La ortodoncia no solo alinea tus dientes, sino que también puede influir en la armonía de tu rostro. ¿Es cierto que los brackets te cambian la cara? La respuesta es sí, pero de manera positiva y generalmente sutil. Lo más común es que mejore la armonía facial: tu sonrisa se ensancha, el perfil se equilibra, y la posición de la mandíbula encaja mejor dando un aspecto más estético.
Muchas veces, tras el tratamiento ortodóntico, el paciente se ve al espejo y nota algo distinto, como «más simétrico, más proporcionado» aunque no pueda precisar exactamente qué cambió.

¿Cómo la Ortodoncia Modifica el Rostro?
Para entender cómo cambia la cara con brackets, es importante saber que los dientes y huesos maxilares son el soporte de los tejidos faciales (labios, músculos, piel) que dan forma a tu rostro. Imagínate que tu cara es como una carpa de campaña, y los dientes junto con los huesos maxilares (mandíbula superior e inferior) son los postes que la sostienen. Si mueves la posición de esos postes, el «lienzo» (tus labios, mejillas, perfil facial) también se ajusta.
Cuando llevas brackets, aplicamos presión controlada sobre tus dientes para moverlos a la posición correcta. Esa presión se transmite al hueso que rodea al diente a través del ligamento periodontal (un tejido que actúa como amortiguador entre diente y hueso). El hueso, que es un tejido vivo, responde remodelándose: se reabsorbe donde el diente ejerce presión y se forma hueso nuevo donde hay espacio vacío conforme el diente avanza.
Los dientes frontales sirven de soporte a los labios. Si tus incisivos superiores estaban muy hacia adelante y los echamos ligeramente hacia atrás con ortodoncia, tu labio superior ya no estará tan proyectado; adquirirá un perfil más plano. La posición de la mandíbula (maxilar inferior) define tu perfil y la forma de tu mentón. Una mandíbula desalineada (por ejemplo, muy hacia atrás o hacia adelante) hace que ciertas zonas de la cara se vean desproporcionadas (mentón muy metido o muy salido, por ejemplo). Los brackets pueden mover la mandíbula gradualmente a una posición más equilibrada con respecto al cráneo siempre que estemos dentro de los límites que la ortodoncia puede abordar.
Los arcos dentales (maxilar superior e inferior) determinan la anchura de tu sonrisa y la forma de tus mejillas. Si tenías un arco muy estrecho (paladar contraído), es posible ensancharlo un poco con la ortodoncia o expansores, lo que puede hacer que tus mejillas se vean más llenas al sonreír y que se te vea más «tejido de sonrisa» (menos comisuras vacías). El ajuste de la mordida (cómo encajan los dientes de arriba con los de abajo) afecta a la postura de la mandíbula en reposo y al ángulo labio-nasal (la inclinación entre la base de la nariz y el labio superior). Al corregir la mordida, la simetría facial mejora y, de perfil, la transición nariz-labios-mentón se ve más suave.
La ortodoncia considera no solo tus dientes, sino toda tu estructura orofacial al planificar el tratamiento. Los ortodoncistas estudian fotografías, radiografías y modelos de tus dientes antes de empezar, precisamente para anticipar cómo impactarán los movimientos dentales en tu estética facial. El objetivo es mejorar tu sonrisa y tu perfil a la vez que corregimos la alineación dental y la mordida.
Es importante tener en cuenta que en pacientes jóvenes (niños y adolescentes) los cambios faciales pueden ser más notables que en adultos, porque sus huesos aún están en crecimiento y la ortodoncia puede guiarlos en cierta dirección. En adultos, el hueso ya es más denso y las suturas están cerradas, así que la mayoría de cambios serán por movimiento dental y adaptaciones de tejidos blandos, más sutiles. Aun así, incluso a los 30, 40 o más, una ortodoncia bien llevada puede lograr mejoras estéticas apreciables en el rostro.
No todas las personas experimentarán los mismos cambios; todo depende de tu caso inicial. A continuación, veremos cómo cambia la cara con brackets según el tipo de problema de mordida o alineación que tengas. Si identificas tu caso, entenderás qué transformación facial por brackets es posible.
Tipos de Maloclusiones y sus Cambios Faciales
Aquí exploramos cómo diferentes problemas de mordida pueden afectar tu rostro y cómo la ortodoncia puede corregirlos.
Mordida Abierta
Una mordida abierta ocurre cuando al cerrar la boca, quedan espacios abiertos entre los dientes frontales (superiores e inferiores) porque no contactan. En otras palabras, los dientes de adelante no encajan y es como si siempre estuvieras dejando un huequito al morder.
¿Cómo afecta la cara?
Las personas con mordida abierta a menudo tienen un aspecto de cara alargada, especialmente en la zona inferior del rostro. Al no poder cerrar bien los labios, la boca tiende a estar entreabierta en reposo, dando una apariencia de estar “boquiabierto” permanente. El mentón puede lucir más hacia abajo y la expresión facial cambia (a veces parece de asombro o cansancio debido a la postura labial).
¿Qué hace la ortodoncia?
Con brackets (y a veces apoyos extra como elásticos verticales o dispositivos especiales), podemos cerrar la mordida abierta haciendo que los dientes frontales superiores e inferiores entren en contacto adecuado. Esto conlleva un reposicionamiento de la mandíbula y un entrenamiento de los músculos faciales para que los labios puedan cerrarse cómodamente.
Cambio visible:
El antes y después es notable: de un rostro donde los labios no cerraban y se veía alargado, se pasa a un rostro más corto y armonioso. Los labios descansan juntos, dando una expresión más relajada. Muchos pacientes con mordida abierta corregida comentan que “por fin puedo sonreír sin mostrar tanto la encía” o que su expresión parece más alegre y natural.
Mordida Cruzada Anterior (Prognatismo)
Hablamos de mordida cruzada anterior cuando la mandíbula inferior muerde por delante de la superior. Es lo que coloquialmente muchos llaman “prognatismo” o tener la “mandíbula salida”.
¿Cómo afecta la cara?
Este tipo de maloclusión hace que el mentón se vea muy prominente y la cara adquiera un perfil cóncavo (hundido a la altura de la boca pero con la barbilla marcada). De frente, puede notarse una mandíbula ancha o dominante.
¿Qué hace la ortodoncia?
Con ortodoncia podemos corregir en parte el prognatismo, especialmente si se trata de un problema dental (y no solo óseo). Esto implica llevar los dientes inferiores hacia atrás y/o los superiores hacia adelante hasta que encajen correctamente. A veces, si la discrepancia es grande, se combinan brackets con tratamiento ortopédico en edad temprana (máscaras faciales, mentoneras) o con cirugía ortognática en adultos para ajustar la posición ósea.
Cambio visible:
Al finalizar, la zona del mentón se ve menos prominente. El perfil deja de ser tan cóncavo para volverse más recto o convexo suave (lo ideal). Básicamente, quitamos ese efecto de “bulldog” que tenía el perfil. La gente suele notar que el paciente “suavizó su expresión” o que “ya no tiene la barbilla tan salida”. El contorno mandibular se equilibra con el resto de la cara. De nuevo, es un cambio favorable: pasamos de un perfil duro o marcado a un rostro más dulce y armónico, manteniendo eso sí la esencia de la persona.
Sobremordida Excesiva
La sobremordida excesiva ocurre cuando los incisivos superiores cubren demasiado a los inferiores al morder. En casos extremos, los dientes de abajo prácticamente ni se ven porque quedan tapados por completo por los de arriba; incluso pueden morder el paladar.
¿Cómo afecta la cara?
Las personas con sobremordida profunda tienden a tener el mentón retraído (mandíbula inferior pequeña o hacia atrás) y a veces un aspecto de cara más redonda o cuadrada con mejillas un poco hundidas. ¿Por qué hundidas? Porque la mordida profunda a menudo va con un colapso de la dimensión vertical (la altura de la mordida es menor de lo normal), entonces el tercio inferior de la cara es más corto y los tejidos de mejillas y labios pueden quedar con menos soporte, dando un aspecto algo envejecido o de papada incipiente.
¿Qué hace la ortodoncia?
Con brackets corregimos la sobremordida elevando los dientes inferiores y/o bajando los superiores (simplificando la explicación) hasta que haya una mordida ideal: los incisivos de arriba cubriendo solo ~2mm de los de abajo. También reducimos el overjet (distancia horizontal) si los de arriba estaban muy adelante, usualmente retrayéndolos un poco. Al hacer esto, damos espacio al mentón para expresarse.
Cambio visible:
El cambio estrella aquí es que el paciente, de tener un mentón poco definido o “metido”, pasa a lucir un perfil más recto, con el mentón más marcado. ¡Ojo! No es que mágicamente crezca el hueso del mentón, pero al corregir la posición relativa de los huesos, el mentón se nota más. También las mejillas se ven menos hundidas porque al mejorar la mordida, la altura del tercio inferior aumenta un poquito, “estirando” la cara en el buen sentido y permitiendo que los tejidos se reubiquen. Muchas personas parecen incluso más jóvenes tras corregir una sobremordida severa, porque desaparece ese gesto como de papada o de boca muy cerrada. En fotos de antes y después, la cara pasa de un aspecto más aplastado en la parte inferior a uno más esbelto y proporcionado.

Otros Cambios Faciales Posibles con Ortodoncia
Además de las maloclusiones mencionadas, otros problemas dentales pueden afectar la estética facial y ser corregidos con ortodoncia:
- Apiñamiento dental severo: Al alinear los dientes, mejora la simetría de tu sonrisa y eso da inmediatamente una impresión facial más equilibrada.
- Dientes protruidos hacia adelante: Al mover esos dientes hacia adentro a su posición correcta se logra un perfil menos convexo, más recto. Desde el frente, esta persona pasa de mostrar quizás mucho los dientes incluso con labios cerrados, a poder cerrar la boca relajadamente.
- Arcadas dentales muy estrechas: Expandir un poco un paladar estrecho con ortodoncia o aparatos de expansión puede realzar los pómulos ligeramente, porque empuja los huesos maxilares hacia afuera.
En líneas generales, cualquier corrección dental que mejore tu mordida y alineación repercutirá en cierta medida en tu estética facial. A veces será muy ligero (solo tú o tu ortodoncista lo notarán en las fotos de perfil), y otras veces será lo suficientemente evidente para que amigos que tenías tiempo sin ver te digan: «¡Te veo diferente, como mejor, ¿te hiciste algo?».
Tabla Comparativa: Impacto de las Maloclusiones en el Rostro
Para resumir estos conceptos, aquí tienes una tabla comparativa de cómo algunas maloclusiones típicas impactan el rostro antes y después del tratamiento ortodóntico:
| Problema dental (Maloclusión) | Apariencia facial ANTES (sin tratar) | Apariencia facial DESPUÉS (tras ortodoncia) |
|---|---|---|
| Mordida abierta (espacio entre incisivos sup. e inf.) | Cara alargada, boca entreabierta, expresión de asombro | Rostro más corto y armonioso, labios cerrados, expresión relajada |
| Mordida cruzada anterior (mandíbula inferior prominente) | Mentón prominente, perfil cóncavo, mandíbula dominante | Mentón menos prominente, perfil más recto, rostro más dulce |
| Sobremordida excesiva (incisivos superiores cubren mucho a los inferiores) | Mentón retraído, cara redonda/cuadrada, mejillas hundidas | Mentón más definido, perfil más recto, mejillas con más soporte |
| Apiñamiento dental severo | Sonrisa estrecha o asimétrica | Sonrisa simétrica y equilibrada |
| Dientes protruidos hacia adelante | Labios sobresalientes, ángulo nasolabial agudo | Labios más planos, ángulo nasolabial estético |
| Arcadas dentales muy estrechas | Tercio medio de la cara poco desarrollado | Pómulos más realzados, rostro más equilibrado |
En todos los casos el denominador común es que el cambio va en beneficio de la armonía facial. La ortodoncia bien realizada nunca busca desmejorar tu estética, al contrario: su objetivo es alinear la funcionalidad con la belleza natural de tu rostro.
De hecho, un reciente estudio científico publicado en 2024 confirmó que los tratamientos ortodónticos mejoran la estética facial, especialmente en la vista de perfil, notando en promedio una ligera retracción de los labios y una mejor definición del mentón tras la ortodoncia. Es decir, ¡la ciencia respalda lo que vemos a diario en la clínica!
Mitos y Realidades sobre los Cambios Faciales con Ortodoncia
Es común preguntarse si los brackets pueden alterar otras partes del rostro, como la nariz o los labios. Aclaramos algunas dudas frecuentes:
¿Los brackets cambian la forma de la nariz?
No, los brackets no cambian la forma de tu nariz: ni el tamaño, ni la anchura, ni la punta… Al fin y al cabo, la nariz es cartílago y hueso nasal, estructuras en las que la ortodoncia no interviene.
Entonces, ¿por qué surge la duda? Porque cuando modificamos la posición de los dientes y labios, la percepción de la nariz en el conjunto facial puede cambiar. Por ejemplo, si antes tenías un perfil muy convexo (labios adelantados) y la nariz parecía pequeña en proporción, tras ortodoncia tu perfil es más recto y tu nariz podría verse un poquito más prominente en comparación (simple ilusión óptica al cambiar el entorno).
En definitiva, tu nariz sigue siendo la misma, pero el marco facial alrededor cambia ligeramente y eso puede hacer que la veas diferente. Muchos pacientes dicen: «Parece que mi nariz encaja mejor con mi cara ahora«. Eso es porque la armonía global mejora, no porque la nariz haya cambiado en sí. Ten la tranquilidad de que no te va a crecer ni achicar la nariz por llevar brackets.
¿Y qué hay de los labios?
Sí, tus labios pueden cambiar ligeramente con la ortodoncia, principalmente en perfil y grosor aparente, porque dependen mucho de la posición de los dientes. Ya hemos mencionado varios ejemplos: labios que estaban muy proyectados hacia adelante podrían aplanarse un poco, o labios que estaban hundidos pueden ganar soporte.
También durante el tratamiento en sí, mientras llevas los aparatos, es posible que notes tus labios más llenos. ¿Por qué? Los brackets ocupan un pequeño espacio sobre tus dientes (son como 2-3 mm de grosor). Ese relieve extra hace que el labio superior (y el inferior, si tienes brackets abajo) esté un pelín más “hacia afuera” de lo normal. Muchos pacientes dicen que con brackets sienten el labio superior más voluminoso o que les cuesta juntarlos del todo al principio. Esto es temporal y no es un cambio estructural del labio, sino simplemente el efecto de los aparatos.
Mordida Profunda: Un Caso Especial
Si te han diagnosticado mordida profunda, es posible que no sea uno de los tipos de mordida más evidentes. Sin embargo, la ortodoncia puede marcar una gran diferencia en tu rostro después del tratamiento.
La mordida profunda es una clase de sobremordida donde el maxilar superior está más adelantado que los dientes de abajo. Al cerrar la boca, los dientes superiores cubren por completo o casi por completo a sus antagonistas.
Esta maloclusión puede causar:
- Forzar los dientes sin necesidad.
- Más caries y peor salud en las encías.
- Enfermedad periodontal.
- Problemas al pronunciar.
- Dificultades para fonar.
- Problemas en los maxilares.
La mordida profunda puede ser causada por antecedentes familiares o por factores ambientales. Es importante visitar al dentista cuando empiezan a aparecer los primeros dientes definitivos para evaluar y tratar este problema.
El tratamiento puede incluir ortodoncia con brackets para solucionar la mordida profunda. En algunos casos, puede ser necesaria la cirugía ortognática en la edad adulta.
Tipos de Ortodoncia para Corregir la Mordida Profunda
Existen diferentes tipos de tratamientos de ortodoncia para corregir la mordida profunda, tanto fijos como removibles:
- Ortodoncia fija: Se lleva puesta siempre hasta que finaliza el proceso. Puede ser metálica (por su bajo precio) o estética (brackets estéticos). Los brackets pueden colocarse en la cara visible del diente o en la interna (ortodoncia lingual, que es invisible y 100% estética).
- Ortodoncia removible: El paciente puede quitársela para comer y lavarse los dientes. Se utilizan aparatos como Invisalign o expansores para expandir los huesos.
Para que el resultado de un tratamiento de ortodoncia sea perfecto, lo ideal es ponerse en manos de profesionales con experiencia para que determinen si tienes mordida profunda, mordida cruzada u otro tipo de problema.
Los BRACKETS NO cambian la FORMA y el PERFIL DEL ROSTRO? Estos son los Beneficios de la ORTODONCIA
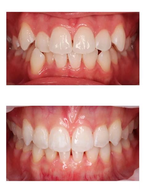
Ejemplos de Tratamientos de Ortodoncia Antes y Después en Adultos
La ortodoncia corrige diferentes problemas bucodentales como el apiñamiento, la mordida cruzada, bruxismo, sonrisa gingival, dolores temporomandibulares y problemas esqueléticos. Su fin es lograr una mejor oclusión, es decir, que la mordida sea correcta.
Algunos casos comunes incluyen:
- Microdoncia y agenesia
- Sonrisa gingival posterior y maxilar hipoplásico
- Apiñamiento dental
- Retrusión mandibular
- Mordida abierta y asimetrías severas

Cuidados Durante y Después del Tratamiento Ortodóntico
El proceso de tratamiento ortodóntico es una travesía personalizada que busca corregir y alinear la posición de los dientes y la mandíbula. El tratamiento requiere una consulta exhaustiva, la selección del tipo de aparato ortodóntico más adecuado y ajustes regulares para garantizar que los dientes se muevan de manera adecuada.
La fase de cuidado y mantenimiento comienza cuando se alcanzan los resultados deseados e incluye:
- Higiene bucal rigurosa
- Alimentación consciente
- Manejo del dolor o sensibilidad
- Tratamiento de úlceras bucales
Después de retirar los aparatos ortodónticos, es crucial seguir ciertos cuidados post-tratamiento para mantener los resultados. El uso de retenedores es una parte integral del proceso post-tratamiento. Estos dispositivos ayudan a mantener los dientes en su nueva posición y evitan posibles cambios con el tiempo. La atención dental continua es clave para mantener una sonrisa saludable a lo largo del tiempo.