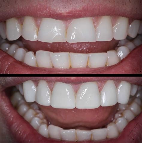
Las carillas dentales son una solución estética muy eficaz para mejorar la forma, el color e incluso una alineación ligera de los dientes. Este tratamiento es uno de los más demandados, ya que logra transformar la sonrisa en cuestión de semanas.
En esta guía te explicamos paso a paso cómo es el proceso de colocación, desde la evaluación inicial hasta el resultado final, para que sepas qué esperar si estás pensando en recibir este tratamiento. ¡Resolvemos tus dudas sobre los requisitos para ponerse carillas dentales!

¿Son para ti las carillas dentales?
No todas las personas son candidatas. Las carillas dentales son láminas finas de porcelana o composite que se adhieren al frente de los dientes para mejorar su apariencia. Corrigen manchas, fracturas, separación entre dientes o formas irregulares. No alteran la mordida funcional, pero transforman visualmente la sonrisa de forma inmediata y duradera.
Lo ideal es a partir de los 18 años, una vez finalizado el desarrollo dental y óseo.
En Clínicas Den estudiamos cada caso de forma personalizada para determinar si eres un buen candidato.
Requisitos para ponerse carillas dentales
Antes de colocar carillas dentales, es importante hacer un estudio completo de la boca, donde se revisa el estado general de dientes y encías, y se detectan posibles problemas como caries o inflamación. Cuando hay caries no tratadas, enfermedades periodontales o mordidas inestables, no se recomienda la colocación de carillas.
Una vez aprobado el tratamiento, se diseña un plan personalizado, haciendo una prueba estética o mock-up para visualizar el resultado final antes de tocar sus dientes. También se elige el color, tamaño y forma de las carillas según la armonía facial del paciente. Esto permite adaptar el tratamiento y el material de las carillas a sus gustos y necesidades reales, que pueden ser de porcelana (disiliccato de litio, zirconio) o de composite.

Preparación del diente antes de poner las carillas
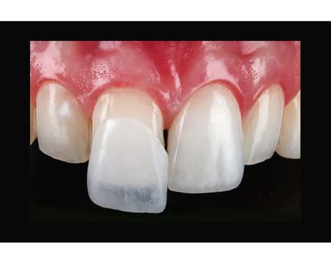
Cuando se usan carillas de porcelana, es necesario hacer un ligero tallado dental para que la carilla se ajuste correctamente. Este desgaste es mínimo y no duele, ya que se realiza solo en la parte frontal del diente. En algunos casos, como cuando se usan carillas de composite, no se requiere tallado, ya que se amoldan directamente sobre el diente. El tipo de preparación varía según el material y la situación de cada paciente.
Carillas dentales con dientes limados: ¿Es necesario?
La necesidad de limar los dientes para la colocación de carillas depende de varios factores, incluyendo la posición inicial de los dientes, su color, y el resultado estético deseado. En muchos casos, tener los dientes limados para carillas es un paso esencial para asegurar que las carillas se integren armoniosamente con el resto de la dentadura, especialmente cuando se busca corregir dientes muy oscuros, desalineados o con formas irregulares.
Sí, en la mayoría de los casos, es necesario limar una mínima cantidad de esmalte dental para colocar las carillas. Limar dientes para poner fundas o carillas permite crear el espacio necesario para que la carilla se adhiera al diente sin sobresalir de manera antinatural. El objetivo del limado de dientes para carillas no es otro que lograr un equilibrio entre la conservación de la estructura dental natural y la obtención de resultados estéticos óptimos.
Carillas sin tallado: ¿Es posible?
La innovación en materiales y técnicas ha permitido el desarrollo de carillas dentales sin limar el diente, conocidas también como carillas ultrafinas. Estas carillas dentales sin tallado, fabricadas con materiales de última generación, pueden ser tan delgadas como una lentilla y se diseñan para adaptarse a la superficie del diente sin necesidad de tallado previo. Sin embargo, no todo el mundo es apto para las carillas sin limar diente, depende de la evaluación profesional del dentista Coruña, quien determinará si este tipo de carillas es la opción más adecuada para ti.
Requisitos para carillas sin tallado o carillas ultrafinas: ¿Quién puede y quién no?
- Dientes con espaciado o diastema: Las personas con espacios pequeños entre los dientes pueden beneficiarse de carillas ultrafinas, ya que estos pueden ser cubiertos eficazmente sin necesidad de tallado.
- Dientes ligeramente desalineados: Las carillas sin tallado pueden ser una solución para casos de desalineación leve, donde la ortodoncia no es deseada o necesaria.
- Dientes intactos: Aquellos cuyos dientes no han sido sometidos a restauraciones extensas, como grandes empastes o coronas, pueden ser candidatos ideales para carillas ultrafinas, ya que su estructura dental está mayormente intacta.
- Dientes con manchas ligeras: Las carillas pueden ser una excelente opción para pacientes que desean ocultar manchas superficiales o decoloraciones que no responden bien a los tratamientos de blanqueamiento dental.
Procedimiento de colocación de carillas dentales
¿Te preguntas cómo se pone una carilla dental?
El procedimiento consta de varias fases, cada una diseñada para asegurar tanto la estética como la funcionalidad.
- Prueba de las carillas y ajustes: Con las carillas de porcelana, se realiza una prueba previa sobre el diente para asegurarse de que la forma, el color y la adaptación son perfectos. Si algo no encaja, las piezas se envían de nuevo al laboratorio para hacer los ajustes necesarios. En el caso de las carillas de composite, los ajustes se hacen directamente sobre el diente, lo que permite un control más inmediato. En ambos casos, lo que se busca es un resultado armonioso y natural que encaje con la estética dental que se ha diseñado con el paciente.
- Cementado y adhesión de las carillas: Antes de cementar, se prepara bien la superficie dental para asegurar una buena adhesión. Se utiliza un cemento a base de una resina especial y luz ultravioleta para fijar las carillas de forma segura. Con el composite, se aplica el material por capas directamente sobre el diente y también se endurece con luz.
- Pulido final y revisión de los resultados: Una vez colocadas, se hace un pulido para perfeccionar el acabado y conseguir un aspecto natural. También se comprueba la mordida y se hacen los ajustes necesarios para evitar molestias. Por último, se programa una cita de seguimiento para revisar el resultado. En esta última parte, se comprueba que el diseño de sonrisa que se había planificado se corresponda con el diseño planificado.

Cómo cuidar las carillas dentales
Las carillas dentales no requieren cuidados complicados, pero sí constancia. Es importante mantener una buena higiene dental con un cepillado suave, hilo dental y visitas regulares al dentista. Además, se debe evitar morder objetos duros o abrir cosas con los dientes para no dañar las carillas. Si sabes que tienes bruxismo, se recomienda el uso de férula de descarga oclusal. Si mantienes limpia tu férula dental y la usas el tiempo que recomiende tu dentista, tus carillas pueden mantenerse en perfecto estado durante muchos años.
Las de porcelana resisten muy bien las manchas.
¿Cuánto se tarda en poner carillas dentales?
El tiempo total depende del tipo de carilla que se elija. Las carillas de composite pueden colocarse en una sola cita, ya que se aplican directamente en la clínica. En cambio, las de porcelana suelen requerir entre dos y tres visitas, en un plazo de 1 a 3 semanas, porque se fabrican en laboratorio.
¿Estás pensando en ponerte carillas?
Colocar carillas dentales es un proceso cuidadoso que requiere diagnóstico, planificación y experiencia. Tanto si eliges carillas de porcelana como de composite, lo más importante es que el tratamiento se adapte a ti y a lo que buscas mejorar de tu sonrisa.
Las carillas dentales están pensadas para corregir imperfecciones que afectan tanto a la imagen como, en algunos casos, a la función de la boca. No cambian la posición del hueso maxilar, ni corrigen desviaciones severas. En algunos casos, el tratamiento puede fracasar o no ofrecer los resultados esperados.
Ahora que comprendes en detalle los requisitos para ponerse carillas dentales, los tipos disponibles, el procedimiento paso a paso y los precios, estás más cerca de conseguir la sonrisa que siempre has deseado.