En odontología, especialmente después de un tratamiento de ortodoncia, los retenedores juegan un papel crucial. Su función principal es mantener las correcciones logradas durante el tratamiento, evitando que los dientes vuelvan a su posición original. Este artículo ofrece una visión detallada de los diferentes tipos de retenedores mecánicos disponibles, sus indicaciones y cómo mantenerlos adecuadamente.
Los dientes tienden a moverse a lo largo de toda nuestra vida. La retención ortodóncica permite mantener las correcciones obtenidas durante la ortodoncia durante el mayor tiempo posible. El manejo del tiempo posterior a la finalización de caso resulta de extremada importancia, tanto como el propio tratamiento en sí.
Muchos profesionales han preconizado la necesidad de retener un caso ortodóncicamente tratado, durante un cierto tiempo al menos. El paciente quiere saber desde el primer momento si necesitará algún retenedor, cuánto tiempo deberá llevarlo, … y demás cuestiones controvertidas.
Ante los múltiples sistemas mecánicos para retener un tratamiento ortodóncico que ofrece la literatura, cada ortodoncista debe valorar cada caso independientemente y planificar la retención más adecuada desde el comienzo del tratamiento.
TIPOS DE RETENEDORES | ¿CUÁL ES MEJOR PARA TÍ?
Tipos de Retenedores
Existen principalmente dos categorías de retenedores: removibles y fijos.
Retenedores Removibles
Son aparatos que el paciente puede quitarse y ponerse, lo que facilita la higiene oral y la alimentación. A continuación, se describen algunos de los tipos más comunes:
- Placa de Hawley: Es el aparato más común de los retenedores removibles y puede ser utilizado tanto para la arcada superior como para la inferior. Se compone de retenedor de Adams para los molares, un arco vestibular que contacta con la superficie vestibular de los caninos y de los cuatro incisivos, y el cuerpo de acrílico que se adapta a los tejidos blandos y a la superficie lingual de los dientes.
Las placas tipo Hawley, gracias a la capacidad de permitir cierta movilidad cuando por su diseño presentan las caras oclusales libres, permiten un mejor engranaje con su arcada antagonista, aumentando el número de puntos de contactos oclusales.
- Retenedor Circunferencial o de Begg: El retenedor circunferencial o de arco contínuo, también conocido como retenedor de Begg , el cual sólo incorpora un arco labial, sin utilización de retenedores interoclusales.
- Retenedores Termoplásticos (Essix): En 1971, Ponitz describió una alternativa al tradicional retenedor removible: el retenedor termoplástico. En 1993, Sheridan introdujo el retenedor Essix®. Entre sus ventajas, caben destacar la fácil fabricación, el bajo coste, la estética y aceptación de los pacientes.

Retenedor Essix
Los retenedores termoplásticos tienen la gran ventaja de que pueden utilizarse para alinear incisivos irregulares, si se ha producido un ligero apiñamiento tras el tratamiento.
- Retenedor Osamu: El cual consta de dos capas, la capa interior fabricada de copolímero de etileno-acetato de vinilo-bioplast®- con 1,5 mm de grosor, se adapta a las áreas interproximales y cubre la cara lingual y vestibular de los dientes, excepto los dos o tres milímetros incisales. La capa externa, de plástico duro de policarbonato de 0,75 mm de grosor -imprelon s®-, cubre las caras oclusales, vestibulares y palatinas de los dientes, permitiendo una buena oclusión con la arcada antagonista.
- Guarda Damon: Otra variante en retenedores termoplásticos desarrollada por el Dr. Damon es la Guarda Damon, consistente en 2 retenedores removibles, unidos en una posición de avance mandibular, originando distracción y avance condilar.
Cuidado de los Retenedores Removibles
Para asegurar la durabilidad y eficacia de los retenedores removibles, es fundamental seguir estas recomendaciones:
- Retíralos antes de comer para evitar la acumulación de alimentos y sarro.
- Límpialos diariamente con un cepillo dental suave, agua y jabón neutro.
- Evita el uso de productos químicos abrasivos.
- Guárdalos en su estuche cuando no los estés usando para protegerlos de daños.
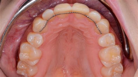
Retenedores Fijos
Son alambres que se cementan a la cara lingual (interna) de los dientes anteriores, proporcionando una retención continua y discreta. Estos retenedores son ideales para pacientes que requieren una retención a largo plazo o que tienen un alto riesgo de recidiva.

Retenedor Fijo
Desde su introducción en 1977, estos retenedores han ido modificando su diseño inicial, así como el material en que se han fabricado, usándose blue-elgiloy, acero inoxidable, oro en distintos grosores, con o sin bucles en caninos.
Básicamente existen dos tipos de cementado para estos retenedores: con adhesión sólo a caninos o adheridos a cada uno de los dientes del segmento anterior.
En aquellos casos en los que los retenedores sólo se fijen a los caninos, el alambre debe de tener una sección de 0,032 pulgadas, siendo éste un diámetro relativamente rígido. Normalmente, el retenedor cementado solo en los caninos es efectivo en el mantenimiento de la anchura intercanina, pero deficiente en la prevención de rotaciones individuales de los incisivos.
Una alternativa a los retenedores de alambre son los retenedores de fibra de vidrio, los cuales se recubren de composite. La ventaja es que su tamaño se reduce, pero la desventaja es que se convierte en un retenedor demasiado rígido, que no permite los movimientos dentarios fisiológicos y contribuye a un mayor número de descementados.
Liou propone usar un retenedor inferior de níquel-titanio, de .018” de diámetro, de canino a canino, cementado en los 6 dientes anteroinferiores como retenedor permanente. Incluso lo usa para solucionar pequeñas recidivas del apiñamiento anterior sin necesidad de volver a colocar brackets.
Cuidado de los Retenedores Fijos
El cuidado de los retenedores fijos requiere una higiene oral meticulosa:
- Cepíllate los dientes al menos tres veces al día, prestando especial atención a la zona donde el retenedor se une a los dientes.
- Utiliza hilo dental con un enhebrador para limpiar entre los dientes y debajo del alambre del retenedor.
- Evita morder alimentos duros o pegajosos con los dientes anteriores para prevenir el desprendimiento del retenedor.
- Asiste a controles regulares con tu ortodoncista para asegurar que el retenedor esté en buen estado y funcionando correctamente.
Clasp-eze: Una Alternativa Estética
Clasp-eze son retenedores para prótesis removible, prefabricados a base de poliamidas de nylon termoadaptables, que han sido introducidos al mercado europeo como alternativa estética a los ganchos metálicos y económica a los acetálicos colados convencionales .
Desde el punto de vista clínico, este tipo de gancho esta indicado en aquellas personas que debido a edad, factores sociales o estéticos no pueden tolerar retenedores metálicos, tanto colados como forjados en sus prótesis dentales. Es aquí donde este tipo de retenedores estéticos tienen una indicación clínica para superar los inconvenientes citados.
El diseño es similar al de la confección de los retenedores acetálicos, colados y forjados convencionales. El brazo del retenedor debe transcurrir a lo largo del ecuador dentario y alojar la punta elástica por debajo de este, debido a que esta punta va a ser la que otorgue retención a la prótesis.
El Clasp-eze es un retenedor eminentemente activo por lo cual la reciprocidad estará dada por un gancho recíproco metálico en un prótesis removibles de base metálica, y por el propio acrílico en casos de prótesis removibles de resina

Clasp-eze
Manipulación e instrucciones de procesado para clasp-eze
Se parte de unos ganchos plásticos prefabricados, que se manipulan mediante una «pistola térmica» que está diseñada para mantener un nivel de aire caliente que no queme ni perjudique el material. Esta pistola térmica llega a la temperatura de trabajo óptima de forma automática.
El aire caliente emanado por la pistola térmica, se debe dirigir hacia el gancho moviéndolo en torno al foco de calor hasta que el material se vuelva dúctil entre los dedos, momento en el que es muy fácil de modelar. Se adapta a la cara vestibular y se mantiene en esa posición durante unos instantes hasta que adquiera otra vez la rigidez necesaria.
Prótesis Parciales y Retenedores
Las prótesis parciales removibles se utilizan para restaurar la función masticatoria, la fonética y la estética, y para prevenir un deterioro grave de los dientes remanentes. Estas prótesis se componen de dientes artificiales colocados sobre una silla protésica con base de acrílico y de elementos de anclaje y unión.

Prótesis parcial removible
Los retenedores son los elementos que sujetan la prótesis parcial a los dientes remanentes. Se distingue entre elementos de retención, que contrarrestan las fuerzas de extracción, y elementos de apoyo, que transmiten las fuerzas verticales a los dientes pilares y al periodonto.
El tipo de retenedor utilizado determina la clasificación de la prótesis parcial. La prótesis de armazón colado convencional va provista de ganchos colados.
Ganchos Colados
Al igual que el armazón de la prótesis, los ganchos colados se confeccionan en una sola pieza con una aleación de CoCrMo. Los ganchos de las prótesis esqueléticas coladas en una sola pieza constan de cinco elementos: brazo retentivo, brazo recíproco, apoyo oclusal, hombro del gancho y conector menor.
Para apoyar y fijar la prótesis deben tallarse apoyos en el esmalte dental con una anchura de 2 a 3 mm y una profundidad de 1,5 a 2 mm. Por razones técnicas relacionadas con el sistema colado se deben redondear el suelo del apoyo y todos los bordes. No se deben tallar apoyos en superficies inclinadas puesto que se provocaría una desviación de los dientes.
En la figura 8 se muestran los tipos de ganchos más habituales.

Tipos de ganchos
Duración y Cuidados Posteriores de las Prótesis Parciales
La mayoría de las prótesis parciales se confeccionan para tratar a pacientes con una mandíbula clase I y II según Kennedy. Sin embargo, entre el 25% y el 28% de los pacientes que han recibido prótesis inferiores para brechas de clase I de Kennedy no las utilizan. Los pacientes se quejan en su mayoría de la presencia de zonas de presión y de la retención de alimentos.
Mantenimiento y Reparaciones
Las prótesis telescópicas requieren más mantenimiento que las prótesis con ganchos, pero presentan una supervivencia mayor gracias a que se puede compensar con más facilidad la pérdida de pilares. Vermeulen et al constataron que las prótesis para los casos de extremo libre requieren más ajustes que las prótesis para brechas limitadas por dientes. A los 10 años el 50% de las prótesis se seguían utilizando.
Durante el estudio se observó que al cabo de 5 años se había producido la rotura de un gancho en el 17% de los casos. Este dato coincide con los resultados de Spiekermann, que arrojaron una tasa de fracasos del 19% por rotura de ganchos.
Higiene y Prevención
Algunos estudios realizados en los años cincuenta confirmaron la opinión general de que las prótesis parciales removibles provocan con frecuencia caries y periodontitis. Sin embargo, estudios posteriores demostraron que esta afirmación no tiene una validez absoluta.
Chandler y Brudvik no hallaron ningún aumento desproporcionado de la caries en portadores de prótesis parciales, si bien observaron que la mitad de las lesiones de caries se encontraban en puntos cubiertos por elementos de la prótesis. Budtz-Jørgensen e Isidor observaron un aumento de la caries radicular en portadores de prótesis parciales.
tags: #tipos #de #retenedores #mecanicos