La Sociedad Venezolana de Endodoncia es una organización clave para los profesionales de la odontología en Venezuela y Latinoamérica. A través de congresos, cursos y programas de actualización, la sociedad promueve la excelencia en la práctica de la endodoncia, adaptándose a los avances tecnológicos y científicos del campo.

El reciclaje profesional se ha convertido en una necesidad imperante en un mercado laboral cada vez más competitivo. Los odontólogos deben adaptarse a un entorno en constante evolución, lo que incluye la adopción de nuevas tecnologías y técnicas.
"MICROSCOPÍA EN ENDODONCIA"
Avances Tecnológicos y su Impacto en la Endodoncia
Hay avances que van marcando importantes cambios en el quehacer endodóntico. Desde el punto de vista clínico el uso de magnificacion (microscopio operatorio); si bien data de los 90, aun no se termina de aceptar como un estándar en los profesionales que desarrollan la especialidad. El uso de magnificacion debería ser de uso obligatorio porque optimiza el alcance del clínico en la solución de situaciones complejas.

En cuanto al desarrollo de instrumentos endodónticos, vivimos un momento fascinante, donde la competencia entre las casas comerciales ha generado el desarrollo de instrumentos rotatorios y reciprocantes con nuevos diseños en su confección y con nuevos metales que los hacen más eficientes en corte y mucho más seguros durante su uso.
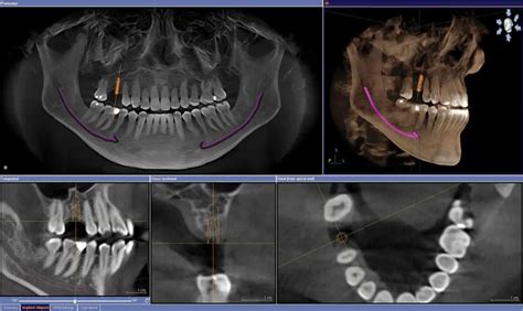
Tomografía Volumétrica en la Planificación de Tratamientos
El uso de la tomografía volumétrica se va incorporando cada vez con mayor aceptación por parte de los clínicos. La planificación de casos iniciales y del retratamiento convencional y quirúrgico con tomografía 3D, ha ayudado a la creación de conceptos y protocolos de aproximación mínimamente invasivos, con la consecuente disminución de desgastes innecesarios de estructura dentaria.

Si bien aún no existe una contundente evidencia científica que respalde estos protocolos, los estudios que van apareciendo sugieren que la estructura que se conserva va a favor de mantener a dientes más estable desde el punto de vista funcional.
Enfoque Clínico y Evidencia Científica
Nuestro curso esta enfocado en la actualización del profesional que siente inclinación hacia la Endodoncia y hacia los especialistas del área. Hacemos un enfoque muy clínico, pero siempre sustentado en evidencia científica. Hacemos que el participante piense...se replantee y cuestione sus conocimientos y la forma en que esta aplicando estos en sus pacientes.
Existen protocolos bien definidos en cuanto a Revascularización o regeneración en endodoncia. El uso de biomateriales ha expandido el alcance de la terapéutica permitiendo mantener dientes en boca con protocolos sencillos de tratamiento, incluso al alcance del práctico general.
Impacto de Cursos y Talleres en la Práctica Profesional
Es frecuente que después de una plática o curso, el participante se cuestione a sí mismo su forma tradicional de trabajo y normalmente se replantee cambios en la forma como venía haciendo las cosas. Todo curso tiene una parte inspiradora y motivadora que nos impulsa a ser mejores y a intentar aplicar lo escuchado y/o aprendido.
Algunos conceptos y técnicas son más fáciles de incorporar a la práctica diaria que otras. Algunas técnicas necesitan de equipamiento y tecnologías especialmente diseñadas, que tendrían que esperar a ser adquiridas para su uso.
Prevención de Accidentes y Sentido Común
Todo accidente es una situación desafortunada, donde el clínico tiene una alta responsabilidad en ello. Analizar minuciosamente cada diente que nos toque atender, intentando recabar la mayor información posible durante la anamnesis. Tomar RX periapicales en varios ángulos de ser posible. No trabar las agujas de irrigación en el conducto.
Quizás lo más importante - y a veces carecemos de ello -, es "SENTIDO COMÚN" en nuestro día a día.
Desafíos en el Mercado Laboral Odontológico
Considero que existe un gran número de odontólogos egresando de las Universidades, saturando el mercado laboral, generándose competencia en dicho mercado en base a precios y no en base a capacidades profesionales individuales. Por otro lado, existe una distribución inadecuada de los profesionales, encontrándose zonas urbanas abarrotadas de clínicas y zonas rurales sin la debida atención (al menos ocurre en países Latinoamericanos. Desconozco si esto pasa en España).
La atención de pacientes a través de franquicias son un gran problema porque (sin querer llegar a generalizar), la calidad de los tratamientos no es la mejor. Necesidad y obligatoriedad de actualización del odontólogo debido al rápido avance del conocimiento.
tags: #sociedad #venezolana #de #endodoncia