El sarro duro detrás de los dientes afecta a más del 70% de los adultos (según la Encuesta de Salud Oral en España 2020), convirtiéndose en una de las principales causas de enfermedades periodontales. Este problema, aparentemente invisible pero con consecuencias significativas para la salud bucodental, requiere un enfoque profesional y especializado para su correcta eliminación.
En este artículo, explicaremos en detalle todo acerca del sarro subgingival, desde qué es, por qué ocurre hasta cómo sacarlo. Si te interesa este tema, sigue leyendo.
Nº1 REMEDIO CASERO para ELIMINAR la PLACA, el SARRO y PREVENIR la CARIES
¿Qué es el sarro?
El sarro, también conocido como cálculo dental u odontolito, es una sustancia mineralizada y dura que se acumula sobre los dientes cuando no se elimina la placa bacteriana. El sarro es una sustancia que se forma cuando la placa dental, una película pegajosa de bacterias, no se elimina adecuadamente mediante el cepillado y el uso diario con hilo dental.
Es importante empezar aclarando que el sarro en las muelas y en general en los dientes NO tiene nada que ver con la placa acumulada. De forma casi diaria, en nuestra boca se va desarrollando una placa dental de tipo bacteriana en nuestra boca como consecuencia de los alimentos que ingerimos así como los hábitos de limpieza. Con el tiempo, es normal que haya una calcificación de la placa y se de un acúmulo de sarro en los dientes, llegando a ser lo que conocemos como sarro.
El sarro duro, conocido científicamente como cálculo dental, representa la mineralización completa de la placa bacteriana que se adhiere firmemente a la superficie dentaria. La placa dental se endurece y se convierte en sarro cuando entra en contacto con los minerales presentes en la saliva. Este proceso de mineralización puede ocurrir en tan solo 24 a 72 horas si la placa no se elimina.
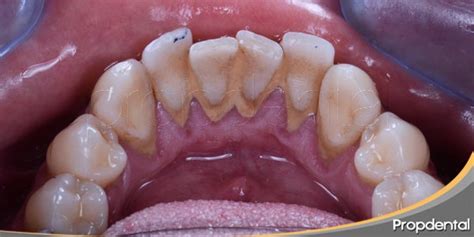
Aparece tanto por fuera como por dentro de la línea de las encías, y su posición puede afectar en su color. El sarro está compuesto de bacterias muertas mineralizadas y proteínas salivales.
La diferencia fundamental entre la placa bacteriana y el sarro duro radica en su composición y resistencia. Mientras que la placa bacteriana es una biopelícula blanda que puede eliminarse mediante el cepillado dental regular, el sarro duro presenta una estructura mineralizada que no puede removerse con métodos de higiene bucal convencionales.

Acumulación de sarro en los dientes.
¿Cómo se forma el sarro en las muelas?
El sarro puede formarse en toda la boca tanto en encías como en dientes, sin embargo y en función de la anatomía, hay zonas más comunes en las que aparece. Una de ellas son las muelas. Debido a la dificultad de llegar a las muelas en el cepillado, no se suele hacer un buen cepillado y por eso se favorece su aparición.
Como consecuencia de malas rutinas de higiene bucodental, la placa bacteriana no se llega a eliminar de nuestros dientes y encías y al final se calcifica y queda como sarro en los dientes. También puede darse como causa una mala alineación dental teniendo por esto, que haya zonas más complicadas cuando nos cepillemos los dientes.
Además, el área detrás de los dientes inferiores, en particular, es propensa a la formación de sarro debido a la proximidad con las glándulas salivales.
Con el sarro ya formado, es muy normal que se acelere la absorción de manchas amarrillas y los dientes acaben con ese color de aspecto sucio y descuidado. Al estar tan escondidas las muelas, no llegamos a verlas tan directamente como sí vemos los dientes frontales (incisivos, caninos y premolares). Por eso es tan importante cuidar la aparición de sarro en ellas, porque al ser los dientes más grandes y más escondidos, es más fácil que acaben con sarro y otras placas bacterianas.
Causas de la acumulación de sarro
- Mala higiene bucodental: La placa dental se endurece y se convierte en sarro cuando no se elimina adecuadamente con el cepillado y el hilo dental.
- Anatomía oral: La superficie lingual de los dientes inferiores representa una de las zonas más desafiantes para mantener una higiene bucal adecuada.
- Falta de atención en áreas posteriores y linguales: Muchas personas concentran sus esfuerzos de higiene bucal en las superficies dentales más visibles, descuidando inadvertidamente las zonas posteriores y linguales.
- Tabaquismo: El tabaquismo altera significativamente la composición salival y reduce la capacidad de autolimpieza natural de la boca, favoreciendo la formación de sarro duro.
- Dieta rica en azúcares: La dieta rica en azúcares y carbohidratos refinados proporciona nutrientes abundantes para las bacterias orales, intensificando la producción de ácidos y la formación de placa bacteriana.
Síntomas de acumulación de sarro
- Mal aliento crónico: Uno de los primeros indicadores de acumulación de sarro duro detrás de los dientes.
- Gingivitis: La presencia de sarro duro detrás de los dientes provoca una respuesta inflamatoria constante en las encías circundantes. Esta inflamación se manifiesta como gingivitis, caracterizada por encías de color rojo intenso, hinchadas y sensibles al tacto.
- Cambio de coloración: El sarro duro detrás de los dientes presenta inicialmente una coloración amarillenta que puede evolucionar hacia tonos marrones o incluso negros, dependiendo de factores como el tabaquismo, el consumo de té, café o ciertos alimentos.
- Sensibilidad dental: Cuando el sarro duro provoca retracción gingival, las raíces dentales quedan expuestas, generando sensibilidad al frío, calor o alimentos ácidos.
- Molestias al masticar: En casos avanzados donde la enfermedad periodontal ha progresado significativamente, pueden aparecer molestias o dolor durante la masticación.
Consecuencias del sarro no tratado
El sarro no solo es antiestético, sino que también supone un riesgo para la salud dental:
- Gingivitis
- Periodontitis
- Caries
- Halitosis

El sarro puede provocar graves problemas bucodentales si no se trata.
Tratamiento profesional para eliminar el sarro
Es fundamental comprender que el sarro duro no puede eliminarse mediante métodos caseros de higiene bucal. Su estructura mineralizada requiere instrumental especializado y técnicas profesionales específicas para su remoción segura.
El sarro duro únicamente puede eliminarse mediante procedimientos profesionales realizados por dentistas o higienistas cualificados. No es posible eliminar el sarro duro mediante métodos caseros.
El primer paso es visitar al dentista para hacerse una revisión y limpieza dental profesional.
La eliminación del sarro subgingival requiere la intervención de un profesional dental. Solo un dentista o higienista puede remover este tipo de sarro de manera segura mediante procedimientos como el raspado y alisado radicular.
¿Qué hacer si se desprende un pedazo de sarro?
Si te ha pasado esto recientemente, mantén la calma.
- No entres en pánico: Como ya mencioné, normalmente no es una emergencia grave. Si no hay dolor fuerte o sangrado, puedes respirar aliviado.
- Enjuaga tu boca suavemente: Lava tu boca con agua tibia (incluso con un poco de sal disuelta, que tiene efecto antiséptico suave) para eliminar cualquier resto suelto y refrescar la zona. Esto ayuda a que, si la encía quedó expuesta, no se irrite con residuos.
- No intentes arrancar más sarro por tu cuenta: Puede ser tentador pensar «si se cayó ese pedazo, voy a raspar a ver si quito más». ¡Evítalo! Rascar con objetos afilados (o con fuerza excesiva) puede lastimar tu encía o el esmalte del diente. Además, el sarro está fuertemente adherido; quitarlo tú mismo es difícil y podrías terminar con una lesión. He visto casos de personas que, por rascarse con palillos o alfileres, se hicieron cortes en la encía o se esmaltaron el diente.
- Revisa tus síntomas: Pon atención a cómo se siente la zona. ¿Notas la encía inflamada donde estaba el sarro? ¿Hay sangrado leve al cepillar? ¿El diente se siente más sensible al aire o al agua fría ahora que se cayó la “costrita” de sarro? Algunos de estos síntomas son normales después de que el sarro se desprende, porque puede haber una pequeña inflamación en la encía alrededor o el diente expuesto a estímulos. Si el dolor es intenso o la encía sangra en exceso espontáneamente, eso sí amerita consultar más urgente.
- Cepilla con suavidad esa área: Continúa con tu higiene oral rutinaria, cepillando suavemente los dientes cercanos y usando hilo dental en la zona, sin hurgar demasiado debajo de la encía. Mantener la limpieza ayudará a que no se acumule más placa mientras esperas tratamiento.
- Agenda una visita al dentista lo antes posible: Este paso es clave. No lo dejes pasar. Aunque no tengas dolor, debes acudir a una limpieza dental profesional para retirar el resto del sarro. Idealmente, haz la cita en cuanto puedas dentro de los próximos días o semanas. En Cleardent, por ejemplo, siempre intentamos dar cita rápida a alguien con estos síntomas, porque sabemos la importancia. Si tu dentista de cabecera tarda mucho, busca alternativas (lo importante es solucionar pronto).
- Mientras esperas la cita, cuida tu boca: En esos días previos a tu limpieza profesional, sé muy constante con tu higiene: cepíllate dos veces al día correctamente, usa hilo dental cada noche (con más razón ahora), y puedes añadir un enjuague bucal suave con clorhexidina si tu dentista te lo recomienda o uno sin alcohol para mantener baja la carga bacterial. Esto mantendrá a raya la placa bacteriana nueva y ayudará a que la encía se calme un poco.
Prevención del sarro
Se puede prevenir la acumulación de placa y sarro con una buena higiene dental, cepillándose dos veces al día con pasta de dientes y usando hilo dental.
Para evitar la aparición de sarro, cepilla tus dientes al menos dos veces al día, asegurándote de llegar a todas las superficies de los dientes, incluidas las áreas traseras. El uso de hilo dental también es importante para evitar la formación de placa y restos de comida entre los dientes y detrás de ellos.
La prevención efectiva del sarro duro detrás de los dientes requiere una técnica de cepillado meticulosa que incluya movimientos específicos para alcanzar la superficie lingual de los dientes inferiores. El uso diario de hilo dental o cepillos interdentales es fundamental para eliminar la placa bacteriana de espacios que el cepillo no puede alcanzar. Una alimentación consciente puede reducir significativamente la formación de sarro duro.
La prevención y el tratamiento temprano del sarro duro detrás de los dientes representan inversiones fundamentales en tu salud bucodental a largo plazo.
Consejos para prevenir el sarro desde casa
- Cepillado correcto: Como hemos repetido a lo largo de este post, la manera más sencilla para no acabar con sarro en las muelas ni en ningún otra zona es tener buenos hábitos de higiene y salud bucodental. Sí, lavarse los dientes al día el número de veces que nos decían desde chico, 3 veces mínimo.
- Uso de enjuagues bucales: Además de un buen cepillado, os recomendamos usar enjuagues bucales al menos una vez al día tras el cepillado. De esta manera se aumentará la limpieza y por tanto la prevención de la formación de sarro en las muelas.
- Uso de hilo dental: Hay una cosa fundamental para la higiene bucal insustituible e inexcusable. ¿Sabéis que tras un cepillado, todavía queda un 40% que no hemos limpiado? Este altísimo porcentaje corresponde a los ‘puntos de contacto’. Estos puntos de contacto son las zonas donde se une un diente con otro. Ahora entenderéis por qué se acumula tanta placa y sarro ahí. Y es que solo con el hilo dental tan sobrevalorado llegaremos a limpiar correctamente la zona de los ‘puntos de contacto’.
- Limpiezas profesionales: Es crucial que los consejos de arriba los sigáis en vuestro día a día. Sin embargo, desde Belén Pérez, odontología integral, sabemos que a veces con eso no basta. Cuando los niveles de sarro en vuestras muelas llegan a niveles muy altos, es necesario un tratamiento profesional, para que se limpie lo que de forma normal con un cepillo no se hace. Se recomienda hacer al menos 1 vez el año este tipo de limpiezas.
- Visitas periódicas al dentista: Esta es clave. Aunque seas muy juicioso con tu higiene, todos acumulamos algo de sarro con el tiempo. Lo recomendado es hacerse una limpieza dental profesional cada 6 a 12 meses, según tu caso. Lo importante es no dejar pasar años sin que un profesional revise.
Siguiendo estos consejos de prevención, te aseguro que mantendrás el sarro bajo control.