¿Quieres una sonrisa perfecta? Descubre tus opciones en carillas aquí. Esta guía te proporcionará toda la información necesaria sobre los tipos de carillas dentales y precios, para que tomes decisiones informadas y ajustadas a tu presupuesto y expectativas estéticas. En Clínica Ferrus & Bratos, entendemos que elegir un procedimiento de estética dental es una elección relevante. Por ello, hemos preparado esta guía detallada sobre los tipos de carillas dentales y sus precios, con el fin de ayudarte a decidir según tus necesidades estéticas y capacidad presupuestaria.
Carillas dentales: todo lo que debes saber antes de ponértelas
Cuando se trata de transformar una sonrisa, es fundamental identificar qué clase de carillas dentales están disponibles:
- Carillas de composite: recomendadas para quienes buscan una alternativa rápida, económica y con buenos resultados visuales.
- Carillas de porcelana: ideales para quienes desean un acabado más natural y de larga duración.
Ambas opciones se utilizan en función de las condiciones clínicas de cada paciente, siempre tras la evaluación individualizada de nuestros expertos.
Tipos de carillas dentales y sus características
Hoy en día, las carillas pueden fabricarse con distintos materiales, como composite o porcelana (disilicato de litio, feldespáticas…). Aunque todos estos materiales presentan unos buenos estándares de calidad, cada uno de ellos cuenta con sus particularidades en términos de estética, resistencia, durabilidad, necesidad de realizar tallado, etc.
Dado que las carillas dentales más utilizadas son las de porcelana (e.max y Lumineers) y las de composite, vamos a detallar los beneficios e inconvenientes que presentan cada una de ellas.
Carillas de composite
Las carillas de composite son una alternativa demandada entre nuestros pacientes en Madrid. Su ventaja principal es que se colocan en una sola sesión y permiten mejorar pequeñas imperfecciones sin modificar en exceso el diente original. Además, su coste reducido en comparación con otras opciones las convierte en una elección popular entre quienes buscan optimizar su sonrisa sin un gran desembolso. Son particularmente útiles en casos donde se busca una transformación notable pero asequible.
Este tipo de carillas suelen tener un grosor de entre 0,3 y 1,2 mm.
Carillas de porcelana
Las carillas de porcelana simbolizan la excelencia en estética dental. En nuestra clínica colaboramos con laboratorios de prestigio para diseñar piezas totalmente individualizadas. Su resistencia y similitud con el diente natural las convierten en la opción ideal para quienes desean una sonrisa armónica y de larga duración. Su proceso de fabricación incluye la selección de tonalidades, simulaciones digitales y un tallado preciso, garantizando un resultado estético superior. Aunque su inversión es mayor, su durabilidad y naturalidad respaldan el coste.
Las carillas Emax están hechas de disilicato de litio, un material altamente estético y duradero.

Duración de las carillas
Las carillas dentales de porcelana tienen una duración mayor que las de composite, pudiendo resistir en perfectas condiciones hasta 15 años, y además no pierden su color ni se tiñen. Esta duración depende en gran medida de que el paciente siga las instrucciones de su odontólogo relativas a mantenimiento y cuidados. En contraposición, la duración de las carillas dentales de composite es de un máximo de cinco años aproximadamente.
Para llegar a este plazo, es necesario acudir a revisiones de mantenimiento y que el dentista realice el pulido de las carillas dentales. Además, será más fácil que las carillas dentales duren cinco años en buen estado si el paciente sigue unos buenos hábitos en cuanto a higiene y dieta.
La duración de las carillas dentales está determinada por diversos factores, como los cuidados que siga el paciente en cuanto a higiene oral, alimentación, tabaco, hábitos, revisiones con el dentista, etc. Adicionalmente, la durabilidad del tratamiento también depende del material con el que están fabricadas las carillas y de la técnica de colocación (directa o indirecta). Por ello, no resulta posible determinar de antemano cuánto tiempo duran las carillas dentales. Lo que sí podemos decirte es que, con unos cuidados y unos mantenimientos adecuados, son un tratamiento pensado para durar a largo plazo.
Precio de las carillas dentales
El coste de las carillas dentales en Madrid puede variar significativamente dependiendo del material, la cantidad de piezas y la técnica empleada. En nuestra clínica, ofrecemos una relación calidad-precio clara que asegura resultados sobresalientes. En Ferrus & Bratos, cada tratamiento se personaliza para adaptarse a tu sonrisa y expectativas.
¿Cuánto cuestan las carillas dentales? Esta es una de las preguntas que más nos hacen nuestros pacientes. Sin embargo, no siempre podemos ofrecer la misma respuesta, ya que el precio del tratamiento depende del caso de cada paciente.
En España, el precio de un tratamiento con carillas dentales parte de unos 1.120 euros. Sin embargo, hay que tener en cuenta que el precio del tratamiento varía en función del número de carillas que se necesiten.
El precio de las carillas varía según el material elegido.
- Carillas de porcelana: ofrecen una calidad, estética y durabilidad superior (alrededor de 15 años). Por ello, su precio también es más alto.
- Carillas de composite: son más económicas que las de porcelana. Esto se debe a que, por lo general, duran menos tiempo (alrededor de cinco años).

El presupuesto total dependerá del número de carillas requeridas (normalmente entre 8 y 10 por arcada) y del material elegido. En Ferrus & Bratos, cada procedimiento es único. Nuestros tratamientos incluyen una planificación detallada y simulaciones digitales estéticas.
Ten en cuenta que algunos tipos de carillas, como las de composite estratificado, pueden requerir un trabajo muy manual durante su diseño y colocación. Dicho esto, sea cual sea la carilla elegida, la visión global y el gusto estético del dentista también determinarán, en gran medida, el éxito del tratamiento.
El precio medio de las carillas de composite es de 295 euros por diente.
Oscila entre 250 € y 1200 € por unidad.
Factores que influyen en el precio
- Tipo de carilla (material): no es lo mismo colocar una carilla de cerámica estratificada que una carilla CAD-CAM o una carilla Lumineers.
- Número de dientes: las carillas dentales no se colocan en todas las piezas dentales, sino que se utilizan solamente en los dientes que son visibles al sonreír.
- Laboratorio o técnico protésico que realiza las carillas. Los resultados más naturales, las carillas más duraderas y las que consiguen los resultados más bonitos son realizadas en laboratorios donde los técnicos son artistas que consiguen imitar con mucha exactitud el aspecto de los dientes naturales, estos laboratorios siempre tienen costos más elevados.
Como habrás podido comprobar, en el precio de las carillas dentales influyen varios factores. Para determinar ambas cuestiones, es imprescindible ser valorado por un dentista.
No obstante, para tener una idea aproximada del presupuesto, el precio medio de las carillas de composite es de 295 euros por diente. Es importante destacar que estos precios son aproximados y que el coste final dependerá de cada caso particular y del número de dientes a tratar.
Como has podido comprobar a lo largo de este artículo, el precio de las carillas dentales depende de varios factores.
¿Cuándo se recomienda colocar carillas?
La colocación de carillas dentales se recomienda cuando se quiere mejorar la estética dental. Los pacientes que desean corregir problemas de color, tamaño, forma o posición de los dientes pueden optar por este tratamiento estético. Es importante mencionar que la colocación de carillas dentales no es un tratamiento médico, sino estético. Por lo tanto, es esencial que el paciente tenga una buena salud bucal antes de someterse a este procedimiento.
Una de las dudas más comunes que recibimos es: ¿cuesta colocar carillas en todos los dientes visibles?
En este punto, tenemos buenas noticias para tu bolsillo, ya que las carillas no se colocan en todos los dientes de la boca, sino únicamente en el frente estético. Normalmente, se ponen en los seis dientes delanteros superiores, que son los más visibles al sonreír: dos incisivos centrales, dos incisivos laterales y dos colmillos. No obstante, en algunos casos se pueden llegar a colocar carillas en los premolares, por lo que habría que poner diez carillas en total en la arcada superior.
Proceso de colocación
La colocación de carillas dentales exige llevar a cabo una serie de pasos muy minuciosos. Se lleva a cabo la preparación del diente para poder colocar la carilla. Por último, las carillas dentales se cementan a los dientes del paciente.
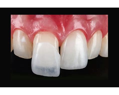
La colocación de carillas dentales es un procedimiento sencillo y mínimamente invasivo que generalmente se realiza en dos o tres visitas al dentista. En la segunda visita, el dentista prepara los dientes para la colocación de las carillas, lo que implica retirar una fina capa de esmalte de la superficie del diente para que la carilla pueda adherirse de manera efectiva. Es lo que se conoce como tallado dental. En la tercera y última visita, el dentista retira las carillas provisionales y coloca las carillas definitivas con un cemento especial. Luego, se realiza un ajuste y pulido final para lograr un resultado perfecto y natural.

Pasos del proceso
- Consulta inicial: En la primera consulta, el dentista examinará los dientes del paciente, tomará radiografías y discutirá los objetivos estéticos del tratamiento.
- Preparación de los dientes: En la siguiente visita, el dentista preparará los dientes para la colocación de las carillas. Esto puede implicar la eliminación de una pequeña cantidad de esmalte dental de la superficie del diente, lo que permitirá que la carilla se adhiera mejor.
- Colocación de las carillas: En la siguiente visita, el dentista colocará las carillas en los dientes preparados. Antes de hacerlo, comprobará que encajen perfectamente en los dientes y que el color y la forma sean adecuados.
- Ajuste y pulido: Una vez colocadas las carillas, el dentista las ajustará para asegurarse de que encajen correctamente y se sientan cómodas en la boca.
En general, el proceso de colocación de carillas dentales es un procedimiento seguro y efectivo que mejora significativamente la apariencia de los dientes y la sonrisa del paciente.
Consideraciones adicionales
Esta es otra consulta frecuente entre nuestros pacientes. En realidad, no hay una única “mejor” alternativa, sino la que mejor se adapte a tu situación particular. En Ferrus & Bratos te orientamos con claridad y profesionalismo para que elijas con seguridad. ¿Qué tipo de carillas dentales son las más recomendadas? Depende de tus necesidades.
Hoy en día, podemos decir que, gracias a los avances y a las últimas tecnologías en Odontología Estética, las carillas dentales no dañan los dientes.
Tradicionalmente, las carillas dentales de composite siempre han exigido tallar menos el diente que las de porcelana. Dicho esto, la necesidad de realizar el tallado depende de dos factores: la posición y el color. Si ambos aspectos son adecuados, no será necesario hacerlo. En cambio, si el diente se encuentra excesivamente adelantado o tiene un color muy amarillo sí que es necesario “tocar” la pieza dental. En estos casos, se llevará a cabo un tallado dental bajo anestesia local.
No, las carillas dentales no se pueden blanquear. Por ello, antes de colocarse una carilla es necesario asegurarse de que el color es el adecuado. Esto se consigue mediante las pruebas que realiza el odontólogo al paciente, en las que se determina cuáles son el color, la forma, el tamaño o la posición más adecuados. Además, a la hora de pensar en el color también es importante tener en cuenta el grosor de la carilla. La mayoría de las carillas estéticas que colocamos son E-max o Lumineers. Esto quiere decir que tienen un grosor mínimo y que, además, son translúcidas para aportar naturalidad. Por tanto, si el color de nuestros dientes es amarillo y colocamos la carilla encima, este tono se transparentará y la sonrisa tendrá un aspecto amarillento.
La forma más sencilla de saber si este es el tratamiento indicado para ti es conociendo la opinión de nuestros pacientes con carillas dentales.
Cuidados posteriores
A la hora de responder a esta pregunta es importante hacerse una idea de los años que van a durar las carillas dentales. Dichas indicaciones se centran en cepillarse los dientes después de cada comida, usar la seda dental, evitar el tabaco, utilizar una férula protectora por las noches y acudir al dentista con la regularidad establecida por este (normalmente, entre una y dos veces al año). Adicionalmente, es aconsejable tener ciertas precauciones al comer alimentos muy duros, disminuir el consumo de comidas o bebidas con mucha coloración y tener cuidado con ciertos movimientos al masticar.
Contraindicaciones
El tratamiento de carillas dentales ofrece una serie de beneficios que hemos ido desgranando en este artículo. A grandes rasgos, podemos decir que lo mejor de las carillas es que ofrecen una mejora estética de la sonrisa a corto plazo.
Hay personas que están interesados en llevar carillas dentales para mejorar su sonrisa pero tienen malposiciones muy severas. Esto hace que los profesionales recomienden al paciente la posibilidad de llevar ortodoncia. Cuando el paciente no tiene una buena mordida (clase II, clase III, mordida cruzada…) las carillas dentales también pueden estar contraindicadas porque hay riesgo de rotura. Aunque en muchas ocasiones el hecho de padecer bruxismo se presente como una contraindicación, lo cierto es que en Ferrus&Bratos tratamos a pacientes que tienen este hábito y llevan carillas estéticas.
No contar con una adecuada higiene bucodental no solamente es perjudicial para la salud dental, sino también para usar carillas dentales. La acumulación de sarro conlleva la aparición de inflamaciones en las encías o filtraciones.
Si aun crees que las carillas están contraindicadas o pueden resultar un problema para ti, lo más adecuado es que acudas a un dentista especializado en Estética Dental avanzada. De esta manera, podrás saber con certeza cuál es el tratamiento que más se adapta a tus necesidades.