El Dr. Victor Guerrero es un profesional con más de 26 años de experiencia en el manejo interdisciplinario de Casos Clínicos y Tratamientos Integrales de Rehabilitación Oral.
Es Profesor del Curso Master en Rehabilitación Oral ADA/Madrid y St. Área de libertad volumétrica. Además, es co-autor del libro “Manuales clínicos de oclusión y rehabilitación de los pacientes con desgastes” Vol 1 y 2.
Su formación académica incluye:
- Máster de Prótesis en la Universidad de Valencia.
- Máster en Odontología Restauradora y Estética en la Universidad Internacional de Cataluña.
- Master of Science in Dentistry (MSD), University of Washington, Seattle.

Especialización y Enfoque Clínico
El Dr. Guerrero se ha destacado por su enfoque en la rehabilitación oral y la odontología estética. En la actualidad, se enfrenta a diferentes situaciones clínicas en la consulta diaria en las que los pacientes requieren del abordaje indirecto para restaurar la función y la estética.
Además, el Dr. Guerrero ha participado como co-fundador y jefe de investigación del BORG desde 2005, participando en numerosos artículos y ponencias de ámbito internacional sobre rehabilitaciones orales multidisciplinares, así como también en estudios colaborando con Universidades de Barcelona, Madrid, Kyoto, Turín, New York y Murcia.
Autotrasplante Dental y Odontología Digital
El autotrasplante dental ha evolucionado de ser una técnica empírica a una opción restauradora altamente predecible gracias a la tecnología digital. La planificación 3D, el uso de bioreplicas y guías quirúrgicas han optimizado la precisión del procedimiento, reduciendo el tiempo quirúrgico y mejorando la integración del diente.
Hoy, la odontología digital abre la puerta a rehabilitar dientes con dientes, tratar defectos óseos y solucionar casos complejos mediante el autotrasplante, aprovechando al máximo la segunda dentición.

AUTOTRASPLANTE DENTAL 🦷➡️🦷Generalidades
La Oclusión y la Función Masticatoria
Habitualmente, cuando se habla de oclusión, se evocan multitud de conceptos teóricos que no siempre encuentran una correlación clínica en la práctica diaria. En realidad, lo que afecta es la función masticatoria.
La oclusión hace referencia a la teoría, mientras que la función se refiere a la práctica. Es crucial traducir lo que la teoría enseña para aplicarlo en la práctica del día a día. La capacidad de controlar la oclusión y la función determina el éxito en la finalización de los tratamientos y, sobre todo, es clave en la estabilidad a largo plazo del tratamiento.
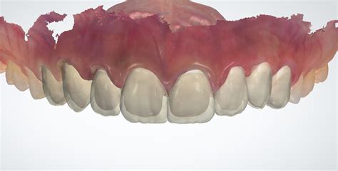
Odontología Digital y Carillas CAD-CAM
Con el flujo totalmente digital y la ayuda de la tecnología CAD-CAM, se definen y explican los protocolos de actuación más modernos, junto a una forma predecible de rehabilitar denticiones con múltiples problemas.
El empleo de carillas CAD-CAM es una alternativa útil en casos de demanda estética, siempre mediante el empleo de librerías naturales. El flujo de trabajo digital en cooperación con la experiencia en el campo estético de los profesionales permite aumentar la consistencia en el resultado estético y mejorar el control de este factor ya desde las primeras etapas de la planificación.

Experiencia Profesional Adicional
- Práctica privada en Clínica Blasi y Clínica Dr.
- Formación en rehabilitación oral y estética en el equipo del Dr. P. Harster en Barcelona y también junto al Dr. T.