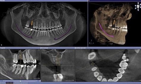
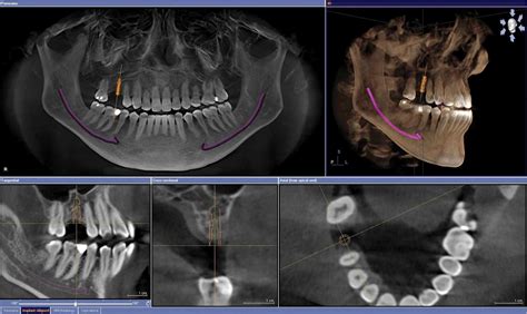
La radiografía TAC dental 3D es una prueba radiológica moderna utilizada en odontología para obtener imágenes precisas y detalladas de la estructura ósea de la mandíbula y el maxilar. Este tipo de estudio es esencial para una variedad de tratamientos y diagnósticos dentales.

¿Cómo se realiza un TAC dental?
El proceso de un TAC dental es rápido y no invasivo. A continuación, se describe el procedimiento:
- Antes de acudir a la cita, no es necesario seguir ninguna preparación especial.
- Para proteger al paciente de la radiación, se coloca un chaleco plomado.
- El técnico indica cómo colocarse correctamente, ya sea sentado en una silla especial o de pie, dependiendo del equipo utilizado.
- Se coloca la cabeza en un soporte para mantenerla inmóvil durante el procedimiento.
- El dispositivo gira alrededor de la cabeza, capturando imágenes que se procesan digitalmente para crear una vista tridimensional de la boca y mandíbula.
El escaneo generalmente dura entre 30 segundos y tres minutos, dependiendo del área a escanear. Los resultados son prácticamente inmediatos.

¿Es necesario prepararse para un TAC dental?
No se necesita preparación especial. El paciente puede comer y beber con normalidad antes del procedimiento.
¿Es doloroso o peligroso?
La tomografía bucal es totalmente indolora y se considera segura siempre que se realice bajo la supervisión de un profesional. Además, el TAC 3D emite mucha menos radiación que los TAC convencionales.
¿Para qué sirve un TAC dental maxilar?
Un TAC dental maxilar sirve para evaluar las mandíbulas, los senos paranasales, los nervios y la cavidad nasal, además de los dientes. Con ello, se puede determinar la estructura de huesos y su relación con los dientes y detectar la existencia de tumores y abscesos.
Usos comunes del TAC dental 3D
- Colocación de implantes dentales: Permite determinar si la mandíbula cuenta con la cantidad y densidad suficiente de hueso para dar soporte al implante y encontrar la mejor posición para colocarlo.
- Extracción de muelas del juicio.
- Reendodoncias: Permite visualizar la imagen tridimensional de las raíces para determinar si es posible realizar una reendodoncia.
- Detectar quistes, tumores y otras anomalías en la boca y mandíbula.
¿Qué es un TAC o TC? Explicado por el doctor Javier Vila
¿Cuánto cuesta un TAC dental en España?
El precio de un TAC dental puede variar dependiendo de varios factores, incluyendo la ubicación de la clínica, la complejidad del escaneo requerido y la tecnología utilizada. El precio de un TAC dental se sitúa alrededor de los 141 euros de media en España en 2025. Sin embargo, algunas aseguradoras ofrecen precios especiales:
- Axa: TAC de una sola arcada por 95€, o de la cavidad oral completa por 125€.
- Adeslas: 160€ en ambas arcadas.
En algunas clínicas, como en Madrid, se puede acceder a un estudio completo gratis en la primera visita.
¿Dónde realizarse un TAC dental?
Existen numerosas clínicas dentales en España que ofrecen el servicio de TAC dental. Es importante elegir una clínica que cuente con la última tecnología y profesionales cualificados para garantizar la máxima calidad en el diagnóstico.
Algunas clínicas dentales en Madrid ofrecen servicios de radiología dental, incluyendo TAC 3D, con equipos diseñados específicamente para la colocación de implantes dentales. También es posible encontrar clínicas en otras ciudades como Murcia que ofrecen precios cerrados y servicios integrales para el diagnóstico y tratamiento dental.
Opiniones de pacientes
Muchos pacientes han expresado su satisfacción con los servicios de clínicas dentales que ofrecen TAC dental. Algunos comentarios incluyen:
- “Excelente trato tanto profesional como humano.”
- “Magnífico equipo, con una atención extraordinaria.”
- “Recomiendo esta Clínica por su excelente trato y profesionalidad. La relación calidad / precio son inmejorables.”
- “Unos profesionales. Buenas instalaciones y lo mejor el trato y la atencion que te da todo el equipo.”

Estas opiniones reflejan la importancia de elegir una clínica dental con un equipo profesional y atento, que ofrezca un servicio de calidad y un trato cercano al paciente.
| Aseguradora | Tipo de TAC | Precio (EUR) |
|---|---|---|
| Axa | Una arcada | 95 |
| Axa | Cavidad oral completa | 125 |
| Adeslas | Ambas arcadas | 160 |
tags: #tomografia #de #mandibula #o #maxilar