Son muchos los pacientes que no acuden al dentista por miedo al tener que extraer o quitar uno o varios dientes. Si estás aquí, es probable que te hayan dicho algo sobre la extracción de un diente en el paladar, y claro, ya te estarás haciendo un montón de preguntas. Lo entendemos perfectamente, no es una situación común de las que uno escucha todos los días. Pero, tranquilo, que en este post te vamos a explicar todo de manera sencilla y directa. Porque, sí, este tipo de extracción tiene sus peculiaridades, pero tampoco es nada que no se pueda solucionar con un buen equipo de profesionales. Vamos allá.
PASO a PASO: EXTRACCIÓN MUELA DEL JUICIO 🦷
¿Qué es exactamente la extracción de un diente en el paladar?
Antes de nada, conviene entender bien lo que pasa cuando te dicen que tienes un diente en el paladar. Los dientes, como sabrás, normalmente erupcionan dentro de las encías, pero a veces, por razones que pueden ser genéticas, o por falta de espacio en el maxilar, un diente decide aparecer en el lugar equivocado, en este caso, en el techo de la boca. ¡Vaya sitio! A este fenómeno lo llamamos erupción ectópica, que básicamente significa que el diente se ha “despistado” en su trayecto.

¿Por qué habría que extraerlo?
Pues porque si no lo hacemos, ese diente puede causar varios problemas. Dolor, incomodidad al hablar o al comer, interferir con el resto de los dientes e incluso hacer que algunos se desplacen o se desgasten de forma inadecuada. Y claro, mantener una buena higiene en esa zona tampoco es fácil, lo que aumenta el riesgo de caries o infecciones. Así que sí, cuando un diente sale en el paladar, suele ser mejor retirarlo antes de que se complique más.
¿Por qué es necesario extraer un diente del paladar?
A veces, un diente en el paladar no da problemas inmediatamente. Puede que incluso te preguntes: “¿y si lo dejo ahí?”. Bueno, podrías, pero a la larga casi siempre acaba siendo un problema. La mala posición del diente puede alterar tu mordida, crear zonas donde los alimentos se queden atrapados (y con ello las infecciones), o incluso afectar la alineación de los otros dientes. Además, puede haber malestar constante o dolor si el diente está rozando o ejerciendo presión sobre otras estructuras. No es agradable.
Por otro lado, está la cuestión estética, que no es algo menor. Si la posición del diente afecta a tu sonrisa o provoca desgastes en otros dientes, la cosa se complica más. Y aquí viene lo que nadie quiere oír: si el diente está retenido bajo el hueso (es decir, no ha salido del todo), podría desarrollarse un quiste o, en casos más raros, una infección seria. Así que, aunque al principio te parezca algo que no molesta demasiado, suele ser recomendable resolverlo a tiempo.

¿Cómo se realiza la extracción de un diente en el paladar?
Cuando el dentista te dice que hay que extraer ese diente en el paladar, probablemente te entren dudas (totalmente normal), y te imagines algo complicado. Pero, no te preocupes, no es tan diferente a una extracción dental normal. ¿Qué es lo que cambia entonces? Sobre todo la ubicación del diente y el tipo de técnicas que se utilizan para acceder a él. El proceso suele ser algo así:
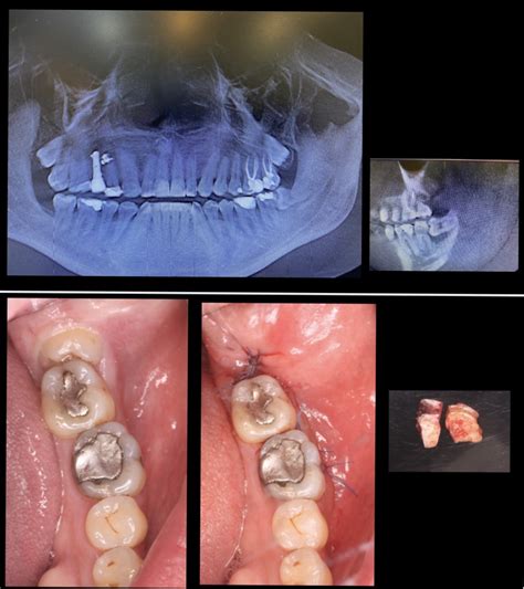
- Evaluación previa: Como siempre, lo primero es hacer un diagnóstico correcto. Radiografías y, en algunos casos, una tomografía para ver exactamente dónde está el diente y su relación con las estructuras vecinas. Esto nos ayuda a planificar la intervención de la manera más segura posible.
- Anestesia local: Nada de lo que hacerte la extracción va a doler, porque vamos a usar anestesia local. No te preocupes por eso. Si eres de los que prefieren no enterarse mucho de lo que está pasando (cosa muy comprensible), podemos hablar de sedación consciente para que estés más relajado.
- Incisión y extracción: Aquí es donde puede variar un poco. Dependiendo de la posición del diente, el dentista hará una pequeña incisión en el paladar para acceder al diente. Si está muy atrapado o es grande, es posible que necesite dividirlo en partes más pequeñas para sacarlo de manera más fácil.
- Suturas: Al finalizar, puede que necesitemos poner algunos puntos de sutura. Estos puntos suelen ser reabsorbibles, así que no te preocupes porque no tendrás que volver solo para quitarlos. La herida cicatriza bien con los cuidados adecuados.
¿Es dolorosa la extracción de un diente en el paladar?
Mucha gente nos pregunta por el dolor (es lo que más preocupa, como es lógico). La verdad es que, durante el procedimiento, gracias a la anestesia local, no deberías sentir nada más allá de presión. Después, puede que sientas algo de molestia, sobre todo los primeros dos días, pero eso es totalmente normal en cualquier extracción dental. Tu dentista te recetará analgésicos y antiinflamatorios para que estés cómodo en casa.
Lo más importante es seguir los cuidados postoperatorios para evitar problemas. Y, aunque todos los pacientes son diferentes, lo más habitual es que las molestias desaparezcan tras los primeros días y que en una semana ya te sientas mucho mejor.
¿Qué cuidados debo tener después de la extracción?
Después de la extracción, lo más importante es seguir los cuidados postoperatorios que te indique tu dentista. Algunas pautas básicas son:
- No enjuagarte la boca con fuerza durante las primeras 24 horas. Esto podría deshacer el coágulo que se forma en el alveolo y causar lo que llamamos alveolitis, que no queremos.
- Evitar el alcohol y el tabaco, ya que ambos pueden retrasar la cicatrización.
- Seguir las recomendaciones de medicación: Si el dentista te ha recetado algún antiinflamatorio o antibiótico, tómatelos tal y como te ha dicho.
- Mantener una buena higiene bucal, pero con suavidad. Nada de cepillar justo donde está la herida.
¿Cuándo es necesario realizar una extracción de un diente en el paladar?
En resumen, este tipo de extracciones se hacen para prevenir problemas a largo plazo. Un diente en el paladar puede causar maloclusión, infecciones, o dañar otros dientes. Aunque al principio no moleste demasiado, con el tiempo puede generar complicaciones mayores. Así que, si tu dentista te ha recomendado la extracción, lo mejor es no esperar. Cuanto antes se solucione el problema, mejor será la recuperación y menos probabilidades de complicaciones.
Alveolitis tras la extracción dental
Un porcentaje de casos, en torno a 1 de cada 100 extracciones, sufre una complicación muy dolorosa llamada alveolitis. La alveolitis es dolorosa, pero no tiene consecuencias más allá de pasar una mala semana. La curación será buena y la regeneración de hueso también. El dolor causado por una alveolitis es normal que sea muy intenso durante los primeros 7-10 días.

¿Qué hacer si sospecho de alveolitis?
Una vez valorado en consulta, el dentista deberá de evaluar la zona, y ver si existe coágulo o no en la zona de la extracción, posteriormente limpiará la zona con suero y clorhexidina al 0,2%. Se deben de cumplir a rajatabla las órdenes de nuestro dentista para conservar ese coágulo sanguíneo en su sitio, según las indicaciones postoperatorias tras una extracción dental. Al día siguiente, debe realizarse enjuagues con agua con sal 2 veces al día durante una semana. Estos enjuagues no deben ser efusivos, sino simplemente dejar actuar sobre la zona de la herida.
Inflamación postoperatoria
Muchos pacientes a los que les practicamos extracciones de dientes o muelas, nos contactan al poco tiempo con la misma pregunta: ¿es normal tener las encías inflamadas como consecuencia de la extracción?
En las primeras horas después de algunos procedimientos odontológicos como las extracciones o las cirugías periodontales, es muy habitual que las encías se inflamen o muestren signos de tumefacción. La hinchazón puede afectar a más partes de la boca o incluso de los tejidos faciales.

Remedios para la inflamación
Si ha pasado poco tiempo desde la extracción, un remedio que calmará el dolor y ayudará a disminuir la inflamación es colocar una bolsa con hielo sobre la zona afectada, por fuera de la piel. Mejor aún que el hielo, una bolsa de guisantes o maíz congelado recién salida del frigorífico. Verás que se adapta mucho mejor a la forma de tu cara.
Debes mantener el hielo sobre la mejilla durante 25 minutos más o menos y luego retirarlo 5 minutos. Repite el proceso varias veces al día si notas que la inflamación no remite. Tener la encía hinchada después de una extracción (e incluso sentir algo de dolor) es normal los primeros días. Uno de los procedimientos odontológicos que suelen tener como resultado la inflamación provisional de las encías es la extracción de las muelas del juicio.
En estos casos, el procedimiento a seguir es igual que en el resto de piezas dentales: vigilar la hinchazón durante las primeras horas y aplicar hielo para reducirla durante las primeras 18 horas.
¿Qué hacer para prevenir la inflamación?
Aunque, como hemos visto, es lo más normal tener la encía inflamada después de una extracción de piezas dentales, puedes tomar medidas para prevenirlo.
- Dos días después de la intervención, empieza a enjuagarte con agua tibia salada cada 1 o 2 horas. Evita enjuagues bucales que contengan alcohol.
- Puedes cepillar suavemente alrededor de la herida, pero evita tocarla directamente con el cepillo ya que impedirás que cierre y aumentarás la inflamación.
- Procura comer alimentos blandos que no te hagan daño.
- Mantén la cabeza elevada siempre que puedas y guarda cierto reposo. La actividad física no es lo más recomendable si acabas de pasar por una intervención odontológica.
- Si fumas, evita hacerlo durante los 3 o 4 días posteriores a la extracción.
Caninos incluidos
El canino vulgarmente conocido como colmillo, puede quedar incluido sin que erupcione, se debe sospechar su inclusión cuando hacia los 13 años no ha erupcionado. Después de la muela del juicio es la inclusión dentaria más frecuente.
Lo ideal es conseguir que erupcione el canino, por ello se combina el tratamiento de ortodoncia para conseguir espacio en la arcada maxilar, con el de cirugía en el que se expone el canino, se deja una pequeña ventana en la mucosa del tamaño de la corona del diente, se le pega un bracket o botón, y se va traccionando poco a poco hasta conseguir su erupción.

Postoperatorio de caninos incluidos
El postoperatorio por regla general es muy tolerable. Se producen molestias locales o dolor leve que responde muy bien al tratamiento analgésico que se acompaña también de tratamiento antibiótico. Se produce algo de edema o inflamación local.
Se toma en los primeros días una dieta blanda o suave, y se debe acompañar de una higiene local buena con cepillado en la zona con cepillos blandos, junto con colutorios de clorhexidina o agua con sal.
Complicaciones
Las complicaciones son excepcionales. Entre ellas están la hemorragia o la infección local.
Colmillos montados
Tener colmillos montados no es solo un problema estético, sino que es un claro síntoma de que nuestra mordida es incorrecta. El origen de los colmillos altos se encuentra en el propio proceso de erupción dental. Esto provoca que, en muchas ocasiones, al haber salido ya el resto de dientes, los colmillos no tengan suficiente espacio para alinearse con el resto y se queden en la parte alta de la encía.

Tratamiento para colmillos montados
Cada caso es único y por eso hablamos de colmillos montados de forma general, cuando están fuera del sitio que le corresponde. En función de las necesidades concretas del paciente, la solución para bajar unos colmillos altos pasa por dos opciones diferentes: tratamiento de ortodoncia con o sin extracciones de premolares.
Cuando existe suficiente espacio en la arcada, la corrección de los colmillos montados se puede llevar a cabo sin realizar extracciones. Al igual que otras alteraciones relativas al alineamiento y la mordida de los dientes, la solución para los caninos altos es realizar una ortodoncia.