Cuando sonríes, ¿enseñas demasiada encía? Si tu respuesta es afirmativa, es posible que padezcas lo que se conoce como sonrisa gingival. Esta afección es principalmente estética, pero afortunadamente, existen tratamientos sencillos y seguros para corregirla.
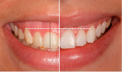
La sonrisa gingival es un defecto estético relacionado con las encías. Quien padece este problema, al sonreír, muestra un exceso de encía. Lo ideal sería mostrar menos de 2 milímetros de encía al sonreír. Si en tu caso la cantidad es superior es porque existe lo que conocemos como sonrisa gingival. Lo que ocurre es que la simetría de la boca se ve alterada, afectando notablemente a la estética facial.

¿Por qué se produce la sonrisa gingival?
La sonrisa gingival puede suceder por diferentes motivos. Determinar el motivo por el que existe un exceso de encía es fundamental. Antes de planificar un tratamiento para eliminar la sonrisa gingival es importante que el equipo de periodoncia y cirugía analice detenidamente el caso.
Algunas de las causas más comunes incluyen:
- Erupción dental incompleta: Si la erupción dental no es completa y parte del diente se queda escondido debajo de la encía, la sonrisa gingival suele ser una consecuencia.
- Desgaste dental elevado: Si el desgaste dental es elevado, normalmente a causa de enfermedades como el bruxismo o de hábitos poco saludables como el cepillado dental agresivo, la sonrisa gingival sería una de las consecuencias.
- Labios no simétricos: Cuando los labios no son simétricos también se genera este problema.
- Maxilar demasiado largo: Cuando la causa de la sonrisa gingival es tener un maxilar demasiado largo en relación con nuestra cara, es necesario llevar a cabo un tratamiento quirúrgico conocido como cirugía ortognática, que permite modificar los huesos de la cara y colocarlos en una posición óptima.
- Erupción pasiva alterada: En el caso de que el paciente presente una sobreexposición de encía debido a una erupción pasiva alterada, el tratamiento que se debe realizar también es quirúrgico, aunque mucho más sencillo. La erupción pasiva alterada hace que mostremos un diente excesivamente corto, ya que durante su erupción se ha producido una anomalía y la encía no se ha retraído lo suficiente.
- Posición dentaria baja: Como hemos mencionado previamente, una posición dentaria baja se produce por la sobreerupción de los incisivos superiores, que no encuentran el contacto con los inferiores.
- Labio superior corto o con mucha movilidad: En los casos en los que la gummy smile se debe a un labio superior corto o con mucha movilidad, es necesario alterar la acción de los músculos de dicho labio. Para ello, es posible realizar infiltraciones de botox, que lo que hacen es evitar que el músculo ejerza demasiada fuerza. Así, se podrá controlar que la persona enseñe la cantidad justa de encía.
¿Cómo solucionar la sonrisa gingival?
El tratamiento que se suele realizar para corregir la sonrisa gingival es la gingivectomía. El alargamiento coronario es otra de las cirugías orales que podrían resolver este problema estético.
En estos casos, el diseño de sonrisa previo nos garantiza resultados estupendos. Por ello, en BordonClinic ofrecen un diseño de sonrisa digital (DSD) antes de llevar a cabo el tratamiento para corregir el exceso de encías.
Algunas opciones de tratamiento son:
- Gingivectomía: esta intervención quirúrgica nos permite eliminar el tejido que sobra en la encía. Este procedimiento consiste en contornear la forma de la encía para, de esta manera, descubrir la parte del diente que debería ser visible.
- Alargamiento coronario: eliminación tanto de la encía como del hueso alveolar sobrante.
- Cirugía ortognática: La cirugía ortognática es una especialidad dentro de la Medicina que permite modificar los huesos de la cara y colocarlos en una posición óptima.
- Tratamiento de ortodoncia: Al contrario que en los casos anteriores, la solución para corregir este defecto no es un procedimiento quirúrgico, sino que consiste en llevar los dientes a la posición adecuada.
- Infiltraciones de botox: En este último caso, no se aborda la causa tanto como en los casos anteriores, ya que no se realizan modificaciones en la encía, el maxilar o el diente. Por ello, puedes consultar esta posibilidad en un centro de estética de tu confianza.
Importancia de la higiene bucodental
En el caso de que la sonrisa gingival forme parte de tu estética dental es importante que prestes mucha atención a tu higiene bucodental. Además de cepillarte los dientes cada día, debes de eliminar las bacterias que se alojan bajo la línea de las encías. La visita a la clínica dental es clave en casos de sonrisa gingival.
Además de la alteración en la estética de la cara, la sonrisa gingival está detrás de afecciones en las encías, como las patologías periodontales. Al contar con una encía más amplia, el riesgo de que las bacterias aniden en ella es muy superior. Son las bacterias de la boca las que generan daños serios en las encías y en los dientes. Estos microorganismos son los que provocan la destrucción de tejidos y las infecciones orales. Ante una infección bucodental es importante ponerse en manos de un periodoncista.
Encías inflamadas y sonrisa gingival
Es importante prestar atención a la salud de las encías, ya que la inflamación puede ser un signo de problemas más profundos. Las encías se suelen inflamar por la formación frecuente de placa bacteriana en los dientes y alrededores. Al ser una enfermedad muy común, muchas personas no le suelen prestar atención.
Las personas que comen alimentos ricos en azúcar y almidón suelen tener más riesgo de sufrir encías inflamadas. Acciones como tomar determinados medicamentos, consumir tabaco o llevar ortodoncia pueden favorecer el surgimiento de este problema. Por el contrario, la periodontitis es la enfermedad periodontal más grave de las encías. Este problema es el resultado de una gingivitis no tratada. El sistema inmunitario del paciente reacciona excesivamente ante esta placa y se ataca a sí mismo, rompiendo el tejido y los huesos encargados de sostener los dientes, pudiendo provocar la pérdida de los mismos.
La falta de vitamina C o hierro también puede provocar la inflamación de las encías. Es muy probable que, si estás tomando un medicamento nuevo, la inflamación de tus encías sea producto de este fármaco. Un cambio en el enjuague o crema bucal puede ser clave para comprender la inflamación de tus encías. El mayor cambio hormonal de una mujer ocurre cuando va a tener un hijo.
Cualquier prótesis dental mal colocada puede producir pequeñas heridas o irritaciones.
¿Cómo desinflamar las encías?
- Bebe té: esta bebida contiene una solución antiséptica natural encargada de desinfectar y mejorar la curación de tus encías.
- Bicarbonato: su función es eliminar las bacterias que se acumulan en tu boca tras cada comida.
- Lávate los dientes tras cada comida.
Azúcar: su ingesta facilita la acumulación de la placa bacteriana. Ángulo de cepillo: lo más recomendable es cepillarte los dientes realizando movimientos circulares u ovalados. Además, debes orientar el cepillo hacia abajo, en dirección a la encía, en un ángulo de 45 grados. Suave: recuerda que no debes cepillar tus dientes con mucha fuerza o durante mucho tiempo. Limpieza completa: no puedes quedarte solamente en la superficie, debes asegurarte de limpiar todos los rincones de tu boca. Espacios imprescindibles: la línea de la encía y los espacios entre los dientes suelen ser zonas que se olvidan pero, no por ello, debes tener prestarles menos atención. Lengua: en muchas ocasiones te habrás limpiado los dientes y las encías pero no la lengua. Una correcta higiene bucodental también incluye el cepillado de tu lengua, dándole un aliento fresco y eliminando las bacterias.
Las encías retraídas son uno de los problemas más comunes hoy en día. Las encías se van reduciendo progresivamente y al final da la sensación de tener los dientes largos o que se mueven. Una mala higiene dental es la principal causa de la enfermedad periodontal. El cepillado de nuestros dientes debe de ser suave sin hacer fuerza ni apretar. Si un paciente es bruxista de manera continuada, esta parte de la dentadura puede padecer que las encías se retraigan. Ante un retraimiento de encías avanzado por malos hábitos (mala higiene, tabaco). Ante un estado critico de tus encías retraídas, la cirugía estética periodontal se presenta como la única solución.
Opciones para tratar las encías retraídas:
- Estiramiento de encía: en el cual el paciente se somete a una microcirugía en sus encías.
- Microinjerto de encía: cuando el caso es extremo se utiliza esta opción en la cual una mínima fracción del tejido del paladar es removido y luego injertado para cubrir tu encía.
- Encías retraídas por el bruxismo: cuando un paciente presenta deterioro en sus dientes debido al bruxismo, comúnmente el esmalte de sus dientes ha caído dejando expuesta la dentina. Incluso bajo un cepillado normal tus encías pueden retraerse, caso en el cual se utiliza una placa de descarga que ayuda a detener este inconsciente acto de rechinar los dientes.
El primer paso para diseñar un tratamiento eficaz es el estudio completo de la boca. Valorar el estado de salud bucodental es primordial para planificar el tratamiento más indicado en cada caso.
Sea cual sea el tratamiento que se debe llevar a cabo para corregir la sonrisa gingival, los principales beneficios de cualquiera de ellos son principalmente estéticos puesto que permiten al paciente tener una sonrisa más bonita.

Pide cita en BordonClinic si la sonrisa gingival se ha convertido en un problema estético para ti. Si muestras mucha encía al sonreír y tus dientes parecen más pequeños de lo que son, en nuestra clínica dental en Madrid tenemos la mejor solución para ti.
La encía es la parte carnosa de la boca que cubre la mandíbula y su función es proteger la raíz de los dientes.
Recuerda que, si tienes dudas o inquietudes sobre tu salud bucodental, es fundamental consultar a un especialista para obtener un diagnóstico y tratamiento adecuados.
Si necesitas un tratamiento de periodoncia en Sevilla o una clínica dental en Dos Hermanas para tratar enfermedades de las encías, nuestra clínica Dobleese es tu mejor opción. Nuestro equipo de especialistas y nuestras técnicas avanzadas aseguran cuidados excepcionales y resultados duraderos en el tratamiento de encías en Sevilla.
Clínica Dental Periodontium tiene como objetivo desde su nacimiento favorecer el desarrollo y mantenimiento de unas encías sanas en todos y cada uno de sus pacientes. Si crees que padeces agrandamiento de la encía o cualquier otra patología que afecte a esta parte tan sensible de tu boca, no dudes en pedirnos cita sin compromiso alguno.
En Ferrus & Bratos nos guiamos por unas pautas editoriales que aseguran la veracidad de toda la información que publicamos. En Ferrus&Bratos cumplimos con el RGPD de la UE por lo que tus datos están seguros.
Desde nuestra clínica dental somos especialistas en periodoncia en Oviedo y recomendamos que se acuda al dentista en busca de un diagnóstico exhaustivo para valorar cuál es la causa del problema y la mejor solución.
En este artículo, vas a conocer toda la información clave para ayudarte a identificar si podrías estar padeciendo alguna enfermedad periodontal. Un claro indicativo de problemas gingivales es la inflamación de las encías. Si notas que tus encías están rojas, hinchadas o sientes dolor al tocarlas, es un aviso importante. Estos signos suelen ser el resultado de una acumulación de placa y bacterias alrededor de los dientes y deben motivarte a mejorar tu higiene bucodental. El sangrado de las encías durante el cepillado o al usar hilo dental puede ser indicativo de que hay una enfermedad gingival en desarrollo. Este problema no solo afecta la estética de tu sonrisa, sino que también puede aumentar la sensibilidad dental y el riesgo de problemas dentales adicionales. El mal aliento crónico, también conocido como halitosis, puede ser un indicador de enfermedades de las encías. Además, es importante estar atento a cualquier cambio de color de las encías, como cuando da la sensación de tener las encías negras.
Además de conocer los síntomas de las enfermedades de las encías, es fundamental entender los factores de riesgo que pueden incrementar las posibilidades de desarrollarlas. Un pilar fundamental en la prevención de las enfermedades de las encías es una adecuada higiene bucodental. No debemos pasar por alto la influencia de los factores genéticos en la salud de nuestras encías. Enfermedades sistémicas como la diabetes pueden influir en la salud de las encías. Finalmente, factores como el estilo de vida y el entorno en el que vivimos también juegan un rol significativo. Conocer estos factores de riesgo nos permite adoptar medidas preventivas más efectivas, pero ¿qué causas estas enfermedades bucodentales?
La gingivitis es la etapa inicial y más común de la enfermedad gingival. Se caracteriza por enrojecimiento, hinchazón, y a veces, sangrado de las encías durante el cepillado. Si la placa no se elimina adecuadamente, sus bacterias pueden irritar las encías, llevando a la gingivitis. Para comprender mejor cómo tratar esta afección, descubre más sobre cómo curar la gingivitis. Si la gingivitis no se trata, puede progresar a una enfermedad de las encías más grave conocida como periodontitis. La relación entre las caries dentales y las enfermedades gingivales es notable. Aunque son afecciones diferentes, ambas pueden ser causadas por la acumulación de placa. Un absceso periodontal es una infección grave que ocurre en las encías. Se caracteriza por dolor intenso, hinchazón, y a veces, la liberación de pus. El traumatismo oclusal se refiere al daño en las encías y tejidos de soporte causado por una fuerza excesiva sobre los dientes, como puede ocurrir con un bruxismo no tratado o una mordida incorrecta. La gingivitis ulcerosa necrotizante es una forma grave y dolorosa de enfermedad gingival, a menudo asociada con inmunodeficiencias severas o estrés extremo. Es importante recordar que el tratamiento de las enfermedades de las encías será determinado por un periodoncista, quien, tras un estudio minucioso de tu caso, decidirá cuál es el mejor tratamiento según la enfermedad de las encías y de la gravedad de la misma. Este procedimiento, realizado por un dentista o higienista dental, no solo limpia la placa y el sarro que no pueden ser eliminados con el cepillado regular, sino que también ayuda a prevenir futuras acumulaciones. Cuando se trata de periodontitis, las opciones de tratamiento se diversifican. En situaciones donde la enfermedad ha provocado la pérdida de dientes, los implantes dentales son una solución efectiva.
Además del tratamiento, el control y la prevención son fundamentales. Prevenir las enfermedades de las encías es posible, y de hecho, es la mejor manera de mantener una buena salud bucodental. Cepillado regular: cepilla tus dientes al menos dos veces al día con una pasta dental con flúor. Las visitas regulares al dentista son esenciales para prevenir las enfermedades gingivales. El estilo de vida tiene un impacto directo en la salud de tus encías. Dejar de fumar: el tabaquismo es uno de los factores de riesgo más significativos para el desarrollo de enfermedades gingivales.
Agrandamiento de la encía. Agrandamiento de la encía. ¿A qué se puede deber?El agrandamiento de la encía o agrandamiento gingival es un fenómeno que se produce en algunos pacientes cuando, por diversos motivos, los tejidos que rodean a los dientes, crecen excesivamente.
Causas principales del agrandamiento de la encía.Como ya hemos comentado, existen varios factores, tanto externos como internos, que pueden provocar esta patología. Causas hereditarias.La más frecuente es la hiperplasia gingival idiopática. Falta de higiene oral.Este es uno de los motivos más habituales que provocan el agrandamiento gingival por la acumulación de sarro y placa entre la base del diente y la encía, que ocasiona inflamación y sangrado de encía. Ortodoncia.En ocasiones los dientes torcidos fomentan la acumulación de restos de alimentos y de placa o sarro en la base de los dientes, provocando a su vez la inflamación de encías y en consecuencia, su agrandamiento. Respiración oral.Puede parecer una cuestión baladí, pero respirar por la boca de manera continuada reseca mucho la cavidad y puede generar numerosos problemas como el daño de las encías. Factores hormonales (pubertad/embarazo).Los cambios hormonales que, sobre todo las mujeres, padecen en momentos concretos como la pubertad o el embarazo, determinan otros factores que pueden afectar a la inflamación de encías.
Tratamiento del agrandamiento de la encía.Además de los consejos que te hemos aportado hasta ahora para acabar con el agrandamiento de la encía, existe un procedimiento específico para tratar este tipo de casos. La técnica se practica bajo anestesia local y consiste en eliminar una pequeña banda de encía para que el diente se vea un poco más en boca.
Algunas personas creen que la sonrisa gingival puede dar lugar a problemas periodontales. En este tipo de casos, el labio se desplaza excesivamente hacia arriba y provoca la exposición excesiva de encía.
Una vez mencionados los diferentes casos, lo más frecuente es que la sonrisa gingival se deba a una erupción pasiva alterada o a una posición dentaria baja.
Aunque, como hemos adelantado previamente, la percepción de lo que es estético y lo que no, varía en función de cada persona, los odontólogos hemos tratado de acotar qué se considera sonrisa gingival y qué no. Por su parte, en las mujeres la gummy smile se considera a partir de una exposición de tres o cuatro milímetros de encía.
Como ya hemos avanzado, por sonrisa gingival entendemos una sonrisa en la que, al sonreír, se expone una cantidad desproporcionada de encía. Una vez dicho esto, se debe señalar que el concepto de sonrisa gingival es diferente en cada persona, ya que los gustos y la percepción varían de una a otra. Además de esto, la gummy smile suele ser mejor aceptada por mujeres que por hombres. Esto se debe a que si la relación entre encía, dientes y labios no es excesivamente desproporcionada, puede aportar dulzura y un aspecto aniñado a la cara.
Hay quienes, al sonreír, muestran una cantidad de encía mayor de lo habitual. Este protagonismo de la encía, que se conoce como sonrisa gingival, puede ser para muchas personas un simple rasgo característico de su sonrisa. A aquellas personas a las que la sonrisa gingival o gummy smile les supone un complejo, es muy importante decirles que, en la mayoría de las ocasiones, tiene fácil solución.