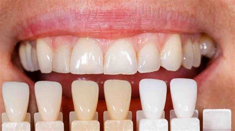
Cada vez más personas en Barcelona y en todo el mundo valoran las distintas opciones de tratamientos de estética dental en su búsqueda de una sonrisa bonita. Las carillas dentales se han vuelto populares en el mundo de la odontología estética, siendo un tratamiento eficiente para cambiar la sonrisa de un paciente.
Las carillas dentales son láminas muy delgadas, hechas a medida de porcelana o resina compuesta (composite) que se adhieren a la parte frontal de los dientes para mejorar su apariencia.

¿Qué son las Carillas Dentales?
Las carillas dentales son unas láminas muy finas -generalmente inferiores a un milímetro de espesor- que se fijan sobre la parte visible de uno o varios dientes. Su principal objetivo es mejorar el aspecto de los dientes, ya sea para modificar su tamaño, color, forma o posición. Por tanto, tienen una finalidad puramente estética.
Su objetivo es corregir problemas estéticos (fracturas leves, cambios de color…) o patológicos (originados por caries). Pueden estar hechas de diferentes materiales, pero suelen ser de porcelana o composite. Por lo general, estas últimas suelen confeccionarse en la propia clínica dental con un material fotocurable, igual que el que se usa para hacer los empastes.
Tipos de Carillas Dentales
Existen varias opciones en el mercado, cada una adecuada según las necesidades y expectativas del paciente:
- Carillas de Composite: Se componen de un material similar a la resina que se moldea directamente sobre el diente. Aunque su coste es generalmente más bajo que el de otras opciones, su durabilidad también es menor.
- Carillas de Porcelana: Son la opción más duradera y resistente. Este tipo de carilla ofrece un acabado muy natural, y su superficie es menos porosa que la de las carillas de composite, lo que reduce el riesgo de manchas.
- Carillas Lumineers: Destacan por su delgadez, lo que permite colocarlas sin necesidad de tallar el diente. Son tan finas como una lente de contacto, pero al mismo tiempo muy resistentes.
- Carillas Biomiméticas: Son una opción innovadora, diseñadas para imitar la estructura natural de tus dientes. Su principal ventaja es que se integran de manera armoniosa con el esmalte dental, lo que ofrece un resultado muy natural.
- Carillas sin Tallar: Si prefieres evitar cualquier tipo de desgaste en tus dientes, las carillas sin tallar son una excelente opción. Este tipo de carillas no requiere ninguna preparación del esmalte dental, lo que las hace mínimamente invasivas.
- Carillas Feldespáticas: Las carillas feldespáticas son, por lo general, las que mejor resultado estético ofrecen, ya que destacan por su alta translucidez y naturalidad.
Carillas de Resina y Porcelana: Pros, Contras y Mi Experiencia.
Carillas de Composite
Las carillas de composite son unas láminas dentales delgadas que se personalizan para cada paciente y que están hechas de un material compuesto de resina de alta calidad. Cuando hablamos de «composite» nos referimos a la mezcla de resina de plástico y partículas de cerámica que se utiliza en su fabricación. El propósito principal de las carillas de composite es mejorar la estética dental.
Ventajas de las Carillas de Composite
Las carillas de composite ofrecen una serie de ventajas que las convierten en una opción atractiva para quienes buscan mejorar su sonrisa:
- Aspecto natural: El composite se puede moldear y colorear para que coincida perfectamente con el tono y la forma de los dientes circundantes.
- Corrección de imperfecciones: Son ideales para corregir dientes descoloridos, manchas, pequeñas anomalías de forma, espacios entre los dientes y otros problemas estéticos.
- Durabilidad y resistencia: A pesar de ser más delgadas en comparación con otros tipos de carillas, las carillas de composite son sorprendentemente duraderas y resistentes. El composite utilizado en su fabricación es robusto y puede soportar el desgaste diario sin problemas.
- Proceso de aplicación menos invasivo: En comparación con otras alternativas, como las carillas de porcelana, el proceso de aplicación de las carillas de composite es menos invasivo. Requiere menos eliminación de esmalte dental natural, lo que significa que se conserva más de la estructura dental original.
- Opción más económica: Una de las ventajas más evidentes de las carillas de composite es su costo relativamente menor en comparación con las carillas de porcelana u otros procedimientos estéticos más complejos.
- Personalización: El paciente puede elegir distintas variables de las carillas como la forma e incluso el color.
- Rapidez: El tratamiento de estética dental con carillas de composite es muy rápido. Al no tener que realizarse un tratamiento previo en el laboratorio, las carillas se pueden poner en una sola sesión.
- Tratamiento reversible: Las carillas dentales pueden aplicarse y, posteriormente, ser quitadas.
Desventajas de las Carillas de Composite
A pesar de las ventajas, también existen algunas limitaciones a considerar:
- Posibles limitaciones en términos de durabilidad: En promedio, pueden durar de 5 a 10 años, dependiendo de factores como los hábitos de cuidado oral del paciente y su estilo de vida.
- Cambio de color con el tiempo y susceptibilidad a manchas: Con el tiempo pueden experimentar un cambio de color leve debido a la exposición a alimentos y bebidas con pigmentos fuertes.
- Mayor propensión a astillarse o romperse: Son más propensas a astillarse o romperse en comparación con las carillas de porcelana.
- Necesidad de mantenimiento y reemplazo eventual: A medida que pasa el tiempo, es probable que las carillas de composite requieran mantenimiento y eventual reemplazo.

Carillas de Porcelana
Las carillas de porcelana son uno de los tratamientos dentales estéticos más demandados en la actualidad, debido a la mejora que aportan a la sonrisa, su resistencia y durabilidad a largo plazo. Son unas finas láminas de cerámica que se adhieren a la parte frontal de los dientes para mejorar su apariencia.
Ventajas de las Carillas de Porcelana
Las carillas de porcelana ofrecen numerosas ventajas:
- Corrige múltiples defectos: Pueden mejorar la forma, el tamaño y el alineamiento de los dientes, mejorar el color, cerrar diastemas, etc.
- Estética muy elevada: La cerámica empleada permite una transmisión óptima de la luz.
- Preparación dentaria muy conservadora: Es una técnica mínimamente invasiva que conserve la substancia dental.
- Fortalece los dientes y devuelve funcionalidad: Ayudan a fortalecer los dientes fracturados y restaurar la función normal. Se usan para corregir deficiencias oclusales o para restablecer una guía correcta durante movimientos masticatorios.
- Aumento de la autoestima: Una bonita sonrisa es muy importante en el día a día de cualquier persona.
- Poco tiempo de recuperación.
- Resistencia a la tinción: La porcelana resiste las manchas clásicas del café, el té, el tabaco y las bebidas no alcohólicas. La superficie glaseada no permite la incrustación de tinciones, al no presentar microporosidad. Este glaseado permite el mantenimiento del brillo superficial durante todo el tiempo de vida de las carillas.
- Biocompatibilidad local y general: De todos los materiales de recubrimiento dental que poseemos, la cerámica es junto con el oro, el que menos reacciones biológicas desencadena.
- Resistencia al ataque químico: Diferentes sustancias químicas, como ácidos (cítrico y otros), disolventes (alcohol), medicaciones (antibióticos) y cosméticos (colutorios) pueden producir alteraciones tanto en el esmalte dentario como en las carillas de composite.
Desventajas de las Carillas de Porcelana
A pesar de sus beneficios, también presentan algunas desventajas:
- El coste elevado.
- Posible sensibilidad dental.
- El número de sesiones: El número de sesiones es mayor porque las carillas se fabrican en laboratorio dental. Además, antes de colocar las carillas definitivas es necesario colocar las carillas provisionales.
- Tratamiento irreversible: En algunos casos, resulta necesario tallar el diente antes de colocar una carilla de porcelana.
- No se pueden reparar: Ante una rotura, es necesario retirar la carilla y que el laboratorio fabrique una nueva.
- Las carillas feldespáticas son ligeramente más vulnerables que otras ante golpes o fracturas.
¿Quién puede llevar carillas dentales?
No todas las personas son candidatas ideales para las carillas. Aquellos con dientes sanos pero que presentan problemas estéticos como manchas, desgaste leve o desalineación moderada son los candidatos ideales. Sin embargo, las personas con enfermedades periodontales graves o con un desgaste dental excesivo pueden no ser aptas para este tratamiento.
Objetivos estéticos: Evalúa tus objetivos estéticos personales. ¿Qué aspectos de tu sonrisa te gustaría mejorar?
Salud dental general: Asegúrate de tener una base de salud bucal sólida.
Higiene dental: Si eres diligente en el cuidado de tus dientes y encías y mantienes una buena higiene oral, es más probable que las carillas de composite sean una opción adecuada para ti.
Carillas y Alineación Dental
Cuando los dientes no están bien alineados o existe una maloclusión, las carillas quedan expuestas a fuerzas desiguales durante la masticación. Las carillas en dientes mal alineados sufren mayor presión y desgaste, lo que puede llevar a fracturas o desprendimientos. La ortodoncia es especialmente útil cuando existen problemas significativos de alineación, como una sobremordida o un apiñamiento severo.
La ortodoncia alinea los dientes, permitiendo que las carillas se apliquen sobre una base estable y duradera. Para los pacientes con dientes ligeramente desalineados o pequeños problemas estéticos, puede que las carillas sean suficientes sin necesidad de ortodoncia.

Duración de las Carillas Dentales
La duración de las carillas dentales está determinada por diversos factores, como los cuidados que siga el paciente en cuanto a higiene oral, alimentación, tabaco, hábitos, revisiones con el dentista, etc. Adicionalmente, la durabilidad del tratamiento también depende del material con el que están fabricadas las carillas y de la técnica de colocación (directa o indirecta).
La durabilidad de las carillas de porcelana depende, fundamentalmente, de los cuidados que siga el paciente. Este tipo de carillas pueden durar entre uno y diez años. Dicho plazo tan amplio se debe a que la duración de las carillas está estrechamente relacionada con los cuidados mantenidos por el paciente (higiene, alimentación, uso de férula nocturna, revisiones con el odontólogo…).
Las carillas de porcelana, si se cuidan adecuadamente, pueden durar entre 15 y 20 años.
Cuidados de las Carillas Dentales
Cuidar tus carillas dentales es relativamente sencillo y similar a la higiene dental habitual. Algunos dentistas pueden recomendarte una férula nocturna si sueles rechinar los dientes mientras duermes, ya que el bruxismo puede afectar la durabilidad de las carillas, especialmente las de porcelana.
Es esencial que el paciente tome una serie de medidas para prevenir la fractura de las carillas. Por un lado, las personas bruxistas deben llevar una férula de descarga por las noches.
Mitos y Realidades
- ¿Las carillas dañan los dientes? No. Si se realiza el procedimiento de tallado y colocación correctamente y se respeta la estructura del diente, las carillas de porcelana no dañan los dientes.
- ¿Las carillas se manchan con el tiempo? No. A diferencia de otros materiales, como el composite, la porcelana es altamente resistente a las manchas (alimentos, bebidas, tabaco…).
- ¿Se pueden blanquear las carillas? No. La porcelana no cambia de color con los tratamientos de blanqueamiento dental.
Procedimiento de Colocación de Carillas de Porcelana
El proceso de colocación de las carillas de porcelana consta de varias fases, las cuales pueden variar según las necesidades de cada paciente.
- El odontólogo trata con el paciente sus expectativas respecto al tratamiento (defectos que pretende corregir, resultados que desea conseguir…).
- En la siguiente visita, el dentista prepara los dientes para la posterior colocación de las carillas de porcelana.
- Normalmente, el laboratorio dental tarda entre una y dos semanas en confeccionar las carillas.
- Una vez que las carillas de porcelana han sido fabricadas, el paciente acude de nuevo a la consulta para que el odontólogo proceda a su colocación.
En general, el proceso completo de colocación de las carillas de porcelana dura varias semanas y requiere entre tres y cuatro visitas al dentista.