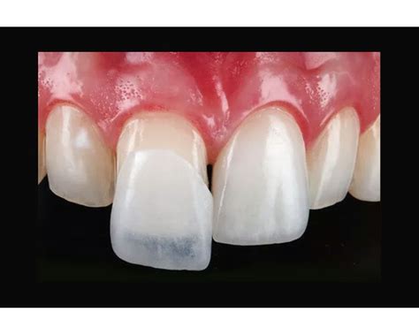
Las carillas dentales se han convertido en uno de los tratamientos dentales estéticos más solicitados en la actualidad. Se colocan en la superficie frontal de los dientes con el fin de mejorar su aspecto, ya sea para modificar su tamaño, color, forma o posición. Debido a su sencillez y precio accesible, muchas personas optan por esta solución para corregir problemas estéticos como fracturas leves o cambios de color originados por caries.
Las carillas dentales son unas láminas muy finas, generalmente inferiores a un milímetro de espesor, que se fijan sobre la parte visible de uno o varios dientes. Pueden estar hechas de diferentes materiales, siendo los más comunes la porcelana o el composite. Las carillas de composite suelen confeccionarse en la propia clínica dental con un material fotocurable, similar al que se usa para hacer los empastes.

¿Quién Puede Llevar Carillas Dentales y Cuándo se Recomiendan?
El procedimiento de colocación depende del tipo de carillas que vaya a llevar el paciente (porcelana, composite, disilicato de litio…). A la hora de elegir un tipo de carillas u otro es necesario acudir a la clínica dental y que sea el odontólogo quien aconseje el tipo de carilla más conveniente, en función de las necesidades de cada paciente. El precio de las carillas varía según el material elegido.

Las carillas dentales son un tratamiento eficaz a la hora de corregir y/o disimular pequeños defectos que afectan negativamente al aspecto de los dientes. La duración de las carillas dentales está determinada por diversos factores, como los cuidados que siga el paciente en cuanto a higiene oral, alimentación, tabaco, hábitos, revisiones con el dentista, etc. Adicionalmente, la durabilidad del tratamiento también depende del material con el que están fabricadas las carillas y de la técnica de colocación (directa o indirecta). Por ello, no resulta posible determinar de antemano cuánto tiempo duran las carillas dentales. Lo que sí podemos decirte es que, con unos cuidados y unos mantenimientos adecuados, son un tratamiento pensado para durar a largo plazo.
Tipos de Adhesivos Dentales
El adhesivo dental es una sustancia diseñada específicamente para unir diferentes componentes dentales. También puede utilizarse en procedimientos cosméticos, como la colocación de carillas dentales o la fijación de brackets ortodónticos. Existen varios tipos de adhesivos dentales disponibles en el mercado, y cada uno tiene sus propias características y aplicaciones específicas.
Los adhesivos dentales llevan años mejorando y desarrollándose rápidamente, debido a la creciente demanda de los mismos. La mayoría de los sistemas están compuestos por adhesivos que se adhieren a la dentina o al esmalte. Sin embargo, todos estos adhesivos tienen algo en común: deben utilizarse bajo un estricto control y con un protocolo adecuado.
Existen varios tipos de adhesivos dentales, cada uno diseñado para diferentes aplicaciones:
- Adhesivos dentales universales: Estos adhesivos pueden usarse tanto en dentina como en esmalte, y son compatibles con la mayoría de los sistemas restauradores.
- Adhesivos duales: Son utilizados principalmente en aplicaciones de cementación, como coronas o puentes.
En general, los adhesivos de alta calidad pueden durar entre 5 y 10 años, siempre y cuando el paciente mantenga una adecuada higiene bucal y se realicen los seguimientos necesarios.
Adhesivos Dentales en Gel o Pasta
Los adhesivos dentales en forma de gel o pasta son los más comunes y versátiles. Se aplican directamente sobre la superficie de la prótesis dental o la estructura dental existente. Estos adhesivos ofrecen varios beneficios, como una fijación segura, resistencia al agua y la capacidad de llenar pequeñas imperfecciones en las superficies dentales.
Almohadillas Adhesivas
Las almohadillas adhesivas son una opción conveniente y fácil de usar para aquellos que prefieren evitar la aplicación directa del adhesivo en gel o pasta. Para utilizar almohadillas adhesivas de manera efectiva, es importante limpiar y secar tanto la prótesis dental como la mucosa bucal antes de la aplicación. Coloque la almohadilla en la prótesis y asegúrese de que esté bien ajustada antes de colocarla en su lugar en la boca.

Aplicación Correcta del Adhesivo Dental
La correcta aplicación del adhesivo dental es fundamental para asegurar una sujeción sólida y cómoda:
- Limpieza: Antes de aplicar el adhesivo, asegúrese de que la prótesis dental esté limpia y seca.
- Cantidad adecuada: Use la cantidad recomendada de adhesivo dental según las instrucciones del fabricante.
- Distribución uniforme: Aplica el adhesivo de manera uniforme sobre la superficie de la prótesis dental.
- Colocación: Coloca la prótesis dental en su boca con cuidado y presionala firmemente en su lugar.
- Ajustes según sea necesario.
Con la elección adecuada del tipo de adhesivo, su aplicación cuidadosa y una buena higiene bucal, podrás disfrutar de los beneficios de una sujeción segura y duradera.
CARILLAS INSTANTÁNEAS SNAP ON SMILE / MANUAL DE INSTRUCCIONES
Adhesivos Dentales Monocomponente
Trabajamos con adhesivos dentales monocomponente, autograbadores, de grabado total o selectivo, adaptados a los protocolos de cada profesional.
- Adhesivos dentales universales: estos adhesivos pueden usarse tanto en dentina como en esmalte, y son compatibles con la mayoría de los sistemas restauradores.
- Adhesivos duales: son utilizados principalmente en aplicaciones de cementación, como coronas o puentes.
Adhesivos de Contacto Total
Los adhesivos de contacto total son los más utilizados en la odontología moderna. Este tipo de adhesivo funciona al unir el material dental directamente con el esmalte dental y la dentina, proporcionando una adhesión fuerte y duradera. Se utiliza comúnmente en la colocación de carillas y empastes.
Adhesivos de Autograbado
Los adhesivos de autograbado son una opción innovadora en la odontología. A diferencia de los adhesivos de contacto total, los adhesivos de autograbado no requieren un proceso de grabado ácido previo. Este tipo de adhesivo se activa al entrar en contacto con el esmalte y la dentina, lo que simplifica el proceso de colocación y reduce el riesgo de errores durante el tratamiento. Se usa con frecuencia en procedimientos de restauración directa, como el empaste de cavidades y la colocación de coronas.
Adhesivos de Grabado Selectivo
El adhesivo de grabado selectivo es una mezcla entre los adhesivos de contacto total y los de autograbado. En lugar de grabar todo el esmalte, solo se graba parcialmente antes de aplicar el adhesivo. Este tipo de adhesivo permite un buen balance entre la durabilidad y la simplicidad del procedimiento.
Usos de los Adhesivos Dentales
Los adhesivos dentales se utilizan en una variedad de situaciones dentro de la odontología:
- Restauraciones estéticas: Para colocar carillas dentales, coronas, puentes o incrustaciones, se requiere un adhesivo de alta calidad para asegurar una unión perfecta y duradera.
- Empastes: En procedimientos de empaste, como los realizados para tratar caries, el adhesivo es necesario para asegurar que el material de empaste se adhiera de forma sólida al diente.
- Ortodoncia invisible: Los adhesivos también son utilizados en los tratamientos de ortodoncia invisible, donde los alineadores transparentes deben mantenerse en su lugar durante el tratamiento.
- Implantes dentales: En el caso de los implantes dentales, el adhesivo es necesario para asegurar que la prótesis se ajuste correctamente sobre el implante de titanio.
Consideraciones al Elegir un Adhesivo Dental
Al elegir el adhesivo adecuado, es importante considerar varios factores, incluyendo el tipo de tratamiento, la ubicación del diente, y las preferencias del paciente. La durabilidad del adhesivo es esencial para evitar futuros problemas, y la estética juega un papel fundamental, especialmente cuando se tratan dientes visibles.