El blanqueamiento dental es un procedimiento estético odontológico que busca aclarar y blanquear los dientes, eliminando manchas y decoloraciones para mejorar su color y apariencia. Hoy en día la estética es una referencia de salud, que nos lleva a realizar cambios significativos en nuestros hábitos de vida. Cada vez son más los pacientes que buscan una mejor imagen y los dientes no se escapan de esta realidad.

Tipos de Blanqueamiento Dental
Existen varios tipos de blanqueamiento dental, que varían según el tipo de dientes, el lugar donde se realiza el tratamiento y la tecnología utilizada. El blanqueamiento dental es un tratamiento de estética dental que permite aclarar en varios tonos el esmalte de los dientes.
- Blanqueamiento en el consultorio: Es el método más rápido y efectivo, realizado por un profesional en un entorno controlado.
- Blanqueamiento en casa supervisado: Tu dentista te proporcionará un kit de blanqueamiento personalizado que incluye bandejas hechas a medida y gel blanqueador.
- Productos de venta libre: Incluyen tiras blanqueadoras, pastas dentales y enjuagues bucales.
Blanqueamiento Dental en Clínica
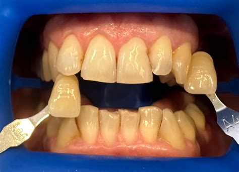
Este tipo de blanqueamiento se realiza en consulta y es un método muy efectivo. El blanqueamiento que se lleva a cabo en la clínica dental es el más eficaz en la reducción de tonos en el color de los dientes, dándoles un aspecto más claro. Se aplica un gel blanqueador de alta concentración en los dientes que se activa con una luz especial.
Procedimiento:
- El dentista tomará un registro del color actual de los dientes del paciente. Esto puede hacerse mediante fotografías, carta de colores dentales o un dispositivo de medición del color para tener una referencia precisa del punto de partida.
- Antes de aplicar el agente blanqueador se protegerán las encías y los tejidos blandos para evitar cualquier irritación o daño. Tras comprobar que la boca está sana y realizar la profilaxis adecuada, se aísla la zona a tratar para evitar que el agente blanqueador entre en contacto con las encías.
- En general, se realizan varias sesiones del tratamiento. Cada sesión puede durar alrededor de 15-30 minutos.
- El dentista evaluará el progreso del blanqueamiento entre sesiones.

Blanqueamiento Dental Ambulatorio
El blanqueamiento ambulatorio es aquel que no se realiza íntegramente en consulta. El paciente finaliza el tratamiento en casa siguiendo las instrucciones proporcionadas por el odontólogo. Blanqueamiento de aplicación en el domicilio, mediante el uso de férulas o cubetas y la aplicación de un agente blanqueador (supervisado por el odontólogo).
Procedimiento:
- El odontólogo toma impresiones de los dientes para crear las férulas.
- El odontólogo entregará el kit de blanqueamiento dental personalizado y dará las instrucciones oportunas al pacientes sobre la duración del tratamiento y la frecuencia de aplicación. Al igual que en el tratamiento anterior, se hace una revisión y profilaxis antes del blanqueamiento. En este caso, el agente blanqueador se aplicará en una férula hecha a medida para el paciente.
- El paciente seguirá las instrucciones proporcionadas por el dentista y aplicará el gel blanqueador en las férulas.
Cómo Blanquear Los Dientes En 3 Minutos || Convertir Los Dientes Amarillos En Blancos Naturalmente
Beneficios del Blanqueamiento Dental
El blanqueamiento dental puede mejorar significativamente la apariencia estética de los dientes, proporcionando una sonrisa más brillante y atractiva. La sonrisa es una de las características más destacadas en el aspecto de una persona. Es un tratamiento que no requiere anestesia ni se realizan cambios permanentes en la estructura dental. Tener los dientes más blancos es un factor clave para mejorar la autoestima.
Al mejorar la apariencia de los dientes, muchas personas experimentan un aumento de la confianza y la autoestima. Todos sabemos que la primera impresión es de suma importancia. A diferencia de algunos procedimientos dentales, el blanqueamiento dental, a menudo, ofrece resultados rápidos. En el caso del blanqueamiento profesional el resultado se verá con una única sesión o en varias en función del paciente y de su estado bucal. Por lo que respecta al blanqueamiento ambulatorio los resultados suelen ser graduales y pueden variar según la persona.
Tipos de Agentes Blanqueadores
El blanqueamiento dental es un tratamiento de estética dental con el que se aclara el esmalte de los dientes. Este procedimiento se basa en el uso de los agentes blanqueadores que actúan haciendo que el tratamiento penetre hasta la dentina, provocando la descomposición de los compuestos orgánicos atrapados en ella.
- Peróxido de hidrógeno: En contacto con la saliva y la estructura dentaria actúa como un fuerte agente oxidante y puede formar radicales libres y moléculas de oxígeno reactivas.
- Peróxido de carbamida: En contacto con el agua se descompone en peróxido de hidrógeno y urea.
Duración del Tratamiento y Resultados
La duración de los resultados puede variar según el tipo de tratamiento, tus hábitos alimenticios y tu higiene oral. Generalmente el tratamiento de estética dental del blanqueamiento dental, realizado por un especialista, tiene una duración entre cinco y siete años. La velocidad con la que nuestros dientes se oscurezcan dependerá del motivo que ha provocado la aparición de las manchas y de si cambiamos de hábitos.
Después de este tratamiento, el Dr. Castro recomienda seguir una “dieta blanca” durante los primeros días, ya que aumenta la porosidad del esmalte y los dientes pueden adquirir pigmentos no deseados. No se debe fumar ni tomar alimentos como la zanahoria, tomate, arándanos, moras, chocolate, etc., ni bebidas como café, té o vino tinto. Además, hay que extremar la higiene dental.
Riesgos y Consideraciones
El blanqueamiento dental es seguro cuando se realiza bajo la supervisión de un dentista. Sí, el blanqueamiento dental es seguro cuando se realiza bajo la supervisión de un dentista. Sin embargo, algunos productos blanqueadores pueden ser muy abrasivos con el esmalte, por lo que su uso puede favorecer la aparición de hipersensibilidad dental. Uno de los efectos secundarios más comunes que presenta este tratamiento de estética dental es la sensibilidad dental. Para aliviar dicha sensación, el odontólogo recomendará al paciente pastas dentales para dientes sensibles. Si la sensibilidad dental es extrema, debe suspenderse el tratamiento de estética dental por unos días.
El blanqueamiento dental puede causar sensibilidad temporal en los dientes y encías. Es crucial seguir todas las instrucciones proporcionadas por tu dentista para asegurar el éxito del tratamiento de blanqueamiento. El blanqueamiento dental no afecta el color de los empastes, coronas o carillas. Es importante tener expectativas realistas sobre los resultados del blanqueamiento dental. Durante tu consulta, habla con tu dentista sobre lo que esperas lograr y si tus expectativas son alcanzables con el tratamiento elegido.
El Dr. Óscar Castro Reino, presidente del Consejo General de Dentistas, explica que la población debe concebir el blanqueamiento dental como un proceso sanitario que tiene que ser realizado bajo la supervisión de un dentista. Además, señala que “el dentista debe estar capacitado para manejar los agentes blanqueadores que se utilizan -peróxido de hidrógeno y peróxido de carbamida- siguiendo un protocolo adecuado de diagnóstico, planificación del procedimiento y mantenimiento de los resultados”.
Mitos del Blanqueamiento Dental
El carbón activado como agente blanqueador dental ha sido una tendencia en los últimos años. Además, muchos de los productos de carbón activado contienen otros componentes, como la arcilla de bentonita, que es un mineral conocido por tener propiedades carcinógenas.
Posiblemente has escuchado alguna vez que enjuagarte la boca con agua oxigenada tiene efectos blanqueadores en la dentadura. Esto es una verdad a medias. Ya que para que funcione como tratamiento de blanqueamiento dental, se necesita activar dicho agente con otros químicos o con luz. Además, el uso del agua oxigenada sin supervisión profesional puede tener consecuencias negativas en la salud bucal. Por ejemplo, el abuso de este producto puede causar irritación en las encías, quemaduras en la mucosa oral y resequedad a largo plazo.
Se ha hecho muy popular la venta de luces aceleradoras para el blanqueamiento de los dientes, vendidas en establecimientos y al alcance de cualquiera. Otro mito urbano bien conocido es el uso de bicarbonato de sodio y limón, formando una pasta para cepillar tus dientes.
Las cremas dentales comerciales no funcionan como tratamiento de blanqueamiento dental, ya que su efectividad es limitada en comparación con los procedimientos profesionales. EL efecto de una pasta dental con pigmento morado, es solo temporal y no se trata de un tratamiento de blanqueamiento dental. El uso prolongado de cremas dentales con pigmento morado puede provocar manchas permanentes en los dientes y en las encías. Antes de adquirir cualquier tipo de pasta dental, consulta con tu odontólogo.
Preparación para el Blanqueamiento Dental
Si estás considerando un blanqueamiento dental, es probable que ya te hayas imaginado luciendo una sonrisa más brillante y atractiva. Sin embargo, antes de dar el paso, es importante que te prepares adecuadamente para asegurar que obtengas los mejores resultados posibles. El blanqueamiento dental es un procedimiento seguro y efectivo, pero hay varios factores que debes tener en cuenta antes de comenzar. Prepararte adecuadamente antes de un blanqueamiento dental no solo garantiza que obtengas los mejores resultados posibles, sino que también minimiza el riesgo de efectos secundarios como la sensibilidad dental.
- Antes de comenzar cualquier tratamiento de blanqueamiento dental, es fundamental que un dentista evalúe la salud de tus dientes y encías.
- Una limpieza dental profesional es un paso esencial antes de someterte a un blanqueamiento dental.
- Antes de someterte a un blanqueamiento dental, es recomendable evitar ciertos alimentos y bebidas que pueden contribuir a la aparición de manchas en tus dientes.
- El tabaco es uno de los principales culpables de las manchas dentales. Si eres fumador, considera dejar de fumar antes de someterte a un blanqueamiento dental.
- Una higiene oral adecuada es fundamental antes de someterte a un blanqueamiento dental.
- Antes de decidirte por un tratamiento de blanqueamiento, considera todas las opciones disponibles y discútelas con tu dentista.
- Antes de comenzar con el blanqueamiento dental, es fundamental realizar una consulta previa con tu dentista.
Tipos de Blanqueamiento según el Tipo de Diente
Hay diferentes maneras de clasificar los tipos de blanqueamiento y blanqueantes de dientes. Si la diferenciación se realiza en función del tipo de dientes, hay que tener en cuenta que los dientes pueden ser vitales o no vitales. ¿Qué significa esto? La diferencia se basa en el lugar del que proviene la mancha de los dientes.
- Blanqueamiento en dientes vitales: Es el procedimiento más común de blanqueamiento dental. El tratamiento de blanqueamiento en dientes vitales en consulta suele durar de 30 a 90 minutos y se realiza en varias sesiones.
- Blanqueamiento en dientes no vitales (interno): Este tratamiento consiste en blanquear los dientes desde el interior. En este caso, el blanqueador se colocará dentro del diente y se utilizará un relleno temporal. El blanqueamiento quedará en el interior durante varios días. Este tipo de blanqueamiento se emplea solo en aquellas piezas dentales que presentan una tinción severa, tras haber sufrido un traumatismo o un tratamiento de conductos (endodoncia).
Blanqueamiento Dental con Luz
En el caso del blanqueamiento en dientes vitales, se puede hacer una división en función de la técnica de luz utilizada. La luz activa las moléculas del gel utilizado para blanquear los dientes, aumentando el efecto blanqueador.

- Blanqueamiento con luz LED: Es un procedimiento muy eficaz, que consiste en activar las moléculas del gel blanqueador con la luz azul que emite la lámpara LED. Se necesitan entre tres y cuatro sesiones de fotoactivación, que pueden programarse en una sola cita si se busca un efecto más rápido.
- Blanqueamiento con láser: Es el procedimiento más rápido y eficaz de blanqueamiento. La luz láser activa el gel blanqueador y penetra en el esmalte de los dientes aumentando su blanqueamiento. Sin embargo, sus efectos suelen durar poco. Actualmente, la técnica de láser ha sido sustituida por por la de LED. Ambas tienen las mismas ventajas, pero el blanqueamiento con LED evita la sensibilidad dental al ser un tipo de luz que no desprende calor.
Ventajas del Blanqueamiento Dental
El blanqueamiento dental es el tratamiento más habitual. Uno de los motivos para que sea así es que tiene numerosas ventajas estéticas y anímicas.
- Sonrisa más blanca: La sonrisa es una de las características más destacadas en el aspecto de una persona.
- Mejora la confianza: Tener los dientes más blancos es un factor clave para mejorar la autoestima.
- Ayuda a mejorar la higiene: El tratamiento de blanqueamiento dental requiere de mantener una buena higiene bucodental una vez realizado el tratamiento.
- Resultados rápidos: El tratamiento de blanqueamiento dental requiere de entre tres y cuatro sesiones, pero pueden realizarse en una sola cita.
- Proceso indoloro: La mayoría de tratamientos dentales suponen cierta incomodidad para los pacientes, tanto en la clínica como, a veces, en los días posteriores.
¿Cómo se Realiza el Blanqueamiento Dental?
El blanqueamiento dental es un tratamiento rápido y sencillo, y puede realizarse en clínica o en casa.
Blanqueamiento en dientes vitales en clínica:
- En primer lugar, el profesional odontólogo aplicará una sustancia que cubre y protege las encías alrededor de los dientes.
- Si el blanqueador necesita ser activado, se colocará una lámpara LED o láser durante el tiempo determinado de tratamiento.
Blanqueamiento en domicilio:
En el caso de querer realizar un blanqueamiento en casa, será posible utilizando unas férulas que se ajusten a los dientes y en las que se colocará el gel blanqueador. Este tratamiento debe ser prescrito por un dentista.
Blancorexia: La Obsesión por los Dientes Blancos
El presidente del Consejo de Dentistas concluye destacando que una dentadura sana y cuidada mejora la imagen personal, pero la obsesión por unos dientes blancos puede derivar en blancorexia “que lleva a los pacientes a realizarse blanqueamientos dentales con mucha frecuencia y sin la supervisión de un dentista. Las consecuencias de esta adicción pueden ocasionar gingivitis, hipersensibilidad dental e incluso la pérdida de los dientes. La obsesión por lucir unos dientes blancos se denomina “blancorexia”.
| Tipo de Blanqueamiento | Precio Estimado |
|---|---|
| Con luz LED | 300€ |
| Con férulas personalizadas | 230€ |