La radiografía dental es una herramienta esencial para diagnosticar enfermedades y lesiones que no son visibles en una exploración clínica. Hoy nos centraremos en las lesiones de caries, ya que son uno de los problemas con mayor incidencia y un elevado porcentaje no serían detectadas sin las radiografías.

Las radiografías dentales nos pueden revelar:
- Infecciones (abscesos o quistes).
- Pérdida de hueso.
- Tumores.
- Anomalías del desarrollo.
- Caries dentales interproximales o en zonas no visibles.
- Fracturas.
- Cálculo subgingival.
¿Qué tipo de radiografía es útil para diagnosticar las caries?
No cualquier tipo de radiografía es útil para diagnosticar las caries. Las idóneas para la detección de caries son las radiografías periapicales o las de “aleta de mordida”. Son radiografías de pequeño tamaño y alta sensibilidad que nos muestran con gran detalle las coronas y raíces de los dientes.
La ortopantomografía (radiografía de toda la boca) nos ayudará a determinar el nivel óseo general, presencia de terceros molares (muelas del juicio), lesiones en las raíces de los dientes (granulomas infecciosos), etc.

En Clínicas Dentales Jorge Mato, consideramos que las radiografías dentales son una parte esencial de nuestro enfoque en la detección temprana de caries.
¿Cómo se ve una caries en una radiografía?
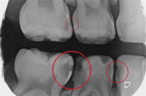
La desmineralización y destrucción de las capas del diente se observa como una imagen radiolúcida (zona negra alrededor/dentro del diente). En la imagen que señala la flecha vemos una imagen radiolúcida (oscura) que indica la falta de material dental, la presencia de una zona “hueca”. Caries.

En la consulta dental realizamos controles radiográficos periódicos. Se hacen cada 6, 9 o 12 meses, dependiendo del riesgo de caries del paciente, la presencia de múltiples reconstrucciones interproximales (interdentales), etc.
En obturaciones antiguas (empastes/reconstrucciones) controlaremos que los márgenes de las restauraciones estén correctos, ya que en el material artificial no se producirán caries, pero en el tejido dental de alrededor sí podrían aparecer filtraciones.
¿QUÉ VEMOS EN UNA RADIOGRAFÍA DENTAL?: CÓMO ANALIZAR Y DESCIFRAR UNA RADIOGRAFÍA DENTAL. TEMARIO 34.
¿Cómo prevenir las caries interproximales?
Las caries interproximales (las que están entre diente y diente) podemos prevenirlas utilizando seda dental después del cepillado. Normalmente se forman por la acumulación de restos de alimentos entre los dientes que, después de las comidas, no retiramos de forma adecuada.
Esa acumulación es la que provoca los ácidos y la proliferación bacteriana que resultará en un proceso de caries. Cuando detectamos un brote de caries debemos preguntarnos si hemos llevado a cabo algún cambio de hábito en nuestra dieta, como puede ser la ingesta de fruta entre horas, comer snacks que contengan hidratos de carbono, ingesta de zumos o batidos, etc., ya que todos ellos son alimentos que dejarán azúcares residuales hasta que podamos realizar un cepillado dental.
Tabla resumen de tipos de radiografías y su uso en la detección de caries
| Tipo de Radiografía | Utilidad en la detección de caries |
|---|---|
| Radiografías periapicales | Muestran con detalle coronas y raíces, ideales para detectar caries. |
| Radiografías de aleta de mordida | Alta sensibilidad para detectar caries interproximales. |
| Ortopantomografía | Útil para evaluar el nivel óseo general y otras lesiones, pero menos precisa para caries incipientes. |
Es importante tener en cuenta que el diagnóstico temprano de las caries repercutirá en un mejor pronóstico del diente. Si no se realiza un control periódico, las caries incipientes (iniciales) van avanzando y pueden llegar a afectar la pulpa dental (nervio).
En la Clínica Gonzalvo somos expertos en garantizar una plena salud bucodental, cuando nos visites, uno de nuestros especialistas valorará tu situación mediante un análisis detallado, además de ofrecerte las pautas necesarias para que lleves a cabo hábitos saludables para tus encías y dientes.