Los caninos retenidos, también conocidos como caninos incluidos, son dientes que no han erupcionado correctamente y permanecen atrapados en el hueso maxilar o la encía. Esta situación puede tener un impacto en la mordida y en la estética de la sonrisa.
En el campo de la ortodoncia, en ocasiones nos encontramos con casos en los que un diente no erupciona correctamente o incluso falta. Esta situación puede tener un impacto en la mordida y en la estética de la sonrisa.
Generalmente, los caninos deben erupcionar alrededor de los 11 años de edad. Es aquel canino que llegada la época de su normal erupción 11 a 13 años para el superior, 10 a 11 años para el inferior; y habiendo alcanzado su desarrollo pleno (diente formado), queda incluido o encerrado en el maxilar manteniendo integro su saco pericoronario.
Esta retención puede ser intraósea (cubierto por hueso) o submucosa (cubierto por encía). Es más común en el canino superior que en el inferior.
Los caninos son piezas dentarias consideradas como importantes en el sistema estomatognático. Los caninos son dientes esenciales para la función masticatoria y la estética facial, y su impactación o retención puede tener consecuencias significativas para la salud oral y la calidad de vida de los pacientes.
Si no se tracciona ortodóncicamente o se extrae un canino retenido, pueden surgir complicaciones graves, como infecciones locales, del seno maxilar o de la fosa nasal. Un diente retenido en una posición inadecuada puede causar diversas alteraciones mecánicas, incluyendo el desplazamiento de las raíces de los dientes vecinos, especialmente los incisivos laterales.
Esto puede provocar la rotación o inclinación de otros dientes, como los premolares o los mismos incisivos laterales. Además, puede ocurrir la rizolisis, o reabsorción de la raíz de los dientes adyacentes, debido al intento del diente retenido de erupcionar.
La gestión de los caninos impactados o retenidos es un área de interés tanto para los ortodoncistas como para los cirujanos maxilofaciales. La retención o impactación de los caninos es una condición dental común que puede presentar desafíos significativos tanto para los ortodoncistas como para los cirujanos maxilofaciales.
Te ENSEÑO como sacar un 𝗖𝗢𝗟𝗠𝗜𝗟𝗟𝗢 𝗗𝗘𝗟 𝗣𝗔𝗟𝗔𝗗𝗔𝗥 💊Tratamiento para CANINOS INCLUIDOS en ortodoncia
Diagnóstico y Planificación del Tratamiento
El manejo de estos casos requiere una cuidadosa consideración y coordinación entre los ortodoncistas y los cirujanos maxilofaciales para garantizar los mejores resultados posibles para los pacientes. La gestión de estos casos puede ser compleja y desafiante, requiriendo una cuidadosa planificación y coordinación entre los diferentes especialistas dentales.
El primer paso en el tratamiento es realizar un diagnóstico preciso. El primer paso en el tratamiento de Nicolás fue realizar una radiografía panorámica para determinar si el diente faltante estaba incluido en el maxilar o si se trataba de una agenesia.
Para planificar el abordaje quirúrgico necesario para traccionar el diente y situarlo en la posición correcta, se realizó una tomografía computerizada (TC) que proporcionó información detallada sobre la posición exacta del diente en los tres planos del espacio. La tomografía fue la respuesta más seleccionada para el método que con más frecuencia se usa para diagnosticar y determinar la ubicación de los caninos impactados o retenidos.
Esto permitió al Dr. Esto coincide con una reciente revisión sistemática, en donde se afirma que el método más adecuado para diagnosticar la ubicación de los caninos es por medio de la tomografía; de igual manera, con este método los clínicos pueden observar si existe algún daño radicular en raíces adyacentes y la cantidad de hueso que hay alrededor2.
Paso 1: Evaluación y diagnóstico
- Observamos y palpamos la cavidad bucal para detectar anomalías en la posición del canino.
- Utilizamos ortopantomografías digitales y TAC dental (Cone Beam CT) para localizar el canino retenido y su relación con los dientes vecinos.
En cuanto a dónde es más común encontrar los caninos retenidos, la mayoría de los participantes (66,6 %) respondió por palatino. Esto coincide con los estudios realizados por Kokich (2004) que afirman que 1/3 de los caninos impactados están localizados por vestibular y 2/3 por palatino4.

Procedimientos de Tratamiento
Paso 2: Procedimientos de tratamientoEl manejo de los caninos impactados o retenidos es un área de interés tanto para los ortodoncistas como para los cirujanos maxilofaciales. El manejo de estos casos requiere una cuidadosa consideración y coordinación entre los ortodoncistas y los cirujanos maxilofaciales para garantizar los mejores resultados posibles para los pacientes1.
- Tratamiento ortodóncico prequirúrgico: Antes de la cirugía, se crea espacio en la arcada dental mediante brackets en todo el arco dental o usando microimplantes temporales como anclaje.
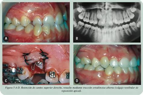
- Técnicas para exponer el canino maxilar incluido: Para caninos retenidos en el paladar, se pueden usar técnicas como gingivectomía, colgajo de reposición apical, técnica cerrada, técnica abierta y tunelización. La elección de la técnica depende de la posición y la cantidad de encía queratinizada.
- Técnicas para exponer el canino mandibular incluido: Si hay espacio suficiente en la mandíbula, se expone quirúrgicamente el canino para que erupcione espontáneamente o mediante tracción ortodóncica, eligiendo entre acceso lingual o vestibular según su posición.
- Tratamiento ortodóncico final: Se alinean los caninos en la arcada dental y se corrigen las rotaciones restantes. Se colocan retenedores y se programan citas periódicas de control.
- Extracción: La extracción del canino incluido puede afectar la estética y la oclusión, pero a veces es la única opción si no se puede llevar al canino a su posición en la arcada o si su anatomía está afectada.
En cuanto a qué especialista debe seleccionar la técnica quirúrgica en primera instancia, la respuesta más común fue "ambos". Esto coincide con lo que menciona el Dr. Ricardo Machado, quien afirma que una buena comunicación entre el ortodoncista y el cirujano es la esencia en cuanto a la toma de decisión de la técnica quirúrgica5. Sin embargo, el porcentaje de coincidencia en esta pregunta fue bajo (30 %)1.
En la pregunta sobre si al momento del abordaje quirúrgico el ortodoncista debería estar presente; la respuesta más seleccionada fue "sí", con una concordancia del 73 %. De acuerdo con la literatura revisada, un diagnóstico y plan de tratamiento certero requiere de un manejo interdisciplinario entre el ortodoncista, dentista y cirujano maxilofacial, pero es el ortodoncista quien es el responsable del éxito general del tratamiento.
Por ejemplo, todo aditamento que sea cementado a la superficie del diente corre el riesgo de que se desprenda debido a que no podamos obtener una superficie completamente seca. En cuanto a los métodos para direccionar la tracción, ya sea elastómero o ligadura, dependerá del especialista, teniendo en cuenta el tiempo en el que se planea hacer la tracción y la pérdida de fuerza que pueden tener estos aditamentos al transcurrir cierto tiempo1,3.
En la pregunta sobre qué técnica se usaría si tenemos un canino en el tercio apical del diente por vestibular, la respuesta más común fue "técnica cerrada" con una concordancia del 40 %. Según un artículo publicado por Velásquez y Barahona, la técnica cerrada es la indicada cuando el diente está localizado apicalmente a la línea amelocementaría. Las ventajas de esta técnica es la estética y la mayor facilidad del movimiento de la pieza al arco dental.
Por el contrario, en la pregunta "Si tenemos un canino por vestíbulo en el tercio cervical del lateral, ¿qué técnica se decide?", la opción más seleccionada fue "técnica abierta" con una concordancia del 60 %. Según los mismos autores, esta técnica se decide cuando el canino se encuentra en una posición cefálica horizontal cercano al incisivo lateral. La mayor ventaja de esta técnica es la mejor visualización de la corona y una adecuada dirección del movimiento del canino8.
Finalmente, una revisión sistemática y metanálisis reciente concluyó que la técnica abierta tiende a aumentar el tiempo de tratamiento y tiene mayor riesgo de causar anquilosis en comparación con la técnica cerrada.
En la pregunta sobre las consideraciones quirúrgicas que se toman al momento de la exposición, la respuesta más seleccionada fue "todas las anteriores", con una concordancia del 76 %, lo que concuerda con lo que propuso el doctor Williams desde 1982, cuando propuso una clasificación para dientes retenidos en donde menciona que la profundidad, presentación, ubicación, angulación, altura, estado radicular y daños a dientes adyacentes son todas consideraciones para decidir el tratamiento de dientes retenidos o impactados10.
En cuanto a las consideraciones ortodónticas, que se toman en cuenta para realizar la exposición. La respuesta más seleccionada fue "todas las anteriores", con un porcentaje de coincidencia del 56 %. Esto coincide con lo reportado en la literatura en cuanto a que esta decisión se hace a partir del análisis de diferentes factores11.
Sobre en qué momento se decide la dirección de la tracción ortodóntica, la respuesta más seleccionada fue "antes de la cirugía", con un índice de coincidencia del 60 %. En cuanto a quién debería hacer la colocación del aditamento de elección para la tracción ortodóntica, la respuesta más seleccionada fue "el ortodoncista", con una coincidencia del 80 %.
En general, la literatura recomienda que un ortodoncista experimentado y capacitado deberá ser el que coloque el aditamento y que se requiere de una planeación en cuanto a la ubicación del aditamento desde donde se aplicará la fuerza de tracción hasta el diente; de no ser así, se podrían presentar contratiempos que afecten el pronóstico general del tratamiento de ortodoncia12.
La técnica quirúrgica que más se utiliza para la exposición de un canino maxilar retenido por palatino dependerá de la altura y posición de este. Kokich (2004) nos recomienda elevar todo el colgajo mucoperiostico en el área de la impactación, remover todo el hueso alrededor de la corona hasta la unión amelocementaria, posteriormente reposicionar el colgajo y abrir una ventana en el colgajo para dejar expuesto el diente y así quitar toda barrera para la erupción y tracción del diente13.
En nuestra encuesta la respuesta más seleccionada fue "colgajo en sobre con osteotomía y reposición de colgajo", obteniendo una coincidencia del 47 %, considerando lo mencionado anteriormente, ambas pueden ser respuestas correctas debido a que no se señaló en la pregunta la altura o posición del canino. Sin embargo, Kokich también nos recomienda que, sin importar la altura, la ventana en el colgajo se puede dejar abierta recubriendo esta con algún cemento quirúrgico para evitar el cierre del colgajo o incomodidad en el paciente4.

La Experiencia en Clínica Chamberí
En Clínica Chamberí, ubicada en el corazón de Madrid, nos dedicamos con pasión a entregar servicios dentales y estéticos de primer nivel que mejoran de manera significativa la experiencia de cada cliente. Nuestro compromiso con la atención personalizada y la innovación nos sitúa a la vanguardia del sector.
En Clínica Chamberí, utilizamos técnicas avanzadas de microcirugía para asegurar una intervención mínimamente invasiva y una recuperación rápida. En nuestra clínica dental, tu salud bucodental es nuestra prioridad.
Estamos aquí para ayudarte con tratamientos personalizados, desde revisiones y limpiezas hasta ortodoncia, implantología y estética dental. Si tienes alguna duda o deseas solicitar una cita, no dudes en ponerte en contacto con nuestro equipo.
La Dra. Paloma González Rodríguez y nuestro equipo de expertos están dedicados a proporcionarte un servicio de alta calidad. Ofrecemos también la posibilidad de financiar en tratamiento. ¡Tratamiento para la reducción del dolor!
El día de la cirugía, los efectos del anestésico local pueden durar varias horas. El dolor se maneja bien con analgésicos recetados o sin receta. Después de la cirugía de fenestración, es normal que el paciente experimente cierta inflamación y malestar en la zona tratada. Estos síntomas suelen ser temporales y se pueden manejar de manera efectiva siguiendo las indicaciones del cirujano oral y el ortodoncista.
También es importante mantener una buena higiene bucal mediante el cepillado cuidadoso y el uso de enjuague bucal, evitando la zona operada durante los primeros días. El cirujano proporcionará instrucciones específicas sobre cómo cuidar el área y cuándo retomar la rutina de higiene normal. Es fundamental seguir las citas de control con el ortodoncista y el cirujano oral para evaluar el progreso del tratamiento y asegurar una recuperación adecuada.

Tabla Resumen de Técnicas Quirúrgicas
| Técnica Quirúrgica | Descripción | Indicación |
|---|---|---|
| Gingivectomía | Remoción de tejido gingival | Caninos retenidos con suficiente encía queratinizada |
| Colgajo de Reposición Apical | Reposicionamiento del colgajo mucoperióstico | Caninos retenidos en el paladar |
| Técnica Cerrada | Tracción del canino sin exposición completa | Caninos en el tercio apical del diente por vestibular |
| Técnica Abierta | Exposición completa de la corona del canino | Caninos en el tercio cervical del lateral por vestibular |
| Tunelización | Creación de un túnel para la erupción | Casos específicos según la posición del canino |
tags: #traccion #de #caninos #en #ortodoncia