La presencia de sarro en los dientes es muy común en toda la población. En este artículo, exploraremos en detalle qué es el sarro, sus causas, los problemas que puede provocar y cómo eliminarlo y prevenirlo de forma efectiva.

¿Qué es el Sarro Dental?
También conocido como cálculo o tártaro dental, el sarro es una película amarillenta de placa bacteriana calcificada. Es consecuencia directa de la falta de higiene dental. El sarro, también llamado cálculo o tártaro dental, es consecuencia del endurecimiento de la placa bacteriana. La placa bacteriana es una película que se deposita sobre los dientes y está compuesta de bacterias, saliva, restos de comida y células muertas. Aparece en todas las personas.
La placa dental va depositándose continuamente en los dientes, a lo largo del día y la noche. Incluso, después de cepillar los dientes, la placa se desarrolla en su superficie al cabo de unas 24 horas. Como hemos comentado, el sarro se forma cuando la placa bacteriana se mezcla con saliva y restos de comida y se endurece. Esto puede ser el resultado de una mala higiene bucodental, pero no siempre es el caso. Otro factor que influye es el pH de la saliva, que varía según la persona.
Si la placa no se retira mediante el cepillado, después de aproximadamente 72 horas, comienza a endurecerse y se convierte en sarro al entrar en contacto con sales minerales presentes en la cavidad bucal. Además, la placa permite la proliferación de bacterias entre las que se incluyen las que producen la caries, de ahí la importancia del cepillado diario y el uso de seda dental.
Composición del Sarro
El sarro está compuesto en su mayor parte (del 70 al 90%) por elementos inorgánicos ―sales minerales―, que se combinan con sustancias orgánicas como proteínas, carbohidratos y, en menor medida, lípidos.
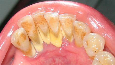
Apariencia del Sarro
El sarro tiene la apariencia de una costra gruesa que cubre los dientes, sobre todo la parte trasera de las piezas delanteras inferiores, que es una zona más difícil de limpiar. También puede formarse entre las piezas dentales y el borde de las encías. Inicialmente su color es blanquecino, pero se mancha con facilidad y puede adquirir un tono amarillento o amarronado. Asimismo, puede presentarse acompañado de hinchazón y enrojecimiento de las encías, cuadro conocido como gingivitis.

Tipos de Sarro
En función de su localización, el sarro puede ser:
- Supragingival: Se acumula en la superficie visible de los dientes y encías.
- Subgingival: Se localiza por debajo de la línea de la encía, por lo que es más difícil de percibir.
Rutina Anti Caries ¿Cómo se lava los dientes un dentista en casa?
Causas y Factores de Riesgo del Sarro Dental
La principal causa de la formación de sarro en los dientes es la existencia de placa bacteriana. Las bacterias que todos tenemos en la boca forman una película transparente y pegajosa, conocida como placa o biofilm oral. Como acabamos de ver, la ausencia o deficiencia de higiene dental es la principal causa de formación del sarro: si no se retira periódicamente, la placa dental se acumula, endurece y mineraliza, lo que da lugar a la formación del sarro. Como hemos visto en el punto anterior, el sarro se produce por la acumulación de bacterias y otras sustancias en la placa bacteriana, la cual con un cepillado y una correcta higiene bucodental puede eliminarse. Así pues, la principal causa de la aparición del sarro es una mala higiene bucodental. Otra causa de la aparición del sarro es la malposición de los dientes. El sarro puede comenzar a formarse en 24-72 horas si no se elimina adecuadamente la placa bacteriana.
Además de una incorrecta higiene bucal, existen otros factores que propician la aparición del sarro. Entre ellos, se encuentran los siguientes:
- El consumo excesivo de alimentos o bebidas ricos en azúcar.
- El tabaquismo. Fumar o vapear no solo mancha los dientes, sino que también favorece la formación de sarro.
- El consumo excesivo de café, té o vino.
- El uso incorrecto o prolongado de algunos colutorios.
- La malposición o mala alineación de los dientes. Ello aumenta la dificultad de llevar a cabo una higiene adecuada y, por tanto, de retirar correctamente la placa dental.
- Factores genéticos que afectan a la saliva como el grado de acidez (pH). Por ejemplo, los pH que tienen un nivel de acidez alto debilitan más el esmalte dental, lo que nos hace más vulnerables a las caries.
- Producir una cantidad insuficiente de saliva debido al uso de medicamentos u otras condiciones médicas.
- Tener edad avanzada. Con el paso de los años, las encías pueden retraerse, lo que expone una mayor superficie dental a la acumulación de placa y a la formación de sarro.
- Los hábitos alimentarios también influyen en la aparición de sarro.
Problemas Provocados por el Sarro Dental
Si no se elimina correctamente la placa bacteriana y se forma sarro, pueden producirse, en función del tipo de bacterias predominantes, los siguientes problemas en la boca:
- Caries dentales: El sarro permite que el esmalte dental se vaya debilitando paulatinamente. Esto hace que sea más fácil la formación de caries. Son agujeros o cavidades que dañan la estructura del diente. Se producen cuando las bacterias presentes en la placa metabolizan los azúcares y producen ácidos capaces de disolver el esmalte con el paso del tiempo.
- Gingivitis: Se trata de la fase inicial de la patología periodontal. En estos momentos la enfermedad es reversible. Sus síntomas son el hinchazón y sangrado de encías. Recuerda que las encías nunca deben sangrar, ni siquiera al cepillarte los dientes. La placa y el sarro irritan e inflaman las encías, que se hinchan y sangran. Se pueden formar “bolsillos” en los que pueden proliferar bacterias.
- Periodontitis: Si no ponemos remedio a la gingivitis, la enfermedad evolucionará hacia la periodontitis. Es una forma más severa de la enfermedad de las encías, en la que los ligamentos y el hueso que soportan el diente se destruyen. Con frecuencia, desencadena la pérdida de la pieza dental.
- Mal aliento (halitosis): Debido a menudo a una mala higiene oral, las bacterias presentes en la boca segregan compuestos de azufre que producen un olor desagradable. Puede ocurrir que el sarro no sea visible, pero que sí se perciba el mal aliento. Los “bolsillos” que se crean por la gingivitis y periodontitis acumulan bacterias y pueden incrementar la halitosis.
- Aumento de la sensibilidad en los dientes: Sobre todo al frío y/o al calor.
- Estética: No podemos olvidarnos de las consecuencias en la estética dental del sarro en los dientes. Su color amarillento hace que la sonrisa se vea sucia y sin vida. Una capa de suciedad en tus dientes puede indicar que tienes sarro. ¿Últimamente has notado manchas amarillas o marrones en tus dientes que parecen imposibles de eliminar con el cepillado regular? Si es así, lo más probable es que estés lidiando con sarro.
Además, los trastornos dentales pueden llegar a provocar una gran variedad de problemas de salud sistémicos como trastornos digestivos o enfermedades cardiovasculares, entre otros.
Tratamiento del Sarro Dental
Una vez que se ha formado sarro en los dientes debes tener claro que es imposible eliminarlo con técnicas de higiene caseras. Con esto, lo que queremos que entiendas y tengas muy claro, es que no existe ningún remedio casero que te permita eliminar el sarro de tus dientes con éxito. Seguro que has leído en Internet un sinfín de consejos para remover el tártaro dental, pero ninguno de ellos es efectivo. De hecho, en muchos casos, esos remedios caseros pueden tener un efecto muy negativo en tu sonrisa. Los enjuagues con vinagre, con bicarbonato de sodio, limón, sal o agua oxigenada están completamente contraindicados para tu salud bucodental. Todos estos productos dañan la superficie de los dientes, haciéndolos más sensibles y permitiendo que las bacterias orales penetren en ellos con mayor facilidad. Por lo tanto, nuestro consejo es que evites el uso de remedios caseros para quitar el sarro.
Para eliminar eficazmente el tártaro dental es imprescindible someterte a una buena limpieza dental profesional. No es posible eliminar el sarro con el cepillado. Una vez se ha formado, solamente el odontólogo puede retirarlo mediante una tratectomía, una limpieza dental que permite extraerlo mediante el uso de instrumentos especiales. Se trata de un procedimiento indoloro y que no requiere ningún tipo de anestesia, aunque puede resultar un poco molesto para personas con elevada sensibilidad dental; en este caso, puede emplearse un espray con un anestésico local para insensibilizar el área.
Para eliminar el sarro dental debemos distinguir entre dos tipos de sarro, el supragingival y el subgingival.
- Limpieza dental profesional: También conocida como profilaxis dental, es una limpieza que suele realizar el higienista dental. Con herramientas específicas, se higieniza la superficie dentaria y los espacios interdentales. La limpieza profesional puede causar molestias leves, especialmente si hay inflamación gingival.
- Curetaje dental: Se trata de una técnica de limpieza dental profesional en profundidad. Solemos recurrir a estos tratamientos para eliminar el sarro en los dientes cuando existe alguna patología periodontal o ya se han formado las bolsas periodontales. A través de un raspado y alisado radicular higienizamos la zona, eliminado el sarro subgingival. Normalmente practicamos estos procedimientos bajo los efectos de la anestesia local. La sensibilidad dental es un efecto secundario común tras el curetaje. En el caso de que el sarro se haya acumulado bajo las encías, es necesario realizar un curetaje o raspado dental. Este implica una limpieza más profunda, que sí suele requerir la aplicación de anestesia local. Un ligero sangrado las primeras 24-48 horas es normal, especialmente si había inflamación previa.
- Asimismo, el sarro puede extraerse con un aparato que emite ultrasonidos que lo desintegran.
- Raspado y alisado radicular o instrumentación subgingival: Es un tratamiento que se utiliza para eliminar el sarro dental y la placa bacteriana que se encuentra debajo de las encías.
- Terapia láser: Es una técnica relativamente nueva en la que se utiliza un láser de baja intensidad para eliminar la placa bacteriana y el sarro de los dientes y las encías.
Es importante tener en cuenta que estos tratamientos solo deben ser realizados por un dentista o higienista dental calificado.
Prevención del Sarro Dental
La principal forma de evitar el sarro es manteniendo una higiene bucodental correcta. La prevención es clave para evitar la formación de sarro dental. Para reducir al mínimo la placa y evitar que se forme el sarro es necesario mantener una buena higiene bucal. El sarro dental es un problema prevenible que requiere un enfoque combinado de higiene oral diaria y cuidado profesional regular. La clave está en la prevención: cepillado correcto, uso de hilo dental, enjuague bucal y limpiezas profesionales cada 6 meses.
Para ello, lo ideal es cepillarse los dientes después de cada comida, con un mínimo de dos veces al día. Pero debe hacerse de forma correcta y concienzudamente, sin olvidarnos del hilo dental o cepillos interproximales. Para ello, solemos aconsejar dividir la boca en cuatro sectores: dos arriba y dos abajo. También es importante limpiar la lengua, pues en ella se acumula gran cantidad de bacterias. Para limpiarla, hay que cepillarla varias veces desde la parte más interna hasta la punta.
En concreto, una higiene oral completa debe incluir los siguientes cuidados personales:
- Cepillarse los dientes cuidadosamente: Debe hacerse tras cada comida pero, sobre todo, es fundamental realizar un cepillado profundo antes de irse a dormir, cuando baja la producción de saliva y los movimientos de la lengua, ya que estos contribuyen a remover la placa bacteriana. Al menos dos veces al día, utilizando una pasta de dientes con flúor y un cepillo de cerdas medias. Puede utilizarse un cepillo manual o eléctrico, aunque estos últimos han demostrado retirar la placa con mayor eficacia si cuentan con tecnología oscilatoria-rotatoria. En todo caso, se recomienda que el cepillo tenga cerdas suaves o medias y que el cabezal no sea demasiado grande para que llegue a todos los rincones de la boca. Un cepillado adecuado es fundamental para eliminar los restos de comida y la placa. Se debe utilizar una pasta dental con flúor y cepillarse al menos dos veces al día.
- Cepillarse las encías: Tras los dientes, debe cepillarse con suavidad la dentadura a lo largo de la línea de las encías.
- Usar un dentífrico con flúor: El dentífrico que usemos para el cepillado debe incluir flúor en su fórmula, porque ayuda a prevenir las caries. También existe la opción de realizar enjuagues bucales fluorados tras el cepillado dental. En niños deben emplearse dentífricos adaptados a su edad en contenido de flúor.
- Limpiarse los espacios interdentales: Si existe espacio suficiente, debe emplearse un cepillo interproximal o, si no, hilo o seda dental. Ambos deben usarse al menos una vez al día, preferiblemente por la noche, con el fin de asegurar la limpieza de las caras laterales de los dientes y que no queden restos de comida entre ellos. También se puede emplear un irrigador de agua para eliminar los desechos que se encuentren entre los dientes y debajo de las encías. Es especialmente importante la limpieza con cepillo interproximal, seda o irrigador, en personas que lleven implantes o puentes, ya que los espacios entre los dientes y la retracción de las encías pueden favorecer la acumulación de placa en espacios difícilmente accesibles. El hilo dental es una herramienta esencial para limpiar entre los dientes donde el cepillo no llega. Es recomendable usarlo una vez al día. Uso del hilo dental: Este paso es fundamental para eliminar la placa bacteriana y los restos de comida que se acumulan entre los dientes y en la línea de las encías.
- Limpiarse la lengua: Debe frotarse suavemente hacia adelante usando el cepillo de dientes o un limpiador lingual, ya que en ella se acumulan un gran número de bacterias.
- Enjuague bucal: Solo se recomienda en casos muy específicos como por ejemplo pacientes con ortodoncia, con dificultades para sujetar los cepillos de dientes o con riesgo de enfermedades periodontal o caries. Los enjuagues bucales con propiedades antibacterianas pueden complementar las técnicas de cepillado e hilo dental.
- Alimentación: La alimentación desempeña un papel crucial en la salud bucal. Los alimentos ricos en azúcares y almidones son un caldo de cultivo para las bacterias, favoreciendo la formación de placa y sarro.
Tabla de Resumen: Prevención del Sarro Dental
| Acción | Descripción | Frecuencia |
|---|---|---|
| Cepillado Dental | Usar pasta con flúor, cepillar todas las superficies | Después de cada comida (mínimo 2 veces al día) |
| Hilo Dental | Limpiar entre los dientes y debajo de la línea de las encías | Una vez al día (preferiblemente por la noche) |
| Limpieza de la Lengua | Eliminar bacterias y residuos | Diariamente |
| Enjuague Bucal | Usar en casos específicos (ortodoncia, etc.) | Según recomendación del dentista |
| Dieta Balanceada | Reducir azúcares y almidones | Continuamente |
| Visitas al Dentista | Examen y limpieza profesional | Cada 6-12 meses |
Además, los expertos recomiendan un examen rutinario de los dientes al menos una vez al año y una limpieza profesional cada seis o doce meses con el fin de eliminar el sarro, ya que este puede acumularse en los dientes incluso aunque se lleve a cabo en casa una buena higiene dental.