El sangrado de encías es una afección dental muy común, y en niños no es la excepción. Un sangrado pequeño y muy esporádico no debería ser razón para preocuparse, aunque si se da con frecuencia o en cantidades excesivas se recomienda pedir una cita médica. Las encías sanas son de color rosa pálido y no sangran.
Según el NCI (Instituto Nacional del Cáncer), las encías son el tejido superior e inferior que rodea la base de los dientes. En condiciones normales, estas están perfectamente ajustadas, tienen un color rosado y no sangran. Si sale sangre de las encías, suele deberse a gingivitis.

Causas del Sangrado de Encías en Niños
En la mayoría de los casos, el sangrado de las encías se debe a una gingivitis o a una lesión en la boca. Sin embargo, existen otras causas que pueden provocar este problema:
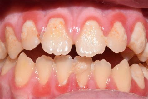
- Gingivitis: En algunos casos, el sangrado de las encías puede ser un signo de gingivitis, la etapa temprana de la enfermedad periodontal, provocada por la acumulación de placa bacteriana alrededor de los dientes. Las encías están rojas, hinchadas y sensibles a la presión. Especialmente por la mañana o por la noche, al cepillarse los dientes o al utilizar el hilo dental, puede empezar a sangrar rápidamente en la zona inflamada.
- Mala higiene bucal: La principal causa del sangrado de encías es una higiene bucal deficiente. Millones de bacterias merodean por nuestra boca. Cuando hay un desequilibrio bacteriano en la cavidad bucal y las bacterias dañinas se imponen, se produce una inflamación. Si esta placa no se elimina dos veces al día, se endurece formando el sarro y ya no se puede eliminar con el cepillo de dientes.
- Técnica de cepillado inadecuada: Si la higiene se realiza con una técnica inadecuada, un cepillo de cerdas demasiado duras y/o con una presión excesiva, puede provocar que nuestras encías sangren.
- Uso de hilo dental: Este sangrado también puede ser consecuencia del uso hilo dental, aunque esto solo suele ocurrir cuando se empieza a utilizar por primera vez y tiende a desaparecer a los pocos días.
- Infecciones virales: Algunas infecciones virales como el herpes simple pueden provocar gingivoestomatitis, inflamando severamente las encías de los más pequeños.
- Cambios hormonales: Los cambios en las hormonas sexuales durante la pubertad pueden generar una mayor sensibilidad en la boca.
- Predisposición genética: Existen familias con una especial predisposición genética al sangrado de las encías.
- Medicamentos: Otra posible causa de gingivitis es un cambio hormonal cuando los niños entran en la pre-adolescencia, ya que un aumento de la circulación sanguínea puede facilitar la inflamación de la encía. En otras ocasiones, la gingivitis aparece inducida por fármacos como algunos antiepilépticos, inmunosupresores y antagonistas del calcio, u otros medicamentos de origen fúngico, viral o bacteriano.
¿Es Inofensivo el Sangrado de Encías?
El sangrado de las encías no es una enfermedad en sí, sino un síntoma. Por eso es imposible decir con seguridad si es inofensivo o no. Lo cierto es que las encías sanas no sangran, por lo que nunca debes tomarte el sangrado de encías a la ligera.
Puede ser inofensivo y desaparecer por sí solo con un cuidado bucal adecuado. Sin embargo, también puede ser un signo de una enfermedad más grave, como la periodontitis o incluso la leucemia.
Síntomas de Encías Inflamadas
¿Como se si mis encias estan inflamadas?
- Tienes las encias rojas. Uno de los sintomas mas notorios cuando tus encias estan inflamadas es su color rojo brillante o morado, cuando lo saludable es que sea de un tono rosa palido, es de un tono rojizo parecido a un frambuesa madura.
- Sangrado de las encias al cepillarse o usar hilo dental. El sintoma mas notorio es el sangrado, ya sea al morder alimentos duros que pasen rozando las encias, como puede ser darle un mordisco a una manzana o el mas comun al usar el hilo dental o cepillar los dientes.
- Tienes las encias sensibles e incluso dolorosas al tacto. Las encias deben de ser firmes,
- Mal aliento o halitosis. Este es otro de los sintomas mas habituales que van de la mano con las encias inflamadas.
- Recesion de las encias. Cuando las encias han estado inflamadas durante mucho tiempo sin ser tratadas es probable que poco a poco vayan retrocediendo dejando ver la raiz del diente, esto entre otras molestias, puede provocar sensibilidad dental.
Tratamiento para el Sangrado de Encías en Niños
Si no has podido prevenir adecuadamente o si por otros factores, tienes un sangrado de encías frecuente y excesivo, entonces será necesario tratar el problema. Si te sangran las encías a causa de una gingivitis o periodontitis, la solución pasa por visitar al odontólogo, quien le realizará un tratamiento específico para cada fase de la enfermedad periodontal.
El tratamiento de la gingivitis en niños generalmente implica medidas para eliminar la placa bacteriana y prevenir su acumulación futura. Si la causa del sangrado de las encías es la gingivitis o la periodontitis, el dentista eliminará la placa y el sarro para eliminar las bacterias responsables.

Este procedimiento implica, generalmente, la realización de profilaxis periodontales, detartrajes y/o curetajes (un tipo de limpiezas específicas para pacientes con esta sintomatología). También puede recomendarle que utilice un colutorio antibacteriano. Si padeces de esta dolencia, es importante que evites los enjuagues bucales que contengan alcohol, ya que pueden agravar tu situación.
Si el uso de medicamentos anticoagulantes o de otro tipo están derivando en un sangrado excesivo de encías, conviene comentarlo con tu médico de cabecera para buscar alguna alternativa. Si te está sangrando la encía de manera excesiva, se recomienda humedecer una gasa en agua fría y aplicar presión directamente sobre la encía. No se debe tomar aspirina, ya que aumentará el sangrado.
Tratamientos adicionales:
- Antibióticos: Se aplican con el objetivo de frenar la infección y aliviar la hinchazón. La más común es la clorhexidina, una sustancia antiséptica de acción bactericida y fungicida. En las farmacias la encuentras en distintas presentaciones, desde enjuagues bucales hasta geles o aerosoles.
- Cirugía: En los casos más graves de periodontitis podría ser necesario abrir las zonas más afectadas y realizar una limpieza profunda para retirar el pus.
Prevención del Sangrado de Encías
Una vez presentadas y expuestas las diferentes causas del sangrado de encías, vamos a dar algunas pautas para su prevención. Tener una buena higiene dental es la mejor forma de evitar enfermedades y otros problemas relacionados con la salud oral.
Una correcta higiene bucal desde la infancia ayuda a prevenir la inflamación gingival y la acumulación de placa. La prevención es, por tanto, el factor más importante para gozar de una salud bucal óptima en los niños. Enseñar una rutina de cepillado, observar los signos de alarma y las periódicas visitas al odontólogo constituyen la mejor base para una buena prevención.
- Higiene dental adecuada: Tanto niños como adultos deben cepillarse, al menos, dos veces al día durante tres minutos, así como usar el hilo dental con mucha frecuencia. Una buena higiene pasa por lavarse los dientes después de cada comida y hacerlo con un cepillo de dureza media y con una técnica más suave y precisa, añadiendo el uso del hilo dental al menos una vez al día.
- Cepillo adecuado: Debe tener cerdas suaves y finas para no causar irritación. Usa un cepillo de dientes suave, cerdas medianas y duras pueden ser demasiado abrasivo para unas encías delicadas.
- Dieta saludable: Llevar una dieta sana y equilibrada es fundamental para la salud en general, pero también puede ayudar a prevenir el sangrado de encías. Procura que tus pequeños no coman muchos alimentos ricos en azúcar y almidón, ya que propician la proliferación de las bacterias que causan la placa.
- Evitar el tabaco y el alcohol: Ya son conocidas por todos las consecuencias que el tabaco y el alcohol tienen en nuestro cuerpo, pero estas sustancias también son muy perjudiciales para la salud oral.
- Revisiones dentales regulares: Ya decíamos que la gingivitis gestacional es habitual durante la segunda mitad del embarazo, por lo que en este periodo se hace especialmente importante acudir al dentista con regularidad, fundamental para asegurar la buena salud oral.
- Técnica de cepillado: Enseña a tu hijo la técnica adecuada de cepillado y encárgate de que la interiorice para que utilice siempre la misma. No te olvides de la lengua. Encárgate de que el tiempo de cepillado es de, al menos, dos minutos. Para conseguir esto, un buen “truco” es el de reproducir una canción mientras el niño se cepilla los dientes. Supervisa que el niño sigue tus instrucciones. O, mejor dicho, haz coincidir tu cepillado con el suyo. Por tanto, es importante que eduques a tu hijo en la prevención.

Preguntas Frecuentes sobre las Encías Inflamadas y/o Sangrantes en Niños
- ¿Qué causa las encías inflamadas en niños? Las encías inflamadas en niños suelen deberse a la acumulación de placa bacteriana por una higiene bucal inadecuada. También pueden estar asociadas a infecciones, cambios hormonales o enfermedades sistémicas poco frecuentes.
- ¿Qué infecciones virales pueden provocar encías inflamadas? Algunas infecciones virales, como el herpes simple, pueden causar inflamación severa de las encías, especialmente en bebés y niños pequeños. Estas infecciones también pueden generar fiebre, llagas bucales y dolor al comer.
- ¿Cómo prevenir las encías inflamadas en los niños? La mejor prevención es establecer una rutina de higiene bucal adecuada desde edades tempranas, incluyendo el cepillado después de cada comida, uso de hilo dental cuando sea posible y visitas periódicas al dentista infantil.
- ¿Qué signos indican un problema serio en las encías infantiles? Los signos de alarma incluyen sangrado frecuente, enrojecimiento intenso, mal aliento persistente, dolor al masticar o fiebre asociada.
Como decimos, un sangrado suave y esporádico no debería preocuparte, pero si sus encías sangran en exceso o de forma habitual es importante que visite a su dentista, podría ser una señal de algún problema más grave.
Para terminar, la gingivitis infantil y juvenil es un tipo de patología que, con una higiene y un tratamiento profesional adecuado, es reversible.