La férulización dental es un tratamiento que se utiliza para estabilizar los dientes o las estructuras de la boca que están afectadas por el daño o el movimiento excesivo. Este procedimiento puede sonar técnico, pero es fundamental para mantener la salud y estabilidad de tus dientes, especialmente si sufres de problemas relacionados con el bruxismo, la periodontitis o ciertas afecciones que afectan la movilidad dental. Esta férula, que puede ser fija o removible, se adapta a las necesidades específicas de cada paciente.
Existen distintas técnicas y varios motivos que llevan a realizar una ferulización dental. La técnica empleada dependerá del tipo de tratamiento que vaya a realizarse.

¿Cuándo está indicada una ferulización dental?
- Tras finalizar el tratamiento de ortodoncia: Ésta es la más conocida, puesto que al terminar con brackets, alineadores, etc. se realiza para evitar que los movimientos que se han corregido puedan recidivar, es decir, volver a moverse a su posición inicial.
- Tras traumatismo dental: Cuando uno o más dientes han recibido un golpe y se ha producido una luxación. Cuando el diente o dientes presentan cierta movilidad se recurre a la ferulización para evitar que puedan caerse las piezas. La ferulización estabiliza los dientes hasta que los ligamentos periodontales se recuperan y los dientes vuelven a su estado habitual.
- Dientes comprometidos periodontalmente: Cuando el periodoncista considera que hay movilidad y los dientes pueden mantenerse, se realiza una ferulización.
- Preparación para una cirugía ortognática: Cuando va a realizarse una cirugía importante de los huesos maxilares, se ferulizan todas las piezas para evitar movimientos en los dientes.
Técnicas de Ferulización Dental
A través de los años los dentistas han ferulizado los dientes con diversas técnicas. Entre ellas se encuentran:
- Técnica con alambre: Es una de las formas más antiguas de férulización dental y se emplea sobre todo en casos donde se requiere estabilizar dientes que han perdido soporte debido a enfermedades periodontales o en situaciones de traumatismo dental.
- Férulización mediante carillas dentales: Es una técnica más reciente y estéticamente agradable que se utiliza principalmente en pacientes que requieren estabilización dental por motivos funcionales o estéticos.
Con la aceptación y predictibilidad de los procedimientos adhesivos, el uso de técnicas conservativas de adhesión en la ferulización de dientes ofrece una alternativa útil a los procedimientos de restauración más invasivos.
Materiales Utilizados
Ha habido informes iniciales de técnicas clínicas con incrustación de alambres, agujas, nylon y malla de acero inoxidable en resinas restauradoras. A principios de 1990 se presentó la fibra de refuerzo Ribbond (Ribbond, Seattle, WA). Una fibra cruzada de polietileno adherente, biocompatible, estética y fácil de manipular que podría ser adaptada en una estructura de resina. Se han realizado muchos estudios sobre este tejido reforzado.

Procedimiento de Ferulización con Fibra de Vidrio Ribbond
A continuación, se detalla el procedimiento utilizando la técnica de colocación directa de una cinta reforzada ferulizada cementada con composite y extendida de canino a canino:
Preparación
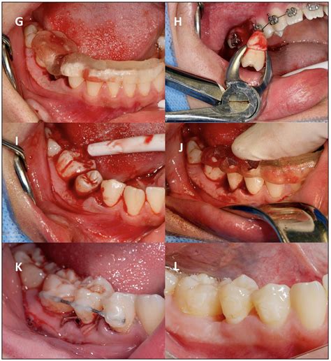
- Se aíslan los dientes durante el procedimiento clínico con un dique de goma que se extendió a los primeros premolares. Es especialmente importante que los agujeros perforados para el dique de goma dejen al menos 2 mm de dique entre espacios y que los agujeros para los incisivos mandibulares sean tan pequeños como sea posible.
- Los dientes se limpiaron en la superficie facial y lingual utilizando una copa de profilaxis con una pasta de piedra pómez no fluorada. Los dientes fueron aclarados y secados completamente.
- Para minimizar el volumen de la férula se realiza una preparación definitiva de los dientes en las superficies linguales del #22-27, utilizando una fresa de 330 con una profundidad de entre 0,5 y 1 mm. La anchura del canal se determina por el ancho de la fibra Ribbond seleccionada.
Con este paciente los dientes se prepararon utilizando una fresa de 330 con un canal de 1 mm de profundidad y anchura de 3 mm para dar cabida a una fibra Ribbond de 3 mm de ancho. La preparación adicional del diente en la cara interproximal también se hizo utilizando una fresa de diamante puntiaguda de composición fina para dejar espacio adicional para el composite.

Colocación de la Fibra Ribbond
- La longitud de Ribbond se determinó mediante la colocación de un pedazo de hilo dental en el canal lingual y cortando una longitud igual al hilo de fibra Ribbond con las tijeras especiales incluidas en el kit.
- La fibra Ribbond se impregnó con resina adhesiva Tenure S (Den-Mat, Santa Maria, CA) y se secó con la servilleta del paciente para eliminar el exceso de resina. Se humedeció con unas pocas gotas de adhesivo dental, se apartó y se cubrió para mantenerla fuera de la luz hasta su colocación en los dientes.
Grabado Ácido y Adhesión
- Los dientes son grabados durante 30 segundos con un grabador de ácido fosfórico en gel (UniEtch, Bisco dental, Schaumburg) asegurándose que los flujos del ácido grabador fluyen entre todos los dientes que se van a ser ferulizados y las superficies faciales.
- Una resina adhesiva (Tenure S, Den-Mat, Santa Maria, CA) es aplicada a las superficies de esmalte grabado, incluyendo las superficies interproximales y áreas interproximales faciales utilizando un pincel desechable. No polimerizar hasta que se aplique la resina de composite.
Aplicación del Composite
- Se colocará composite entre las áreas interproximales. Esta extensión facial del composite funcionara como una férula cruzada para cada diente para prevenir movimientos o roturas de la férula definitiva.
- Se dispensó un composite híbrido de viscosidad media, Prisma TPH (calafatear / Dentsply, Milford, DE) en carpule en las superficies faciales de todas las áreas interproximales de los dientes que se ferulizaron. Se forman las superficies vestibulares y después se polimerizan durante 40 segundos.
- El composite se coloca en el canal lingual utilizando la punta de los carpules, el composite fluirá suavemente dentro del mismo. Ribbond se inserta dentro del canal relleno de composite comenzando por el extremo distal del canal o el canino, presionando la fibra Ribbond dentro del composite.
- Se alisara y retirara el exceso de las superficies linguales antes de polimerizar. Se polimerizara las superficies linguales durante 60 segundos por diente.
Finalización y Pulido
- Después de retirar cualquier irregularidad del composite polimerizado, las superficies de la restauración suavizarse. Esto se logra con una resina de composite fluido dispensado con una jeringa con punta de aguja. Se polimerizara la superficie lingual durante 40 segundos por diente.
- Se retiró el dique de goma. Se dio forma al composite, se pulió retirando el exceso del material consiguiendo un resultado más estético.
- Las superficies vestibulares son moldeadas con puntas abrasivas planas LAMINEER-S montadas en la pieza de mano Profin® (Dentatus EE.UU., Nueva York, NY). El pulido final y el acceso a zonas difíciles para el pulido se realiza con pasta de pulir composite dispensada a través de las puntas de plástico huecas Lamineer o con una punta deformable en forma de V (Dentatus EEUU, Nueva York, Nueva York).
Con las troneras abiertas, se enseña al paciente cómo mantener y limpiar los espacios con un cepillo interproximal. Con la ferula lingual de composite reforzada con Ribbond terminada, el paso final es la verificación de la oclusión, comprobando que no ha habido nigún cambio y que el paciente acepta la estética.
Tipos de Férulas Periodontales
Existen diferentes tipos de férulas periodontales, cada una con sus propias ventajas e inconvenientes:
- Férulas de composite extracoronarias: Reversibles, conservadoras, pero con problemas de mantenimiento.
- Férulas extracoronarias de alambre y composite: Reversibles, flexibles, pero pueden causar problemas oclusales.
- Férulas extracoronarias de fibra de vidrio y composite (CRF): Estéticas, fuertes, pero la preparación intracoronal conserva menos estructura dental.
- Férulas intracoronarias de alambre y composite: Rígidas, poco voluminosas, pero requieren pérdida de estructura dental.

Consideraciones Finales
Como en todo tratamiento odontológico, es fundamental una buena higiene y un buen cuidado del mismo. En las ferulizaciones es extremadamente importante la higiene. En el caso de llevar alambre, pueden quedarse muchos restos de alimentos y placa a su alrededor y en la encía. En cuanto a los retenedores removibles, es aconsejable su limpieza con un cepillo de dientes diferente al que se emplea para la higiene bucodental, agua y jabón neutro cada vez que se quiten de la boca. Conviene secarlos tras su lavado. De esta manera, se evita que se acumulen restos de sarro y saliva, así como el mal olor.
[PT ESP ENG] Postes de fibra de vidrio / Fiberglass posts - Cementation protocol.
tags: #ferulizacion #periodontal #con #fibra #de #vidrio