irritación en la lengua y las encías durante las primeras semanas después de la colocación del retenedor.
- Riesgo de rotura o aflojamiento: Aunque son duraderos, los retenedores fijos linguales pueden aflojarse o romperse, lo que requeriría visitas adicionales al ortodoncista para reparaciones. Esto puede resultar inconveniente y agregar costos adicionales.
- Restricciones alimentarias: Es recomendable evitar alimentos pegajosos, duros o crujientes que puedan dañar o descolocar el retenedor fijo.
Retenedores Removibles
Los retenedores removibles son dispositivos que se pueden quitar y poner según el paciente lo necesite. Existen dos opciones principales de retenedores tras la ortodoncia: fijos y removibles. Tu ortodoncista puede aconsejarte, pero al final eres tú quien tendrá que elegir el aparato que más se adapte a ti. Están hechos de material acrílico o plástico y generalmente cubren el paladar o la parte interior de los dientes.
Este tipo de retenedor dental es muy empleado en la actualidad y su aspecto es muy similar al de las férulas empleadas en el tratamiento de ortodoncia Invisalign. Una vez el ortodoncista retira el tratamiento correctivo en el paciente, realiza un molde de la dentadura con el que se fabricarán las férulas de retención.
Los retenedores removibles ofrecen una versatilidad que se adapta a las necesidades específicas de cada paciente. Dentro de los retenedores removibles, los más comunes son:
- Este tipo de retenedor está hecho de metal y acrílico.
- El retenedor removible (tipo Essix) está hecho de plástico transparente y, a simple vista, es como un alineador transparente. De hecho, muchos pacientes lo prefieren porque es menos visible que un retenedor Hawley.
Tanto la placa Hawley como los retenedores tipo Essix se pueden retirar para la limpieza diaria.

Tipos de retenedores removibles
- Retenedor Hawley: Este tipo de retenedor removible está compuesto por unos ganchos que se colocan en los dientes y un alambre dispuesto en la zona exterior de los dientes. Cubre todo el paladar, previniendo la alteración de la mordida y los movimientos dentales no deseados. Los retenedores Hawley pueden ser ajustados por un ortodoncista si se producen pequeños desplazamientos.
- Retenedores transparentes removibles: Férulas similares a las que se utilizan en los tratamientos de ortodoncia invisible. Por el contrario, los retenedores removibles transparentes son similares a los alineadores de ortodoncia.
- Retenedores removibles de resina: cubren el paladar y están provistos de pequeños alambres de retención para su mejor ajuste.
Ventajas de los retenedores removibles
- Fácil limpieza: Puedes retirar el retenedor para limpiarlo adecuadamente, lo que ayuda a mantener una buena higiene oral.
- Comodidad: Al poder quitarlos, puedes comer y beber sin restricciones y sin preocuparte por dañar el retenedor.
- Control y flexibilidad: Puedes ajustar la frecuencia de uso según las indicaciones, y puedes quitarlos de noche.
¿Cómo Cuidar tus Retenedores?
El mantenimiento adecuado de los retenedores es esencial para garantizar que sigan funcionando correctamente y para evitar posibles problemas de salud bucal.
Independientemente del tipo de retenedor dental que elija, cuidarlo es fundamental. Sus aparatos dentales requieren un mantenimiento y cuidado adecuados para que pueda beneficiarse de ellos a largo plazo.
Para cuidar correctamente de los retenedores removibles se recomienda:
- Limpia el retenedor tan pronto como te lo quites de la boca, mientras sigue húmedo.
- Utiliza un cepillo de cerdas blandas, diferente a tu cepillo de dientes, para cepillar suavemente el retenedor con agua tibia después de cada comida.
- No utilices pastas dentales porque son abrasivas y pueden rayar la superficie del retenedor. Usa un cepillo especial para limpiar prótesis dentales.
- Si notas que hay restos en el retenedor que no se desprenden, llévalo a tu dentista.
- Limpiarlos diariamente (preferentemente cada vez que se retiran) con un cepillo suave, agua tibia y un jabón neutro.
- Es recomendable que una o dos veces por semana coloques tus retenedores en un bol con agua e introduzcas una pastilla limpiadora de prótesis dentales.
Para el cuidado de los retenedores fijos linguales es esencial:
- Uso de hilo dental: Utiliza hilo dental especial o cepillos interdentales para limpiar entre los dientes y alrededor del retenedor. Al principio, puedes tener dificultades para utilizar el hilo dental. Si es así, no dudes en pedir ayuda a tu ortodoncista.
- Enjuague bucal: Usa enjuague bucal antiséptico para reducir la acumulación de placa y bacterias.
¿Cómo limpiar tus retenedores? 🤔 Actualizado 2020 - Odontología Láser.
Duración del Uso de los Retenedores
El uso de los retenedores varía según el caso de cada paciente. El uso de los retenedores debe ser personalizado, ya que cada paciente tiene unas necesidades concretas. La duración del uso del retenedor después del tratamiento de ortodoncia varía según una serie de factores, incluyendo la gravedad de la maloclusión corregida, el tipo de tratamiento realizado y las características individuales de cada paciente.
Sin embargo, en términos generales, se recomienda que los pacientes usen retenedores de forma constante durante los primeros meses después de finalizar el tratamiento de ortodoncia. En la mayoría de los casos, los dentistas aconsejan que el paciente use el retenedor de forma continua durante al menos 6 meses a un año. Después de este período inicial, el ortodontista puede indicar un uso parcial de los retenedores durante aproximadamente un año, permitiendo que los tejidos gingivales se reorganicen y se adapten a la nueva posición de los dientes. Luego, el uso puede reducirse gradualmente, dependiendo de la evolución de la estabilidad de los dientes.
En cuanto al tiempo de uso, se distinguen las siguientes fases:
- Primera fase: Durante los primeros meses después de quitar los brackets, es habitual que el ortodoncista recomiende usar el retenedor toda la noche.
- Segunda fase: Después de este período inicial, la cantidad de tiempo que debes usar los retenedores se va reduciendo gradualmente.
- A largo plazo: En algunos casos, se sugiere seguir usando el retenedor durante toda la vida, pero solo en algunas noches.
Si hablamos de retenedores removibles la cosa cambia. Lo normal es que se empleen las 24 horas del día durante los primeros meses tras retirar la ortodoncia, retirándolos solo para comer y cepillarse los dientes.
Riesgos de No Usar Retenedores
El no usar los retenedores según las indicaciones del ortodoncista puede tener consecuencias negativas en el resultado final del tratamiento de ortodoncia. Si no usas retenedores dentales después de llevar brackets u otro tipo de ortodoncia, es muy probable que tengas que volver a realizar otro tratamiento ortodóntico en el futuro, porque tus dientes se habrán movido de nuevo. En algunos casos, este retroceso de los dientes puede ser significativo y difícil de corregir sin iniciar nuevamente el tratamiento de ortodoncia.
¿Cuánto Cuesta un Retenedor Dental?
El precio de los retenedores dentales puede variar en función de si este es fijo o removible. Además, hay otros factores que pueden influir en el precio de los retenedores, como los materiales de los que esté hecho, la clínica, etc. A continuación mostramos una estimación:
Retenedores fijos precio: El precio de los retenedores fijos va desde los 75 € hasta los 320 €, aproximadamente.
Retenedores removibles precio: El precio de los retenedores transparentes o removibles: desde los 250 € hasta los 450 € aproximadamente.
Si quieres asegurarte de que los resultados de tu ortodoncia se mantengan con el paso de los años, es importante que apuestes por unos buenos retenedores dentales.
tags: #retenedores #permanentes #ortodoncia