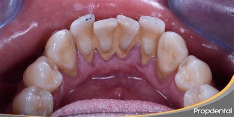
Una capa de suciedad en tus dientes puede indicar que tienes sarro. ¿Últimamente has notado manchas amarillas o marrones en tus dientes que parecen imposibles de eliminar con el cepillado regular? Si es así, lo más probable es que estés lidiando con sarro.
El sarro dental es uno de los problemas bucodentales más comunes que afecta a millones de personas. El sarro, también conocido como tártaro dental o cálculo dental, es una acumulación endurecida de placa bacteriana que se forma en los dientes cuando esta no se elimina adecuadamente. A diferencia de la placa bacteriana, el sarro no se puede eliminar con el cepillado doméstico y requiere atención profesional.
El sarro, también conocido como cálculo dental o tártaro, puede producir uno de los problemas bucodentales más frecuentes, a pesar de que muchas personas no le dan demasiada importancia. Consiste básicamente en la calcificación de la placa bacteriana, o placa dental. Como hemos comentado, el sarro se forma cuando la placa bacteriana se mezcla con saliva y restos de comida y se endurece.
Esta capa dura puede formarse tanto en los dientes como en la línea de las encías y debajo, causando problemas si no se atiende adecuadamente. No subestimes al sarro porque es un enemigo silencioso de la salud bucodental y recuerda que la prevención es clave. No hay nada mejor que poder sonreír con naturalidad y tranquilidad con una dentadura libre de suciedad o manchas.

¿Qué es el Sarro y Por Qué Puede Ser de Color Verde?
Lo primero es entender qué es exactamente el sarro. Básicamente, el sarro es una acumulación endurecida de placa bacteriana. Todos tenemos bacterias en la boca que, junto con los restos de comida que quedan después de comer, van formando una capa pegajosa llamada placa. Si no eliminamos esa placa a tiempo (con un buen cepillado y uso de hilo dental), se endurece y se convierte en sarro.
Normalmente, el sarro tiene un tono amarillento o marrón, pero en algunos casos, puede adquirir un color verde. ¿Por qué verde? Vamos a verlo en detalle:
- Pigmentos de alimentos o bebidas: Si consumes muchos alimentos o bebidas que tienen colorantes, como las espinacas, el té verde o incluso ciertos jugos, estos pigmentos pueden adherirse a la placa y cambiar el color del sarro. Cuanto más tiempo pasa sin eliminarse, más pronunciado se vuelve ese color verde.
- Tabaco y cigarrillos electrónicos: Sabemos que el tabaco puede manchar los dientes de amarillo o marrón, pero en algunos casos, los productos químicos del tabaco (o incluso de los cigarrillos electrónicos) pueden combinarse con la placa y dar lugar a ese tono verdoso. Fumar o vapear no solo mancha los dientes, sino que también favorece la formación de sarro.
- Bacterias cromogénicas: A lo mejor no lo has oído antes, pero estas bacterias pueden ser responsables de las manchas verdes en tus dientes. Son bacterias que producen pigmentos de colores y suelen aparecer cuando no se mantiene una buena higiene bucal.
- Mala higiene dental: Esto es clave. Si no te cepillas los dientes adecuadamente o no usas hilo dental con regularidad, la acumulación de placa puede progresar hasta formar sarro, y aquí es donde el color verde puede aparecer, especialmente si está relacionado con los factores anteriores. La principal causa de la formación de sarro es una higiene oral inadecuada.
Aquí viene una pregunta que mucha gente se hace cuando ve sarro verde: ¿serán hongos? La verdad es que no, el sarro verde no está relacionado directamente con infecciones por hongos. El color verde suele deberse, como hemos visto, a la acumulación de pigmentos de alimentos o bacterias. Sin embargo, si tu higiene bucal es deficiente, la acumulación de sarro puede aumentar el riesgo de otros problemas, como la candidiasis oral, que sí es una infección por hongos. Pero no te líes: que tengas sarro verde no significa que tengas hongos en la boca. Simplemente es un síntoma de que tu higiene bucal necesita un refuerzo.
¿Es Peligroso Tener Sarro Verde?
A ver, el color verde puede parecer alarmante, pero el peligro no está en el color en sí. El verdadero problema es el sarro en general, sea del color que sea. ¿Por qué? Porque el sarro es como una capa dura que se adhiere a tus dientes y favorece la acumulación de bacterias. Si no se elimina, puede tener consecuencias bastante graves para tu salud bucodental:
- Gingivitis: El sarro irrita las encías, lo que puede llevar a su inflamación, sangrado y enrojecimiento. Si has notado que tus encías sangran al cepillarte, es posible que el sarro esté involucrado. Gingivitis: el cúmulo de sedimentos en dientes afecta especialmente a los tejidos blandos, produciendo inflamación e irritación de las encías. Dicha inflamación viene acompañada de sangrado y edema sin llegar al desgaste del hueso. Esta enfermedad es atacable por medio de un tratamiento periodontal básico, el cual va dirigido a desinflamar la zona.
- Periodontitis: Si la gingivitis no se trata, puede evolucionar a algo más serio: la periodontitis. En este punto, no solo las encías están en riesgo, sino también el hueso que sostiene tus dientes. Y aquí es donde las cosas se complican, porque podrías llegar a perder dientes si no se trata a tiempo. Periodontitis: la acumulación del sarro bajo las encías, produce sangrado y debilidad absoluta ocasionando pérdidas de inserción.
- Caries: El sarro es como una casa para las bacterias que producen los ácidos que causan las caries. Así que, si no se elimina, tus dientes corren más riesgo de desarrollar caries. Caries dentales: el sarro permite que el esmalte dental se vaya debilitando paulatinamente. Esto hace que sea más fácil la formación de caries. Por ello, es aconsejable optimizar las rutinas de limpieza dental en casa y en la consulta del dentista.
- Mal aliento: Este es un tema incómodo, pero el mal aliento (o halitosis) es una consecuencia común de la acumulación de sarro. Las bacterias atrapadas en el sarro producen compuestos que huelen mal, y eso puede afectar tu día a día, desde una conversación cercana hasta la confianza en tu sonrisa. El mal aliento crónico constituye uno de los primeros indicadores de acumulación de sarro duro detrás de los dientes. Este síntoma se produce porque el cálculo dental proporciona una superficie rugosa ideal para la adherencia y proliferación de bacterias anaerobias, que liberan compuestos sulfurados volátiles responsables del olor desagradable.
- Problemas digestivos: se producen a causa de la infección que al tragar pasa por el tracto digestivo.

Nº1 REMEDIO CASERO para ELIMINAR la PLACA, el SARRO y PREVENIR la CARIES
¿Cómo Puedo Eliminar el Sarro Verde?
Lamentablemente, una vez que el sarro se ha formado, no hay ningún enjuague bucal ni cepillado que lo elimine. Aquí necesitas acudir a un dentista para que realice una limpieza dental profesional. Es el único método eficaz para eliminar el sarro de tus dientes, ya sea verde, amarillo o del color que sea.
Durante la limpieza, el dentista utilizará herramientas especiales para quitar el sarro de la superficie de tus dientes, tanto por encima como por debajo de las encías. La limpieza profunda es un tratamiento que se realiza para eliminar el sarro que se ha acumulado tanto por encima como por debajo de la línea de las encías. Este procedimiento no solo elimina la placa y el sarro, sino que también ayuda a prevenir la inflamación de las encías y otros problemas de salud bucal.
Dependiendo del nivel de sarro que tengan tus dientes, se pueden realizar diversos tratamientos para poder eliminarlo completamente. Tu dentista es el que valorará si tienes sarro superficial o profundo y en base a esto te recomendará realizar un tratamiento simple, como una higiene bucodental, o en caso de que el sarro esté presente por debajo de las encías un tratamiento periodontal mediante un raspado y alisado radicular.
Si el sarro ya se ha endurecido, es necesario que acudamos al dentista para que lo elimine mediante una limpieza bucal. Si el sarro ha profundizado ocasionando la pérdida de encía la limpieza será más profunda, con necesidad de anestesia local.
Para eliminar el sarro dental debemos distinguir entre dos tipos de sarro, el supragingival y el subgingival:
- Limpieza dental profesional: También conocida como profilaxis dental, es una limpieza que suele realizar el higienista dental. Con herramientas específicas, se higieniza la superficie dentaria y los espacios interdentales.
- Curetaje dental: Se trata de una técnica de limpieza dental profesional en profundidad. Solemos recurrir a estos tratamientos para eliminar el sarro en los dientes cuando existe alguna patología periodontal o ya se han formado las bolsas periodontales. A través de un raspado y alisado radicular higienizamos la zona, eliminado el sarro subgingival. Normalmente practicamos estos procedimientos bajo los efectos de la anestesia local. La sensibilidad dental es un efecto secundario común tras el curetaje.
Es fundamental comprender que el sarro duro no puede eliminarse mediante métodos caseros de higiene bucal. Su estructura mineralizada requiere instrumental especializado y técnicas profesionales específicas para su remoción segura.
¿Cómo Evitar que el Sarro Vuelva a Aparecer?
Una vez que te has librado del sarro, lo importante es prevenir su regreso. Aquí van algunos consejos sencillos, pero efectivos:
- Cepíllate los dientes al menos dos veces al día: Suena básico, pero muchas personas no lo hacen de manera correcta. Usa una pasta dental con flúor y cepilla todas las superficies del diente, incluidas las zonas de difícil acceso. Un cepillado adecuado es fundamental para eliminar los restos de comida y la placa. Se debe utilizar una pasta dental con flúor y cepillarse al menos dos veces al día. Cepillarse los dientes adecuadamente después de cada comida o como mínimo 2 veces al día.
- Usa hilo dental: Es esencial para eliminar los restos de comida entre los dientes, donde el cepillo no llega. Si no lo usas, estás dejando una puerta abierta para que la placa se acumule y se convierta en sarro. El hilo dental es una herramienta esencial para limpiar entre los dientes donde el cepillo no llega. Es recomendable usarlo una vez al día. Usar hilo dental o cepillos interdentales para eliminar restos entre los dientes, donde no llega el cepillo. El uso diario de hilo dental o cepillos interdentales es fundamental para eliminar la placa bacteriana de espacios que el cepillo no puede alcanzar.
- Enjuague bucal antibacteriano: Puede ayudar a reducir la cantidad de bacterias en la boca y evitar la formación de sarro. Los enjuagues bucales con propiedades antibacterianas pueden complementar las técnicas de cepillado e hilo dental. También es aconsejable utilizar la seda dental, el hilo o cepillo interdental y el enjuague bucal para eliminar aquellos pequeños residuos de alimentos que el cepillo no ha podido quitar.
- Visita al dentista regularmente: Es recomendable acudir al menos una o dos veces al año para realizar una limpieza dental profesional. No dejes que el sarro se acumule hasta el punto de necesitar tratamientos más invasivos. Una vez al año, como mínimo, realízate una limpieza dental profunda llevada a cabo por un profesional. Visita periódicamente a tu dentista. El mantenimiento preventivo profesional constituye la estrategia más efectiva para prevenir la acumulación de sarro duro.
- Evita alimentos y bebidas que manchan los dientes: Reducir el consumo de té verde, café o alimentos con pigmentos intensos puede ayudar a prevenir la aparición de manchas verdes en el sarro. Y si los consumes, cepíllate poco después. El consumo excesivo de alimentos y bebidas azucaradas puede acelerar que se genere la placa. La alimentación desempeña un papel crucial en la salud bucal. Los alimentos ricos en azúcares y almidones son un caldo de cultivo para las bacterias, favoreciendo la formación de placa y sarro. La dieta rica en azúcares y carbohidratos refinados proporciona nutrientes abundantes para las bacterias orales, intensificando la producción de ácidos y la formación de placa bacteriana. Intentar no picar cosas dulces o beber zumos y refrescos entre horas.
Remedios Caseros: ¿Funcionan?
Una vez que se ha formado sarro en los dientes debes tener claro que es imposible eliminarlo con técnicas de higiene caseras. Con esto, lo que queremos que entiendas y tengas muy claro, es que no existe ningún remedio casero que te permita eliminar el sarro de tus dientes con éxito.
Seguro que has leído en Internet un sinfín de consejos para remover el tártaro dental, pero ninguno de ellos es efectivo. De hecho, en muchos casos, esos remedios caseros pueden tener un efecto muy negativo en tu sonrisa.
Los enjuagues con vinagre, con bicarbonato de sodio, limón, sal o agua oxigenada están completamente contraindicados para tu salud bucodental. Todos estos productos dañan la superficie de los dientes, haciéndolos más sensibles y permitiendo que las bacterias orales penetren en ellos con mayor facilidad.
Por lo tanto, nuestro consejo es que evites el uso de remedios caseros para quitar el sarro. Y, ¡cuidado con los remedios caseros!
A continuación, se mencionan algunos remedios caseros que se difunden comúnmente, pero es crucial recordar que su efectividad no está comprobada y pueden ser perjudiciales si no se utilizan correctamente:
- Bicarbonato de Sodio: Para crear una pasta eficaz, se puede mezclar una cucharadita de bicarbonato de sodio con un poco de agua. Esta mezcla debe aplicarse sobre el cepillo de dientes y usarse para limpiar los dientes durante aproximadamente dos minutos. Es importante tener en cuenta que el uso excesivo de bicarbonato de sodio puede desgastar el esmalte dental.
- Limón: El limón es conocido por sus propiedades antibacterianas y blanqueadoras. Para preparar una solución eficaz, se debe exprimir el jugo de medio limón en una taza de agua tibia y mezclar bien. Es fundamental recordar que el ácido del limón puede erosionar el esmalte dental si no se enjuaga adecuadamente.
- Vinagre de manzana: En 1 ⁄ 4 de vaso de agua procedes a disolver 4 cucharadas de vinagre de manzana, con el que te cepillarás tus dientes. Antes de hacer uso de este producto, es imprescindible verificar que sea de origen natural y no a base de petróleo.
- Bicarbonato: En cuanto a su uso, coloca el polvo sobre el cepillo y realiza tu cepillado durante dos minutos aproximadamente. Los componentes de este producto son antimicrobianos, lo que ayuda a prevenir algunas afecciones bucodentales.
- Perejil: El perejil cuenta con propiedades antibacterianas y astringentes contribuyendo a mejorar la salud dental.
Factores que Influyen en la Formación del Sarro
- Una higiene oral inadecuada.
- El pH de la saliva, que varía según la persona. Por ejemplo, los pH que tienen un nivel de acidez alto debilitan más el esmalte dental, lo que nos hace más vulnerables a las caries. Cuando nuestro pH no cuenta con el nivel de acidez adecuado, nos hace más propensos a la formación de sarro.
- Los hábitos alimentarios.
- El tabaquismo altera significativamente la composición salival y reduce la capacidad de autolimpieza natural de la boca, favoreciendo la formación de sarro duro.
El Tipo de Cepillo de Dientes
- El tipo de cepillo de dientes utilizado puede influir significativamente en la eficacia de la eliminación del sarro. Los cepillos eléctricos han demostrado ser más eficaces en la eliminación de placa bacteriana en comparación con los manuales, gracias a su capacidad para realizar movimientos oscilantes y rotativos.
- Los cepillos interdentales son útiles para alcanzar las áreas entre los dientes que un cepillo normal podría no limpiar adecuadamente. Su inclusión en la rutina diaria puede contribuir a reducir la acumulación de sarro.
Tratamientos Adicionales
Además de las limpiezas, existen tratamientos adicionales que pueden ser necesarios en ciertas situaciones. Cuando el sarro duro ha progresado causando gingivitis o enfermedad periodontal, en Clínica Dental Letamendia implementamos protocolos de tratamiento integral que pueden incluir curetajes radiculares, terapia antimicrobiana y seguimiento periodontal especializado.
¿Dónde se Acumula Preferentemente el Sarro?
- El sarro se acumula preferentemente en los dientes inferiores debido a su proximidad a las glándulas salivales sublinguales y submandibulares, que secretan minerales directamente hacia esta zona.
- La superficie lingual de los dientes inferiores representa una de las zonas más desafiantes para mantener una higiene bucal adecuada. La posición de la lengua, la limitada visibilidad durante el cepillado y la dificultad para maniobrar el cepillo en esta área contribuyen a una limpieza incompleta.
- Muchas personas concentran sus esfuerzos de higiene bucal en las superficies dentales más visibles, descuidando inadvertidamente las zonas posteriores y linguales.
- El sarro se encuentra debajo de las encías, extendiéndose por la raíz del diente. Las encías suelen ser las más perjudicadas. Se ubica por debajo de la línea de la encía, focalizándose a su vez en la raíz del diente, siendo poco visible lo que hace que sea más dañino.
Consecuencias Negativas en Tu Salud Bucodental Por la Formación del Sarro
- En cuanto a su aspecto, es una capa cristalina fina donde se van alojando los gérmenes que habitan en la cavidad oral, agravándose al no poseer un correcto aseo bucodental.
- Gingivitis: el cúmulo de sedimentos en dientes afecta especialmente a los tejidos blandos, produciendo inflamación e irritación de las encías. Dicha inflamación viene acompañada de sangrado y edema sin llegar al desgaste del hueso. Esta enfermedad es atacable por medio de un tratamiento periodontal básico, el cual va dirigido a desinflamar la zona.
- Periodontitis: la acumulación del sarro bajo las encías, produce sangrado y debilidad absoluta ocasionando pérdidas de inserción.
- Problemas digestivos: se producen a causa de la infección que al tragar pasa por el tracto digestivo.
- El sarro duro no tratado puede progresar causando gingivitis, mal aliento persistente, sangrado gingival, retracción de encías, sensibilidad dental y, en casos avanzados, enfermedad periodontal grave que puede resultar en pérdida dental.
- Cuando el sarro duro provoca retracción gingival, las raíces dentales quedan expuestas, generando sensibilidad al frío, calor o alimentos ácidos. El sarro duro actúa como un irritante mecánico constante que «empuja» progresivamente la encía hacia abajo, exponiendo mayor superficie radicular.
- En casos avanzados donde la enfermedad periodontal ha progresado significativamente, pueden aparecer molestias o dolor durante la masticación.
Signos de Acumulación de Sarro Duro Detrás de los Dientes
- El mal aliento crónico constituye uno de los primeros indicadores de acumulación de sarro duro detrás de los dientes. Este síntoma se produce porque el cálculo dental proporciona una superficie rugosa ideal para la adherencia y proliferación de bacterias anaerobias, que liberan compuestos sulfurados volátiles responsables del olor desagradable.
- La presencia de sarro duro detrás de los dientes provoca una respuesta inflamatoria constante en las encías circundantes. Esta inflamación se manifiesta como gingivitis, caracterizada por encías de color rojo intenso, hinchadas y sensibles al tacto.
- El sarro duro detrás de los dientes presenta inicialmente una coloración amarillenta que puede evolucionar hacia tonos marrones o incluso negros, dependiendo de factores como el tabaquismo, el consumo de té, café o ciertos alimentos.
La Importancia de la Prevención
La mejor recomendación es la prevención, ya que una vez ocasionada esta afección y dado a su dureza, es necesario que acudamos a nuestro dentista, quien llevará a cabo una limpieza de la mano de sus equipos.
La prevención efectiva del sarro duro detrás de los dientes requiere una técnica de cepillado meticulosa que incluya movimientos específicos para alcanzar la superficie lingual de los dientes inferiores.
Mitos Sobre el Sarro Dental
Es fundamental desmentir algunos mitos comunes sobre el sarro dental para promover una mejor comprensión y cuidado bucal:
- Mito: El sarro es solo un problema estético. Realidad: El sarro no es solo un problema estético; su acumulación puede llevar a problemas de salud bucal más graves como la gingivitis y la periodontitis.
- Mito: El sarro se puede eliminar en casa con remedios caseros. Realidad: El sarro es una sustancia dura y adherida que solo puede ser eliminada eficazmente por un profesional dental.
- Mito: El sarro solo afecta a personas mayores. Realidad: El sarro puede afectar a personas de todas las edades, aunque es más común en adultos.
- Mito: El sarro causa directamente la caries dental. Realidad: El sarro no causa directamente la caries, pero proporciona una superficie rugosa donde las bacterias pueden acumularse y producir ácidos que atacan el esmalte dental.
- Mito: El cepillado vigoroso puede eliminar el sarro. Realidad: El cepillado vigoroso puede dañar las encías y el esmalte dental, pero no eliminará el sarro ya formado.
- Mito: Usar hilo dental es suficiente para prevenir el sarro. Realidad: Usar hilo dental es importante, pero no es suficiente por sí solo. Se necesita una combinación de cepillado, hilo dental y visitas regulares al dentista.
- Mito: El sarro siempre es visible. Realidad: El sarro puede formarse en áreas difíciles de ver, como debajo de las encías, lo que hace que las revisiones dentales regulares sean cruciales.
- Mito: El sarro es inevitable. Realidad: Con una buena higiene bucal y visitas regulares al dentista, la formación de sarro se puede prevenir o controlar significativamente.
Tabla Resumen: Sarro Dental
| Aspecto | Causas | Peligros | Prevención | Tratamiento |
|---|---|---|---|---|
| Capa dura, amarillenta o verdosa | Mala higiene oral, dieta alta en azúcares, tabaquismo, pH salival | Gingivitis, periodontitis, caries, mal aliento | Cepillado, hilo dental, enjuague bucal, visitas al dentista | Limpieza dental profesional, curetaje |
Recuerda que la mejor defensa contra el sarro es una buena higiene bucal y visitas regulares al dentista. ¡No esperes más para cuidar tu sonrisa!