La ortodoncia es uno de los tratamientos más solicitados en el mundo de la odontología, gracias a los múltiples beneficios que ofrece. Los pacientes buscan este tipo de tratamiento para lograr la sonrisa que siempre desearon y eliminar inconvenientes al morder. En este artículo, exploraremos los resultados del tratamiento de ortodoncia antes y después, mostrando casos reales y explicando los diferentes tipos de ortodoncia disponibles.

Tipos de Ortodoncia
No todos los tipos de ortodoncia son adecuados para todas las personas. La elección del tratamiento depende de las necesidades y preferencias de cada paciente. Algunos de los tipos de ortodoncia más comunes son:
- Ortodoncia Invisible (Alineadores Transparentes): Este tratamiento utiliza una serie de alineadores que se cambian cada pocas semanas para mover los dientes progresivamente.
- Brackets Estéticos: Como el sistema Damon Clear, estos brackets son menos visibles que los tradicionales.
- Brackets Metálicos Tradicionales: Son la opción más común y efectiva para muchos pacientes.
- Ortodoncia Lingual: Este método es completamente imperceptible ya que los brackets se colocan en la cara interna de los dientes.
Por ejemplo, no es lo mismo aplicar un tipo de ortodoncia que sea invisible y use alineadores como Invisalign o usar brackets, sean estéticos como el sistema Damon Clear o sean brackets de metales tradicionales.
Transforma Tu Sonrisa Sin Que Nadie Lo Note: ¡El Poder de los Alineadores Invisibles Revelado!
Ortodoncia Invisible: Una Opción Discreta y Efectiva
La ortodoncia invisible, también conocida como alineadores transparentes, es un tratamiento diseñado para alinear los dientes sin utilizar los tradicionales brackets metálicos.

Proceso del Tratamiento con Ortodoncia Invisible
- Evaluación Inicial: Antes de iniciar el tratamiento, es necesario realizar una evaluación exhaustiva en una clínica dental especializada.
- Alineadores Personalizados: El tratamiento consiste en una serie de alineadores que se cambian cada pocas semanas.
- Ajustes Graduales: Cada dos semanas, cambiarás a un nuevo juego de alineadores que ajustará tus dientes gradualmente.
- Fase de Retención: Tras completar el tratamiento activo, se pasa a la fase de retención, que implica el uso de retenedores para mantener los dientes en su nueva posición.
Beneficios y Consideraciones
- Discreción: La ortodoncia invisible es prácticamente imperceptible.
- Comodidad: Se recomienda retirar los alineadores para comer y beber cualquier cosa que no sea agua.
- Efectividad: Aunque es efectivo para la mayoría de los casos, algunos problemas severos de maloclusión pueden requerir tratamientos tradicionales.
- Precio: El precio puede ser ligeramente superior, pero la discreción y comodidad suelen justificar la inversión.
Si buscas un cambio que te devuelva la confianza y mejore tu calidad de vida, ¡no esperes más! La ortodoncia invisible no solo mejora la estética de tu sonrisa, sino que también aporta beneficios funcionales y de salud.
Casos Reales de Antes y Después
A continuación, te mostraremos los resultados de algunos pacientes que han sido tratados con ortodoncia, incluyendo casos de ortodoncia invisible y otros tipos de tratamientos.
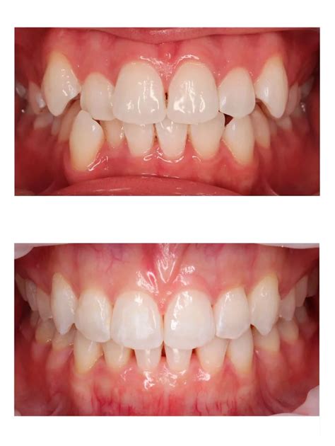
Caso 1: Apiñamiento Leve
Antes: El paciente presentaba un apiñamiento leve que dificultaba la higiene dental y afectaba la estética de la sonrisa.
Después: Tras el tratamiento con ortodoncia invisible, los dientes se encuentran correctamente alineados y la mordida es más uniforme. Esto ha mejorado la estética de la sonrisa y su salud, ya que el paciente puede practicar una mejor higiene con el cepillo y el hilo dental.

Caso 2: Mordida Cruzada y Apiñamiento Dental
Antes: El paciente presentaba mordida cruzada y apiñamiento dental, lo que afectaba la funcionalidad al masticar y la estética de la boca.
Después: Con la ortodoncia, se corrigió la mordida cruzada y se alinearon los dientes, mejorando tanto la función como la apariencia de la sonrisa.
Caso 3: Mordida Abierta Anterior
Antes: El paciente presentaba mordida abierta anterior, lo que provocaba una falta de contacto entre los dientes superiores e inferiores.
Después: El tratamiento de ortodoncia logró cerrar la mordida abierta, permitiendo un contacto adecuado entre los dientes y mejorando la función masticatoria.

Caso 4: Mordida de Borde a Borde y Apiñamiento
Antes: Nuestra paciente adulta presentaba una mordida de borde a borde, con apiñamiento anterior superior e inferior.
Después: Durante el tratamiento de Ortodoncia se alinearon y nivelaron los dientes, solucionando el problema de “mordida borde a borde”.
Caso 5: Canino Inferior Fuera de la Tabla Ósea
Antes: Este segundo caso presentaba el canino inferior derecho fuera de la tabla ósea, ya que toda la arcada inferior estaba desviada hacia el lado derecho del paciente.
Después: El problema fue tratado con Ortodoncia Invisible y se ha conseguido meter el canino inferior derecho dentro de la tabla de hueso, observándose mejoría también en su encía que estaba cada vez “más baja”. Además, hemos conseguido coordinar el maxilar superior con el inferior, viéndose reflejando que ahora la línea media superior del paciente, coincide con la inferior.
Otros Casos de Tratamientos de Ortodoncia Antes y Después en Adultos
Existen diversos casos de tratamientos de ortodoncia en adultos que demuestran la efectividad de este procedimiento para corregir problemas bucodentales y mejorar la estética de la sonrisa. Algunos ejemplos incluyen:
- Microdoncia y Agenesia: Tratamientos para corregir dientes de tamaño reducido y la ausencia de algunos dientes.
- Sonrisa Gingival Posterior y Maxilar Hipoplásico: Corrección de la sonrisa gingival y el desarrollo insuficiente del maxilar.
- Apiñamiento Dental: Alineación de los dientes apiñados para mejorar la higiene y la estética.
- Retrusión Mandibular: Corrección de la mandíbula retraída para mejorar la mordida y la armonía facial.
- Mordida Abierta y Asimetrías Severas: Tratamiento de la mordida abierta y las asimetrías faciales para mejorar la función y la estética.

Ortopedia: Modificación del Crecimiento Óseo
La Ortopedia es un tratamiento de Ortodoncia que intenta modificar el crecimiento del hueso dentro de ciertos límites siempre que se actúe en el momento apropiado cuando aún existe crecimiento remanente en el paciente joven. Además, con tratamientos de Ortopedia no sólo se corrigen maloclusiones esqueléticas, sino también se pueden mejorar perfiles estéticos.
Extracciones en Ortodoncia
El propósito principal de realizar extracciones durante el tratamiento de Ortodoncia es aliviar el apiñamiento dental. En algunos casos, puede ser necesario realizar extracciones para lograr una alineación dental óptima.
Cuidados Post-Tratamiento
Después de retirar los aparatos ortodónticos, es crucial seguir ciertos cuidados post-tratamiento para mantener los resultados:
- Uso de Retenedores: Estos dispositivos ayudan a mantener los dientes en su nueva posición y evitan posibles cambios con el tiempo.
- Higiene Bucal Rigurosa: La limpieza dental adecuada es esencial para prevenir problemas como caries y enfermedades periodontales.
- Alimentación Consciente: Se proporcionan recomendaciones sobre alimentos que deben evitarse para prevenir daños a los retenedores.
- Revisiones Regulares: Es importante acudir a revisiones periódicas para verificar el estado de los dientes y retenedores.
Beneficios Adicionales de la Ortodoncia
- Enfoque Personalizado: Cada tratamiento ortodóntico se diseña de manera única para abordar las necesidades específicas del paciente.
- Tecnología de Vanguardia: Se utilizan tecnologías avanzadas para garantizar tratamientos eficientes y resultados precisos.
- Variedad de Opciones: Se ofrecen diversas opciones de aparatos ortodónticos para adaptarse a las preferencias del paciente.
- Equipo Profesional: El éxito del tratamiento se basa en la experiencia y profesionalismo del equipo médico.
- Salud Bucal Integral: Se considera la salud bucal en su conjunto para lograr una sonrisa hermosa y funcional.
Tabla Resumen de Tipos de Ortodoncia y Resultados Esperados
| Tipo de Ortodoncia | Descripción | Resultados Esperados |
|---|---|---|
| Invisible (Alineadores) | Alineadores transparentes removibles | Alineación discreta, mejora en la higiene |
| Brackets Estéticos | Brackets de materiales como cerámica o zafiro | Alineación efectiva, menor visibilidad |
| Brackets Metálicos | Brackets tradicionales de metal | Alineación efectiva y duradera |
| Ortopedia | Modificación del crecimiento óseo en jóvenes | Corrección de maloclusiones esqueléticas, mejora de perfiles estéticos |
En resumen, la ortodoncia ofrece soluciones efectivas para corregir una variedad de problemas dentales, mejorando tanto la estética como la función de la boca. Los resultados del tratamiento de ortodoncia antes y después son notables, transformando sonrisas y mejorando la calidad de vida de los pacientes.
tags: #tratamiento #de #ortodoncia #antes #y #despues