La recesión gingival se caracteriza por el desplazamiento apical del margen gingival en relación con la unión amelocementaria (UAC). Desde que Björn introdujo el injerto gingival libre, se han planteado una serie de distintas técnicas de injerto gingival para el tratamiento de defectos de recesión tisular marginal y para el incremento de la zona de tejido gingival adherido. Entre las técnicas disponibles, el procedimiento más ampliamente utilizado para solucionar los defectos de recesión tisular marginal es el injerto subepitelial de tejido conectivo (ISTC), combinado con un colgajo pediculado o en forma de sobre.

Limitaciones del Injerto Subepitelial de Tejido Conectivo (ISTC)
Si bien se ha obtenido un alto grado de éxito y predictibilidad con el ISTC en el recubrimiento radicular de los defectos de recesión de la Clase I y II de Miller, esta técnica muestra importantes limitaciones. Por ejemplo, en algunos pacientes, puede no haber suficiente tejido autógeno disponible. Además, aún disponiendo de una cantidad adecuada de tejido, algunos pacientes toman la decisión de no someterse a procedimientos quirúrgicos adicionales o de no recurrir a heridas adicionales para tomar tejidos.
Matriz Dérmica Acelular (MDA) como Alternativa
Para resolver estas limitaciones, se ha creado la matriz dérmica acelular (MDA), la cual está ganando popularidad como material de injerto alternativo en los procedimientos de recubrimiento radicular. La MDA es un aloinjerto dérmico del que se eliminan los componentes celulares, los cuales constituyen la principal fuente de rechazo, así como la epidermis de la piel de cadáveres, mientras que se mantiene el entramado colágeno incluyendo los conductos vasculares existentes.
La MDA se incorpora al tejido huésped, mantiene la integridad estructural y presenta una mejor revascularización a través de los vasos conservados. El uso de la MDA como material de aloinjerto evita la necesidad de zonas quirúrgicas adicionales, así como el dolor y la morbilidad asociados a la recogida de tejido intraoral. Otra ventaja importante de la MDA es que ni la extensión del defecto de recesión ni el número de dientes a tratar dependen de la cantidad de tejido ISTC autógeno obtenido, con lo que resulta posible tratar un mayor número de defectos de recesión en una única visita.
En consecuencia, la MDA permite planificar el tratamiento a partir de las necesidades dentales del paciente y las exigencias quirúrgicas del médico, sin tenerse que enfrentar a las limitaciones a causa del volumen o la medida del tejido que pueda recogerse para el injerto autógeno.

Consideraciones sobre la MDA
Sin embargo, cabe destacar que si bien la MDA ofrece una serie de ventajas palpables tanto para el especialista como para el paciente, se ha demostrado que su aplicación es más sensible a la técnica que el material autógeno. Durante los procedimientos de recubrimiento radicular, se ha utilizado la MDA principalmente con un colgajo tradicional de desplazamiento coronal (con o sin incisiones verticales) o una técnica del túnel.
Sin embargo, las técnicas quirúrgicas convencionales diseñadas para el material autógeno pueden ser inapropiadas para la MDA e ir en detrimento de los resultados clínicos. Estos factores, en combinación con las características específicas y especiales de manipulación de la MDA, pueden ser responsables de la reducción de la eficacia global y la predictibilidad de este material.
Por ello, el objetivo de este artículo es describir un enfoque quirúrgico modificado que detalla los principios quirúrgicos clave cuando se utiliza la MDA en el tratamiento de defectos de recesión de Clase I y II de Miller. Se pretende mostrar una modificación de los métodos previos que se centra más en la inserción, el estiramiento, el ajuste y el afianzamiento del material de la MDA. Cuando se emplean estos principios correctamente, se mejora el éxito global, la estética y la predictibilidad de la MDA al tratar defectos de recesión tanto únicos como múltiples.
Técnica Quirúrgica Modificada con MDA: Paso a Paso
En el siguiente caso se describe una técnica quirúrgica modificada que los autores han adoptado con éxito en numerosos pacientes con defectos de recesión de Clase I o II de Miller. A continuación, se presenta un estudio de un caso clínico tipo.
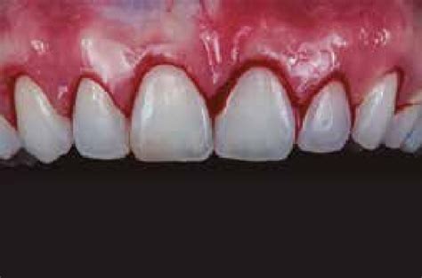
Se nos remite una paciente de 25 años, no fumadora, para el tratamiento estético del canino y primer premolar maxilar izquierdo. Su principal molestia residía en dientes largos y sensibles en el lado izquierdo. La historia clínica de la paciente no mostraba datos a destacar. Los defectos de recesión de Clase I de Miller se atribuyeron al biotipo tisular fino y a zonas inadecuadas de encía adherida.
Así se solucionan las encías retraídas (recesión gingival)
La paciente presentaba una recesión de 2 mm en el canino, una recesión de 1 mm en el primer premolar y alrededor de 1 mm de encía insertada queratinizada en cada diente. Para el recubrimiento radicular, se propuso una MDA combinada con un colgajo coronalmente reposicionado.

Preparación de la Zona Quirúrgica
Inicialmente, se realiza una antisepsia intraoral utilizando un lavado con gluconato de clorhexidina al 0,12 % durante 30 segundos. Después de la anestesia local, se describieron incisiones festoneadas para equilibrar los defectos de recesión y crear un frente gingival uniforme a lo largo de la zona quirúrgica.
En esta paciente en concreto, las incisiones festoneadas se extendieron desde la línea ángulo distal del incisivo lateral posterior hasta la línea ángulo mesial del segundo premolar. En las líneas ángulo proximales al final de las incisiones festoneadas se realizaron incisiones de descarga vertical. En esta técnica, no se recomienda el uso de incisiones transversales horizontales a lo largo de las papilas, ya que frecuentemente provocan invaginaciones epiteliales que pueden impedir la cicatrización.

El colgajo quirúrgico de espesor total se despegó justo por debajo de la base de la papila y se extendió aproximadamente 5 mm más allá de la extensión más apical del defecto de recesión. Las papilas gingivales se dividieron mesiodistalmente y se retiraron las mitades faciales de las papilas. El tejido coronal a las incisiones festoneadas se retiró fácilmente con un bisturí cortante de acción posterior, de manera que se desepitelizaron completamente las áreas papilares.
Las superficies radiculares expuestas se pulieron con una fresa de pulido de carburo del 12 (Brassler) y se refinaron utilizando instrumentación manual para eliminar las crestas e irregularidades prominentes de las raíces. Se puso atención en crear una UAC definitiva que permitiera la adaptación íntima de la MDA a la superficie radicular. Antes de colocar la MDA, se eliminaron todos los crioprecipitados y se hidrató completamente según las instrucciones del fabricante. La determinación del espacio del material de MDA se obtuvo midiendo la distancia desde la UAC hasta 5 mm más allá de cualquier superficie radicular expuesta.


Colocación y Sutura de la MDA
A continuación, se colocó la superficie modificada contra las raíces preparadas. Empezando por la cara distal, se aseguró el extremo inferior de la MDA a la base de las papilas palatinas interproximales restantes con una sutura interrumpida única (catgut crómico 5-0 con aguja T28, LOOK). El siguiente paso consistió en estirar apicalmente la MDA y suturarla alrededor de 5 mm desde la primera sutura interrumpida con puntos de colchonero horizontales internos angulados debajo de los rebordes verticales de incisión para ayudar al estiramiento apical del injerto.
Esta sutura se diseñó para introducir la MDA por debajo de los márgenes de la incisión de descarga vertical. Se utilizaron unas pinzas tisulares (8-905DD, Hu-Friedy) para coger la MDA, estirándola por encima de cada superficie radicular. Se reajustó la pinza tisular para llegar a la cara mediovestibular de cada raíz, permitiendo así el contorneado preciso de la MDA alrededor de las puntas de las pinzas.
Este contorneado permite la adaptación íntima de la MDA a la UAC de cada diente. La MDA estirada se insertó en cada zona interproximal empleando suturas interrumpidas simples. Esta serie de pasos se fueron repitiendo a lo largo de toda la línea de defectos de recesión. Una vez completado el proceso, se recortó el exceso de MDA y se aseguró la última sutura interrumpida única.
Se colocaron puntos de colchonero adicionales, internos, horizontales y de estabilización alrededor de 5 mm apical a la última sutura interrumpida para asegurar el estiramiento apical, así como la colocación certera de la MDA. Se efectuó una descarga perióstica para facilitar el reposicionado coronal del colgajo suprayacente.




Control del Colgajo y Cierre Contorneado
Se evaluó el colgajo facial suprayacente para asegurar que el recubrimiento completo de la MDA no presentara tensiones. Se cuidó en no alterar el periostio situado apical al material de MDA que sirve a modo de ancla a las suturas subperiósticas. A continuación, se aplicaron dos suturas subperiósticas (interrumpidas únicas) para estirar la MDA 5 mm más allá de la extensión más apical del defecto de recesión (no mostrado).
Los puntos de colchonero verticales, internos se utilizaron para posicionar el colgajo suprayacente coronalmente. La sutura pasó a través del colgajo vestibular al nivel aproximado de la unión mucogingival, para pasar después por encima de la MDA, penetrando la base de la papila palatina interproximal. La sutura volvió a través de la papila interproximal palatina y a través de la cara lingual del colgajo facial, saliendo alrededor de 2 mm coronal a la penetración inicial.
Por último, se fijó con seguridad. Después de finalizar este procedimiento de sutura en todas las áreas interproximales, se utilizó una sutura interrumpida simple para acercar las puntas de las papilas interproximales faciales y palatinas. En áreas en las que la pérdida ósea interproximal es evidente, pueden estar indicados puntos de colchonero verticales. Las incisiones de descarga vertical se cerraron con suturas interrumpidas únicas. No se aplicó ningún cemento periodontal.


La fotografía posquirúrgica al año, muestra el recubrimiento radicular completo en comparación con la imagen inicial.

Instrucciones Postoperatorias
Se aplicó presión directa con una gasa humedecida justo por encima de las zonas con injerto durante 3 a 5 minutos para que se iniciara la formación de un coágulo. La paciente debía enjuagarse con gluconato de clorhexidina al 0,12 % dos veces al día durante 12 semanas. Además, se prescribió un analgésico narcótico y un antiinflamatorio no esteroideo para el control del dolor, según necesidad.
La paciente se presentó a las visitas de evaluación a los 10 días, 6 semanas, 6 meses y un año. La cicatrización no presentó problemas. Durante el primer mes después de la intervención, la paciente sólo debía limpiarse la porción de esmalte de cada diente injertado con una torunda de algodón y agua. Después de dos semanas, podía realizar un enjuague ligero, cuidando que no entrase en contacto con los tejidos interproximales. A las 4 semanas del posoperatorio ya podía utilizar un cepillo blando doméstico en la zona quirúrgica. En cada visita o consulta, se evaluó la higiene bucal.
Discusión
La técnica modificada de injerto gingival sin tensión es una opción quirúrgica que detalla el uso de la MDA en el tratamiento de defectos de recesión gingival simples o múltiples de la Clase I o II de Miller. Esta técnica quirúrgica ofrece un planteamiento paso a paso, aplicando los principios quirúrgicos clave para mejorar la predictibilidad clínica y los resultados estéticos de la MDA, cuando se emplea como injerto subepitelial. Estos principios, una vez dominados e incorporados en la rutina clínica, mejoran la cicatrización precoz y permiten obtener unos resultados estéticos con la MDA, los cuales no podían observarse habitualmente.
Clasificación de Miller para Recesiones Radiculares
Según la predictibilidad en el cubrimiento radicular Miller presentó la siguiente clasificación en 1985:
- Clase I: la recesión de tejido marginal no se extiende más allá de la línea mucogingival. No hay pérdida de hueso ni tejido blando interdentario. Se puede conseguir el cubrimiento completo de la recesión de manera predecible.
- Clase II: recesión del tejido marginal que se extiende hasta la línea mucogingival o la sobrepasa. No hay pérdida de hueso ni tejido blando interdentario. Se puede conseguir el cubrimiento completo de la recesión de manera predecible.
- Clase III: recesión del tejido marginal que se extiende hasta la línea mucogingival o más allá. La pérdida de hueso o tejido blando interdentario es apical al límite amelocementario pero coronal a la extensión apical de la recesión de tejido marginal o existe malposición dentaria. Sólo podremos alcanzar un cubrimiento parcial de la recesión.
- Clase IV: recesión de tejido marginal que se extiende más allá de la unión mucogingival. La pérdida de hueso interdentario se extiende a un nivel apical a la extensión de la recesión del tejido marginal. Puede existir malposición dentaria. No se puede esperar un cubrimiento de la superficie radicular de manera predecible.
Esta clasificación sólo representa una guía para determinar el pronóstico del tratamiento pero hay otros factores a considerar, como la profundidad del vestíbulo, la convexidad radicular, la presencia de abrasiones radiculares, la dimensión de las papilas, el desequilibrio acentuado entre el plano óseo y dental, la proporción entre el área avascular/vascular, entre otros.
Tabla comparativa de técnicas de cirugía mucogingival para el cubrimiento radicular
| Técnica | Descripción | Ventajas | Desventajas |
|---|---|---|---|
| Injerto Gingival Libre | Aumento del grosor de encía queratinizada. | Técnica sencilla, resultados predecibles en recesiones estrechas y poco profundas. | Estética comprometida, mayor incomodidad postoperatoria. |
| Injerto de Tejido Conectivo Subepitelial | Aumento de encía queratinizada y cubrimiento radicular. | Mejor vascularización, resultados estéticos superiores. | Técnicamente más demandante, necesidad de segunda zona quirúrgica. |
| Matriz Dérmica Acelular (MDA) | Alternativa al injerto de tejido conectivo. | Evita segunda zona quirúrgica, menor morbilidad. | Más sensible a la técnica, resultados pueden ser menos predecibles. |
| Colgajo de Reposición Coronal | Desplazamiento coronal de tejido adyacente. | Resultados estéticos buenos, técnica conservadora. | Limitado a casos con suficiente encía queratinizada apical. |