La tomografía axial computarizada (TAC) dental, también conocida como tomografía computarizada dental o simplemente CT dental, es una herramienta tecnológica avanzada utilizada en odontología para obtener imágenes detalladas de la estructura bucal y facial. En el área que nos ocupa, uno de los avances que mayores beneficios ha traído a la práctica dental es el del TAC dental en 3D, muy utilizado en Odontología.
Dentisalut es una Clínica Dental en Barcelona que pone a tu disposición la tecnología 3D más avanzada, el TAC Dental. El TAC Dental, no es lo mismo que un TAC convencional, el Clínico puede disponer de mucha más información útil.
A continuación, exploraremos en detalle qué es un TAC dental, para qué sirve, sus beneficios, el procedimiento, y otros aspectos relevantes.
Las ventajas de que tu dentista te haga tomografía dental
¿Qué es el TAC Dental y Para Qué Sirve?
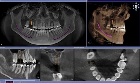
El TAC bucal sirve para hacer un completo estudio radiológico de la boca del paciente, ya que permite obtener imágenes de sus estructuras dentales y óseas. Esta tecnología revolucionaria permite a los dentistas y cirujanos maxilofaciales visualizar con precisión los tejidos duros y blandos de la boca, lo que les permite diagnosticar con mayor exactitud una variedad de condiciones, desde caries dentales hasta problemas de los senos paranasales.
El TAC dental sirve para tomar imágenes tridimensionales de las estructuras nerviosas, los dientes y los huesos craneofaciales, es una prueba diagnóstica. Cuando las radiografías dentales o faciales no son suficientes, se realiza el TAC dental. El TAC dental no se usa en cualquier procedimiento dental, se utiliza en tratamientos concretos.

Diferencia entre Radiografías y TAC Dental
A diferencia de las radiografías dentales convencionales, que solo proporcionan imágenes bidimensionales, el TAC dental ofrece imágenes tridimensionales de alta resolución. Esto significa que los profesionales de la salud dental pueden examinar cada estructura desde diferentes ángulos, lo que les brinda una comprensión más completa de la anatomía bucal de un paciente.
¿Cuándo es Necesario un TAC Dental?
El TAC maxilar y mandibular se utiliza en procedimientos concretos, no en la totalidad de tratamientos dentales. La especialidad donde más se usa es la Implantología, pero es normal recurrir a esta prueba para abordar otros tipos de casos que te explicamos en el siguiente apartado.
El uso del CBCT es muy variado y se emplea en varios campos de la odontología:
- Cirugía de dientes impactados.
- Diagnóstico del desorden articular temporomandibular (TMJ).
- Localización precisa de implantes dentales.
- Evaluación de las mandíbulas, senos paranasales, canales nerviosos y cavidad nasal.
- Detección, medición y tratamiento de tumores de la mandíbula.
- Determinación de la estructura de huesos y de la orientación de los dientes.
- Localización del origen del dolor o patología.
- Análisis cefalométrico.
- Cirugía reconstructiva.
- Localización de conductos dentales en endodoncia
Usos Específicos del TAC Dental
El TAC dental se caracteriza por ser una prueba sencilla y rápida, que se hace en unos pocos segundos o minutos. El TAC dental es una prueba que tiene diversos usos en Odontología:
- Colocación de Implantes: Con el TAC mandibular y maxilar podemos medir la anchura, altura y espacio disponible para insertar los implantes. Estudiar las estructuras óseas es esencial para determinar la posición exacta del tornillo, además de asegurar el éxito de la cirugía. La planificación de la cirugía guiada por ordenador combinada con la carga inmediata permite recuperar todos los dientes en un día. El CBCT permite identificar la mejor vía para el acceso quirúrgico. Reduciendo así el riesgo de lesiones neurológicas, dentales. El TAC dental nos da la opción de colocar “virtualmente” los implantes gracias a los diferentes software que existen. Esto nos asegura que a la hora de la intervención el cirujano sepa con mucha seguridad cual es lugar más apropiado. También nos facilita que en intervenciones más complejas la tasa de éxito aumente. Antes de proceder a la colocación de uno o varios implantes dentales, necesitaremos saber si tu mandíbula cuenta con la cantidad y densidad suficiente de hueso como para darle soporte.
- Regeneración de Hueso: Pero la regeneración de hueso dental también puede ser necesaria en tratamientos de periodoncia, puesto que las bacterias causantes de la enfermedad periodontal destruyen los soportes dentales. Aunque colocar implantes con poco hueso es posible, en la mayoría de ocasiones se requiere de un injerto óseo que asegure la sujeción del tornillo.
- Endodoncia: Con la endodoncia podemos vaciar los conductos dentales para evitar su extracción, así que la precisión en este tipo de intervenciones son cruciales.
- Extracción de Muelas del Juicio: El TAC para extraer muelas del juicio incluidas es muy frecuente, ya que permite conocer el estado del diente y saber cómo es mejor abordar la exodoncia. Igualmente, utilizamos el TAC para planificar tratamientos de ortodoncia cuando tenemos previamente que sacar algún diente impactado.

¿Cómo se Realiza el Procedimiento?
Realizar una tomografía computada de la boca es un procedimiento muy sencillo y rápido que tan solo dura unos 20-30 segundos. El CBCT o TAC dental se realiza de la misma forma que una ortopatomografia (radiografía de toda la boca). Para ello se utiliza un dispositivo de rayos X que da una vuelta alrededor de la cabeza del paciente mientras este permanece de pie. Como medidas de protección al paciente se le pone un chaleco de plomo. El proceso dura entre 30-60 segundos. Se le pedirá al paciente que se mantenga muy quieto cuando coloca su cabeza en el equipo mientras los rayos X y el detector giran alrededor de él unos 360 grados o menos. Deberá morder una pieza de plástico y mantenerse muy quieto. No necesita preparación, puedes comer y beber con normalidad antes del procedimiento.
Colocarte el delantal de plomo que te entregaremos para protegerte de la radiación.
Beneficios del TAC Dental
Los beneficios del TAC dental son numerosos. No solo ayuda a los profesionales a diagnosticar problemas dentales y maxilofaciales con mayor precisión, sino que también facilita la planificación de tratamientos complejos, como la colocación de implantes dentales o cirugías de reconstrucción facial.
- Diagnósticos y Tratamientos Más Precisos: El hecho de tener una representación tan fiable de la boca ayuda a que el dentista haga un diagnóstico adecuado y completo.
- Bajo Nivel de Radiación: Otro de los beneficios del TAC dental es que emite una radiación muy baja, por lo que es una prueba segura siempre y cuando se realice correctamente. Aún así, nuestro equipamiento técnico es digital, que minimiza casi por completo el impacto de la radiación.
- Detección Temprana de Problemas: El TAC dental permite la detección de quistes, granulomas, tumores o fracturas ocultas que podrían pasar desapercibidos en radiografías convencionales.
¿Cuánta Radiación se Recibe con un TAC Dental?
La radiación se mide en microsieverts, hay que entender que por la mera existencia, todos los seres vivos del planeta recibimos un mínimo de radiación equivalente a 6 microsieverts (radiación cósmica). La dosis de un estudio CBCT es al menos seis veces menor que la de una tomografía médica convencional. Podemos observar que el CBCT emite la misma radiación que dos ortopantomografías (radiografía de toda la boca).
Esta diferencia se puede explicar por el tipo de tecnología que utiliza la tomografía de haz cónico. La emisión del haz es en forma de cono y la captura de la imagen dura entre 12-20 segundos. Solo se realiza una única rotación minimizando la dosis de radiación y el riesgo de repetición de tomas.
No, el TAC no supone riesgo alguno para los pacientes que lo realizan. No es malo ni peligroso siempre que se haga bajo la supervisión de un profesional.
Tabla Comparativa de Radiación en Procedimientos Radiológicos
| Procedimiento Radiológico | Radiación (microsieverts) |
|---|---|
| Radiación cósmica | 6 |
| CBCT (TAC Dental) | Equivalente a dos ortopantomografías |
¿Qué precio tiene un TAC Dental?
En Dentisalut, Clínica Dental en Barcelona el Tac Dental tiene un precio que oscila entre los 80 y 100 €, dependiendo si la petición realizada por el profesional es para una o ambas arcadas. Se entrega en un puerto USB tal cual se ha tomado la imagen, sin retoques ni enfoques.
Consideraciones Adicionales
En nuestra clínica, tenemos la capacidad de realizar al mismo tiempo el TAC y la radiografía panorámica. Y es que muchas veces un paciente que necesita el primero también requiere de la segunda prueba.
En Ferrus&Bratos cumplimos con el RGPD de la UE por lo que tus datos están seguros.
En Dentisalut, nuestros especialistas y personal Auxiliar están en continua formación. Entender como funciona el TAC Dental y como se debe posicionar al paciente no son los únicos aspectos a tener en cuenta a la hora de realizar la prueba. Por ello la Dra. Araceli Martínez Miravé colabora con nuestra Clínica en la perfección de la toma de imágenes y la gestión de estas.
En Clínica Dental Clara Martínez Valero, nos enorgullecemos de ofrecer un servicio de TAC dental que certifica significativamente la calidad de nuestros diagnósticos y tratamientos.
tags: #tomografia #axial #computarizada #dental