El tipo de intervenciones que se realizan en la consulta del dentista han variado mucho en los últimos años. Hoy en día, no solo acudimos al odontólogo por cuestiones de salud. La estética dental es una de las especialidades de la odontología que más ha avanzado. Actualmente, no nos vale con simplemente ir a la clínica dental para tratar los problemas de salud bucodental que sufrimos, sino que siempre vamos un paso más allá y buscamos la perfección en nuestra dentadura.
La estética dental es la especialidad dentro de la odontología que se encarga de la mejora del aspecto de los dientes del paciente. La estética dental, también conocida como odontología estética, es un servicio dental que mejora y recupera el aspecto general de tu boca. Los tratamientos se centran en mejorar aspectos como la alineación, el color, la posición, el tamaño y la forma de los dientes.
El principal motivo para solicitar tratamientos estéticos dentales es acabar con aquellos problemas que afectan a la armonía de nuestra sonrisa. El principal motivo para solicitar tratamientos estéticos dentales es acabar con aquellos problemas que afectan a la armonía de nuestra sonrisa. Y es que… ¿quién no sueña con tener una sonrisa perfecta? Según los estudios sociológicos, la sonrisa es lo primero en lo que nos fijamos los humanos cuando conocemos a otra persona, así que, todo el mundo debería querer tener una bonita sonrisa. Esta es una de las principales razones por las que los tratamientos estéticos dentales son los más demandados en el mundo de la odontología.
Los pacientes recurren a la estética dental por diversas razones. A algunos les gustaría parecer más jóvenes, otros simplemente quieren sonreír sin sentirse cohibidos. Cualquiera que sea la razón por la que buscan estos servicios, los beneficios de la estética dental en la salud física y mental son numerosos.
Para que los tratamientos de estética dental den sus frutos, es necesario realizar estudios personalizados. Para obtener la mejora estética que desea el paciente, el tratamiento se hace de forma personalizada, escogiendo los procedimientos que mejor se adaptan a su propia situación. Sobre la base de este estudio, el dentista diagnostica y realiza un plan de tratamiento, explicando los procedimientos que necesita el paciente para lograr los resultados deseados.
Antes de preocuparte por tu estética, dale prioridad a tu salud. Antes de llevar a cabo un tratamiento estético, debes asegurarte de que tu boca está sana. Si estás pensando en cambiar la forma de tu sonrisa y conseguir la dentadura que siempre has soñado, empieza por cuidar tu salud bucodental con los productos y accesorios adecuados. Para poder someterse a este tipo de tratamientos, la boca debe estar lo más sana posible. Esto incluye la ausencia de caries, enfermedades periodontales o cualquier otro tipo de infección. En nuestras clínicas dentales, los odontólogos realizan un estudio previo al paciente para valorar su idoneidad.
En la sonrisa intervienen 3 elementos fundamentales: dientes, encías y labios. En Clínica Birbe analizamos dientes, encías y labios, las proporciones entre ellos y la relación con el resto de la cara, su armonía y equilibrio para proponerte lo mejor en tu caso. Es muy importante la valoración en movimiento, al hablar y sonreír. Recordar que la función y la estética van de la mano, no podemos olvidar que tenemos que estar cómodos y poder masticar, morder, hablar, sonreír de forma natural: la estética no debe limitar una función adecuada.
La salud de la boca está estrechamente relacionada con su estética. Muchos pacientes, antes de recurrir a un tratamiento estético dental, sufren complejos y no sonríen con plenitud para disimular sus defectos. Son tratamientos totalmente personalizados en los que ofrecemos la solución que mejor se adapta a las necesidades de cada paciente.
A continuación, te presentamos los tratamientos dentales más solicitados:
Tipos de Tratamientos de Estética Dental
Debido a los avances en tratamientos odontológicos que se han producido en los últimos años, cada vez son más las intervenciones estéticas que se pueden llevar a cabo para lograr un diseño de sonrisa perfecto.
Cuáles son los tratamientos de estética dental más demandados
1. Carillas Dentales
Las carillas son piezas que se colocan sobre los dientes para corregir su forma y/o color. Las carillas consisten en una fina lámina de composite o de porcelana que se coloca en la parte visible del diente. Las carillas dentales son el tratamiento estético dental más realizado actualmente y ayuda a las personas a tener la sonrisa con la que siempre habían soñado. Se trata de un procedimiento mínimamente invasivo que consiste en unas láminas muy finas de cerámica que se adhieren a la parte externa de los dientes, de manera que mejora notablemente la imagen de la dentadura.
Es decir, no son más que unas lentes muy elaboradas que el odontólogo colocará encima de los dientes, para que estos luzcan la forma y el color deseados. Echa un vistazo al precio de las carillas de porcelana en Madrid, con ellas podrás cambiar el color de tus dientes, la forma, el tamaño, la textura… ¡para que puedas lucir una sonrisa excelente!

Tipos de carillas:
- Carillas de porcelana: Son más resistentes y ofrecen una estética superior, imitando bien el diente natural.
- Carillas de composite: Se moldean directamente sobre el diente en una sola cita, son más económicas y permiten retoques rápidos.
Las carillas fabricadas con porcelana son de gran calidad y resistencia. Con el cuidado adecuado, pueden llegar a durar 20 años. Carillas de compositeEl composite es un material muy usado en odontología y en caso de carillas, consiguen imitar muy fielmente el tono de los dientes adyacentes.
2. Blanqueamiento Dental
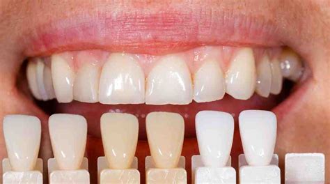
El blanqueamiento dental es el tratamiento estético más solicitado en los últimos años. El blanqueamiento dental es un tipo de cosmética dental que aclara el esmalte en aquellos casos donde hay manchas o se ha ido perdiendo el blanco debido al consumo de diferentes sustancias (tabaco, ciertas bebidas y alimentos, etc.). El blanqueamiento dental es un tratamiento que sirve para obtener un tono más claro en la dentadura y homogeneizar los dientes manchados o decolorados, de forma que quede una sonrisa completamente estética. Se llevará a cabo a través de la aplicación del gel de peróxido de hidrógeno sobre los dientes. Esto hará que se eliminen las manchas del esmalte y que salga a la luz el brillo natural de los dientes.
Este es un tratamiento muy sencillo e indoloro que puedes realizar en la clínica dental, siempre que un especialista te lo recomiende. El más habitual consiste en el uso de una lámpara de luz fría y un gel blanqueador.

3. Ortodoncia
Algunos tipos de tratamientos de ortodoncia también se catalogan dentro de la estética dental. La ortodoncia invisible te ayudará a hacer realidad tu sonrisa perfecta. Cada vez son más los pacientes que recurren a un tratamiento de ortodoncia para corregir los dientes que se encuentran en una mala posición dentro de la boca. Por medio de la ortodoncia se corrige la posición de los dientes mejorando la alineación y el espacio entre piezas, además que en muchos casos se mejora la función masticatoria y se facilita la higiene.
Algunos de los pacientes prefieren trabajar este problema estético a través de aparatos visibles, como los brackets. Pero, lo cierto es que actualmente, el tratamiento favorito para corregir la posición de la dentadura es el invisalign o la ortodoncia invisible. Esta nueva técnica innovadora genera movimientos dentales continuos, para que los dientes alcancen la posición deseada. Con Invisalign® se pueden tratar desde los casos más leves a los más severos sin problema.
Tipos de ortodoncia:
- Ortodoncia invisible: Se utilizan férulas transparentes hechas a medida, que el paciente puede quitar y poner.
- Ortodoncia con brackets: Hay distintos tipos: los clásicos brackets metálicos, los de cerámica, los de zafiro y la ortodoncia lingual.

4. Implantes Dentales y Puentes Dentales
La colocación de implantes dentales es también una técnica muy común para la corrección de la sonrisa. Esta prótesis tiene la misma función que el diente original, recuperando al mismo tiempo la estética del paciente. Consiste en la implantación de un tornillo de titanio en los maxilares. Este se conecta con su correspondiente corona de porcelana. En este caso se colocan coronas de porcelana unidas entre si para sustituir la pieza dañada.
5. Fundas/Coronas Estéticas
Otro de los tipos de tratamientos estéticos dentales son las fundas estéticas. Se trata de una prótesis fija que se colocará sobre los dientes para disimular las alteraciones frontales de la pieza. Este tratamiento ofrece un resultado muy estético siempre que se usen materiales altamente estéticos como el zirconio (libre de metal), pero tienen la contra que son más invasivas con respecto a otros tratamientos alternativos como las carillas o la ortodoncia invisible.
Tipos de coronas:
- Coronas de metal-porcelana: Ofrecen gran resistencia y son adecuadas para dientes posteriores.
- Coronas de porcelana: Hechas completamente de porcelana, ofrecen alta estética.
- Coronas de zirconio: Combinan resistencia y estética y no contienen metal.
6. Cirugía Plástica en la Encía
Cuando hablamos de una bonita sonrisa no solamente nos referimos a los dientes, sino que todo el conjunto es importante para tener una buena calidad estética. Unas encías mal colocadas podrían hacer que los dientes perfectos pasaran desapercibidos o que destaquen demasiado, causándote otro tipo de problemas estéticos. La cirugía plástica periodontal de la encía consiste en corregir los problemas que puedan presentar las encías. Usualmente, los especialistas lidian con la altura de las encías y son capaces de dejarte una boca perfectamente proporcionada, sin necesidad de que sufras dolor por ello.
7. Limpieza Dental Profesional
Como no, por muy bonitos que tengas los dientes, si los llevas sucios, no podrás lucirlos de ninguna manera. Este es uno de los tratamientos más sencillos, pero también el más necesario. Tiene como objetivo eliminar el sarro y la placa bacteriana que se ha acumulado en los dientes o en el espacio interdental. Aparte de llevar una correcta higiene diaria, será necesario someterse a una o dos limpiezas bucales al año, a fin de que tus dientes luzcan siempre perfectos y libres de suciedad acumulada.
Una de nuestras limpiezas más demandadas es la que hacemos con nuestro sistema de aeropulidor, en el que ademas de eliminar la placa y el sarro, usamos un chorro de aire-agua a presión con productos que alisan la superficie dental y además eliminan muy bien todas las manchas que tienen los dientes en todo su contorno. Los seguros médicos con más prestaciones suelen incluir una al año de manera gratuita, lo que hace que se prevengan muchas afecciones dentales. Sirve para eliminar la placa y el sarro acumulado. De esta manera, se evitan problemas como la aparición de caries y gingivitis, además de eliminar posibles manchas antiestéticas.
Beneficios de la Estética Dental
¿Cuáles son los beneficios de la estética dental? A continuación, presentamos algunos de los beneficios únicos que un paciente puede obtener de la estética dental:
- Confianza: El blanqueamiento dental o las carillas dentales pueden ayudarte a dar un impulso a tu confianza. Tener una sonrisa blanca y recta te ofrecerá una mayor seguridad en ti mismo.
- Aumento de la higiene: Después de que hayas invertido tiempo y dinero en mejorar tu sonrisa, la motivación para mantenerla cuidada aumentará.
- Prevención de problemas dentales: Los métodos dentales incluidos en el proceso, como la adhesión o la alineación, fortalecerán tus dientes.
- Mejora el apetito: Si tienes unos dientes sanos y bien alineados, podrás comer y masticar todos los alimentos sin problema. Al final, comer vuelve a ser apetecible y hace que aumente el apetito.
- Alivio del dolor de cabeza: La estética dental y la ortodoncia pueden ayudar a solucionar dolores de cabeza causados por dientes desalineados y el bruxismo.
- Tratamiento estético versátil: A través de la estética dental se pueden resolver varios problemas dentales como fisuras, huecos, manchas amarillas, encías rojas, etc.
Preguntas Frecuentes sobre la Estética Dental
A continuación, compartimos algunas de las preguntas más habituales sobre la estética dental:
¿Cuál es el momento ideal para someterse a un tratamiento dental estético?
Lo más recomendable es visitar a tu odontólogo de confianza para que pueda revisarte y asesorarte sobre tu salud bucodental.
¿Por qué es importante la estética dental?
La estética dental aporta una gran cantidad de beneficios, no solo para mejorar la imagen, sino también la autoestima y confianza de las personas.
¿Es seguro un blanqueamiento dental?
Los blanqueamientos dentales son seguros al 100% siempre que sean realizados por odontólogos especialistas.
¿Cuánto cuesta hacer un blanqueamiento dental?
El precio del blanqueamiento dental es uno de los tratamientos más económicos. Pero antes de realizarse un blanqueamiento dental, siempre es recomendable consultarlo con un odontólogo especialista.
¿Cuánto dura el blanqueamiento dental?
El blanqueamiento dental puede durar hasta 2 años, siempre que exista una higiene y cuidado correcto recomendado por el odontólogo especialista.
¿Es doloroso hacerse un blanqueamiento dental?
Si el tratamiento es realizado por un odontólogo especialista, generalmente no causan dolor.
Tabla Comparativa de Materiales para Coronas
| Tipo de Corona | Resistencia | Estética | Precio | Recomendación |
|---|---|---|---|---|
| Metal-Porcelana | Alta | Media | Económico | Dientes posteriores (molares) |
| Porcelana | Media | Alta | Moderado | Priorizar la estética |
| Zirconio | Alta | Alta | Alto | Combinación de resistencia y estética |
tags: #tratamientos #de #estetica #dental