La técnica MIU (Mínima Intervención Urbana) en ortodoncia es un enfoque que busca optimizar la erupción dental y mejorar la estética de la sonrisa con la menor intervención posible. Este método es particularmente útil en el manejo de caninos incluidos y otras situaciones donde los dientes no erupcionan correctamente.

¿Qué es la Técnica MIU?
La técnica MIU se centra en crear las condiciones óptimas para la erupción de un diente impactado, a menudo un canino, mediante una intervención quirúrgica y ortodóncica mínima. El objetivo principal es alinear el diente en su posición correcta en la arcada dental, mejorando tanto la función como la estética.
Componentes Clave de la Técnica MIU
- Exposición Quirúrgica: Implica la remoción del hueso que cubre el diente impactado para facilitar su erupción.
- Adhesión de un Botón Ortodóncico: Un botón se adhiere directamente al diente expuesto para aplicar fuerzas ortodóncicas controladas.
- Tracción Ortodóncica: Se utiliza un sistema de tracción para guiar el diente hacia su posición correcta en la arcada dental.
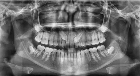
Caninos Incluidos: Un Problema Común
Los caninos son dientes importantes tanto funcional como estéticamente. Cuando un canino no erupciona correctamente, se le conoce como canino incluido. Este problema puede afectar la oclusión dental y la estética de la sonrisa.
La técnica MIU es frecuentemente utilizada para abordar los caninos incluidos, buscando llevarlos a su posición correcta en la arcada dental.
Consideraciones Anatómicas
Es crucial considerar la cresta alveolar de los maxilares y la posición de los dientes adyacentes al planificar el tratamiento de un canino incluido. La proximidad a estructuras anatómicas importantes debe ser evaluada cuidadosamente.
Procedimiento Detallado de la Técnica MIU
- Evaluación Diagnóstica: Radiografías y exámenes clínicos para determinar la posición exacta del canino incluido y su relación con las estructuras adyacentes.
- Exposición Quirúrgica: Remoción del hueso que cubre el canino, exponiendo una porción suficiente del diente.
- Adhesión del Botón Ortodóncico: Un botón se adhiere al canino expuesto, ya sea directamente adherido o cementado.
- Tracción Ortodóncica: Aplicación de fuerzas suaves y controladas para guiar el canino hacia su posición correcta.
Durante el proceso de tracción, es fundamental monitorear la respuesta del diente y ajustar las fuerzas según sea necesario.
Ventajas de la Técnica MIU
- Mínima Invasión: Reduce la necesidad de procedimientos quirúrgicos extensos.
- Preservación Ósea: Minimiza la pérdida de hueso alveolar.
- Mejora Estética: Contribuye a una sonrisa más armónica y funcional.
GC MI Paste Plus: Un Complemento Valioso
GC MI Paste Plus es un producto que puede ser utilizado como complemento en el tratamiento ortodóncico. Su fórmula, que combina iones de calcio y fosfato, ayuda a remineralizar el esmalte dental y a fortalecer los dientes. Es especialmente útil para pacientes que pueden experimentar desmineralización durante el tratamiento ortodóncico.
La composición CPP-ACP fue desarrollada por la Escuela de Odontología de la Universidad de Melbourne (Victoria, Australia). Limited.
| Componente | Beneficio |
|---|---|
| Iones de Calcio y Fosfato | Remineralización del esmalte dental |
| CPP-ACP | Fortalecimiento de los dientes |
| Sabor a Menta | Experiencia de uso agradable |
Consideraciones Adicionales
- Terceros Molares: La presencia y posición de los terceros molares deben ser evaluadas, ya que pueden influir en la erupción de otros dientes.
- Edad del Paciente: Es preferible corregir problemas de maloclusión, como la clase III, durante la edad de crecimiento.
Exodoncia de Caninos Incluidos (2 de 8): Concepto y Epidemiología.

Technic Cosmetics: Maquillaje y Cuidado Dental
Aunque no está directamente relacionado con la técnica MIU, el cuidado de la estética dental puede complementarse con productos de maquillaje que realcen la sonrisa. Technic Cosmetics ofrece una amplia gama de productos diseñados para mejorar la apariencia, incluyendo opciones veganas y libres de crueldad animal.
Technic Cosmetics es una marca británica de maquillaje con más de 30 años de experiencia creando productos de calidad a precios al alcance de todos los bolsillos. Si buscas un maquillaje con el que estar a la última, Technic Cosmetics es para ti.
Todos los productos de Technic Cosmetics están elaborados con ingredientes seguros y respetuosos con la piel. Dentro de su amplio abanico de productos encontrarás desde maquillaje para el rostro, ojos y labios hasta cosméticos para nuestra skincare.
tags: #tecnica #miu #ortodoncia