El hueso dental, específicamente el hueso alveolar, juega un papel fundamental en la salud y estética bucal de un individuo. Sin embargo, muchas personas no son conscientes de su importancia hasta que comienzan a enfrentar problemas relacionados con su pérdida.
La pérdida de hueso dental no solo afecta la estructura facial y la apariencia de una persona, sino que también tiene serias implicaciones para la funcionalidad de la boca. En este artículo, abordaremos a fondo la naturaleza y la función del hueso alveolar, las razones detrás de su pérdida, las consecuencias a las que lleva y las soluciones disponibles.
¿Sabías que el hueso dental no solo sostiene tus dientes, sino que también es clave para tu sonrisa y la forma de tu rostro? Cuando este hueso se pierde, no solo hablamos de problemas bucales, sino también de cambios estéticos y funcionales que afectan la calidad de vida.
Soy el Dr. y lo veo cada día en mi trabajo como cirujano: afecta a la función masticatoria, la estética y la salud general de mis pacientes. Si notas encías retraídas, dientes flojos o tienes ausencias dentales, no lo dejes pasar.

¿Qué es la pérdida de hueso dental?
La pérdida de hueso dental se refiere al deterioro o disminución de la masa ósea que rodea y sostiene los dientes. Este hueso alveolar es esencial para mantener los dientes firmes en su lugar y proporcionar un soporte adecuado para masticar y hablar. Cuando se pierde masa ósea en esta zona, los dientes pueden comenzar a moverse, lo que lleva a problemas de estabilidad y funcionalidad en la boca.
Características de la pérdida de hueso dental:
- Reducción de la masa ósea: Disminución gradual del tejido óseo en la mandíbula o maxilar.
- Exposición de las raíces dentales: Al reducirse el hueso, las raíces de los dientes pueden quedar expuestas.
- Cambios en la estructura facial: En casos graves, la pérdida de hueso dental puede afectar la apariencia del rostro.
Este deterioro óseo puede progresar de manera lenta pero constante, y la intervención temprana es clave para evitar complicaciones graves.
Anatomía del Hueso Alveolar
El hueso dental, o hueso que rodea a los dientes, también llamado hueso alveolar, es el encargado de sujetar las raíces de los dientes. Sin él, los dientes no tienen apoyo y pueden moverse, aflojarse o incluso caerse.
El hueso alveolar, ubicado en el maxilar superior e inferior, contiene las cavidades donde se alojan las raíces de los dientes. Cada diente está fijado a un hueco denominado alvéolo. Dentro del hueso hay perforaciones que contienen los vasos sanguíneos.
El hueso alveolar es dinámico y puede cambiar en respuesta a estímulos, como la presión ortodóntica o la pérdida de un diente.
Causas principales de la pérdida de hueso dental
La pérdida de hueso dental tiene diversas causas, algunas de las cuales son prevenibles con una buena higiene y cuidados dentales. A continuación, enumeramos las principales causas de este problema:

1. Enfermedad Periodontal:
La pérdida ósea del hueso es una consecuencia común de la periodontitis crónica. La periodontitis es la causa más común de pérdida de hueso dental. Esta infección es en mi opinión la razón más peligrosa: afecta a las encías, muchas veces es prácticamente asintomática y, si no se trata a tiempo, avanza hasta destruir el hueso que sostiene los dientes.
La gingivitis y periodontitis están provocadas por una insuficiente higiene bucodental. Una enfermedad de la encía como esta suele aparecer por la insuficiente higiene bucal, provocando que las bacterias que se encuentren en la placa dental penetren debajo de las encías y vayan deteriorando el hueso y los ligamentos.
2. Pérdida o extracción de dientes:
Falta de implantes: La causa más habitual de disminución de la densidad ósea es la pérdida de dientes que no se reemplazan. La causa más común de pérdida ósea es la pérdida de dientes que no se reemplazan, especialmente cuando son varios dientes seguidos. Cuando falta un diente, el hueso que lo sostenía deja de recibir estímulo. Como se ha explicado anteriormente, el hueso de los maxilares se conserva mediante la presión y el estímulo de masticar. Es vital tener cuidado con la reabsorción ósea causada por la pérdida de molares en el maxilar superior.
3. Traumatismos:
Un accidente o un golpe fuerte puede fracturar el hueso alveolar o dañar la raíz de un diente. Golpes fuertes o lesiones en los dientes pueden dañar el hueso y llevar a su deterioro. Las fracturas o desplazamientos de dientes afectan también el hueso circundante.
4. Enfermedades sistémicas:
Condiciones como la osteoporosis afectan la densidad ósea en todo el cuerpo, incluida la mandíbula. Algunas enfermedades sistémicas reducen la capacidad del cuerpo para mantener la masa ósea.
Quien tiene diabetes tipo 2 suelen tener más problemas relacionados con las enfermedades periodontales. La diabetes de tipo 2 puede aumentar el riesgo de enfermedades periodontales, lo que a su vez puede llevar a la pérdida de hueso dental.
5. Prótesis dentales mal ajustadas:
Las prótesis dentales que no encajan bien ejercen una presión inadecuada sobre las encías y el hueso, generando un desgaste progresivo. Al contrario, las dentaduras postizas pueden acelerar la pérdida ósea al desgastar las crestas del hueso sobre las que se colocan. Cada vez que se mastica o se aprietan los dientes, se está ejerciendo presión sobre la cresta, lo que provoca en consecuencia su reabsorción.
6. Bruxismo
Rechinar o apretar los dientes de forma habitual somete a los huesos a un estrés constante, lo que favorece la pérdida ósea.
Evitar estas causas, en la medida de lo posible, ayuda a mantener una buena salud ósea dental y prevenir complicaciones a largo plazo.
Consecuencias de la pérdida de hueso dental en la salud bucal
La pérdida de hueso dental no solo afecta los dientes y las encías, sino que puede tener repercusiones en la salud bucal y la calidad de vida en general. Estos son algunos de los efectos negativos que puede provocar:

- Movilidad de los dientes: Al no contar con suficiente soporte óseo, los dientes pueden moverse, lo cual dificulta la masticación y el habla. Cuando la masa ósea se reduce, los dientes pierden soporte y pueden moverse, inclinarse e incluso rotar.
- Pérdida de estabilidad: La reducción de masa ósea debilita las encías y los dientes, aumentando el riesgo de perder dientes adicionales. Además, esta reducción de masa ósea pone en peligro el sustento de los dientes, por lo que de no ser tratados a tiempo, pueden terminar cayendo.
- Cambios en la apariencia facial: La disminución de hueso en el maxilar o la mandíbula puede afectar la estructura del rostro, provocando un aspecto envejecido. Las personas que usan dentaduras postizas pueden experimentar otra consecuencia grave de la pérdida ósea: el colapso del tercio inferior de la cara. La pérdida del hueso de la cresta acerca la barbilla a la nariz, lo que hace que la mandíbula sobresalga y la nariz parezca sobresalir más porque el labio superior se ha arrugado. Aparecen arrugas profundas alrededor de la boca y la piel de las mejillas se vuelve flácida.
- Mayor riesgo de infecciones: La exposición de las raíces dentales y el debilitamiento de las encías incrementan el riesgo de infecciones y abscesos.
- Dificultad para colocar implantes dentales: La falta de hueso adecuado dificulta la colocación de implantes dentales para reemplazar dientes perdidos. La colocación de un implante requiere de una base ósea firme.
- Retraimiento de los labios: Al reducirse el volumen y la densidad del hueso maxilar, los labios tienden a retraerse. Los labios tienden a irse hacia adentro, pues no hay dientes que los sujeten.
- Arrugas de expresión sobre el labio superior: es consecuencia directa del punto anterior, porque trae consigo la aparición de arrugas.
- Modificación de la oclusión: Con la reducción del hueso, los dientes se inclinan, rotan y se mueven en general.
Estas consecuencias pueden afectar significativamente la funcionalidad y estética de la boca, por lo que es crucial abordar la pérdida de hueso dental de forma temprana y adecuada.
¿Cómo se detecta la pérdida de hueso dental?
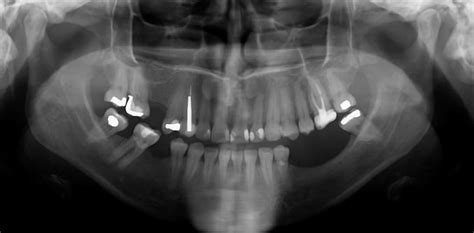
La pérdida de masa ósea se identifica mediante radiografías panorámicas y TAC dental 3D. Las imágenes 3D permiten detectar precozmente la baja densidad del hueso alveolar. Aunque la pérdida ósea puede ser imperceptible para el paciente, es crucial visitar al dentista semestralmente para detectar anomalías a tiempo.
Síntomas de la pérdida de hueso dental:
- Encías retraídas: las encías pueden alejarse de los dientes, haciendo que estos parezcan más largos, incluso dejando en descubierto partes de las raíces dentales.
- Dientes flojos: uno de los síntomas más evidentes de la pérdida de hueso dental es la movilidad de los dientes. El síntoma más evidente es la movilidad dental debido a enfermedades periodontales avanzadas.
- Cambios en la apariencia dental: los dientes se pueden volver inestables, y las encías retroceden, la apariencia de la sonrisa puede cambiar.
- Problemas con las dentaduras postizas: si se usan prótesis removibles para reemplazar dientes ausentes, es posible que dejen de ajustarse adecuadamente debido a la pérdida ósea.
Opciones de tratamiento para la pérdida de hueso dental
Existen varias opciones de tratamiento para la pérdida de hueso dental, dependiendo de la causa y el grado de deterioro. Aquí presentamos algunas de las alternativas más efectivas para restaurar y proteger la salud ósea dental:
Tratamientos Principales:

1. Injerto óseo:
Este procedimiento implica la colocación de material óseo en el área afectada para promover la regeneración del hueso perdido. Es una técnica efectiva para recuperar volumen óseo y crear una base sólida para posibles implantes dentales.
Cuando la pérdida es significativa, se puede recurrir a un injerto óseo. En los casos en los que ya se ha perdido hueso, es posible que se necesite un injerto de hueso para proporcionar una base ósea suficiente para la colocación de implantes dentales. Un injerto de hueso no solo reemplaza el hueso perdido, sino que también estimula la mandíbula para que vuelva a crecer y eventualmente reemplaza el injerto de hueso con el propio hueso sano del paciente.
2. Implantes dentales:
Los implantes ayudan a estimular el hueso de la mandíbula al proporcionar una raíz artificial que reemplaza el diente perdido. Este estímulo ayuda a prevenir la pérdida ósea futura y restaura la funcionalidad y apariencia de la boca.
En casos de extracciones dentales, la solución más eficaz es la sustitución inmediata del diente a través de implantes. Los implantes dentales actúan del mismo modo que los dientes naturales, contribuyendo a la estimulación y el crecimiento del hueso. Los implantes sustituyen las raíces de los dientes y se fusionan con ellos mediante la osteointegración con los tejidos bucodentales.
La pérdida ósea se puede prevenir colocando dientes de reemplazo con una raíz que pueda ejercer la misma presión o una presión similar a la de los dientes naturales. Un implante de un solo diente o un puente dental con tres o cuatro dientes sostenidos por dos implantes proporcionan un poder de masticación del 99% de la fuerza de mordida natural.
Implantes dentales sin hueso: ¿Qué soluciones hay?
3. Regeneración tisular guiada:
Esta técnica emplea una membrana para separar el hueso de las encías y permitir que el hueso se regenere. Es común en tratamientos de periodontitis avanzada y otros casos de pérdida ósea significativa.
4. Plasma rico en plaquetas (PRP):
El PRP utiliza factores de crecimiento tomados de la propia sangre del paciente para estimular la regeneración ósea y de tejidos blandos. Es un tratamiento regenerativo que acelera la cicatrización y mejora los resultados de injertos óseos y otros procedimientos.
Cada uno de estos tratamientos tiene beneficios específicos y debe ser evaluado por un especialista que pueda recomendar el enfoque más adecuado para cada paciente.
¿Cómo se puede prevenir la pérdida del hueso dental?
- Mantén una buena rutina de higiene dental para eliminar las bacterias de la cavidad bucal.
- Ten en cuenta que una dieta saludable y un estilo de vida sanos estimulan tu sistema inmunológico.
- La mejor forma de prevenir la pérdida de hueso es acudiendo a revisiones periódicas con un especialista en odontología.
Recomendaciones Finales
- Si crees que has perdido el hueso maxilar o te falta alguna pieza dental, no lo dejes pasar y busca una solución.
- Lo que siempre digo a mis pacientes es que el mejor tratamiento para la pérdida de hueso dental y otros problemas es la prevención.
- Una buena higiene bucal, visitas regulares al dentista y un manejo adecuado de las condiciones médicas subyacentes son fundamentales para prevenir la pérdida de hueso dental y mantener una salud bucal óptima.
En Salud Dental Blanco, ofrecemos soluciones personalizadas, sin importar tienes poco o nada de hueso. Somos expertos en implantes corticales y cigomáticos para luego instalar piezas artificiales. Si es necesario, también realizamos injertos óseos antes de los implantes. En nuestro centro de salud bucodental, puedes obtener dientes fijos en solo 24 horas, incluso si tienes poco o nada de hueso. En Salud Dental Blanco vamos a ayudarte. Pide tu primera consulta gratis.