El sarro en los dientes es un problema común que afecta a personas de todas las edades. Según la Encuesta de Salud Oral en España (2020), más del 30% de los adolescentes, alrededor del 67% de los adultos y más del 70% de los mayores de 65 años sufren de esta patología. Pero, ¿qué es exactamente el sarro dental y cómo podemos combatirlo?

¿Qué es el Sarro Dental?
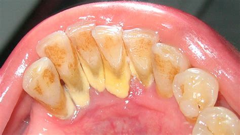
El sarro dental, también conocido como cálculo o tártaro dental, es la acumulación de placa bacteriana endurecida en los dientes y encías. Es decir, es la mineralización y calcificación de la placa dental, a la que se irán adhiriendo bacterias orales y otras sustancias, como la saliva o el calcio, formando una capa dura y amarillenta. La placa bacteriana es una película que se deposita sobre los dientes y está compuesta de bacterias, saliva, restos de comida y células muertas, apareciendo en todas las personas.
La placa dental se deposita continuamente en los dientes, a lo largo del día y la noche. Incluso después de cepillar los dientes, la placa se desarrolla en su superficie al cabo de unas 24 horas. Si la placa no se retira mediante el cepillado, después de aproximadamente 72 horas, comienza a endurecerse y se convierte en sarro al entrar en contacto con sales minerales presentes en la cavidad bucal.
Composición del Sarro
El sarro está compuesto principalmente (del 70 al 90%) por elementos inorgánicos ―sales minerales―, que se combinan con sustancias orgánicas como proteínas, carbohidratos y, en menor medida, lípidos. Además de poder provocar problemas de salud como caries dentales, gingivitis o halitosis, el sarro dental constituye un problema estético.
Causas de la Aparición del Sarro
Como hemos visto, el sarro se produce por la acumulación de bacterias y otras sustancias en la placa bacteriana, la cual con un cepillado y una correcta higiene bucodental puede eliminarse. Así pues, la principal causa de la aparición del sarro es una mala higiene bucodental.
Otra causa de la aparición del sarro es la malposición de los dientes. Ello aumenta la dificultad de llevar a cabo una higiene adecuada y, por tanto, de retirar correctamente la placa dental. Además de una incorrecta higiene bucal, existen otros factores que propician la aparición del sarro:
- El consumo excesivo de alimentos o bebidas ricos en azúcar.
- El tabaquismo.
- El consumo excesivo de café, té o vino.
- El uso incorrecto o prolongado de algunos colutorios.
- Factores genéticos que afectan a la saliva como el grado de acidez (pH).
- Producir una cantidad insuficiente de saliva debido al uso de medicamentos u otras condiciones médicas.
- Tener edad avanzada. Con el paso de los años, las encías pueden retraerse, lo que expone una mayor superficie dental a la acumulación de placa y a la formación de sarro.
Tipos de Sarro Dental
El color del sarro depende de la edad y de dónde aparece en la boca. En función de su localización, el sarro puede ser:
- Supragingival: Se acumula en la superficie visible de los dientes y encías. El sarro sobre la línea de las encías, también denominado cálculo supragingival, es amarillo o tostado.
- Subgingival: Se localiza por debajo de la línea de la encía, por lo que es más difícil de percibir. El cálculo subgingival es el sarro que aparece debajo de la línea de las encías, el cual puede ser marrón, negro o verde.

Problemas que Puede Provocar el Sarro en la Boca
Si no se elimina correctamente la placa bacteriana y se forma sarro, pueden producirse, en función del tipo de bacterias predominantes, los siguientes problemas en la boca:
- Gingivitis: La placa y el sarro irritan e inflaman las encías, que se hinchan y sangran. Se pueden formar “bolsillos” en los que pueden proliferar bacterias.
- Periodontitis: Es una forma más severa de la enfermedad de las encías, en la que los ligamentos y el hueso que soportan el diente se destruyen. Con frecuencia, desencadena la pérdida de la pieza dental.
- Caries dentales: Son agujeros o cavidades que dañan la estructura del diente. Se producen cuando las bacterias presentes en la placa metabolizan los azúcares y producen ácidos capaces de disolver el esmalte con el paso del tiempo. En un estado inicial, la caries afecta exclusivamente al esmalte dental.
- Mal aliento (halitosis): Debido a menudo a una mala higiene oral, las bacterias presentes en la boca segregan compuestos de azufre que producen un olor desagradable. Puede ocurrir que el sarro no sea visible, pero que sí se perciba el mal aliento. Los “bolsillos” que se crean por la gingivitis y periodontitis acumulan bacterias y pueden incrementar la halitosis.
- Aumento de la sensibilidad en los dientes, sobre todo al frío y/o al calor.
Además, los trastornos dentales pueden llegar a provocar una gran variedad de problemas de salud sistémicos como trastornos digestivos o enfermedades cardiovasculares, entre otros.
Tratamientos para Eliminar el Sarro Dental
A diferencia de la placa bacteriana que se puede eliminar en casa, el sarro dental no se puede eliminar con un cepillado de dientes. El sarro solamente puede eliminarse en la consulta dental, una vez formado, el cepillado y el uso de hilo dental no lo eliminan.
Para eliminar el sarro en los dientes, utilizamos un tratamiento profesional llamado tartrectomía o raspado radicular, una limpieza dental que permite extraerlo mediante el uso de instrumentos especiales. Se trata de un procedimiento indoloro y que no requiere ningún tipo de anestesia, aunque puede resultar un poco molesto para personas con elevada sensibilidad dental; en este caso, puede emplearse un espray con un anestésico local para insensibilizar el área. Asimismo, el sarro puede extraerse con un aparato que emite ultrasonidos que lo desintegran.
En el caso de que el sarro se haya acumulado bajo las encías, es necesario realizar un curetaje o raspado dental. Este implica una limpieza más profunda, que sí suele requerir la aplicación de anestesia local. Pero, en ocasiones, una profilaxis puede no ser suficiente para eliminar todo el sarro dental, sobre todo si se acumula debajo de la línea de la encía. En tal caso, la persona padecerá periodontitis y será necesario realizar un tratamiento conocido como raspado o alisado radicular.
Te 𝙀𝙭𝙥𝙡𝙞𝙘𝙤 como 𝗤𝗨𝗜𝗧𝗔𝗥 el 𝗦𝗔𝗥𝗥𝗢 💩 de los DIENTES . Así LIMPIAN los DIENTES los DENTISTAS (3 𝗠𝗲𝘁𝗼𝗱𝗼𝘀)
¿Cómo Prevenir la Formación de Sarro?
La principal forma de evitar el sarro es manteniendo una higiene bucodental correcta. Para reducir al mínimo la placa y evitar que se forme el sarro es necesario mantener una buena higiene bucal. Para ello, lo ideal es cepillarse los dientes después de cada comida, con un mínimo de dos veces al día. Pero debe hacerse de forma correcta y concienzudamente, sin olvidarnos del hilo dental o cepillos interproximales. Es preferible seguir una técnica correcta, y no importa si prefieres un cepillo eléctrico o manual.
En concreto, una higiene oral completa debe incluir los siguientes cuidados personales:
- Cepillarse los dientes cuidadosamente: Debe hacerse tras cada comida pero, sobre todo, es fundamental realizar un cepillado profundo antes de irse a dormir, cuando baja la producción de saliva y los movimientos de la lengua, ya que estos contribuyen a remover la placa bacteriana. Puede utilizarse un cepillo manual o eléctrico, aunque estos últimos han demostrado retirar la placa con mayor eficacia si cuentan con tecnología oscilatoria-rotatoria. En todo caso, se recomienda que el cepillo tenga cerdas suaves o medias y que el cabezal no sea demasiado grande para que llegue a todos los rincones de la boca.
- Cepillarse las encías: Tras los dientes, debe cepillarse con suavidad la dentadura a lo largo de la línea de las encías.
- Usar un dentífrico con flúor: El dentífrico que usemos para el cepillado debe incluir flúor en su fórmula, porque ayuda a prevenir las caries. También existe la opción de realizar enjuagues bucales fluorados tras el cepillado dental. En niños deben emplearse dentífricos adaptados a su edad en contenido de flúor.
- Limpiarse los espacios interdentales: Si existe espacio suficiente, debe emplearse un cepillo interproximal o, si no, hilo o seda dental. Ambos deben usarse al menos una vez al día, preferiblemente por la noche, con el fin de asegurar la limpieza de las caras laterales de los dientes y que no queden restos de comida entre ellos. También se puede emplear un irrigador de agua para eliminar los desechos que se encuentren entre los dientes y debajo de las encías. Es especialmente importante la limpieza con cepillo interproximal, seda o irrigador, en personas que lleven implantes o puentes, ya que los espacios entre los dientes y la retracción de las encías pueden favorecer la acumulación de placa en espacios difícilmente accesibles.
- Limpiarse la lengua: Debe frotarse suavemente hacia adelante usando el cepillo de dientes o un limpiador lingual, ya que en ella se acumulan un gran número de bacterias.
Además, los expertos recomiendan un examen rutinario de los dientes al menos una vez al año y una limpieza profesional cada seis o doce meses con el fin de eliminar el sarro, ya que este puede acumularse en los dientes incluso aunque se lleve a cabo en casa una buena higiene dental.
Consejos Adicionales
- Utilizar un irrigador: Un irrigador bucal es un sistema que, mediante agua a presión, nos permite realizar limpiezas bucales y eliminar los restos de suciedad que pueden quedar tanto en las encías como entre los dientes, accediendo a zonas que no sería posible con un cepillo de dientes. Se aconseja utilizarlo antes del cepillado, siempre con agua templada para evitar un exceso de sensibilidad y ajustando la presión para no causar daños en las encías.
- Visita periódicamente a tu dentista: No olvides cuidar de tu salud bucodental. Acude a tu dentista de confianza para que puedan revisar el estado de tus dientes.
¿Qué hacer si tus dientes tienen un tono gris?
Notar que uno o varios dientes tienen un tono gris puede generar preocupación. Este cambio de color no solo afecta la estética de la sonrisa, sino que también puede ser un indicativo de problemas dentales subyacentes. El cambio de color en los dientes puede deberse a múltiples factores, tanto internos como externos. A continuación, desglosamos las causas más comunes:
- Trauma dental: Un golpe o lesión en un diente puede causar daño al nervio y afectar su color. Cuando el nervio muere, el diente puede adquirir un tono grisáceo o incluso negro.
- Consumo de ciertos medicamentos: El uso de antibióticos como la tetraciclina durante el desarrollo dental (especialmente en la infancia) puede ocasionar manchas grises o líneas oscuras en los dientes.
- Exposición a ciertos minerales: El exceso de flúor durante la formación de los dientes (fluorosis) o el consumo de agua con alto contenido de metales puede provocar decoloraciones grises.
- Envejecimiento natural: Con el tiempo, la dentina (la capa interna del diente) se engrosa y el esmalte se adelgaza, lo que puede hacer que los dientes adopten un tono más oscuro.
- Restauraciones dentales antiguas: Coronas o empastes de metal pueden filtrar partículas al diente, dándole una apariencia grisácea.
- Manchas externas: El consumo frecuente de café, té, vino tinto o tabaco puede acumular pigmentos en la superficie dental, causando un efecto gris.
Soluciones para dientes grises
La solución ideal dependerá de la causa del cambio de color. Aquí te explicamos las opciones más comunes:
- Blanqueamiento dental profesional: Para manchas superficiales, el blanqueamiento realizado por un especialista puede aclarar el esmalte y devolver el color natural de los dientes. Este procedimiento no es adecuado para dientes con problemas internos, como traumas o nervios muertos.
- Endodoncia (tratamiento de conductos): Si el cambio de color es causado por un nervio muerto, se recomienda una endodoncia. Este tratamiento elimina el tejido afectado y permite restaurar el color del diente mediante técnicas estéticas, como el blanqueamiento interno.
- Carillas o coronas dentales: Cuando el daño al diente es significativo, las carillas de porcelana o las coronas pueden ser la mejor solución. Estas cubren el diente por completo, ofreciendo un color uniforme y natural.
- Cambiar restauraciones antiguas: Si el color gris proviene de empastes o coronas metálicas, el dentista puede reemplazarlas por materiales más modernos, como la porcelana o la resina compuesta.
- Higiene bucal y cambios de hábitos: En casos leves de manchas externas, mejorar la higiene oral y reducir el consumo de alimentos y bebidas con pigmentos puede marcar una gran diferencia. Complementa tu rutina con limpiezas dentales regulares.
- Terapias preventivas para niños: En niños con riesgo de fluorosis o manchas por medicamentos, es importante seguir las recomendaciones del dentista para evitar daños futuros.
Consejos para prevenir el tono gris en los dientes
La mejor forma de evitar dientes grises es mantener buenos hábitos de cuidado bucal y consultar al dentista regularmente. Aquí tienes algunas recomendaciones clave:
- Cepilla tus dientes dos veces al día con una pasta fluorada y utiliza hilo dental.
- Evita o modera el consumo de alimentos y bebidas que manchan, como café, té, vino tinto y tabaco.
- Usa protectores bucales durante actividades deportivas para prevenir traumas.
- Realiza limpiezas profesionales al menos dos veces al año para eliminar manchas y sarro acumulados.
- Sigue las recomendaciones del dentista en caso de tratamientos preventivos para niños, como el uso controlado de flúor.
| Tipo de Sarro | Ubicación | Color | Tratamiento |
|---|---|---|---|
| Supragingival | Sobre la línea de las encías | Amarillo o tostado | Tartrectomía (limpieza dental profesional) |
| Subgingival | Debajo de la línea de las encías | Marrón, negro o verde | Curetaje o raspado dental |