Cuidar nuestros dientes es esencial para mantener no solo una sonrisa brillante sino también una buena salud general. El sarro dental, a menudo pasado por alto hasta que es demasiado tarde, es uno de los problemas más comunes y persistentes en la salud bucal. El tratamiento del sarro es fundamental para prevenir enfermedades periodontales y mantener la salud bucal óptima.
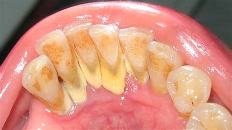
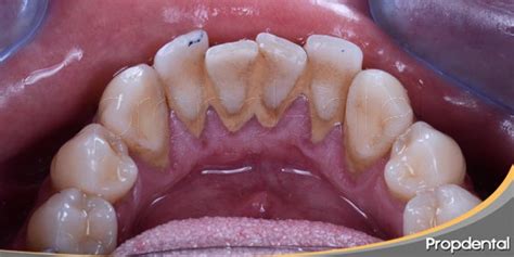
El sarro o cálculo dental es un agregado de bacterias, minerales y restos de comida que se deposita sobre los dientes. Se parece a los depósitos de cal que se acumulan en nuestras cocinas y baños. El residuo depositado sobre los dientes inflama las encías y provoca gingivitis y periodontitis.

¿Qué es el Sarro Dental?
El sarro dental es una capa de suciedad y residuos calcificados que se acumula en los dientes como consecuencia de una higiene oral insuficiente o ineficiente. Esta capa de suciedad también se puede amontonar en el borde o debajo de las encías, llegando a irritar los tejidos gingivales.
El sarro está colonizado por las bacterias de la cavidad oral o placa bacteriana, responsable a su vez de muchas de las patologías de los dientes y encías. El sarro en los dientes se forma por la acumulación progresiva de residuos de alimentos, proteínas salivares y restos microbianos, que se calcifican alrededor de las superficies de los dientes como consecuencia de la precipitación de las sales minerales y los iones presentes en la saliva.
Este acúmulo de placa dental se debe eliminar diariamente antes de su calcificación, mediante el cepillado diario tras las comidas, con una técnica adecuada, que debe incluir una correcta higiene interdental. Una vez que esta película de restos se calcifica y endurece, precisamos de ayuda profesional para su eliminación -limpieza con ultrasonidos, curetas, etc.-.
¿Cómo se Forma el Sarro en los Dientes?
El sarro se forma cuando la placa que no se ha eliminado con el cepillado y el uso de hilo dental se mineraliza con los minerales presentes en la saliva. La placa puede comenzar a endurecerse y convertirse en sarro en tan solo 24 a 72 horas después de la formación de la placa.
Aunque las acumulaciones de sarro suelen producirse por una higiene oral deficiente, una vez formadas no pueden eliminarse con el cepillado corriente ni ningún otro tratamiento que el paciente pueda practicar en su casa. No obstante, si no nos cepillamos de forma correcta, la placa no tardará en acumularse y formar sarro.
007 CÓMO SE PUEDE PREVENIR LA FORMACIÓN DE SARRO EN LOS DIENTES
Consecuencias del Sarro Dental en la Salud Bucodental
La acumulación de sarro en los dientes, especialmente a nivel radicular, es nociva para los tejidos que lo rodean. Las bacterias presentes en el sarro dental son capaces de provocar, de manera directa o indirecta:
- Caries: Mediante la desmineralizaciones de los tejidos duros.
- Gingivitis: Inflamación de la encía.
- Periodontitis: Pérdida del tejido gingival que sostiene al diente como consecuencia de la inflamación crónica de la encía.
- Halitosis: Los residuos y los efectos de las bacterias son el origen en muchas ocasiones de mal olor en la boca. Además los problemas estéticos derivados de su aspecto desagradable, su presencia puede traer consecuencias negativas para la salud oral.

¿Por Qué es Importante Eliminar el Sarro de los Dientes?
Es fundamental eliminar sarro de los dientes para evitar:
- Halitosis: El sarro acumulado en los dientes puede provocar mal aliento debido a las bacterias que producen compuestos sulfurados volátiles.
- Pigmentación de los dientes: El sarro puede provocar manchas y decoloración.
- Inflamación de encías: El sarro puede acumularse debajo de las encías, provocando inflamación y gingivitis.
- Enfermedades periodontales: Si el sarro no se elimina, puede producir periodontitis y la pérdida de los dientes.
¿Cómo se Puede Eliminar el Sarro?
El sarro o cálculo dental tiene que ser eliminado en la clínica dental mediante una profilaxis dental profesional. Una vez que la película de suciedad y residuos se calcifica y se endurece, solo se puede eliminar mediante una limpieza profesional.
Para quitar el sarro, el paciente debe dirigirse a una clínica odontológica y realizarse una limpieza de boca o higiene bucodental. Las limpiezas bucodentales son tratamientos completamente indoloros y que, contrariamente al mito, no desgastan el esmalte de los dientes.
En nuestra clínica dental en Rambla de Terrassa, utilizamos técnicas avanzadas y personalizadas para combatir el sarro dental. La base del tratamiento para el sarro es una limpieza dental profesional. Después de remover el sarro, los dientes se pulen para suavizar las superficies.
Existen diferentes métodos para quitar el sarro:
- Ultrasonidos: El empleo de ultrasonidos es especialmente útil cuando el sarro está ubicado por encima de la línea de las encías. Logran desprender el cálculo en fragmentos sin dañar la superficie dentaria. Es muy importante que el proceso sea profusamente refrigerado con agua, pues los ultrasonidos producen un aumento térmico que podría causar dolor y daño en la estructura dentaria.
- Curetaje: Las curetas dentales son dispositivos manuales con formas muy variadas, de tal manera que consiguen adaptarse perfectamente a la superficie de los dientes. Permiten llegar bien a los espacios que hay en el surco de la encía, donde se acumula el denominado sarro subgingival, especialmente nocivo para los tejidos gingivales al estar colonizado frecuentemente por patógenos periodontales muy dañinos.
- Fresas: Existen también fresas de diseños específicos para la eliminación de placa y sarro. Se acoplan a las turbinas y los motores dentales a diversas revoluciones.
- Aeropulverizadores: Los aeropulverizadores de polvo de glicina son de gran ayuda para eliminar la placa bacteriana y las manchas. Se trata de un método poco invasivo y muy efectivo tras la eliminación grosera del sarro con los métodos descritos en los puntos anteriores.
- Pulido: Es importante insistir en la importancia del pulido de la superficie dentaria tras la realización de cualquier tipo de procedimiento de eliminación de sarro (tartrectomía). De no ser así, se volvería a acumular nuevamente la placa y el sarro de manera aún más rápida y severa, favorecida por las rugosidades que pueden producirse al limpiar.
Tratamientos Adicionales
Además de las limpiezas, existen tratamientos adicionales que pueden ser necesarios en ciertas situaciones. Cuando el sarro se acumula por debajo de la encía (subgingival) es necesario proceder a la instrumentación subgingival o comunmente conocida como curetaje.
Remedios Caseros para Deshacer el Sarro
Así como deshacer el sarro de los dientes con remedio caseros:
- Bicarbonato de sodio: Mezcla una cucharadita de bicarbonato de sodio con agua y aplícala sobre tus dientes con un cepillo de dientes. Frota suavemente durante un par de minutos y enjuaga bien con agua. Es importante tener en cuenta que el uso excesivo de bicarbonato de sodio puede desgastar el esmalte dental.
- Zumo de limón: El zumo de medio limón con una taza de agua tibia y enjuaga tu boca con esta solución. El ácido cítrico del limón ayuda a disolver el sarro, pero debes tener cuidado de no exponer tus dientes al ácido durante mucho tiempo, ya que puede dañar el esmalte. Es fundamental recordar que el ácido del limón puede erosionar el esmalte dental si no se enjuaga adecuadamente.
- Aceite de coco: Realiza enjuagues bucales con aceite de coco durante unos 15-20 minutos al día. El aceite de coco contiene ácido láurico que ayuda a reducir la acumulación de placa y sarro en los dientes.
¿Cómo Prevenir la Formación de Sarro?
La única manera de evitar la formación es eliminarlo con el cepillo de dientes antes de que se solidifique. Implementar prácticas efectivas de higiene puede ayudar a reducir la acumulación de placa bacteriana y, por ende, la formación de sarro. El sarro debe prevenirse diariamente mediante una correcta higiene bucodental.
Los estudios demuestran que una correcta higiene oral es la mejor manera de prevenir la aparición de sarro. Los irrigadores bucales y los cepillos interdentales mejoran todavía más la limpieza.
Si te preguntas como evitar el sarro en los dientes de forma natural, ten en cuenta los siguientes puntos:
- Cepilla tres veces al día: Es importante cepillarse los dientes después de cada comida para prevenir la acumulación de placa y la formación de sarro. Un cepillado adecuado es fundamental para eliminar los restos de comida y la placa. Se debe utilizar una pasta dental con flúor y cepillarse al menos dos veces al día. El cepillado debe ser enérgico, pero atraumático, con cepillos manuales con cerdas no agresivas o cepillos eléctricos. Se deben cepillarse correctamente todas las caras dentarias e, idealmente, debe hacerse siempre en el mismo orden para asegurarnos que quedan siempre todas las superficies barridas y limpias.
- Utiliza una pasta con flúor: El flúor ayuda a fortalecer el esmalte dental y prevenir la formación de caries. Las pastas de dientes con flúor también pueden ayudar a prevenir la acumulación de sarro en los dientes. La pasta de dientes facilita la eliminación mecánica de la placa, pero la cantidad de pasta que se colocar en el cepillo debe ser siempre reducida (un guisante).
- Usa hilo dental: El hilo dental ayuda a eliminar la placa y los restos de comida que se acumulan entre los dientes, lo que ayuda a prevenir la acumulación de sarro. El hilo dental es una herramienta esencial para limpiar entre los dientes donde el cepillo no llega. Es recomendable usarlo una vez al día. Complementar el ritual de limpieza, al menos en una ocasión al día, con higiene interdental. Se recomienda utilizar hilo dental, seda o cinta, y/o irrigadores.
- Emplea enjuague bucal: Los enjuagues bucales con propiedades antibacterianas pueden complementar las técnicas de cepillado e hilo dental. Los enjuagues bucales con agentes antibacterianos pueden ayudar a reducir la cantidad de bacterias en la boca, lo que puede prevenir la formación de sarro. Utilizar colutorios o enjuagues bucales puede ser muy útil cuando hay gingivitis, si bien no es, ni mucho menos, lo más importante.
- Lleva una dieta equilibrada: Una dieta equilibrada, baja en azúcares y rica en frutas y verduras, puede ayudar a prevenir la formación de sarro. Además, es importante evitar el consumo excesivo de alimentos y bebidas ácidas, ya que pueden debilitar el esmalte dental. La alimentación desempeña un papel crucial en la salud bucal. Los alimentos ricos en azúcares y almidones son un caldo de cultivo para las bacterias, favoreciendo la formación de placa y sarro. Consumir frutas y verduras frescas, como manzanas y zanahorias, puede ayudar a limpiar los dientes de forma natural.
- Evita el tabaco y el alcohol: Fumar y consumir alcohol en exceso pueden debilitar el esmalte dental y favorecer la acumulación de sarro. Es importante evitar estos hábitos para mantener una buena salud bucal y prevenir problemas como la caries y la enfermedad periodontal.
Además, existen pastas dentales formuladas específicamente para combatir el sarro. Estas suelen contener abrasivos suaves y agentes que ayudan a descomponer la placa.
El zinc es un elemento que se añade a los dentífricos y colutorios para facilitar el control de la placa dental y prevenir la formación del cálculo. El pirofosfato es un elemento que juega un papel importante en la inhibición de la formación de cálculos. Esta molécula evita que se produzca la precipitación de iones minerales presentes en la saliva en la placa dental.
El tipo de cepillo de dientes utilizado puede influir significativamente en la eficacia de la eliminación del sarro. Los cepillos eléctricos han demostrado ser más eficaces en la eliminación de placa bacteriana en comparación con los manuales, gracias a su capacidad para realizar movimientos oscilantes y rotativos. Los cepillos interdentales son útiles para alcanzar las áreas entre los dientes que un cepillo normal podría no limpiar adecuadamente. Su inclusión en la rutina diaria puede contribuir a reducir la acumulación de sarro.

Una correcta higiene bucodental y una serie de revisiones y limpiezas bucodentales periódicas en una clínica dental son suficientes para contener la aparición del sarro. En general, se recomienda realizar una limpieza dental una o dos veces al año. Pero, realmente, depende de cada paciente y de la rapidez de acumulación del sarro sobre los dientes.
Las consultas profesionales y el mantenimiento adecuado son fundamentales para garantizar una buena salud bucodental. En la clínica, se dispone de tratamientos avanzados para abordar la acumulación de sarro. La limpieza profunda es un tratamiento que se realiza para eliminar el sarro que se ha acumulado tanto por encima como por debajo de la línea de las encías. Este procedimiento no solo elimina la placa y el sarro, sino que también ayuda a prevenir la inflamación de las encías y otros problemas de salud bucal.
En Resumen
Mantener tu boca libre de sarro es esencial para tu bienestar. ¡Recupera la salud y belleza de tu sonrisa! Contacta con nosotros y agenda tu cita hoy mismo. Estamos aquí para cuidar de ti y de tu sonrisa.
En Dental Roca, nos importa tu bienestar dental. Llámanos cuando quieras.