Los retenedores fijos son una parte importante del tratamiento de ortodoncia, diseñados para mantener los dientes en su nueva posición después de retirar los brackets. Sin embargo, surgen dudas sobre qué alimentos y hábitos son seguros durante esta fase. Una pregunta común es si se puede comer chicle con retenedores fijos y cuáles son los riesgos asociados.

Tipos de retenedores: Fijos y removibles.
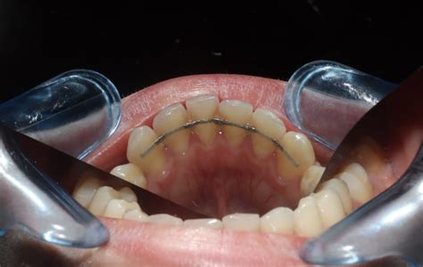
¿Qué son los retenedores fijos?
Los retenedores fijos son alambres delgados que se colocan en la parte interna de los dientes, generalmente de canino a canino, y se adhieren con un material especial. Su función es evitar que los dientes se muevan después del tratamiento de ortodoncia. A diferencia de los retenedores removibles, los fijos permanecen en la boca de forma continua.
Riesgos de comer chicle con retenedores fijos
Comer chicle con retenedores fijos puede presentar varios riesgos:
- Daño al retenedor: El chicle es pegajoso y puede ejercer presión sobre el retenedor, aflojándolo o incluso despegándolo de los dientes.
- Acumulación de placa: El chicle puede quedar atrapado entre el retenedor y los dientes, dificultando la higiene y favoreciendo la acumulación de placa bacteriana, lo que aumenta el riesgo de caries y enfermedades de las encías.
- Dificultad en la limpieza: Los restos de chicle pueden ser difíciles de eliminar, requiriendo un cepillado más exhaustivo y el uso de herramientas especiales como cepillos interdentales o hilo dental para ortodoncia.

Es importante mantener una buena higiene bucal durante el tratamiento de ortodoncia.
Alternativas a los brackets tradicionales: Invisalign
Invisalign es un tratamiento ortodóntico alternativo a los brackets tradicionales. Es un sistema de alineadores transparentes que se ajustan a los dientes para moverlos poco a poco hasta lograr una posición correcta. Los alineadores son fabricados con un material suave y transparente que se ajusta perfectamente a los dientes, lo que hace que sean prácticamente invisibles.
Invisalign se utiliza para corregir una variedad de problemas dentales, como dientes torcidos, dientes apretados, mordida abierta o cruzada y problemas de espacio entre los dientes. El tratamiento se divide en varios ciclos, y cada ciclo se compone de varios alineadores que se deben usar durante un período determinado (usualmente de 2 a 3 semanas) antes de pasar al siguiente. El tiempo total del tratamiento varía dependiendo del caso individual, pero en promedio dura entre 6 y 18 meses.
Invisalign vs. Brackets: ¿Cuál es la Mejor Opción para Ti?
Ventajas de Invisalign
- Discreción: los alineadores son transparentes y prácticamente invisibles, lo que permite que los pacientes usen el sistema de ortodoncia sin que nadie más lo note.
- Comodidad: los alineadores son fabricados con un material suave y flexible, lo que hace que sea más cómodo usarlos que los brackets tradicionales.
- Menos restricciones dietéticas: los pacientes pueden seguir comiendo sus alimentos favoritos ya que pueden quitarlos para comer y luego volver a colocarlos.
- Mayor eficacia: los alineadores son personalizados para cada paciente y están diseñados para mover los dientes de manera precisa y controlada.
- Mayor accesibilidad: Invisalign esta disponible en la mayoría de las clínicas dentales y es aceptado por la mayoría de las compañías de seguros de salud
Alimentos que debes evitar con brackets y retenedores fijos
Además del chicle, existen otros alimentos que es mejor evitar durante el tratamiento de ortodoncia con brackets o retenedores fijos:
- Alimentos duros: Frutos secos, turrones, pan tostado, hielo, etc.
- Alimentos pegajosos: Caramelos masticables, toffees, etc.
- Alimentos que requieren morder con los dientes: Manzanas enteras, mazorcas de maíz, bocadillos grandes, etc.
- Alimentos que pueden manchar: Bebidas carbonatadas, zumos de frutas artificiales, café, té, vino tinto, etc.
- Carnes con hueso: Alitas de pollo, costillas, etc.

Alimentos que debes evitar si llevas brackets.
Recomendaciones para el cuidado de los retenedores fijos
Para asegurar la durabilidad y eficacia de los retenedores fijos, es importante seguir estas recomendaciones:
- Higiene bucal rigurosa: Cepillarse los dientes después de cada comida, utilizando un cepillo de cerdas suaves y técnicas adecuadas para limpiar alrededor del retenedor.
- Uso de hilo dental: Utilizar hilo dental específico para ortodoncia o cepillos interdentales para eliminar los restos de alimentos entre los dientes y el retenedor.
- Revisiones periódicas: Acudir a las revisiones con el ortodoncista para asegurar que el retenedor está en buen estado y realizar limpiezas profesionales.
- Evitar alimentos perjudiciales: Seguir una dieta que excluya alimentos duros, pegajosos y que puedan dañar el retenedor.
Mitos comunes sobre los retenedores
- Mito: Los retenedores solo son necesarios por un corto tiempo después de quitar los brackets.Realidad: Los dientes pueden moverse durante toda la vida, por lo que el uso prolongado de retenedores es crucial para mantener la alineación.
- Mito: Si no siento que mis dientes se mueven, puedo dejar de usar los retenedores.Realidad: El movimiento dental puede ser gradual e imperceptible. El uso regular de retenedores es esencial para prevenir la recidiva.
- Mito: Todos los retenedores son iguales.Realidad: Existen diferentes tipos de retenedores (fijos y removibles) con diferentes niveles de eficacia y comodidad. La elección depende de las necesidades individuales y las recomendaciones del ortodoncista.
Alternativas si deseas masticar chicle
Si sientes la necesidad de masticar chicle, considera estas alternativas:
- Chicles sin azúcar: Opta por chicles sin azúcar que contengan xilitol, un edulcorante que puede ayudar a prevenir las caries.
- Masticar con moderación: Si decides masticar chicle, hazlo con moderación y asegúrate de que no sea demasiado pegajoso.
- Retirar el chicle antes de que se ablande: Evita que el chicle se ablande demasiado, ya que esto aumenta el riesgo de que se pegue al retenedor.
- Limpieza inmediata: Después de masticar chicle, cepíllate los dientes y utiliza hilo dental para eliminar cualquier residuo.
¿Qué hacer si se despega el retenedor?
Si notas que el retenedor fijo se ha despegado, es importante que sigas estos pasos:
- Contacta a tu ortodoncista: Llama a tu ortodoncista lo antes posible para programar una cita. No intentes arreglar el retenedor por tu cuenta.
- Evita manipular el retenedor: No toques ni manipules el retenedor despegado para evitar dañarlo más.
- Mantén la higiene: Continúa cepillándote los dientes y usando hilo dental con cuidado para mantener la zona limpia hasta que puedas ver a tu ortodoncista.
- Usa un retenedor removible (si lo tienes): Si tienes un retenedor removible, úsalo según las indicaciones de tu ortodoncista para ayudar a mantener la alineación de tus dientes mientras esperas la reparación del retenedor fijo.
- Sigue las recomendaciones de tu ortodoncista: Tu ortodoncista te dará instrucciones específicas sobre cómo proceder, que pueden incluir la reparación o el reemplazo del retenedor.
Conclusión
Si bien masticar chicle puede parecer inofensivo, hacerlo con retenedores fijos conlleva riesgos que pueden comprometer la eficacia del tratamiento. Es mejor evitar el chicle y optar por alternativas más seguras para mantener una buena higiene bucal y proteger tus retenedores. Siguiendo las recomendaciones de tu ortodoncista y manteniendo una dieta adecuada, podrás disfrutar de una sonrisa saludable y bien alineada a largo plazo.