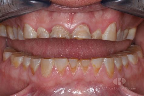
La salud dental es un pilar fundamental para nuestro bienestar general, y el desgaste de los dientes representa uno de los problemas más comunes que presentan muchos pacientes. Los dientes desgastados no solo pueden representar una preocupación estética; su impacto va más allá de la superficie visible.

El bruxismo no solo impacta la funcionalidad de tu mordida, sino que también deja consecuencias visibles y a menudo dolorosas en tu salud dental. En González y Casado sabemos lo importante que es una sonrisa sana y bonita, con las proporciones y color adecuados. Nuestro enfoque integral y nuestro compromiso con la calidad nos han convertido en líderes en el campo de la odontología estética.
Causas del Desgaste Dental
El desgaste dental puede ser el resultado de diversos factores que afectan la estructura y la integridad de los dientes:
- Bruxismo: El bruxismo, o rechinar de dientes, es una de las principales causas de desgaste dental. Las personas que aprietan o rechinan los dientes de manera involuntaria, especialmente durante la noche, pueden experimentar un desgaste significativo en la superficie dental.
- Alimentación: La alimentación juega un papel crucial en la salud dental. El consumo excesivo de alimentos y bebidas ácidas, como cítricos, refrescos y alimentos procesados, puede erosionar el esmalte dental con el tiempo.
- Envejecimiento natural: El envejecimiento natural también puede contribuir al desgaste dental. Con el tiempo, el esmalte dental tiende a adelgazar, volviéndose más susceptible al desgaste.
- Hábitos cotidianos: Algunos hábitos cotidianos pueden desencadenar el desgaste dental. Una mordida mal alineada o una maloclusión pueden ejercer presión desigual sobre los dientes, provocando desgaste en áreas específicas.
- Condiciones médicas: Ciertas condiciones médicas, como el reflujo ácido crónico o trastornos alimentarios, pueden contribuir al desgaste dental.
- Medicamentos: Algunos medicamentos pueden tener efectos secundarios que afectan la salud dental, como la sequedad bucal.
Signos y Síntomas del Desgaste Dental
Básicamente, se pueden dividir en dos categorías diferentes: signos y síntomas en el cuerpo o en tu vida diaria. Vamos a mirar detalladamente cada categoría por separado.
El desgaste dental puede manifestarse de diversas maneras:
- Sensibilidad dental: La sensibilidad dental es uno de los primeros signos de desgaste dental. Los dientes pueden volverse más sensibles a temperaturas extremas, como alimentos fríos o calientes.
- Cambios visuales: El desgaste dental a menudo se manifiesta visualmente a través de cambios en la forma de los dientes. Los bordes pueden volverse irregulares, y los dientes pueden parecer más cortos o desgastados en comparación con su apariencia original.
- Molestias al masticar: El desgaste dental puede dar lugar a molestias y dolor al masticar alimentos.
- Grietas o líneas: El desgaste dental también puede manifestarse como grietas o líneas en la superficie de los dientes. Estas marcas pueden indicar áreas debilitadas que requieren atención dental.
- Aspereza: Al pasar la lengua sobre la superficie dental, algunas personas pueden notar un aumento en la sensación de aspereza.
- Cambio de color: El desgaste dental puede afectar la apariencia del esmalte, haciendo que los dientes parezcan más amarillos o translúcidos.
- Problemas de pronunciación: En casos avanzados de desgaste dental, la forma alterada de los dientes puede afectar la pronunciación y la calidad del habla.
Con frecuencia será la pareja o los padres los que observen los indicios de rechinar de dientes. A menudo se oye el sonido de los dientes a medida que rechinan mientras la persona está dormida. Esto a veces se describe como un ruido chirriante o de raspado.
Este signo puede ser diagnosticado por un examen básico en el dentista. Los dientes tendrán un aspecto más plano, en comparación con las cúspides normales, concavidades y bordes presentes en los dientes sanos. En los casos graves, todos los bordes de los dientes se han vuelto planos y lisos.
Estos son los primeros signos que a menudo alertarán a los enfermos de su hábitos al despertarse. Otro problema que puede surgir es un trastorno de la articulación temporomandibular (ATM). Esto se produce debido a la tensión y el estiramiento de los músculos alrededor de la mandíbula, causando inflamación y hinchazón. Esto hará que el dolor alrededor de la articulación de la mandíbula acabe afectando a veces el oído también.
Los que sufren de rechinamiento de los dientes también pueden sufrir de sensibilidad dental. El dolor se siente en particular, al comer o beber algo caliente o frío. Durante el bruxismo subconsciente existe la posibilidad de morderse el interior de las mejillas.
Además de los manifestaciones físicas, la enfermedad también puede tener un impacto en tu vida diaria. En la mayoría de los casos, estas acciones son subconscientes. Por lo tanto, el daño se acumula sin que el paciente sea consciente de ello, y es por eso que el diagnóstico se realiza demasiado tarde.
El rechinamiento de dientes puede conducir a patrones de sueño perturbado, dejando a la víctima cansada y aturdida a la mañana siguiente, sin darse cuenta de la causa. Aunque no es plenamente consciente de ello, los pacientes pueden despertarse durante la noche ya sea porque pueden escuchar inconscientemente el ruido del apretamiento o porque sufren dolores causados por la tensión muscular.
Cuando estos problemas de apretamiento dental surgen, también pueden provocar dificultad para masticar y comer los alimentos. El dolor y la molestia al comer pueden causar perderse comidas o comer menos de lo habitual. Cuando se experimentan una serie de signos de rechinamiento de los dientes, esto con frecuencia puede llevar a una mayor tensión y estrés. La investigación médica ha demostrado que las personas que están deprimidas son más propensas a rechinar los dientes que otras personas.
Causas, síntomas y tratamientos del Bruxismo
Consecuencias del Desgaste Dental
El desgaste dental por bruxismo no solo afecta la apariencia de tu sonrisa, sino que también puede tener consecuencias más serias a largo plazo. La pérdida de esmalte expone las capas internas del diente, como la dentina, lo que puede llevar a sensibilidad dental, dolor al masticar e incluso fracturas.
- Mayor riesgo de caries: El esmalte dental desempeña un papel crucial en la protección contra las caries. Cuando los dientes están desgastados, el esmalte se adelgaza, exponiendo las capas más internas del diente a bacterias y ácidos.
- Sensibilidad dental: El desgaste dental puede provocar sensibilidad dental, ya que las capas más sensibles del diente quedan expuestas.
- Problemas en la ATM: El desgaste dental puede influir en la mordida y la alineación de los dientes, lo que a su vez puede contribuir a problemas en la articulación temporomandibular (ATM).
- Fracturas dentales: Los dientes desgastados son más propensos a fracturas, especialmente durante la masticación de alimentos duros.
- Problemas estéticos: Además de los problemas funcionales, el desgaste dental puede afectar la estética de la sonrisa. Los cambios en la forma, el color y la longitud de los dientes pueden influir en la confianza y la autoestima de una persona.
- Dificultad para masticar: Con el tiempo, el desgaste dental puede afectar la función masticatoria, haciendo que sea más difícil morder y masticar los alimentos correctamente.
El desgaste constante provocado por el bruxismo puede generar fisuras en los dientes, que con el tiempo evolucionan en fracturas. En algunos casos, estas fracturas pueden ser tan extensas que el diente no puede repararse, lo que lleva a la extracción de la pieza. Las zonas más afectadas suelen ser aquellas sometidas a una mayor carga masticatoria, como los molares y premolares, además de los bordes incisales de los dientes delanteros. Es crucial actuar rápidamente para identificar y tratar estas fisuras antes de que se conviertan en fracturas irreparables.
El rechinamiento constante de los dientes desgasta la capa más externa y protectora del diente: el esmalte dental. Este desgaste expone la dentina, una capa más blanda y sensible que está directamente conectada con la pulpa del diente. Además, la pérdida de esmalte genera cambios significativos en la estructura del diente.
Con el avance del daño, la pérdida de esmalte puede llevar a que la pulpa dental quede más expuesta, incrementando los estímulos dolorosos y aumentando el riesgo de necrosis pulpar. La prevención de la pérdida de esmalte en pacientes con bruxismo es fundamental, y para ello se recomienda el uso de férulas de descarga personalizadas que reduzcan la presión ejercida sobre los dientes durante la noche.
La sensibilidad dental es uno de los síntomas más comunes y molestos asociados con el bruxismo. En casos avanzados, donde el daño es más severo, el desgaste puede progresar hasta que la pulpa dental quede más visible y expuesta. Esto no solo incrementa la intensidad del dolor, sino que también aumenta el riesgo de desarrollar una necrosis pulpar, una afección en la que el tejido dentro del diente muere debido a la inflamación y la presión.
La sensibilidad dental por bruxismo no solo afecta la calidad de vida al dificultar la alimentación o la ingesta de bebidas, sino que también puede ser un indicador de daño progresivo en los dientes.
Opciones de Tratamiento para Dientes Desgastados
Existen varias opciones de tratamiento para reparar los dientes desgastados por bruxismo:
- Composite dental: El composite dental es una resina compuesta que se usa para reparar los dientes desgastados. Aunque no es la opción más común para casos graves de bruxismo, el composite dental puede ser útil en reparaciones menores.
- Carillas dentales: Las carillas dentales son láminas finas de porcelana o composite que se colocan en la parte frontal de los dientes. En los dientes delanteros, las carillas dentales son una opción estética, aunque en casos de bruxismo deben ser reforzadas con bordes incisales extendidos para evitar fracturas.
- Coronas dentales: Cuando el desgaste es severo y afecta no solo la estética sino también la funcionalidad del diente, las coronas dentales pueden ser la mejor opción. Las coronas dentales son fundas que se colocan sobre los dientes desgastados para restaurar su forma y fuerza.
- Incrustaciones y onlays: Las incrustaciones y onlays son alternativas intermedias entre una obturación y una corona. En casos avanzados, donde el daño es más severo, el desgaste puede progresar hasta que la pulpa dental quede más visible y expuesta. Esto no solo incrementa la intensidad del dolor, sino que también aumenta el riesgo de desarrollar una necrosis pulpar, una afección en la que el tejido dentro del diente muere debido a la inflamación y la presión.
Cuando el bruxismo causa daños significativos, los tratamientos deben ser mínimamente invasivos y personalizados a cada caso. Las incrustaciones dentales son ideales para reparar daños moderados en la superficie masticatoria. Utilizando disilicato de litio o resina compuesta (composite), se diseñan de forma personalizada para garantizar un ajuste perfecto. Cuando el daño es tan severo que no queda suficiente estructura dental, las coronas dentales son la solución.
Ignorar el bruxismo puede llevar a una pérdida progresiva de la dimensión vertical, complicando el tratamiento futuro.
Otros Tratamientos
Además de los mencionados anteriormente, usar fundas o coronas para los dientes desgastados puede que sea necesario, sobre todo en pacientes que presentan patologías adicionales al desgaste dental.
Por otro lado, si el paciente presenta problemas de oclusión dental, será necesario realizar antes del tratamiento estético para dientes desgastados una ortodoncia. Así, se corregirá el posicionamiento y alineación de los dientes para prevenir más desgaste y asegurar el éxito del tratamiento estético.
Férulas Nocturnas para el Bruxismo
Para pacientes que sufren de bruxismo, ofrecemos férulas nocturnas personalizadas. Una vez que has restaurado tus dientes desgastados por bruxismo, es esencial prevenir futuros daños. Para esto, la férula de descarga se convierte en una herramienta fundamental. Es importante utilizar la férula de forma regular y acudir a revisiones periódicas para asegurarse de que sigue siendo efectiva y cómoda.
El bruxismo puede provocar un desgaste significativo en los dientes, afectando principalmente las caras oclusales de molares y premolares, así como los bordes incisales de incisivos y caninos.
Puede ser de plástico o resina y se realiza a partir de un molde de los dientes del paciente. Ninguna dentadura es igual por eso las férulas deben adaptarse al usuario. Las llamadas férulas de descarga sirven para que el paciente liberé la tensión muscular sin desgastar los dientes.

Ajuste de Oclusión
Realizamos ajustes de oclusión para corregir problemas de mordida y distribución desigual de la fuerza entre los dientes. En casos de mala alineación, los tratamientos de ortodoncia pueden ser necesarios para corregir la mordida y reducir el riesgo de desgaste.
Carillas de Porcelana: Una Solución Estética
Las carillas de porcelana ofrecen una serie de beneficios para aquellos que tienen dientes desgastados. En nuestra clínica dental en Montecanal, contamos con especialistas que pueden ofrecerte un diagnóstico y un plan de tratamiento adaptado a tus necesidades.
Estas láminas finas, normalmente de porcelana, se colocan sobre el diente pudiendo así modificar su aspecto, tanto el ancho como el largo e incluso su color.
Las carillas de porcelana ofrecen una serie de beneficios para aquellos que tienen dientes desgastados:
- Resultados duraderos: son altamente duraderas y resistentes a las manchas.
En algunos casos, el desgaste dental puede ir acompañado de problemas de alineación dental. Puede ser necesario administrar anestesia local para garantizar tu comodidad durante este proceso.
Se toman los registros digitales de alta precisión de tus dientes preparados, que se enviarán al laboratorio dental para la fabricación de las carillas. Una vez que las carillas de porcelana estén listas, se retirarán las provisionales y se colocarán las carillas definitivas en tus dientes.
Cuidados Posteriores
- Mantén una buena higiene oral: cepilla tus dientes al menos dos veces al día con un cepillo de cerdas suaves y utiliza hilo dental diariamente.
- Evita alimentos y bebidas que puedan manchar: algunos alimentos y bebidas, como el café, el vino tinto, los alimentos ácidos y los alimentos con colorantes intensos, pueden manchar las carillas de porcelana con el tiempo.
- Evita hábitos perjudiciales: evita morder objetos duros, como uñas o lápices, ya que pueden dañar tus carillas de porcelana.
Recuerda que las carillas de porcelana pueden tener una vida útil prolongada, pero su duración depende en gran medida del cuidado y mantenimiento adecuados.
Medidas de Prevención
Para prevenir el desgaste dental basta con tener en cuenta las causas que hemos listado en este artículo. Recuerda: no uses tus dientes para morder objetos duros (o tus uñas), no abuses de alimentos o bebidas que puedan ser abrasivas y si presentas bruxismo o lo sospechas, no esperes y acude a tu dentista para realizar un diagnóstico temprano.
Si no puedes resistir no tomar bebidas ácidas, hazlo con pajita.
Para complementar el uso de férulas , puedes tener en cuenta otras opciones de tratamiento que incluyen técnicas de relajación para reducir el estrés y la ansiedad, la corrección de la mala alineación dental, la sustitución y reemplazo de dientes perdidos mediante prótesis y la terapia física para aliviar el dolor en la mandíbula.
¡Recupera la funcionalidad y estética de tu sonrisa!
¿Tienes tus dientes afectados por el bruxismo? ¡Contáctanos hoy mismo para programar una consulta y descubrir cómo las carillas de porcelana pueden mejorar tu apariencia dental y tu confianza!
tags: #tratamiento #dientes #desgastados #por #bruxismo