Muchos pacientes expresan dudas sobre las opciones disponibles cuando la pérdida de dientes y la reabsorción ósea complican la colocación de implantes. Afortunadamente, la Dra. Susana Sala, experta en ortodoncia, ofrece soluciones innovadoras para estos casos.

Ejemplo de reabsorción ósea que puede dificultar la colocación de implantes.
El Desafío de la Reabsorción Ósea
El hueso de los maxilares sufre modificaciones a lo largo de los años, lo que puede generar complicaciones para la colocación de implantes dentales. En el pasado, esta situación a menudo implicaba el uso de dentaduras postizas.
La Solución: Reconstrucción Maxilar con Injertos Óseos
Con las técnicas de reconstrucción de los maxilares mediante injertos óseos, los pacientes, antes condenados a llevar dentaduras postizas, pueden disfrutar de implantes dentales. Este avance ha transformado la vida de muchas personas, permitiéndoles recuperar la funcionalidad y estética de su sonrisa.

Representación esquemática de un injerto óseo para aumentar la densidad ósea en el maxilar.
Superando el Miedo y la Ansiedad
Somos conscientes de que, en algunos casos, el paciente tiene miedo o siente cierta ansiedad a la hora de enfrentarse a intervenciones de este tipo. La Dra. Sala y su equipo se dedican a brindar un ambiente de confianza y seguridad para que los pacientes se sientan cómodos durante todo el proceso.
Beneficios de la Reconstrucción Maxilar e Implantes Dentales
- Recuperación de la función masticatoria: Permite comer con comodidad y disfrutar de una dieta variada.
- Mejora de la estética dental: Contribuye a una sonrisa más atractiva y a una mayor confianza en uno mismo.
- Prevención de la pérdida ósea: Los implantes dentales estimulan el hueso maxilar, previniendo su reabsorción.
- Alternativa a las dentaduras postizas: Ofrece una solución más cómoda, estable y duradera.

Ejemplo de una sonrisa restaurada con implantes dentales.
Tecnologías Utilizadas en la Reconstrucción Maxilar
La Dra. Susana Sala emplea tecnologías de vanguardia para garantizar la precisión y el éxito de los tratamientos de reconstrucción maxilar. Algunas de estas tecnologías incluyen:
- Tomografía computarizada de haz cónico (CBCT): Permite obtener imágenes tridimensionales detalladas de la estructura ósea maxilar.
- Planificación virtual de la cirugía: Facilita la simulación de la intervención quirúrgica para optimizar los resultados.
- Guías quirúrgicas impresas en 3D: Aseguran la colocación precisa de los implantes dentales.
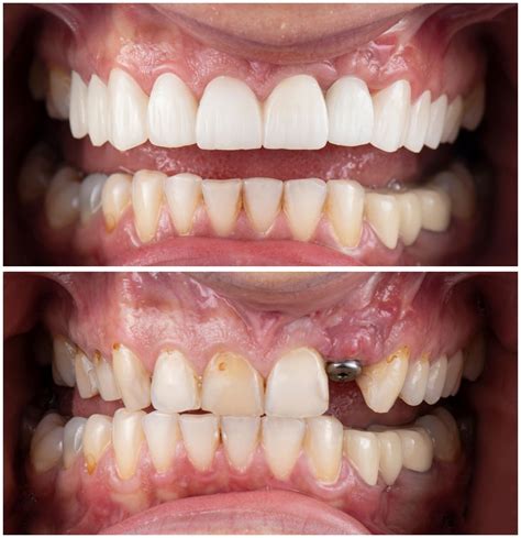
La experiencia de Sergio 😄🦷 Implante Dental
Tabla comparativa de opciones de tratamiento
| Tratamiento | Ventajas | Desventajas |
|---|---|---|
| Dentadura Postiza | Más económica, no requiere cirugía. | Menos estable, puede afectar el habla y el gusto, no previene la reabsorción ósea. |
| Implantes Dentales (sin injerto) | Más estable que la dentadura postiza, previene la reabsorción ósea. | Requiere suficiente hueso maxilar, puede no ser viable en casos de reabsorción ósea severa. |
| Implantes Dentales con Injerto Óseo | Permite la colocación de implantes incluso en casos de reabsorción ósea, mayor estabilidad. | Más costoso, requiere cirugía adicional. |
tags: #susana #sala #ortodoncia