En el mundo de la odontología, es crucial comprender la terminología utilizada para describir las condiciones y tratamientos relacionados con nuestra salud bucal. Uno de los problemas más comunes es la acumulación de sarro dental. A continuación, exploraremos a fondo el sarro dental, sus sinónimos, términos relacionados, causas, prevención y tratamientos.

¿Qué es el Sarro Dental?
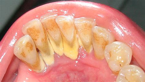
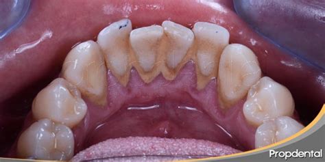
El sarro, también conocido como cálculo dental, es una concreción dura de naturaleza calcárea que se forma y deposita sobre la placa dental, adhiriéndose firmemente al esmalte de los dientes. Su coloración puede variar entre amarillenta y marrón.
La acumulación de placa bacteriana se relaciona con diferentes problemas bucodentales. Las bacterias que se acumulan en los dientes después de las comidas forman una película que se conoce como placa bacteriana o biofilm oral. Estos cálculos son sobre todo fosfato de calcio, fosfato de magnesio y carbonato de calcio. Ten en cuenta que el sarro contiene bacterias.
007 CÓMO SE PUEDE PREVENIR LA FORMACIÓN DE SARRO EN LOS DIENTES
Sinónimos y Términos Relacionados
- Cálculo Dental: Término técnico para el sarro.
- Tartrectomía: Conocida popularmente como “limpieza de boca”, es el procedimiento para eliminar el sarro.
- Placa Bacteriana: Sustancia blanda y pegajosa compuesta por bacterias que se adhiere a los dientes.
- Biofilm Oral: Otro término para la placa bacteriana.
¿Cómo se Forma el Sarro?
¿Sabías que pocas horas después de haberte cepillado los dientes empieza de nuevo a formarse el sarro? Los estudios demuestran que una correcta higiene oral es la mejor manera de prevenir la aparición de sarro.
El depósito sobre los dientes que se conoce como sarro o cálculo dental se forma mediante la mineralización de la placa bacteriana. Inicialmente, tras el consumo de alimentos y la falta de higiene, se acumula placa blanda compuesta de bacterias, restos orgánicos y sales de la saliva (placa bacteriana). Si esa placa no se remueve regularmente, en cuestión de días comienza a calcificarse: los iones de calcio y fosfato presentes en la saliva precipitan en la placa madura, endureciéndola progresivamente.
La literatura señala que las primeras micro-calcificaciones pueden aparecer a los pocos días de formarse la placa, y tras aproximadamente 2 semanas de acumulación el depósito puede llegar a contener hasta un 80% del contenido inorgánico típico de un cálculo maduro.

Tipos de Sarro
Se pueden diferenciar por su aspecto y ubicación:
- Sarro Supragingival: Cuando los depósitos se ubican por encima de las encías.
- Sarro Subgingival: Son aquellos depósitos que se ubican debajo de la zona gingival. Estos cálculos son de color marrón oscuro o verdoso. Es habitual que se encuentre en las zonas linguales y proximales.
Consecuencias del Sarro
La formación de cálculo dental tiene algunas consecuencias en nuestra salud y estética bucodental:
- Las bacterias presentes en el sarro producen ácidos que deterioran el esmalte dental.
- Un indicador de la presencia de sarro en los dientes, a diferencia de la placa bacteriana, es el mal aliento o halitosis.
- Cuando el sarro llega a la línea de la encía empiezan los problemas periodontales. Las encías se inflaman, se enrojecen y sangran con facilidad por la proliferación de bacterias. En una etapa inicial se conoce como gingivitis.
- Existe una relación entre el sistema digestivo y la salud oral. Por lo tanto, la presencia de un mayor número de bacterias en la boca puede favorecer trastornos estomacales o intestinales.
- Además, el sarro puede erosionar el esmalte a largo plazo.
Prevención del Sarro
Prevenir la acumulación de placa bacteriana es sinónimo de evitar enfermedades y problemas bucodentales asociados. Disfrutar de una buena salud bucodental por más tiempo es posible. Solo necesitas mantener a raya la acumulación de placa en tu boca.
Lo que sí que se puede hacer es prevenir el desarrollo de cálculo dental a través de unas rutinas de higiene oral adecuadas.

Consejos para la Prevención
- Usa un dentífrico adecuado a tus condiciones bucodentales.
- Usa un cepillo adaptado a tus necesidades y procura cambiarlo cada 2 o 3 meses.
- Para eliminar los restos de comida de entre los dientes, debes usar hilo dental o cepillos interdentales.
- Para que la higiene oral sea más completa, puede ser recomendable utilizar enjuague bucal.
- También ayuda a prevenir la acumulación de placa bacteriana en tu boca el uso de un limpiador lingual.
- Además del irrigador dental y su función de barrido interdental con agua.
- Visita a tu dentista al menos una vez al año.
- Practica una profilaxis o limpieza dental profesional una vez al año, como mínimo.
Tratamientos para Eliminar el Sarro
En general, el dentista puede detectar la presencia de sarro a simple vista mediante una exploración. Una vez ya ha aparecido el sarro dental, sólo se puede eliminar en la clínica dental.
Los tratamientos de limpieza profesional en la clínica eliminan una mayor cantidad de sarro. Se recomienda realizar una limpieza dental profesional o una instrumentación subgingival (curetaje) una o dos veces al año.
La limpieza dental avanzada elimina la placa bacteriana y el sarro que aparecen por encima de la línea de las encías (supragingival). Este procedimiento, también llamado tartrectomía, atenúa las manchas superficiales de los dientes. Sin embargo, cuando el sarro se acumula aparece por debajo de la encía (subgingival) es necesario proceder a la instrumentación subgingival o comúnmente conocida como curetaje.
Tartrectomía: El Procedimiento Clave
La tartrectomía es un procedimiento odontológico que consiste en la eliminación profesional del cálculo dental (sarro) y otros depósitos mineralizados adheridos a la superficie de los dientes. En términos sencillos, es la limpieza dental que realiza el dentista o higienista para remover la placa bacteriana calcificada que no puede quitarse con el cepillado normal.
Clínicamente, la tartrectomía tiene gran importancia para la salud oral: ayuda a prevenir y tratar la inflamación de las encías (gingivitis) y evitar la progresión a enfermedades periodontales más graves como la periodontitis. Dado que incluso con una higiene oral rigurosa siempre quedan zonas de difícil acceso donde la placa se acumula y termina calcificándose con el tiempo, es necesario realizar limpiezas profesionales periódicas.
Por ello, suele recomendarse una tartrectomía de mantenimiento cada 6 a 12 meses, dependiendo del riesgo individual de cada paciente. Esta intervención regular reduce la carga de biofilm bacteriano y sarro en la boca, contribuyendo a mantener encías sanas, prevenir caries asociadas a placa y controlar otros problemas como el mal aliento. En pacientes con historial de enfermedad periodontal, pueden requerirse limpiezas más frecuentes o procedimientos adicionales.
Tipos de Tartrectomía
Según la ubicación del cálculo a eliminar, se distinguen dos tipos de tartrectomía:
- Tartrectomía Supragingival: Es la eliminación de sarro visible por encima del margen de la encía, en la corona de los dientes. Es el procedimiento de limpieza rutinario que se realiza en pacientes con encías sanas o gingivitis leve, enfocándose en quitar la placa calcificada y manchas extrínsecas de las zonas expuestas.
- Tartrectomía Subgingival: Se refiere a la remoción de cálculo que está por debajo de la línea gingival, adherido a las raíces dentales dentro de las bolsas periodontales. Este procedimiento subgingival generalmente forma parte del tratamiento de pacientes con enfermedad periodontal (periodontitis o gingivitis avanzada).
Instrumentación para la Tartrectomía
La tartrectomía se realiza mediante dos tipos básicos de instrumental periodontal: instrumental manual y ultrasonidos.
- Instrumental Manual: Incluye herramientas de acero especialmente diseñadas, como las curetas (ej. curetas Gracey o universales) y los escarificadores de hoz, que poseen bordes cortantes para raspar el sarro de las superficies dentarias.
- Instrumentación Mecánica: Emplea aparatos de ultrasonido o sónicos (aire) que vibran a alta frecuencia. Estos dispositivos cuentan con puntas metálicas intercambiables de diferentes formas adaptadas a distintas áreas dentales.
La combinación de ultrasonidos y herramientas manuales es habitual: el ultrasonido rompe y desprende la mayor parte del cálculo, y luego las curetas manuales eliminan residuos remanentes y pulen las superficies dentales donde el aparato ultrasónico no alcanzó.
Glosario de Términos Odontológicos Relacionados
Para facilitar la comprensión, aquí tienes un glosario de términos odontológicos relacionados con el sarro y la salud bucal:
- Absceso: Acumulación localizada de pus, producida por una infección bacteriana.
- Alveolitis (Alveolo Seco): Inflamación del alvéolo dental después de una extracción.
- Analgesia: La reducción del dolor, generalmente con productos químicos.
- Anestesia: El proceso de eliminación total del dolor con agentes químicos.
- ATM: Articulación temporomandibular, la articulación de la bisagra de unión entre la mandíbula y la base del cráneo.
- Bruxismo: El hábito de rechinar o apretar los dientes de manera subconsciente.
- Caries: Destrucción localizada del esmalte dental.
- Gingivitis: Inflamación de las encías.
- Halitosis: Mal aliento.
- Periodontitis: Enfermedad inflamatoria crónica de los tejidos que rodean las piezas dentales.
- Xerostomía: Una disminución de la saliva que produce sequedad en la boca.
Mantener una buena higiene bucal y visitar regularmente al dentista son pasos cruciales para prevenir la acumulación de sarro y mantener una sonrisa saludable.
| Término | Descripción |
|---|---|
| Sarro Dental | Depósito duro de placa bacteriana calcificada en los dientes. |
| Placa Bacteriana | Película pegajosa de bacterias que se forma constantemente en los dientes. |
| Tartrectomía | Procedimiento para eliminar el sarro dental. |
| Gingivitis | Inflamación de las encías causada por la acumulación de placa y sarro. |
| Periodontitis | Infección grave de las encías que daña los tejidos blandos y el hueso que sostienen los dientes. |